Serviços Personalizados
Journal
Artigo
Indicadores
-
Citado por SciELO -
Acessos
Links relacionados
-
Citado por Google -
Similares em
SciELO -
Similares em Google
Compartilhar
Revista colombiana de Gastroenterología
versão impressa ISSN 0120-9957
Rev Col Gastroenterol vol.30 no.3 Bogotá jul./set. 2015
Case Studies of Two Cystic Fibrosis Patients with distal intestinal obstruction syndrome (DIOS) and a Literature review
Johanna Pacheco A. MD. (1), Olga Morales M. MD (2), Alejandra Wilches L. MD. (3)
(1) Pediatrician from the University of Antioquia, Master's Degree Student in Pediatric Clinical Nutrition at INTA in Chile.
(2) Pediatric Pulmonologist in the Faculty of Medicine at the University of Antioquia in Medellin, Colombia.
(3) Pediatric Gastroenterologist at San Vicente Fundación Hospital Universitario in Medellín, Colombia.
The cases reported here were treated at San Vicente Fundación Hospital Universitario in Medellín, Colombia.
No financial resources or other resources from any Colombian or international entity were received for this research.
Received: 01-09-14 Accepted: 21-07-15
Abstract
Patients with cystic fibrosis (CF) have greater than normal mucosal viscosity and prolonged intestinal transit times which can result in meconium ileus, distal intestinal obstruction syndrome (DIOS) and constipation of varying severity.
The cystic fibrosis working group of the European Society of Gastroenterology, Hepatology and Pediatric Nutrition produced a consensus in 2010 that defined distal intestinal obstruction syndrome (DIOS) as acute intestinal obstruction which may be complete or incomplete. Fully developed DIOS is defined as bilious vomiting and/or sufficient amounts of fluid and air in the small intestine to be observed in an abdominal X-ray, a fecal mass in the ileocecal area, pain and/or bloating. Incomplete DIOS is defined as abdominal pain and/or bloating and fecal mass in the ileocecal area, but without the other signs of complete obstruction.
The incidence of this condition in cystic fibrosis patients varies. Depending on the definition used, the prevalence of DIOS has been measured between 7% and 8% in children with cystic fibrosis, but has been reported to be as high as 23.3 episodes per 1,000 patients per year for adult cystic fibrosis patients with a prevalence ranging between 14% and 16%.
Given the difficulties of establishing this diagnosis in these patients, we wanted to illustrate this syndrome with two children who were treated in our institution and to review this subject in order to generate awareness about early diagnosis and management.
Keywords
Cystic fibrosis, meconium ileus, distal intestinal obstruction syndrome (DIOS), constipation, pancreatic enzymes.
INTRODUCTION
Cystic Fibrosis (CF) is an autosomal recessive disorder which is multisystemic, progressive and fatal. It is characterized by dysfunction of the exocrine glands (sweat, bronchial, intestinal, exocrine pancreas, etc.) which causes thickening of secretions with obstruction of canaliculi of excretory glands leading to impaired functioning (1, 2).
Patients develop persistent bronchial obstructions, recurrent pneumonia, malabsorption, chronic malnutrition, chronic pancreatitis, meconium ileus, recurrent polyposis, and have salty sweat. Men become infertile and women's fertility decreases (1-3).
Exocrine pancreatic insufficiency leads to malabsorption syndrome with chronic and often severe malnutrition. It also leads to rectal prolapse syndrome. In the neonatal period it results in meconium ileus while in adolescent and adult patients it leads to distal intestinal obstruction syndrome (DIOS) (1, 2, 4).
In patients with CF, meconium ileus, distal obstruction syndrome (DIOS) and constipation are a group of gastrointestinal symptoms whose severity varies. All of them result from increased viscosity of the intestinal mucus and prolonged intestinal transit time (5-8).
The definition of DIOS has changed over time. In 1945 distal intestinal obstruction syndrome that occurred following the neonatal period was described. It was caused by a fecal cap similar to meconium stool. It was called meconium ileus equivalent (MIE) (9). Later, the term DIOS was introduced to refer to a group of clinical conditions that produced complete or partial distal obstruction in CF patients (10). Finally the terms DIOS and MIE came to be used interchangeably (11), but DIOS often has a variety of intestinal symptoms. They include one or more palpable ileocecal masses, abdominal pain, intussusception, volvulus, and constipation (12, 13). Constipation is a common gastro-intestinal condition in children with CF that often occurs together with abdominal pain and bloating. Nevertheless, constipation responds to conservative treatment (14).
Because of the difficulties in defining these terms as they relate to CF patients, we have illustrated this syndrome with two case reports: the first is a case of complete DIOS while the second is a case of incomplete DIOS. In addition, we review the literature to generate awareness of the need for early diagnosis and management.
CASE 1
The patient was a 12 year mestiza girl who had been diagnosed with CF at 2 years of age. She had been colonized by pseudomonas aeruginosa but had no history of meconium ileus. She came to the clinic after 15 days of fever, coughing, dyspnea and orthopnea. During the review of her systems the patient reported occasional abdominal pain and constipation (hard stools every 2 days). She was hospitalized for treatment of pulmonary exacerbation with cefepime and amikacin. Gram staining and a culture of her sputum showed pseudomonas aeruginosa that was resistant to cefepime, so the antibiotic therapy was modified to replace it with ciprofloxacin. An anteroposterior chest x-ray showed bilateral bronchiectasis and atelectasis of the middle lobe (Figure 1). A high resolution CT scan and total abdominal ultrasound of the chest confirmed this finding (Figure 2). chocardiography revealed mild pulmonary hypertension.
During her hospital stay constipation, bloating, epigastric pain, and hypogastrium persisted without signs of peritoneal irritation or vomiting. The abdominal x-ray revealed fluids and gas in the rectum (Figure 3) confirming the diagnosis of Distal Intestinal Obstruction Syndrome (DIOS).
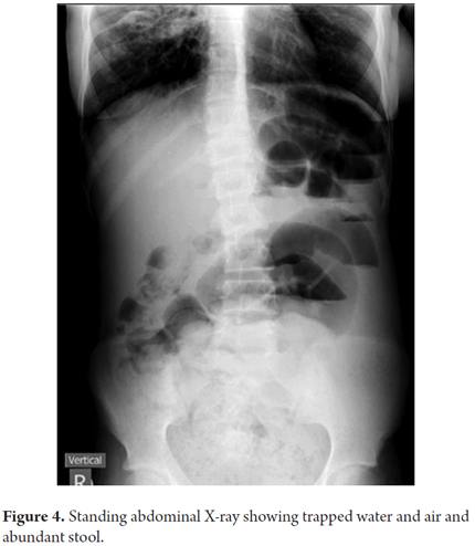
Treatment was initiated with rectal enemas of saline solution plus glycerin and oral administration of polyethylene glycol with electrolytes. Digestive enzymes (lipase/amylase/protease) were suspended. Because the patient was unable to defecate, oral feeding was suspended and replaced with feeding through a nasogastric tube. Abdominal radiography revealed the persistence of liquid and gas with abundant stool (Figure 4).
The patient's abdominal distension persisted along with pain upon deep palpation of the left flank and iliac fossa. She began to vomit biliously. Manual disimpaction under general anesthesia was attempted without success. The CT scan of her abdomen showed dilated bowel loops primarily in the ileum and colon with an air-fluid mixture in the rectal ampulla (Figures 5 A and B). Because of the persistence of intestinal obstruction accompanied by fecal vomiting and progressive weight loss, an exploratory laparotomy was performed which revealed distention of the loops of the small bowel, impaction of the content of the bowel content in the terminal ileum (mucus plug), ileocecal valve and cecum. Manual disimpaction was performed.
The day after surgery, the patient's fever peaked. Chest radiography showed no evidence of changes and treatment with piperacillin-tazobactam was started with good results. Total parenteral nutrition was started. Thirteen days after the surgery, the patient again developed a fever with increased acute phase reactants so the antibiotic spectrum was extended to vancomycin, meropenem and fluconazole. The patient developed abdominal pain again, this time accompanied by hypotension, respiratory failure, disseminated intravascular coagulation and multisystem organ failure. The patient did not respond to intensive therapy and died.
CASE 2
The patient was a 16 year old mestizo man who had been diagnosed with CF at the age of four. He had no history of meconium ileus, had not been not colonized by Pseudomonas aeruginosa, but had poor adherence to treatment. Two of his brothers also had CF. He came to the clinic after two weeks of increasing coughing with yellow-green expectoration, diarrheal stools with fat and mucus, chest pain, diffuse abdominal pain which was intermittent and intense, myalgia, and generalized joint pain but without fever or other symptoms.
The patient was hospitalized for treatment of pulmonary exacerbation and monitoring of abdominal pain. During his hospital he developed abdominal distension, mild dehydration, and vomiting. In addition his abdominal pain intensified and he was unable to defecate. Incomplete DIOS and appendicitis were considered as possible diagnoses. An abdominal x-ray showed liquid, air and gas in the rectum (Figure 6). An abdominal ultrasound showed free fluid in the cavity confirming the initial diagnosis. Total parenteral nutrition by peripheral route was begun, and oral feeding was suspended. Treatment with antibiotics continued, lost fluids were replaced through a nasal-gastric tube. Enemas with 0.9% saline solution plus glycerin were administered. The patient developed emesis so PEG with electrolytes was begun orally. Another abdominal x-ray showed no water or air in the rectum and vomiting disappeared. The patient improved. Administration of PEG was continued without electrolytes on an outpatient basis together with complete treatment for management of CF.
DEFINITION
The recent consensus of the CF working group of the European Society for Pediatric Gastroenterology Hepatology and Nutrition (ESPGHAN) refers to DIOS and MIE as the same entity and makes a clear distinction between complete and incomplete DIOS.
DIOS is defined as an acute intestinal obstruction that may be incomplete or complete (Table 1). Complete DIOS is defined as total intestinal obstruction manifested by acute symptoms as bilious vomiting and/or fluid levels in the small intestine observed in abdominal radiography, with fecal ileocecal mass, pain and/or bloating. Incomplete DIOS is defined as acute abdominal pain and/or bloating and fecal ileocecal mass but no signs of constipation is defined as gradual onset characterized by decreased frequency of bowel movements with increasing hardness of stools over weeks or months that is associated with pain and/or bloating and which can be relived with the use of laxatives (Table 2).
In the search for useful elements for diagnosis of these entities, scoring systems such as those of Barr and Leech have been validated for assessment of the severity of fecal impaction in patients with functional constipation (16, 17). Nevertheless, a recent study has found that these scores have low sensitivities, specificities, positive predictive values and negative predictive values for patients with CF and constipation (18). In addition, the diagnostic value of abdominal radiography for functional constipation varies with sensitivity ranging from 60% to 80% and specificity ranging from 35% to 90% (15, 19).
INCIDENCE AND PREVALENCE
Meconium ileus occurs in 13% to 17% of all patients with CF (20, 21). Studies of the incidence and prevalence of DIOS and constipation are difficult to compare because of the different definitions used. Taking the latest definitions of ESPGHAN as the points of reference, the incidence of DIOS in CF patients is 6.2/1,000 patient-years (15). This is a higher percentage than that reported by Andersen et al. who used the same definition and reported an incidence of 2.5/1,000 patient years in CF patients younger than 20 years of age (12). The difference between the populations of these two studies was the increased use of pancreatic enzymes which was higher in the patient cohort of the 2001-2005 study (15) than in in the study of 1976-1986 (12). The prevalence of DIOS has been reported to be between 7% and 8% in children with CF (12, 14). In adult patients, higher incidences and prevalences have been reported: 23.3 episodes per 1,000 patient-years and prevalence of 14% to 16% (4). A five-year follow-up to of pediatric cystic fibrosis found that 20% of patients experienced more than one episode of DIOS during the observation period which shows the importance of organization and the wonderful job of diagnosis done (15).
The frequency of constipation in CF patients is unclear. Using the definition of the 2010 consensus, prevalence among pediatric patients ranged from 26% to 47%, and among adults it was 42% (4, 15, 18).
RISK FACTORS FOR DIOS
Genetic Factors
Meconium ileus (MI) is clearly influenced by genetic factors. The delta F508 homozygous mutation has been shown to be bly associated with this complication (22). Although a b association between a modifier gene and IM has not yet been discovered, the non- modifier CFTR (Cystic fibrosis transmembrane conductance regulator) genes may also influence the onset of MI (22-24). Recently, an association between a variant of CLCA1 and MI has been found in European CF patients (25). The CLCA1 gene and its homologue in mice, Clca3, code a calcium activated chloride channel. Recent studies have shown the importance of CLCA1/Clca3 in intestinal obstruction in patients with CF. Low levels of expression of Clca3 in mice with CF have been related to death from intestinal obstruction while over-regulation of Clca3 in mice has been related to with decreased bowel disease and improved survival rates (26, 27).
No association has been found between constipation in patients with CF and the severity of CFTR genotype expression (18).
There is evidence for an association between DIOS, CF and severe CFTR genotypes. In 2010, ESPGHAN found that 82% of DIOS patients had a severe genotype and 3% had slight ones (15). These findings are consistent with other studies (22, 28). This may indicate that the severity of damage due to chloride secretion in the intestine as a result of increased CFTR dysfunction plays an important role in this condition. Nevertheless, this relationship is not absolute since patients with mild genotypes may also develop DIOS (22). Modifier genes also seem to influence the severity of gastrointestinal CF phenotype (29, 30). A study of twins and siblings in the United States found no significant difference in the concordance rate between monozygotic twins and siblings indicating that genetic factors other than CFTR genotypes do not play an important role in DIOS (22). This discordance between studies makes us think that more studies are needed.
Dietary Factors
The relationship between pancreatic insufficiency, poor control of steatorrhea, constipation and DIOS is unclear (4). In general, it is believed that constipation is associated with high doses of pancreatic supplements (31, 32), but Baker et al. found no relationship between constipation and pancreatic supplements. Furthermore, Rosenstein and Langbaum and Andersen et al. have reported that the incidence of DIOS did not change after introduction of pancreatic enzymes in encapsulated micro-spheres with enteric acid-resistant coatings (12, 33, 34).
Despite the general opinion that inadequate fluid intake and fiber is an etiological factor of constipation in CF (14), recent studies have found no relationship among these factors (18, 35).
Low Enzyme Substitution
Two factors that probably contribute to DIOS are reluctance to follow a treatment scheme based on enzymes and inappropriate control of steatorrhea. Persistent steatorrhea exposes the distal ileum to unabsorbed fat which induces secretion of neurotensin which in turn reduces intestinal motility. This may be part of the reason these obstructions form (36).
Relationship with other gastrointestinal manifestations of CF
The relationship between MI and liver disease in CF is unclear, with some studies reporting a high frequency of MI in patients with CF and liver disease (37-39) and other studies reporting no such relationship (40-44).
Intestinal inflammation appears to play an important role in the development of intestinal obstruction in CF patients, either directly or indirectly due to the delay of intestinal transit time (4). Inflammation has been found in ileal biopsies of patients with MI and DIOS, especially in myenteric ganglion cells and in myocytes (45).
Patients with MI very frequently have gastroesophageal reflux (42%) (46). This is thought to correspond to a defect in gastrointestinal motility shared by the two entities (4).
At least one episode of DIOS has been reported soon after transplantation in a CF patient. Since 10% to 20% of CF patients undergo transplantation (47), prophylactic treatment with laxatives may be useful in CF patients after lung transplantation (4). Some factors that predispose for the development of DIOS in these patients may be adhesions from previous surgery, transitory postoperative adynamic ileus and adverse effects of pain killers (48).
DIAGNOSIS
The 2,010 ESPGHAN study found a high frequency (44%) of patients with DIOS and a history of neonatal MI (15) than has been found in other studies which have reported frequencies between 15% and 18% (28). This difference could be due to the use of a stricter definition of DIOS in recent studies.
Diagnosis of the conditions mentioned is eminently clinical. The establishment of the clinical picture, the associated symptoms and the patient's response to treatment are the keys for both diagnoses. It is important for CF patients who present acute abdominal pain and vomiting to be evaluated initially evaluated by a physician who is experienced in CF (48).
DIOS manifests through acute and chronic symptoms. The main features are cramping abdominal pain which is often in the lower right quadrant or the lower quadrants of the abdomen, a palpable mass in the right lower quadrant, and less frequent bowel movements. Sometimes bloating and biliary vomiting or signs of actual or imminent bowel obstruction predominate. Patients are usually over five years old and often over 15 years old. In the more chronic variety of DIOS, foods cause cramping abdominal pain and anorexia becomes a way to avoid the pain. Painful crises may subside for several weeks or months, but return accompanied by a mass in the right lower quadrant and constipation (49).
In both varieties of DIOS, simple standing abdominal x-rays will show fecal impaction in the terminal ileum and cecum with proximal intestinal dilation with or without the presence of liquid and air (50).
Intussusception, appendicitis and small bowel obstruction due to postoperative adhesions can mimic the signs and symptoms of DIOS. When the patient has no history, physical data or classic radiographic findings, these alternatives should be investigated.
Abdominal radiography is not useful for the diagnosis of constipation, however it is useful for differentiating constipation from DIOS in patients with CF and acute abdominal pain (15, 18, 19).
A CT scan of the abdomen is of questionable value for distinguishing between the different causes of pain in the right lower quadrant in patients with CF, so is not suitable for diagnosis of DIOS (51, 52). A barium enema x-ray with hypertonic and water soluble material will confirm the diagnosis and sometimes helps to expel the thick material from the distal ileum. Sometimes it is difficult to cause a sufficient flow of the dye in the dilated proximal small intestine. Pain, abdominal distension and dyspnea limit the success of the procedure (49-52).
TREATMENT
Most episodes of DIOS and constipation can be treated conservatively with laxatives. The frequency of surgical intervention is low, ranging from 0% to 11% (14, 15, 28). The aim of treatment of DIOS is to relieve the distal small bowel obstruction without surgery. When the evolution of DIOS is chronic and there is no indication of complete intestinal obstruction, an alternative method is intestinal cleansing with a balanced electrolyte solution. This requires the use of a large volume of isotonic fluid flowing from the stomach to the distal small intestine to dilute the embedded materials. The procedure is compete when the liquid coming out of the rectum is almost transparent. Older children with CF may consume enough of this solution by mouth but for young children it almost always has to be administered through a nasogastric tube (49).
Lillibridge et al. were the first to describe the use of N-acetylcysteine as prophylaxis and therapy for this condition. Subsequently IV neostigmine has been used for refractory DIOS (51).
In very rare cases, the use of meglumine diatrizoate (Gastrografin) may be considered even though this intervention could have serious complications such as movement of the fluid that circulates in the intestine (53). Colonoscopy has also been suggested as a diagnostic and therapeutic method. Shidrawi et al. presented their work with management of DIOS with colonoscopy using direct instillation of meglumine diatrizoate (Gastrografin). The study demonstrated clinical and radiological improvement in 14 of 16 patients. Since meglumine diatrizoate is a radiographic contrast medium for representation of the gastrointestinal tract, it is suitable for oral administration and for rectal use. The high osmotic pressure of the contrast medium after flowing into the intestine releases the hardened stool (52).
Polyethylene glycol (PEG) is the first choice for treatment of constipation since it is more effective and has fewer side effects than lactulose (54). There are no reports of clinical trials with PEG for management of DIOS (4). Experts recommend starting first with oral polyethylene glycol, with or without enemas, accompanied by adequate hydration in patients with impending DIOS or those with full DIOS who are not vomiting (4, 15). Fecal masses can be moved with rectal enemas to achieve disimpaction in patients who are intolerant to orally administration.
Surgery should be performed only if conservative management is not effective. On rare occasions, as with the first case reported here, surgery is needed even when medical management has been aggressive (4). In recent years additional interventions have been proposed which include placing a tube for intestinal irrigation through cecostomy or appendectomy (51).
Because most patients with DIOS have more than one episode, the continuation of prophylactic laxatives (polyethylene glycol) after the first episode of DIOS can be considered although there is no evidence to support this proposal. Also, dehydration and malabsorption of fats should be avoided to prevent recurrence. Candidates for lung transplants should receive bowel preparation with polyethylene glycol prior to surgery and in the postoperative period and start enteral nutrition, pancreatic enzymes and polyethylene glycol (4, 55). Management of DIOS in CF patients requires research to substantiate these proposals.
Acknowledgements
We wish to express our gratitude to the Fundación Mariana Pro Fibrosis Quística for its tireless work with patients diagnosed with CF and with the families of patients with CF who have fought, and who fight, this disease tirelessly every day.
REFERENCES
1. Asociación Colombiana de Neumología Pediátrica. Guías de práctica clínica para niños con fibrosis quística. Primera edición. 2010. [ Links ]
2. Flume P, OSullivan B, Karen A, Robinson K, Goss C, Mogayzel P, et al. Cystic fibrosis pulmonary guidelines: chronic medications for maintenance of lung health. Am J Respir Crit Care Med. 2007;176:957-69. [ Links ]
3. Schünemann H, Jaeschke R, Cook D, Bria W, El-Solh A, Emst A, et al. An Official ATS Statement: Grading the quality of evidence and strength of recommendations in ATS guidelines and recommendations. Am J Respir Crit Care Med. 2006;174:605-14. [ Links ]
4. Van der Doef H, Kokke F, Van der Ent C, Houwen R. Intestinal obstruction syndromes in cystic fibrosis: Meconium ileus, distal intestinal obstruction syndrome, and constipation. Curr Gastroenterol Rep. 2011;13:265-70. [ Links ]
5. Bali A, Stableforth D, Asquith P. Prolonged small-intestinal transit time in cystic fibrosis. Br Med J. 1983;287:1011-3. [ Links ]
6. Escobar H, Perdomo M, Vasconez F, Camarero C, del Olmo M, Suárez L. Intestinal permeability to 51Cr-EDTA and orocecal transit time in cystic fibrosis. J Pediatr Gastroenterol Nutr. 1992;14:204-7. [ Links ]
7. Sinaasappel M. Relationship between intestinal function and chloride secretion in patients with cystic fibrosis. Neth J Med. 1992;41:110-4. [ Links ]
8. Mall M, Kreda S, Mengos A, Jensen T, Hirtz S, Seydewitz H, et al. The DeltaF508 mutation results in loss of CFTR function and mature protein in native human colon. Gastroenterology. 2004;126:32-41. [ Links ]
9. Jaffe B, Graham W, Goldman L. Postinfancy intestinal obstruction in children with cystic fibrosis. Arch Surg. 1966;92:337-43. [ Links ]
10. Park R, Grand R. Gastrointestinal manifestations of cystic fibrosis: A review. Gastroenterology. 1981;81:1143-61. [ Links ]
11. Koletzko S, Stringer D, Cleghom G, Durie P. Lavage treatment of distal intestinal obstruction syndrome in children with cystic fibrosis. Pediatrics. 1989;83:727-33. [ Links ]
12. Andersen H, Hjelt K, Waever E, Overgaard K. The age-related incidence of meconium ileus equivalent in a cystic fibrosis population: The impact of high-energy intake. J Pediatr Gastroenterol Nutr. 1990;11:356-60. [ Links ]
13. Millar-Jones L, Goodchild M. Cystic fibrosis, pancreatic sufficiency and distal intestinal obstruction syndrome: A report of four cases. Acta Paediatr. 1995;84:577-8. [ Links ]
14. Rubinstein S, Moss R, Lewiston N. Constipation and meconium ileus equivalent in patients with cystic fibrosis. Pediatrics. 1986;78:473-9. [ Links ]
15. Houwen R, van der Doef H, Sermet I, Munck A, Hauser B, Walkowiak J, et al. Defining DIOS and constipation in cystic fibrosis with a multicenter study on the incidence, characteristics and treatment of DIOS. J Pediatr Gastroenterol Nutr. 2010;50:38-42. [ Links ]
16. Barr R, Levine M, Wilkinson R, Mulvihill D. Chronic and occult stool retention: A clinical tool for its evaluation in school-aged children. Clin Pediatr (Phila). 1979;18:676-9. [ Links ]
17. Leech S, McHugh K, Sullivan P. Evaluation of a method of assessing fecal loading on plain abdominal radiographs in children. Pediatr Radiol. 1999;29:255-8. [ Links ]
18. Van der Doef H, Kokke F, Beek F, Woestenenk J, Froeling S, Houwen R. Constipation in pediatric cystic fibrosis patients: An underestimated medical condition. J Cyst Fibros. 2010;9:59-63. [ Links ]
19. Reuchlin-Vroklage L, Bierma-Zeinstra S, Benninga M, Berger M. Diagnostic value of abdominal radiography in constipated children: A systematic review. Arch Pediatr Adolesc Med. 2005;159:671-8. [ Links ]
20. Kerem E, Corey M, Kerem B, Durie P, Tsui L, Levison H. Clinical and genetic comparisons of patients with cystic fibrosis, with or without meconium ileus. J Pediatr. 1989;114:767-73. [ Links ]
21. Kappler M, Feilcke M, Schröter C, Kraxner A, Griese M. Long-term pulmonary outcome after meconium ileus in cystic fibrosis. Pediatr Pulmonol. 2009;44:1201-6. [ Links ]
22. Blackman S, Deering-Brose R, McWilliams R, Naughton K, Coleman B, Lai T. Relative contribution of genetic and nongenetic modifiers to intestinal obstruction in cystic fibrosis. Gastroenterology. 2006;131:1030-9. [ Links ]
23. Zielenski J, Corey M, Rozmahel R, Markiewicz D, Aznarez I, Casals T. Detection of a cystic fibrosis modifier locus for meconium ileus on human chromosome 19q13. Nat Genet. 1999;22:128-9. [ Links ]
24. Dorfman R, Li W, Sun L, Lin F, Wang Y, Sandford A, et al. Modifier gene study of meconium ileus in cystic fibrosis: Statistical considerations and gene mapping results. Hum Genet. 2009;126:763-78. [ Links ]
25. Van der Doef H, Slieker M, Staab D, Alizadeh B, Seia M, Colombo C, et al. Association of the CLCA1 p.S357N variant with meconium ileus in European patients with cystic fibrosis. J Pediatr Gastroenterol Nutr. 2010;50:347-9. [ Links ]
26. Brouillard F, Bensalem N, Hinzpeter A, Tondelier D, Trudel S, Gruber A, et al. Blue native/SDS-PAGE analysis reveals reduced expression of the mClCA3 protein in cystic fibrosis knock-out mice. Mol Cell Proteomics. 2005;4:1762-75. [ Links ]
27. Young F, Newbigging S, Choi C, Keet M, Kent G, Rozmahel R. Amelioration of cystic fibrosis intestinal mucous disease in mice by restoration of mCLCA3. Gastroenterology. 2007;133:1928-37. [ Links ]
28. Dray X, Bienvenu T, Desmazes-Dufeu N, Dusser D, Marteau P, Hubert D. Distal intestinal obstruction syndrome in adults with cystic fibrosis. Clin Gastroenterol Hepatol. 2004;2:498-503. [ Links ]
29. Salvatore F, Scudiero O, Castaldo G. Genotype-phenotype correlation in cystic fibrosis: The role of modifier genes. Am J Med Genet. 2002;111:88-95. [ Links ]
30. Slieker M, Sanders E, Rijkers G, Ruven H, van der Ent C. Disease modifying genes in cystic fibrosis. J Cyst Fibros. 2005;4 (Suppl 2):7-13. [ Links ]
31. Littlewood J, Wolfe S, Conway S. Diagnosis and treatment of intestinal malabsorption in cystic fibrosis. Pediatr Pulmonol. 2006;41:35-49. [ Links ]
32. Sinaasappel M, Stern M, Littlewood J, Wolfe S, Steinkamp G, Heijerman H, et al. Nutrition in patients with cystic fibrosis: A European Consensus. J Cyst Fibros. 2002;1:51-75. [ Links ]
33. Rosenstein B, Langbaum T. Incidence of distal intestinal obstruction syndrome in cystic fibrosis. J Pediatr Gastroenterol Nutr. 1983;2:299-301. [ Links ]
34. Baker S, Borowitz D, Duffy L, Fitzpatrick L, Gyamfi J, Baker R. Pancreatic enzyme therapy and clinical outcomes in patients with cystic fibrosis. J Pediatr. 2005;146:189-93. [ Links ]
35. Proesmans M, De Boeck K. Evaluation of dietary fiber intake in Belgian children with cystic fibrosis: Is there a link with gastrointestinal complaints? J Pediatr Gastroenterol Nutr. 2002;35:610-4. [ Links ]
36. Wyllie R, Hyams J. Gastroenterología Pediátrica: fisiopatología, diagnóstico, tratamiento. 2.a edición. México D.F.: McGraw-Hill Interamericana; 2001. p. 748-9. [ Links ]
37. Colombo C, Battezzati P, Crosignani A, Morabito A, Constantini D, Padoan R. Liver disease in cystic fibrosis: A prospective study on incidence, risk factors, and outcome. Hepatology. 2002;36:1374-82. [ Links ]
38. Minicucci L, Lorini R, Giannattasio A, Colombo C, Lapichino L, Reali M, et al. Liver disease as risk factor for cystic fibrosis-related diabetes development. Acta Paediatr. 2007;96:736-9. [ Links ]
39. Lamireau T, Monnereau S, Martin S, Marcotte J, Winnock M, Alvarez F. Epidemiology of liver disease in cystic fibrosis: A longitudinal study. J Hepatol. 2004;41:920-5. [ Links ]
40. Lindblad A, Glaumann H, Strandvik B. A two-year prospective study of the effect of ursodeoxycholic acid on urinary bile acid excretion and liver morphology in cystic fibrosis-associated liver disease. Hepatology. 1998;27:166-74. [ Links ]
41. Wilschanski M, Rivlin J, Cohen S, Augarten A, Blau H, Aviram M, et al. Clinical and genetic risk factors for cystic fibrosis-related liver disease. Pediatrics. 1999;103:52-7. [ Links ]
42. Slieker M, Deckers-Kocken J, Uiterwaal C, van der Ent C, Houwen R. Risk factors for the development of cystic fibrosis related liver disease. Hepatology. 2003;38:775-6. [ Links ]
43. Ling S, Wilkinson J, Hollman A, McColl J, Evans T, Paton J. The evolution of liver disease in cystic fibrosis. Arch Dis Child. 1999;81:129-32. [ Links ]
44. Efrati O, Nir J, Fraser D, Cohen-Cymberknoh M, Shoseyov D, Vilozni D, et al. Meconium ileus in patients with cystic fibrosis is not a risk factor for clinical deterioration and survival: The Israeli Multicenter Study. J Pediatr Gastroenterol Nutr. 2010;50:173-8. [ Links ]
45. Smith V, Schäppi M, Bisset W, Kiparissi F, Jaffe A, Milla P, et al. Lymphocytic leiomyositis and myenteric ganglionitis are intrinsic features of cystic fibrosis: Studies in distal intestinal obstruction syndrome and meconium ileus. J Pediatr Gastroenterol Nutr. 2009;49:42-51. [ Links ]
46. Van der Doef H, Arets H, Froeling S, Westers P, Houwen R, et al. Gastric acid inhibition for fat malabsorption or gastroesophageal reflux disease in cystic fibrosis: Longitudinal effect on bacterial colonization and pulmonary function. J Pediatr. 2009;155:629-33. [ Links ]
47. Gilljam M, Chaparro C, Tullis E, Chan C, Keshavjee S, Hutcheon M. GI complications after lung transplantation in patients with cystic fibrosis. Chest. 2003;123:37-41. [ Links ]
48. Colombo C, Ellemunter H, Houwen R, Munck A, Taylor C, Wilschanski M, et al. Guidelines for the diagnosis and management of distal intestinal obstruction syndrome in cystic fibrosis patients. J Cyst Fibros. 2011;10(Suppl 2); S24-S28. [ Links ]
49. Fields T, Michel S, Butler C, Kriss V, Albers S. Abdominal manifestations of cystic fibrosis in older children and adults. Am J Roentgenol. 2006;187:1199-203. [ Links ]
50. Chaudry G, Navarro O, Levine D, Oudjhane K. Abdominal manifestations of cystic fibrosis in children. Pediatr Radiol. 2006;36:233-40. [ Links ]
51. Winfield R, Beierle E. Pediatric surgical issue in meconium disease and cystic fibrosis. Surg Clin North Am. 2006; 86:317-27. [ Links ]
52. Haber H. Cystic fibrosis in children and young adults: Findings on routine abdominal sonography. Am J Roentgenol. 2007;189:89-99. [ Links ]
53. Clifton I, Morton A, Ambrose N, Peckham D, Conway S. Treatment of resistant distal intestinal obstruction syndrome with a modified antegrade continence enema procedure. J Cyst Fibros. 2004;3:273-5. [ Links ]
54. Lee-Robichaud H, Thomas K, Morgan J, Nelson R. Lactulose versus polyethylene glycol for chronic constipation. Cochrane Database Syst Rev. 2010;7:CD007570. [ Links ]
55. Gilljam M, Chaparro C, Tullis E, Chan C, Keshavjee S, Hutcheon M. GI complications after lung transplantation in patients with cystic fibrosis. Chest. 2003;123:37-41. [ Links ]










texto em 









