La obstrucción intestinal es una entidad relativamente frecuente, que ocasiona entre el 1,4 % y el 12 % de los ingresos a urgencias por dolor abdominal 1. En los adultos las causas más frecuentes de obstrucción son las adherencias, las hernias y las neoplasias, sin embargo, existen otras etiologías menos comunes, como el íleo biliar 2,3. Debido a la falta de una presentación típica, su diagnóstico generalmente es tardío.
Se presenta un pacientae de 65 años, con cuadro clínico de varios meses de dolor abdominal cólico intermitente, asociado a perdida no intencionada de peso. Consultó a otra institución por una semana de dolor y distensión abdominal, con múltiples episodios eméticos, donde consideraron que cursaba con obstrucción intestinal e iniciaron manejo medico con sonda nasogástrica. Ante la falta de respuesta después de cuatro días, lo remitieron a nuestra clínica y se realizó tomografía computarizada (Figura 1) donde se observó obstrucción intestinal mecánica del intestino delgado, con zona de transición en el íleon distal, causada por estructura redondeada que ocluye la luz intestinal, sin signos de sufrimiento de asas. Adicionalmente referían signos de colecistitis crónica, con trayecto fistuloso de la vesícula biliar a la segunda porción del duodeno y otro trayecto fistuloso que se comunicaba con colección laminar subdiafragmática, por lo que se hizo diagnóstico de íleo biliar y se decidió llevar el paciente a cirugía.

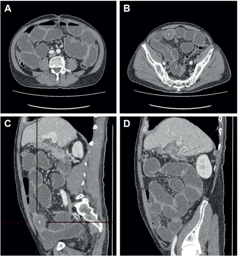
Figura 1. Imágenes de la tomografía computarizada de abdomen y pelvis. A. Dilatación difusa de asas intestinales delgadas de hasta 4,8 cm, sin signos de sufrimiento de asa ni neumoperitoneo. B. Zona de transición en el tercio distal del íleon; se aprecia imagen redondeada que corresponde al cálculo que ocluye la luz intestinal. C. Proyección lateral donde las líneas señalan la ubicación del cálculo que ocluye el íleon. D. Vesícula biliar escasamente distendida, con engrosamiento difuso y realce de sus paredes, con burbujas gaseosas en su interior; la flecha blanca muestra una comunicación de la vesícula con la segunda porción del duodeno y un aparente trayecto fistuloso hacia el margen anterior con colección subfrénica laminar. Asociado se observa aumento en la densidad y estriación de la grasa pericolecística.
Se identificó un cálculo enclavado en el íleon distal, que se movilizó hacia proximal, para alejarlo de la válvula ileocecal, y se extrajo mediante enterotomía longitudinal (Figura 2).















