Serviços Personalizados
Journal
Artigo
Indicadores
-
Citado por SciELO -
Acessos
Links relacionados
-
Citado por Google -
Similares em
SciELO -
Similares em Google
Compartilhar
Boletín de Investigaciones Marinas y Costeras - INVEMAR
versão impressa ISSN 0122-9761
Bol. Invest. Mar. Cost. vol.50 no.1 Santa Marta jan./jun. 2021 Epub 19-Set-2021
https://doi.org/10.25268/bimc.invemar.2021.50.1.1019
NOTAS
Hermafroditismo en los bivalvos Anadara tuberculosa y Anadara similis Sowerby 1883 (Arcidae) en los manglares del Pacífico colombiano
1Universidad del Valle, Facultad de Ciencias Naturales y Exactas, Departamento de Biología. Cali, Colombia.
2Universidad del Valle, Facultad de Ciencias Naturales y Exactas, Departamento de Biología. Cali, Colombia.
3Texas A&M University , at Galveston Research and Graduate Studies Office. Galveston, Texas, USA
The hermaphrodite condition of the cockles Anadara tuberculosa and Anadara similis, gonochoric species living in mangroves of the Pacific coast of Colombia, are described in this paper. The gonads of 290 individuals of A. tuberculosa and 336 individuals of A. similis collected in five localities of the Colombian Pacific coast were analyzed using histological methods. Our results exposed that 3.1 % of A. tuberculosa and 3.0 % of A. similis analyzed showed signs of both ovules and spermatozoids, as well as simultaneous sexual maturation. Based on this frequency of occurrence of hermaphrodite individuals and the fact that hermaphrodite organisms were present in most of the sampling sites, we conclude that hermaphroditism is a normal rather than casual condition of these two species. We suggest that future studies in the hermaphroditism of these organisms center on the determination of factors potentially affecting this condition.
KEYWORDS: Anadara tuberculosa; Anadara similis; Bivalves; Hermaphroditism; Colombian Pacific.
En este artículo se describe la condición hermafrodita de la piangua Anadara tuberculosa y Anadara similis, especies gonocóricas que viven en los manglares de la costa del Pacífico de Colombia. Las gónadas de 290 individuos de A. tuberculosa y 336 individuos de A. similis recolectados en cinco localidades de la costa del Pacífico colombiano fueron analizadas utilizando métodos histológicos. Nuestros resultados mostraron que 3,1 % de los individuos de A. tuberculosa y 3,0 % de A. similis analizados presentaron signos de óvulos y espermatozoides simultáneamente, así como maduración sexual simultánea. Con base en la frecuencia de aparición de individuos hermafroditas y el hecho que estos estuvieron presentes en casi todos los lugares de muestreo, concluimos que el hermafroditismo es una condición normal y no casual en estas dos especies. Sugerimos que futuros estudios dirigidos a comprender el hermafroditismo en estas especies se centren en la determinación de potenciales factores que determinen esta condición.
PALABRAS CLAVE: Anadara tuberculosa; Anadara similis; Bivalvos; Hermafroditismo; Pacífico colombiano.
Anadara tuberculosa y Anadara similis son dos especies de bivalvos de la familia Arcidae que habitan las llanuras lodosas de las zonas de manglares de la costa del Pacífico de América tropical entre Baja California y la costa norte de Perú. Estos bivalvos son dos de los moluscos más importantes comercialmente en la región del Pacífico Tropical Oriental, siendo altamente explotados en las costas colombianas y ecuatorianas (Cantera y Contreras, 1978; MacKenzie, 2001; Gil-Agudelo et al., 2011; Lucero et al., 2013).
Tanto A. tuberculosa como A. similis carecen de dimorfismo sexual, y el sexo solo puede determinarse mediante la observación directa del color de las gónadas y las observaciones microscópicas después de la disección. Los machos tienen una gónada blanca o de color crema, mientras que las gónadas femeninas son amarillas o anaranjadas (Lucero-Rincon et al., 2013; Manjarrés-Villamil et al., 2013). Aunque la mayoría de los bivalvos son gonocóricos o dioicos, algunos pueden ser hermafroditas o cambiar de sexo con la edad (Breton et al., 2017). Los estudios reproductivos en A. tuberculosa y A. similis han demostrado que se reproducen durante todo el año, aunque se pueden identificar algunos picos reproductivos (2 a 5) dependiendo de las condiciones ambientales como la salinidad, la temperatura y la precipitación (Squires et al., 1975; Herrán 1983; Cruz; 1984; Borda y Cruz, 2004; Lucero et al., 2012; Lucero-Rincon et al., 2013; Manjarrés-Villamil et al., 2013; García-Dominguez et al., 2018).
Entre agosto de 2009 y agosto de 2010, se colectaron los organismos descritos en este documento en cinco áreas de manglares de la costa del Pacífico de Colombia (Figura 1). El muestreo original se dirigió a establecer la abundancia y los ciclos reproductivos de las especies, por lo tanto, el presente trabajo no presenta una imagen completa de la frecuencia de hermafroditismo en estas especies, sino más bien una aproximación basada en observaciones oportunistas.

Figura 1 Sitios de estudio a lo largo de la costa pacífica de Colombia. Sitios de muestreo están marcados con una estrella.
A nivel macroscópico, la madurez sexual de los organismos fue evaluada usando la metodología descrita por Lucero-Rincón et al. (2013). A nivel microscópico, los organismos colectados fueron preservados usando formaldehído tamponado; deshidratándolos y embebiéndolos en parafina siguiendo técnicas histológicas tradicionales (Luna, 1968). Se realizaron análisis histológicos de secciones transversales y longitudinales de un ancho de 7 µm (incluyendo manto, gónada, glándula digestiva, intestino y branquias) que fueron teñidos con hematoxilina-eosina (Herrán, 1983; Ampie y Cruz, 1989).
El análisis macroscópico del estado gonádico de 3 545 individuos de A. tuberculosa mostró que 16 individuos (0,45 %) tenían signos de hermafroditismo. Estos individuos fueron observados en las localidades de Cuerval (un caso presente en 576 individuos analizados), Bahía Málaga (7 casos entre 1 093 individuos) y Tumaco (8 casos en 1 071 individuos). La longitud media de los organismos hermafroditas fue de 47,45 ± 7,74 mm, con los organismos tanto más grandes como más pequeños registrados en Bahía Málaga con 62,93 mm y 32,83 respectivamente. Estos individuos mostraron una gónada alargada y delgada, de color crema, típica de individuos masculinos, mientras que la gónada opuesta era de color naranja brillante, en forma de saco, típica de organismos femeninos (Figura 2). Estos organismos se consideraron maduros, ya que la gónada ocupaba más de 50 % de la cavidad corporal, con lóbulos gruesos irregulares que se extienden sobre toda la superficie ventral desde el músculo aductor anterior hasta los límites con el músculo del pie (Figura 3). La longitud de las valvas de la primera madurez de esta especie se ha estimado en 39,5 mm en el área (longitud total) y la curva de crecimiento mostró que la mayoría de los organismos analizados tenían aproximadamente dos años (Lucero et al., 2012, 2013; Manjarrés-Villamil et al, 2013). Ningún individuo de A. similis fue analizado macroscópicamente para hermafroditismo en este estudio.

Figura 2 Corte transversal para observación macroscópica de coloración y forma de la gónada en organismos maduros de A. tuberculosa en bahía Málaga (longitud total = 58.0 mm) A: Hembra (gónada naranja); B: Macho (gónada crema). 1: Pie; 2: Glándula digestiva; 3: Gónada; 4: Intestino; 5: hepatopáncreas.

Figura 3 Corte transversal de Anadara tuberculosa hermafrodita, mostrando las diferencias de coloración en el mismo organismo. A: Gónada naranja; B: Gónada crema. Organismo colectado en Tumaco (longitud total = 53,0 mm).
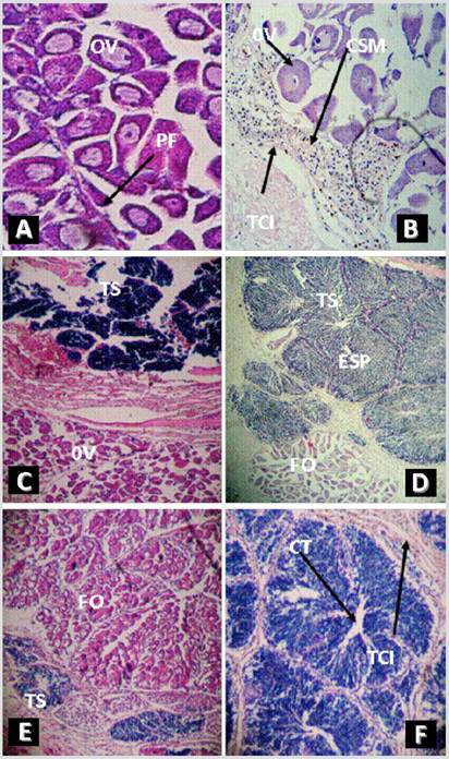
De un total de 290 individuos de A. tuberculosa analizados utilizando técnicas histológicas estándar, 3,1 % (nueve individuos) mostró signos de hermafroditismo. Estos organismos fueron colectados en Pizarro (99 individuos analizados con 1 hermafrodita encontrado), Bahía Málaga (35 analizados y 4 hermafroditas encontrados), Cuerval (2 hermafroditas de 52 organismos analizados) y Tumaco (104 organismos analizados, 2 hermafroditas). Estos individuos mostraron túbulos seminíferos, células germinales y espermátidas en cantidades variables; los centros de los túbulos seminíferos se encontraban vacíos y el tejido conjuntivo interfolicular también eran claramente visible (Figura 4). Las células reproductivas también presentaron un núcleo grande en una posición central, según lo descrito por Ortiz et al. (2003) durante la espermatogénesis. Estos mismos individuos mostraron, en la otra gónada, folículos en desarrollo con un centro vacío y ovocitos no abundantes en su interior. Algunos ovocitos eran piriformes y estaban unidos a la pared del folículo, mostrando su etapa de desarrollo. El tamaño de las células varío entre 37 y 74 µm, algunas de estas células mayores de 70 µm. Los ovocitos secundarios mostraron una membrana nuclear definida y un núcleo central, lo que indica una transición hacia óvulos maduros (Figura 4). Se observó tejido conjuntivo interfolicular y células sexuales masculinas bordeando la pared folicular.

Figura 4 Microfotografías de las gónadas de Anadara tuberculosa hermafrodita teñidas con Hematoxilina y Eosina. A y B objetivo 10x, C - F objetivo 4x. TCI: tejido conjuntivo interfolicular; ESP: espermatozoides; TS: túbulos seminíferos; CTS: centro del túbulo seminífero; FO: folículo ovárico; PF: pared folicular; OV: ovocitos vitelados; CSM: células sexuales del macho alrededor del folículo.
Sobre A. similis, se analizaron 336 placas histológicas para detectar signos microscópicos, encontrando 10 individuos (3,0 %) con signos de esta condición. Estos organismos fueron colectados en Pizarro (5,72 %; 4 hermafroditas de 68 organismos analizados), Bahía Málaga (2,94 %; 2 casos de 70 organismos) y Cuerval (1,8 %; 2 casos de 111 organismos). La descripción del tejido reproductivo fue similar a la de A. tuberculosa.
Se halló que los organismos hermafroditas se encontraban en la etapa de previtelogénesis, con gametos masculinos y femeninos separados y la presencia simultánea de espermatozoides y óvulos funcionales (hermafroditismo simultaneo). Los análisis histológicos mostraron células reproductivas masculinas y femeninas activas, indicando que los organismos son reproductivamente funcionales, lo que se ha descrito en otros moluscos (Olivares et al., 2009). Otras especies del género Anadara han mostrado signos de hermafroditismo, incluyendo Anadara granosa (Broom 1983), Anadara senilis (Broom, 1985) y Anadara scapha (Baron y Clavier, 1992), que se consideran gonocóricas. Mzighani (2005) analizaron 600 individuos de Anadara antiqua, encontrado 4,7 % de organismos hermafroditas, indicando hermafroditismo protándrico debido a la dominancia de hembras en las clases de talla (41 mm). Flores y Lincadeo (2010) sugieren que un hermafroditismo protándrico en A. tuberculosa y A. similis podrían producir una fuerte variación de la relación sexual a diferentes clases de talla, pero no proveen evidencia de tales cambios.
Otros autores han descrito el hermafroditismo en A. tuberculosa. Pérez-Medina (2005) informó el desove de la porción testicular y ovárica del organismo en Santo Domingo, México, mientras que en Colombia Lucero-Rincón et al. (2013) y en Ecuador Panta-Velez et al. (2020) mostraron eventos similares, pero no dieron una descripción detallada de esta condición. Debido a la mayor proporción sexual (2,46:1), el mayor tamaño y abundancia de hembras respecto a machos (Lucero-Rincón et al. 2013) y a que los organismos hermafroditas fueron encontrados en la mayoría de sitios de muestreo, consideramos esta condición de hermafroditismo como una condición normal para ambas especies, potencialmente causada por mecanismos intrínsecos así como eventos extrínsecos (temperatura, salinidad, nutrientes u otros) no estudiados durante este proyecto. Se sugiere que futuros estudios en hermafroditismo de estos organismos se centren precisamente en determinar los factores que potencialmente afecten esta condición.
AGRADECIMIENTOS
Los autores desean expresar su agradecimiento a las instituciones (Invemar, Universidad del Valle, PNNC Sanquianga, WWF Colombia y Asconar) y a las personas (comunidades de la costa del Pacífico colombiano) que contribuyeron a este proyecto. El presente trabajo se llevó a cabo en el marco del proyecto “Potencial productivo de las poblaciones naturales de piangua Anadara tuberculosa y Anadara similis desde una perspectiva espacio-temporal en la costa pacífica colombiana”, financiado por el Ministerio de Agricultura y Desarrollo Rural de Colombia. (contrato 161-2008T-3459) y con el apoyo de BPIN PNIBM (años 2008 y 2009) y BEM (2010).
REFERENCIAS
Ampie, C.L. y R.A. Cruz. 1989. Tamaño y madurez sexual deAnadara tuberculosa(Bivalvia:Arcidae) en Costa Rica. Brenesia, 31:21-24. [ Links ]
Baron, J. and J. Clavier. 1992. Etude des populations de bivalves intertidaux sur le litoral sud-ouest de Nouvelle Caledonie. Orstom. Nouméa. 76 p. Available as:https://docplayer.fr/110068999-Etude-des-populations-de-bivalves-intertidaux-sur-le-littoral-sud-ouest-de-nouvelle-caledonie.html [ Links ]
Borda, C. y R. Cruz. 2004. Reproducción y reclutamiento del moluscoAnadara tuberculosa(Sowerby, 1833) en el Pacifico colombiano. Rev. Invest. Mar. 25(3): 185-195. Available as: http://cpps.dyndns.info/cpps-docs-web/planaccion/biblioteca/pordinario/Colombia/Docs%20Incoder/Anadara%20Repro-Recluta%20 (2004-185) [ Links ]
Breton, S., C. Capt, D. Guerra and D. Stewart. 2017. Sex determining mechanisms in bivalves. Review. Preprints, 2017060127 https://doi.org/10.20944 /preprints 201706.0127v1) . https://doi.org/10.15517/rbt.v63i1.23114 [ Links ]
Broom, M.J. 1985. The biology and culture of marine bivalve mollusks of the genusAnadara. Iclarm Stud. Rev., 12, 37 p. Available as:https://core.ac.uk/download/pdf/6515039.pdf [ Links ]
Cantera, J.R. y R. Contreras. 1978. Informe preliminar sobre el potencial malacológico aprovechable en el Pacífico colombiano. Mem. I Sem. Ocean. Pac. Sudamer., 2: 440-474. [ Links ]
Cruz, R.A. 1984. Algunos aspectos de la reproducción enAnadara tuberculosa(Pelecypoda: Arcidae) de Punta Morales, Puntarenas, Costa Rica. Rev. Biol. Trop., 32(1):45-50. Available as: https://revistas.ucr.ac.cr/index.php/rbt/article/view/24772/24987 [ Links ]
Flores, L. and R. Lincadeo. 2010. Size composition and sex ratio ofAnadara tuberculosaandAnadara similisin a mangrove reserve from the northwest of Ecuador. Rev. Biol. Trop., 45: 541-546. [ Links ]
García-Domínguez, F.A., A. De Haro-Hernández, A. García-Cuellar, M. Villalejo-Fuerte y S. Rodríguez-Astudillo. 2008. Ciclo reproductivo deAnadara tuberculosa(Sowerby, 1833) (Arcidae) en bahía Magdalena, México. Rev. Biol. Mar. Oceanogr., 43(1): 143-152. https://doi.org/10.4067/S0718-19572008000100015 [ Links ]
Gil-Agudelo, D.L., S. Espinosa, M.F. Delgado, W.O. Gualteros, C.H. Lucero, L. Zapata, A.M. Roldán, C.J. Palacios, O. Muñoz, G. Mayor y J.R. Cantera. 2011. La pesquería tradicional de piangua el Pacífico colombiano, entre la subsistencia y el comercio. Diagnóstico de las principales pesquerías del Pacífico. Marviva: 49-79. [ Links ]
Herrán, Y. 1983. Observaciones sobre el desarrollo gonadal de la “piangua”Anadara tuberculosayAnadara similisen punta Soldado, bahía de Buenaventura. Tesis Departamento de Biología, Universidad del Valle, Cali. 110 p. [ Links ]
Lucero C.H., J.R. Cantera y R. Neira. 2012. Pesquería y crecimiento de la piangua (Arcoida: Arcidae)Anadara tuberculosaen la bahía de Málaga del Pacífico colombiano, 2005-2007. Rev. Biol. Trop., 60: 203-217. https://doi.org/10.15517/rbt.v60i1.2754 [ Links ]
Lucero-Rincón, C.H., J.R. Cantera, D.L. Gil-Agudelo, O. Muñoz, L.A. Zapata, N. Cortes, W.O. Gualteros y A. Manjarrés. 2013. Análisis espacio temporal de la biología reproductiva y el reclutamiento del molusco bivalvoAnadara tuberculosaen la costa del Pacífico colombiano. Rev. Biol. Mar.Oceanogr., 48, no. 2: 321-334. https://doi.org/10.4067/S0718-19572013000200011. [ Links ]
Luna, L.G. 1968. Manual of histological staining methods of the Armed Forces Institute of Pathology. Third edition. McGraw Hill, U.S.A. 258 p. [ Links ]
MacKenzie, C.L. 2001. The fisheries for mangrove cockles,Anadaraspp., from Mexico to Peru, with descriptions of their habitats and biology, the fishermen’s lives, and the effects of shrimp farming. Mar. Fish. Rev., 63(1): 1-39. Available as:http://aquaticcommons.org/9760/1/mfr6311.pdf [ Links ]
Manjarrés-Villamil, A., C.H. Lucero-Rincón, W.O. Gualteros, J.R. Cantera y D.L. Gil-Agudelo. 2013. Abundancia y madurez sexual deAnadara similisen el manglar de Luisico, bahía Málaga, Pacífico colombiano. Bol. Invest. Mar. Cost., 42 (2): 215-231. Available as: http://www.scielo.org.co/scielo.php?script=sci_arttext&pid=S0122-97612013000200001 [ Links ]
Mzighani, S. 2005. Fecundity and population structure of cockles,Anadara antiquataL. 1758 (Bivalvia: Arcidae) from a sandy/muddy beach near Dar es Salaam, Tanzania. West. Indian Oc. J. Mar. Sci., 3: 221-225. [ Links ]
Olivares, P.A., J.D. Madariaga, M.C. Álvarez y E. Bustos-Obregón. 2009. Hermafroditismo funcional de la gónada deFissurella crassa(Mollusca: Fisurellidae). Int. J. Morphol., 27(2):509-514. https://doi.org/10.4067/S0717-95022009000200034. [ Links ]
Ortiz E., E. Uria, A. Silva Olivares, V. Tsutsumi y M. Shibayama. 2003. Estudio de la ultraestructura de la espermatogénesis deAnadara tuberculosa(Sowerby 1833) (Mollusca: Pelecypoda: Arcidae). Hidrobiológica, 132:145-150. Available as:http://www.scielo.org.mx/scielo.php?script=sci_arttext&pid=S0188-88972003000200007 [ Links ]
Panta-Vélez, R.P., A. Bermúdez-Medranda, P. Mero, D. Arrieche y V. Acosta-Valvás. 2020. Reproductive cycle ofAnadara tuberculosa(Sowerby, 1833) (Bivalvia: Arcidae) in a mangrove system of the Chone River Estuary, Ecuador. Adv. Env. Biol., 14(2): 1-11 https://doi.org/10.22587/aeb.2020.14.2.1 [ Links ]
Pérez-Medina, D.R. 2005. Biología reproductiva deAnadara tuberculosa(Bivalvia: Arcidae) en el estero Santo Domingo. B.C.S., México. M. Sc. Tesis Inst. Politécn. Nal., Centro Interdisciplin. Cienc. Mar. (Cicimar). 71 p. [ Links ]
Squires, H.G., M. Estévez, O. Barona and O. Mora. 1975. Mangrove cockles,Anadaraspp. (Mollusca:Bivalvia) of the Pacific coast of Colombia. Veliger, 18(1): 57-68 [ Links ]
Recibido: 29 de Mayo de 2020; Aprobado: 24 de Noviembre de 2020










texto em 



