Serviços Personalizados
Journal
Artigo
Indicadores
-
Citado por SciELO -
Acessos
Links relacionados
-
Citado por Google -
Similares em
SciELO -
Similares em Google
Compartilhar
Revista colombiana de Gastroenterología
versão impressa ISSN 0120-9957
Rev Col Gastroenterol vol.34 no.4 Bogotá out./dez. 2019
https://doi.org/10.22516/25007440.301
Review articles
The current state of diagnosis and management of chronic pancreatitis
1Médico Cirujano General, Gastroenterólogo Clínico Quirúrgico, Coordinador del programa de Gastroenterología Clínico Quirúrgica, Universidad de Caldas, Manizales, Colombia
2Médico Cirujano General, Gastroenterólogo Clínico Quirúrgico, Docente del programa de Gastroenterología Clínico Quirúrgica, Universidad de Caldas, Manizales, Colombia
3Médico Cirujano General, Gastroenterólogo Clínico, Universidad de Caldas, Manizales, Colombia
4Médico General, Universidad de los Andes, Bogotá, Colombia
Chronic pancreatitis (CP) is an inflammatory condition that leads to fibrosis, damage, and even destruction of the pancreatic parenchyma and ducts. These permanent changes can alter pancreatic exocrine and endocrine functioning, cause biliary and pancreatic stenosis, lead to formation of pseudocysts and even increase the possibility of developing pancreatic cancer. The main clinical characteristic is pain which significantly alters quality of life. To diagnose the CP, we have direct and indirect functional tests and the pancreatic structure test.
The great challenge of these methods is early diagnosis, but this is difficult due to the subtlety of changes. Once CP is diagnosed, management must be staggered. Medical management is the initial step which can be followed by endoscopic management, surgical management, and for the most difficult cases a combination of these. The goal is to manage and understand the whole patient and illness to provide the best possible quality of life. This review article focuses on CP diagnosis and management in light of the currently available evidence.
Keywords: Chronic pancreatitis; diagnosis; treatment
La pancreatitis crónica (PC) es una condición inflamatoria que lleva a fibrosis, con destrucción y compromiso del parénquima pancreático y de los ductos. Estos cambios permanentes pueden llevar a alteración de la función pancreática tanto exocrina como endocrina, estenosis biliares y pancreáticas, que llevan a su vez a otras consecuencias, como la formación de pseudoquistes, incluso incrementa la posibilidad de desarrollar cáncer de páncreas. La principal característica clínica de estos pacientes es el dolor, el cual altera de forma importante su calidad de vida. Para diagnosticar la PC contamos con pruebas funcionales, las cuales se pueden dividir en directas o indirectas, y pruebas de estructura pancreática.
El gran reto de estos métodos consiste en diagnosticar la enfermedad en estadios iniciales, donde la aproximación diagnóstica es más difícil por la sutileza de los cambios. Una vez diagnosticada la PC, el manejo también debe ser escalonado; este se puede dividir a su vez en manejo médico, como paso inicial, manejo endoscópico y manejo quirúrgico o, en los casos más difíciles, la combinación de estos. El objetivo es manejar y entender al paciente y su enfermedad como un todo, con el fin de proporcionarle la mejor calidad de vida posible al paciente. A continuación, se presenta una revisión enfocada en el diagnóstico y manejo de esta entidad a la luz de la evidencia actual disponible.
Palabras clave: Pancreatitis crónica; diagnóstico; tratamiento
Introduction
Chronic pancreatitis (CP) is an inflammatory process in which the pancreatic parenchyma is altered and replaced by fibrous tissue. This permanently changes the pancreatic duct and parenchyma leading to endocrine and exocrine dysfunctions. 1,2 In most patients, the main clinical characteristic is pain. Other clinical characteristics depend on the degree of pancreatic endocrine and exocrine dysfunction. 3
This review will focus on diagnostic methods and therapeutic modalities for this entity. Improving each patient’s quality of life depends on understanding the disease as a whole and comprehensive management on a case by case basis.
DIAGNOSIS
Advanced CP is more easily diagnosed than are mild or moderate cases whose diagnosis can be challenging. Diagnosis requires evaluation of a patient’s clinical symptoms, pancreatic function tests and imaging such as magnetic resonance imaging (MRI) and endoscopic ultrasound (EUS). Diagnostic tests can be classified into functional and structural. The latter evaluates the parenchyma and/or duct anatomy. Functional tests can be direct or indirect. The latter has better diagnostic capacity when the disease is in more advanced stages but has lower sensitivity for detecting early and moderate disease. 2,4
Pancreatic function tests
Direct tests
Due to their expense, The cholecystokinin test and the secretin test are used almost exclusively at research centers due to the expense of its execution. They consist of the measurement of bicarbonate in the duodenal aspirate after stimulation with secretin or cholecystokinin (CCK). Pancreatic exocrine dysfunction is indicated when bicarbonate levels are below 75 mEq/L 5. These tests have high sensitivity and specificity but because are invasive and expensive. 6
Indirect tests
Indirect tests do not require hormonal stimulation of pancreatic secretion. Their diagnostic value is limited by their low sensitivity and specificity for detecting alterations, especially in early stages of the disease. 3 These tests include measurement of serum trypsinogen, fecal fat, and/or fecal elastase and a respiratory test. Traditional measurements of endocrine function such as the glycated hemoglobin, fasting blood glucose, and oral glucose tolerance tests require further study before they can be considered for diagnosis of chronic pancreatitis. 7
Measurements of serum trypsinogen below 20 ng/mL is specific for advanced CP. Fecal fat measurement consists of quantifying fat excreted fat for 72 hours by a patient limited to consumption of 100 g/day for at least 3 days before the test. A finding of more than 7 g of fat/day indicates malabsorption. Like the serum trypsinogen test, the fecal fat test has limited sensitivity for mild and moderate cases. Fecal elastase levels over 200 μg/g of fecal matter indicate slight possibility of exocrine pancreatic insufficiency. 8
The carbon 13-labeled mixed triglyceride (MTG) breath test is used for diagnosis of exocrine pancreatic insufficiency and has a sensitivity of 92% and specificity of 91%. When administered 6 hours after oral administration of 250 mg of labeled MTG together with a meal with 16 g of fat, a cumulative recovery rate of less than 29% indicates exocrine pancreatic insufficiency. 9
Pancreatic structure test
Diagnostic imaging is used for structural study of CP, but plain abdominal radiography has a very low sensitivity because the pancreatic calcifications characteristic CP can only be seen when the disease is already well advanced. In the past, endoscopic retrograde cholangiopancreatography (ERCP) using the Cambridge criteria for diagnosis of CP was considered to be the definitive method for evaluating changes in the pancreatic duct. This invasive method, which has had associated complications, has recently been displaced. 4
Abdominal computed tomography (CT) is the first line in the diagnostic algorithm for patients suspected of having CP. It is available and non-invasive nature but has low diagnostic yield in cases of mild to moderate CP. When CT scans are inconclusive, Magnetic resonance cholangiopancreatography (MRCP) is indicated. It is superior to CT scans for detecting incipient parenchymal and ductal changes and has better diagnostic sensitivity for early CP. 10
The use of secretin increases the diagnostic potential of MRCP since it improves evaluation of ducts and of pancreatic secretion into the duodenum. Imaging techniques including abdominal ultrasound allow us to evaluate ductal changes, pancreatic enlargement, calcifications, and peripancreatic collections. 11
Today, endoscopic ultrasound (EUS) is the most sensitive diagnostic method. It can be used to evaluate both the pancreatic parenchyma and the ductal system and has the ability to detect early and late changes in CP. 12-15 The purpose of EUS is to evaluate alterations of the parenchyma and pancreatic duct and to make early diagnoses.
The literature lacks data to support any particular method of criteria based classification and diagnosis of chronic pancreatitis. There are many classifications and criteria which evaluate issues including duct dilation, irregularity, and enhancement, visualization of secondary ducts and calculi as well hyperechoic foci, bands, lobularity and cysts in the parenchyma. The classification systems include the Lees-Wiersema, Milwaukee, Japanese and Rosemont systems which classify findings as definitive or consistent, suggestive, indeterminate or inconclusive (normal) for CP. 13-16
Recently, the important concept of minimal endosonographic changes which do not meet criteria for diagnosing pancreatitis has appeared. An article by Sheel explains the issue very well. It describes the diagnostic value of the Japanese and Rosemont criteria in patients with undetermined, suggestive, possible or early chronic pancreatitis and shows that criteria that explain a patient’s symptoms are not always found. 16 A great majority of patients have pain and typical signs but have normal images even though discrete changes can be seen by EUS. It is important to assess the histories of these patients for social issues, alcohol intake, cigarette smoking, and family histories of disease. If possible, genetic studies and endosonographic follow-up for at least 30 months should be conducted to observe which patients have true chronic pancreatitis, which patients heal, and which patients show improvement of EUS changes. Similarly, patients who have had acute pancreatitis should be followed up to determine who will develop CP. 16
It is important to determine which EUS criteria help diagnosis the most. In 1993, Wiersema et al. described a scale of the following nine diagnostic criteria. 17
Hyperechoic foci
Fibrous tracts
Lobularity
Cysts
Calculi
Dilation of secondary branches
Irregularity of the pancreatic duct
Hyperechogenic walls of the Wirsung duct .
They gave all of these criteria equal diagnostic values. No optimal cut-off point has been found, but it has been said that the presence of four or more confirms the diagnosis. 17 Given the poor sensitivity of this classification, in the Rosemont International Consensus was proposed in 2007. It includes the following two major parenchymal criteria. 14,18
Hyperechoic foci greater than 2 mm in length and width with acoustic shadow
Lobularity (greater than or equal to 3 contiguous lobes as in a honeycomb).
In addition, it includes the following four minor parenchymal criteria.
Hyperechoic foci (> 2 mm in length without acoustic shadow)
Bands (greater than or equal to 3 mm, in at least two different directions)
Lobularity (> 5 mm, non-contiguous lobes)
Pseudocysts (anechoic, with or without septa).
It includes one major ductal criterion:
It includes four minor ductal criteria:
Duct dilation greater than or equal to 3.5 mm in the body and 1.5 mm in the tail
Tortuous duct
Hyperechoic duct wall
Dilated lateral duct branches.
A diagnosis is made with one major parenchymal and three minor criteria or with two major parenchymal or ductal criteria or with two major parenchymal criteria. A diagnosis of chronic pancreatitis is suggested by three minor criteria or with only one ductal or pancreatic parenchyma criterion. 14,18
In 2010, the Japanese criteria for chronic pancreatitis were issues. They include the following criteria. 19
Findings in images
Histological findings
Abnormality of pancreatic enzymes in blood or urine
Abnormal results of exocrine function tests.
Although this Japanese classification is more sensitive and specific, it is difficult to use because it combines multiple variables. The use of endosonography with the Rosemont criteria is easier. Here is a summary list of some findings that can be observed:
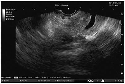
Calcifications or calculi in secondary branches (Figure 1)
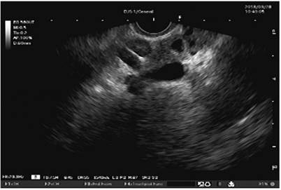
Dilation of the Wirsung duct or stones within this duct (Figure 2)
Fibrous bands (Figure 3)
Dilation of the Wirsung duct and enhancement of its walls (Figure 4)
Wirsung duct dilation, secondary branch dilation and lobularity of the gland (Figure 5)
Lobularity, fibrous bands and dilation of secondary branches (Figure 6).

Figure 1 Calculi in the parenchyma of the pancreas and branches seen by Fujinon’s linear endosonography (image edited by the Union of Surgeons SAS, Lázaro Arango).

Figure 2 Dilation of the Wirsung duct and calculi within it, seen with Fujinon’s linear endosonography (image courtesy of the Union of Surgeons SAS, Lázaro Arango).

Figure 3 Echogenic bands in Olympus linear endosonography (image courtesy of the Union of Surgeons SAS, Lázaro Arango).

Figure 4 Fujinon’s linear EUS. Wirsung duct dilation in the body of the pancreas and enhancement of its walls (image courtesy of the Union of Surgeons SAS, Lázaro Arango).

Figure 5 Linear EUS of the pancreas with Fujinon instrument. Wirsung duct dilation, secondary branch dilation, and lobularity of the gland (image courtesy of the Union of Surgeons SAS, Lázaro Arango).

Figure 6 Lobularity, fibrous bands, and dilation of secondary branches (image courtesy of the Union of Surgeons SAS, Lázaro Arango).
EUS also integrates the use of elastography to measure the degree of pancreatic fibrosis and its relationship to the probability of exocrine pancreatic insufficiency. 20
Treatment of chronic pancreatitis
Treatment of CP consists of relieving pain, preventing recurrent attacks, correcting the consequences of endocrine and exocrine insufficiency such as diabetes and malnutrition, and treating any complications that may arise. It begins with medical management. Endoscopic and/or surgical treatment should be used only when medical treatment fails to relieve pain or for management of complications. 21
Medical Treatment
The initial objectives of medical management are to modify patients’ lifestyles by eliminating alcohol and cigarette consumption and to manage pain and manage exocrine pancreatic insufficiency to avoid malnutrition which can lead to sarcopenia, osteoporosis, and increased cardiovascular risk. 21-24
Pain is the initial symptom of CP in approximately 75% of patients, and it is present during the clinical course of the disease in 85% to 97% of all patients. Hence the importance of its management. Progressive use of the analgesic scale is recommended. Potency of medications should be increased according to the response until adequate pain control is reached. 25
Exocrine pancreatic insufficiency treatment with pancreatic enzymes is indicated when a patient presents steatorrhea greater than 15 g/day, weight loss, protein or carbohydrate malabsorption, and dyspepsia. The indicated supplement is 40,000 U which must be administered during each main meal. Since intraluminal acid pH decreases the action of lipase, it is suggested that double doses of a proton pump inhibitor be administered to facilitate lipase action. Dietary fat restriction is not indicated as it would lead to insufficient intake of fat-soluble vitamins which are diminished by the disease itself. 1,26 In addition, supplementation of fat-soluble vitamins such as A, D, E, K, vitamin B12, micronutrients, antioxidants, calcium and vitamin D is suggested. 1
Management of endocrine pancreatic insufficiency (type 3C diabetes) is complex. The first-line medication is metformin which is preferred for patients with malnutrition and mild hyperglycemia. Some patients require insulin therapy. Supervision by an experienced endocrinologist is suggested. 27
Endoscopic Treatment
Endoscopic treatment for CP is indicated in cases with stones that obstruct the pancreatic duct, benign biliary stenosis, pancreatic stenosis, pancreatic pseudocyst drainage, and celiac plexus block. 28
Primary pancreatic duct stones smaller than 5 mm are managed with standard ERCP maneuvers for stone removal (Figures 7, 8, 9, 10). Stones larger than 5 mm require the use electrohydraulic, extracorporeal, or Spyglass-guided electrohydraulic lithotripsy. In the latter case, the duct can be entered for use of a laser to fragment stones. 29 We have been gaining experience with the use of a cholangioscope which has been very useful for non-surgical management of patients with pancreatic stones. Figures 11, 12 and 13 show the Spyglass inside the Wirsung duct performing laser lithotripsy on a large stone. After the procedure, a pancreas stent is always placed.

Figure 7 Cannulation of the Wirsung duct. Cloudy material is seen due to chronic pancreatitis (image courtesy of the Union of Surgeons SAS, Lázaro Arango).

Figure 8 Opening cut of the pancreatic duct (image courtesy of the Union of Surgeons SAS, Lázaro Arango).

Figure 9 Exploration of the Wirsung duct with Dormia basket (image courtesy of the Union of Surgeons SAS, Lázaro Arango).

Figure 10 Stone extraction from the Wirsung duct (image courtesy of the Union of Surgeons SAS, Lázaro Arango).

Figure 11 Calculi within the Wirsung duct seen by cholangioscopy (image courtesy of Unión de Cirujanos SAS, Manizales, Colombia).

Figure 12 Calculus fragments fractured by laser and ready to be extracted (image courtesy of Unión de Cirujanos SAS, Manizales, Colombia).

Figure 13 Stones to be removed with lithotripsy are shown in the upper left. The upper right is the same image as in Figure 12. Below left is the guide used to introduce the extraction balloon to sweep or clean the remnants of stones. Below right, the pancreatic stent placed at the end of the procedure is shown.
ERCP plus sphincterotomy, balloon dilation, and plastic, metal, or biodegradable stents are used to manage biliary strictures and the main pancreatic duct. 30 A pseudocyst should be treated when it becomes symptomatic and can be done by either a transpapillary or transmural (transgastric or transduodenal) route. The ERCP-guided approach is indicated for lesions measuring less than 5 mm which disrupt the main pancreatic duct. For large pseudocysts, EUS-guided transmural drainage is indicated. 28,30
A celiac plexus block is used to manage pain, especially in patients who require high doses of narcotics. It relieves pain and reduces the need to administer analgesics, but its effect is temporary. 21 The procedure consists of a guided injection (preferably by EUS) of a steroid and a local anesthetic into the celiac plexus to cut the afferent nociception pathways. 1
Surgical Treatment
Surgical treatment of CP is indicated when medical and endoscopic management of CP complications have failed. The goals of surgery are to decompress the blocked ducts and preserve the pancreatic tissue. Among the surgical procedures used are the Puestow procedure (lateral pancreaticojejunostomy), partial pancreatectomies and total pancreatectomies with autologous transplantation of pancreatic islets. 21
Conclusion
CP significantly alters patients’ quality of life. Management should initially focus on pain management, but should also work to prevent and manage complications. The approach must be comprehensive and multidisciplinary with the judicious use of replacement therapy and early intervention, using endoscopic and surgical therapy only for selected patients.
Acknowledgments
We thank Dr. Camilo Ángel Rodríguez for his collaboration with Spyglass pancreatoscopy follow-up of patients with calculi and for his aid in the review of the relevant literature on risk indexes
REFERENCES
1. Trikudanathan G, Navaneethan U, Swaroop S. Modern treatment of patients with chronic pancreatitis, Gastroenterol Clin N Am. 2012;41:63-76. doi: https://doi.org/10.1016/j.gtc.2011.12.009. [ Links ]
2. Lizarazo J. Fisiopatología de la pancreatitis crónica. Rev Col Gastroenterol. 2008;(3):290-8. [ Links ]
3. Yang D, Forsmark C. Chronic pancreatitis. Curr Opin Gastroenterol. 2017;33:396-403. doi: https://doi.org/10.1097/MOG.0000000000000377. [ Links ]
4. Siddiqui U, Hawes R. Chronic pancreatitis. En: Chandrasekhara V, Khashab M, Elmunzer BJ, Muthusamy VR. Clinical Gastrointestinal Endoscopy. 3ª edición. Elsevier. 2019. p. 686-98. doi: https://doi.org/10.1016/C2014-0-03901-9. [ Links ]
5. Anaizi A, Hart P, Conwell D. Diagnosing chronic pancreatitis. Dig Dis Sci. 2017;62(7):1713-20. doi: https://doi.org/10.1007/s10620-017-4493-2. [ Links ]
6. Nikfarjam M, Wilson J, Smith R, Australasian Pancreatic Club Pancreatic Enzyme Replacement Therapy Guidelines Working Group. Diagnosis and management of pancreatic exocrine insufficiency. Med J Aust. 2017;207(4):161-5. doi: https://doi.org/10.5694/mja16.00851. [ Links ]
7. Conwell D, Lee L, Yadav D, Longnecker DS, Miller FH, Mortele KJ, et al. American Pancreatic Association Practice Guidelines in Chronic Pancreatitis: evidence-based report on diagnostic guidelines. Pancreas. 2014;43(8):1143-62. doi: https://doi.org/10.1097/MPA.0000000000000237. [ Links ]
8. Vanga RR, Tansel A, Sidiq S, El-Serag HB, Othman MO, et al. Diagnostic performance of measurement of fecal elastase-1 in detection of exocrine pancreatic insufficiency - systematic review and meta-analysis. Clin Gastroenterol Hepatol. 2018;16(8):1220-8.e4. doi: 10.1016/j.cgh.2018.01.027. [ Links ]
9. Domínguez-Muñoz JE, Nieto L, Vilarino M, Lourido MV, Iglesias-García J, et al. Development and diagnostic accuracy of a breath test for pancreatic exocrine insufficiency in chronic pancreatitis. Pancreas. 2016;45:241-7. doi: https://doi.org/10.1097/MPA.0000000000000434. [ Links ]
10. Frøkjær JB, Akisik F, Farooq A, Akpinar B, Dasyam A, Drewes AM, et al. Guidelines for the diagnostic cross sectional imaging and severity scoring of chronic pancreatitis. Pancreatology. 2018;18(7):764-73. doi: 10.1016/j.pan.2018.08.012. [ Links ]
11. Tirkes T. Chronic pancreatitis what the clinician wants to know from MR Imaging, Magn Reson Imaging Clin N Am. 2018;26(3):451-61. doi: https://doi.org/10.1016/j.mric.2018.03.012. [ Links ]
12. Irisawa A, Shibukawa G, Abe Y, Nikaido A, Inbe K, Hoshi K. Endosonographic diagnosis of chronic pancreatitis. J Gastroint Dig Syst. 2013;S2:005. doi: https://doi.org/10.4172/2161-069X.S2-005. [ Links ]
13. Cañadas R, Aponte D, Albis R, Sabbagh LC. Utilidad del ultrasonido endoscópico en el diagnóstico de pancreatitis crónica: la importancia de un diagnóstico temprano. Rev Col Gastroenterol. 2013;28(3):226-34. [ Links ]
14. Arango L, Diaz C. Ultrasonografía endoscópica en patologías del páncreas. Rev Med Clin Las Cond. 2015;(5):556-710. [ Links ]
15. Sabbagh L, Aponte D, Cañadas R, Torres M, Álvarez E, Prieto RG, et al. Guía de práctica clínica para el uso de ultrasonido endoscópico en pancreatitis crónica, lesiones quísticas y sólidas del páncreas en adultos. Rev Col Gastroenterol. 2015;(Sup1):97-104. [ Links ]
16. Sheel A, Baron R, Sarantitis I, Ramesh J, Ghaneh P, Raraty MGT, et al. The diagnostic value of Rosemont and Japanese diagnostic criteria for ‘indeterminate’, ‘suggestive’, ‘possible’ and ‘early’ chronic pancreatitis. Pancreatology. 2018;18(7):774-84. doi: https://doi.org/10.1016/j.pan.2018.08.002. [ Links ]
17. Witt H, Apte MV, Keim, Wilson JS. Chronic pancreatitis: challenges and advances in pathogenesis, genetics, diagnosis, and therapy. Gastroenterology. 2007;132:1557-73. doi: https://doi.org/10.1053/j.gastro.2007.03.001. [ Links ]
18. Catalano M, Sahai A, Levy M, Romagnuolo J, Wiersema M, Brugge W, et al. EUS-based criteria for the diagnosis of chronic pancreatitis: the Rosemont classification. Gastrointes Endos. 2009;(7):1251-61. doi: https://doi.org/10.1016/j.gie.2008.07.043. [ Links ]
19. Shimosegawa T, Kataoka K, Kamisawa T, Miyakawa H, Ohara H, Ito T, et al. The revised Japanese clinical diagnostic criteria for chronic pancreatitis. J Gastroenterol. 2010;45:584-91. doi: https://doi.org/10.1007/s00535-010-0242-4. [ Links ]
20. Domínguez-Muñoz J, Iglesias-García J, Castiñeira Alvariño M, Luaces Regueira M, Lariño-Noia J. EUS elastography to predict pancreatic exocrine insufficiency in patients with chronic pancreatitis, Gastrointest Endosc. 2015;81:136-42. doi: https://doi.org/10.1016/j.gie.2014.06.040. [ Links ]
21. Czul F, Coronel E, Done JA. Una actualización de pancreatitis crónica: artículo de revisión. Rev Gastroenterol Perú. 2017;37(2):146-55. [ Links ]
22. Han S, Kheder J, Bocelli L, Fahed J, Wachholtz A, Seward G, et al. Smoking cessation in a chronic pancreatitis population. Pancreas . 2016;45:1303-8. doi: https://doi.org/10.1097/MPA.0000000000000641. [ Links ]
23. Duggan S. Negotiating the complexities of exocrine and endocrine dysfunction in chronic pancreatitis. Proceedings Nutrition Soc. 2017;76:484-94. doi: 10.1017/S0029665117001045. [ Links ]
24. De la Iglesia D, Vallejo-Senra N, López-López A, Iglesias-Garcia J, Lariño-Noia J, Nieto-García L, et al. Pancreatic exocrine insufficiency and cardiovascular risk in patients with chronic pancreatitis (CP). A prospective, longitudinal cohort study. J Gastroenterol Hepatol. 2019;34(1):277-283. doi: https://doi.org/10.1111/jgh.14460. [ Links ]
25. Drewes AM, Bouwense S, Campbell CM, Ceyhand GO, Delhaye M, Demir IE, et al. Guidelines for the understanding and management of pain in chronic pancreatitis, Pancreatology. 2017;17(5):720-31. doi: https://doi.org/10.1016/j.pan.2017.07.006. [ Links ]
26. Domínguez J. Fisiopatología, diagnóstico y tratamiento de la insuficiencia pancreática exocrina en el paciente con pancreatitis crónica. Gastroenterol Hepatol. 2005;28(2):22-8. doi: https://doi.org/10.1157/13071383. [ Links ]
27. Majumder S, Chari ST. Chronic pancreatitis. Lancet. 2016;387(10031):1957-66. doi: 10.1016/S0140-6736(16)00097-0. [ Links ]
28. Adler J, Gardner T. Endoscopic therapies for chronic pancreatitis. Dig Dis Sci. 2017;1729-37. doi: https://doi.org/10.1007/s10620-017-4502-5. [ Links ]
29. Derdeyn J, Laleman W. Current role of endoscopic cholangioscopy. Curr op Gastroentrol. 2018;34(5):301-8. doi: 10.1097/MOG.0000000000000457. [ Links ]
30. Moran R, Elmunzer B. Endoscopic treatment of pain in chronic pancreatitis. Curr Opin Gastroenterol. 2018;34(6):469-76. doi: 10.1097/MOG.0000000000000480. [ Links ]
Received: October 14, 2018; Accepted: September 04, 2019










texto em 


