Serviços Personalizados
Journal
Artigo
Indicadores
-
Citado por SciELO -
Acessos
Links relacionados
-
Citado por Google -
Similares em
SciELO -
Similares em Google
Compartilhar
Revista colombiana de Gastroenterología
versão impressa ISSN 0120-9957versão On-line ISSN 2500-7440
Rev. colomb. Gastroenterol. vol.36 supl.1 Bogotá abr. 2021 Epub 21-Fev-2022
https://doi.org/10.22516/25007440.576
Casos clínicos
Atresia biliar por citomegalovirus: un reporte de caso
1 Médico, pediatra y epidemiólogo. Pediatra de hospitalización, Instituto Roosevelt. Bogotá, Colombia.
2 Residente de Pediatría, Universidad de los Andes, Bogotá, Colombia.
3 Médico general, Hospital General de la Orinoquía. Funza, Colombia.
4 Estudiante de medicina, Universidad del Rosario. Bogotá, Colombia.
5 Médico general, asistente de investigación, Universidad del Rosario. Bogotá, Colombia.
6 Médico pediatra, infectólogo pediatra, especialista en microbiología médica, Instituto Roosevelt, Bogotá, Colombia.
7 Pediatra, Universidad del Rosario. Profesor de Pediatría, Universidad de los Andes. Bogotá, Colombia.
La atresia biliar asociada con inmunoglobulina M (IgM) positiva para citomegalovirus (CMV) es una entidad infrecuente que se caracteriza por la obliteración inflamatoria progresiva de los conductos intra- o extrahepáticos producida por una reacción autoinmune perinatal contra el CMV. El diagnóstico se realiza con IgM positiva para CMV y biopsia hepática con evidencia de atresia de las vías biliares. El conocimiento y la identificación temprana de esta patología conduce a un manejo quirúrgico temprano, mejorando considerablemente el pronóstico de estos pacientes. Se presenta un caso clínico de una paciente de 82 días de edad con un cuadro de acolia, coluria e ictericia de inicio tardío, asociado con hiperbilirrubinemia a expensas de la directa, elevación de perfil hepático e IgM positiva para CMV. La colangiorresonancia intraoperatoria confirmó el cuadro de atresia de las vías biliares. Se realizó una derivación biliodigestiva tipo Kasai y la toma de biopsia hepática que confirmó el cuadro clínico.
Palabras clave (DeCs): Atresia biliar; citomegalovirus; ictericia obstructiva
Biliary atresia associated with positive cytomegalovirus IgM results is a rare condition characterized by progressive inflammatory obliteration of the intra- or extrahepatic ducts. It is caused by a perinatal autoimmune reaction against cytomegalovirus (CMV). Diagnosis is made based on positive IgM for CMV and liver biopsy with evidence of bile duct atresia. Knowledge and timely identification of this disease leads to early surgical management, considerably improving the prognosis of these patients. This is the clinical case of an 82-day-old female patient with late-onset acholia, choluria, and jaundice, associated with conjugated hyperbilirubinemia, elevated liver function tests and positive CMV IgM results. Intraoperative cholangioresonance confirmed bile duct atresia. The Kasai procedure was performed, and a liver biopsy was taken, confirming the diagnosis.
Keywords (DeCS): Biliary atresia; Cytomegalovirus; Obstructive jaundice
INTRODUCCIÓN
La atresia biliar es una entidad que afecta el sistema hepatobiliar por una obliteración inflamatoria progresiva de los conductos intra- o extrahepáticos. La incidencia varía de 1:3000 a 1:20 000 nacidos vivos 1-3 y afecta más al sexo femenino 1,3. El cuadro inicia en las primeras semanas de nacimiento con ictericia progresiva asociada con acolia y coluria 4. La derivación biliodigestiva tipo Kasai es el tratamiento de elección. A pesar del manejo, el 50 % de los pacientes requiere un trasplante hepático antes de los 2 años de edad 1.
Dentro de las entidades que engloba la atresia biliar se encuentra la atresia biliar asociada con IgM positiva para citomegalovirus (CMV) 5. Esta representa el 10 %-20 % de los casos de atresia biliar en Europa y el 50 % en China 5. Su diagnóstico tiende a ser tardío y se relaciona con un peor pronóstico 1,4.
El objetivo de este artículo es presentar el caso clínico de una paciente diagnosticada con atresia biliar asociada con IgM positiva para CMV y se discuten los aspectos relacionados con esta patología, el diagnóstico y el manejo actual sugerido por la literatura.
CASO CLÍNICO
Paciente de 82 días de edad, producto de gestación y parto vaginal sin complicaciones, sin antecedentes de importancia, que ingresó remitida por un cuadro de 2 meses de evolución de ictericia generalizada y progresiva, acolia, coluria y pico febril. Al examen físico se encontró en adecuadas condiciones, ictérica, con abdomen distendido con hepatomegalia no dolorosa a la palpación. Dentro de los paraclínicos de remisión se evidenció la elevación de aspartato-aminotransferasa (AST: 430 U/L), de alanina-aminotransferasa (ALT: 191 U/L), de la fosfatasa alcalina (FA: 531 mg/dL) y de bilirrubinas totales (10,41 mg/dL) a expensas de la directa (7,28 mg/dL). Además, tenía un cuadro hemático y glucemia normales. Ante el cuadro de colestasis, se sospechó atresia de vías biliares frente a síndrome de Alagille, por lo que se solicitó perfil hepático e infeccioso, e imágenes.
En cuanto al perfil hepático, se evidenció una disminución en las proteínas totales (5,37 mg/dL) y albúmina (3,5 mg/dL), sin alteración de los tiempos de coagulación. Se evidenciaron los anticuerpos inmunoglobulina G (IgG) e inmunoglobulina M (IgM) positivos para CMV. Ante esto, se inició el tratamiento con ganciclovir a 12 mg/kg/día y se realizaron estudios de extensión. La carga viral dio positiva con 372 copias/mL, con lo que se confirmó la infección por CMV activa. Ante la sospecha diagnóstica de síndrome de Alagille, se solicitaron potenciales visuales: radiografías de abdomen, columna cervical, torácica y lumbosacra, que resultaron normales. La tomografía axial computarizada (TAC) de cráneo no evidenció calcificaciones, pero los potenciales auditivos evidenciaron hipoacusia moderada derecha, por lo que probablemente la infección por CMV fuera de origen congénito. Debido a lo anterior, se requirió una biopsia hepática para la confirmación.
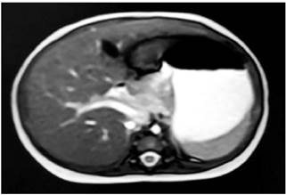
La ecografía abdominal evidenció el colédoco de 2,6 mm, sin otros hallazgos. Se solicitó una colangiorresonancia con vesícula biliar colapsada con longitud de 21 mm y diámetro transversal de 3 mm, sin dilatación de la vía intrahepática; la vía extrahepática no se pudo caracterizar por una limitación técnica (Figura 1). Se realizó una colangiografía intraoperatoria que reportó atresia de vías biliares y, posteriormente, se realizó la derivación biliodigestiva tipo Kasai a los 95 días de vida.
Intraoperatoriamente, se evidenció el hígado cirrótico, pétreo con escaso sangrado al corte, atresia de la vía biliar tipo III, sin evidencia de conductos hepáticos o hilio dilatado y no se observó la salida de bilis luego de la sección de la porta hepática. Se tomó una biopsia hepática del segmento V, que evidenció el parénquima hepático con distorsión arquitectural grave, ductos biliares con mesénquima y fibrosis circundante que exhibió neovascularización gigantocelular. En los espacios porta se apreciaron conductos biliares proliferados y alterados por la fibrosis, lo que confirmó la atresia biliar asociada con IgM positiva para CMV. Ante la ausencia de muestras de ácido desoxirribonucleico (ADN) del CMV o IgM positivas para CMV en las primeras 3 semanas de vida, no se pudo confirmar si la infección fue adquirida de forma neonatal o congénita. Posteriormente, la paciente presentó una disminución importante de la ictericia y se dio de alta. En las valoraciones posteriores se determinó que requiere trasplante hepático.
DISCUSIÓN
La atresia biliar es una entidad en la que se genera la obliteración inflamatoria de los conductos intra- o extrahepáticos 1. Aunque la causa específica es desconocida, se puede decir que es de carácter multifactorial 6. Se han descrito factores genéticos, inflamatorios y tóxicos 6. De todos los casos de atresia biliar, el 20 % se asocia con otras malformaciones congénitas, lo que se ha clasificado como atresia biliar con síndrome de malformación esplénica 6. El factor que produce este síndrome se manifiesta durante la embriogénesis. Por el contrario, en el 80 % restante de los casos en los que únicamente hay compromiso hepático, se considera que el factor causal ocurre durante el período perinatal. Dentro de este grupo, Lakshminarayana y colaboradores distinguieron 3 entidades que compartían similitudes. El primero corresponde a la atresia biliar cística, que presenta cambios quísticos asociados con obliteración de los conductos hepáticos; la segunda es la atresia biliar asociada con IgM positiva para CMV, eje central de este artículo; y la tercera es la atresia biliar aislada, que no comparte características con las anteriores 5.
El CMV es un virus de ADN que pertenece a la familia Herpesviridae. Causa una infección desapercibida común en infantes o adultos con prevalencia del 60 %-90 % a nivel mundial. Se puede generar un cuadro letal en neonatos 3. En estos, la clínica varía desde una viremia asintomática, síndrome por CMV o una enfermedad invasora de tejidos, que ocurre cuando se compromete un órgano específico (neumonitis, colitis, hepatitis) 7. El compromiso hepático es común en la infección congénita y en la perinatal 8. La afección de hígado puede ser leve y producir hepatomegalia o aumento de transaminasas, o dar un compromiso moderado a grave (hepatitis, hepatopatía colestásica y cirrosis), aunque estas últimas son muy infrecuentes 8.
Particularmente, se ha encontrado IgM positiva para CMV en pacientes con atresia biliar. Para comprobar la causalidad de que el virus produce atresia biliar, se ha evidenciado que en pacientes con atresia biliar asociada con IgM positiva para CMV se detecta ADN viral en el 60 % de las biopsias hepáticas, asociado con un mayor número de características histológicas típicas de atresia biliar, en comparación con biopsias de pacientes con atresia biliar e IgM negativa para CMV 3,9,10. Por lo anterior, en la actualidad el CMV se considera un agente causal de atresia de vías biliares.
Se estipula que la infección viral activa el sistema inmunológico inmaduro y desencadena un patrón autoinmune secundario a la ruptura de la tolerancia o a una regulación inmunitaria deficiente. Se caracteriza por el desequilibrio en la diferenciación celular Th1/Th2 y defectos en la cantidad y función de las células T reguladoras que lleva a lesión de las células epiteliales y ductales, fibrosis y cirrosis hepática 3,4,11.
El momento de la adquisición de la infección por CMV que conlleva a atresia biliar sigue siendo investigado, aunque se cree que se da en el tercer trimestre de la gestación o durante la vida neonatal 6. Zani y colaboradores sugieren la presencia de infección prenatal si el paciente presenta ADN o IgM de CMV positivos en los primeros 21 días de vida. Sin embargo, la obtención de estos paraclínicos no es habitual 10.
La atresia biliar asociada con IgM positiva para CMV se diferencia de otras clases de atresia biliar, presenta un cuadro clínico de inicio tardío. El paciente nace aparentemente sano, pero a partir de la segunda semana de vida presenta colestasis obstructiva que se prolonga a lo largo del tiempo 5. Ante este espectro clínico, se deben descartar otras etiologías de colestasis neonatal 12. Las pruebas complementarias más importantes para el diagnóstico son un perfil hepático que evidencia hiperbilirrubinemia a expensas de la directa con elevación de enzimas hepáticas, serología viral con IgM positiva para CMV, imagenología que confirme la atresia biliar y una biopsia hepática 5.
En cuanto a las imágenes diagnósticas, en un metaanálisis la ecografía evidenció una sensibilidad de 74,9 % y especificidad del 93,4 % para el diagnóstico de atresia biliar. La baja sensibilidad fue atribuible a la experticia variable del operador 13. La colangiorresonancia presenta una sensibilidad del 87,7 % y especificidad del 64,7 % 13. La biopsia hepática continúa siendo uno de los métodos más confiables para el diagnóstico de atresia biliar 14. Específicamente, en la atresia biliar asociada con IgM positiva para CMV se evidencian conductos portales expandidos, proliferación de los conductos biliares, fibrosis e inflamación hepática marcada 1.
El tratamiento consiste en la derivación biliodigestiva tipo Kasai que, si se realiza en los primeros 45 días de vida, se asocia con un mejor pronóstico y supervivencia 15. Sin embargo, en pacientes con atresia biliar asociada con IgM positiva para CMV, la presentación y el diagnóstico tardío posterga el manejo quirúrgico que, según los estudios, se realiza en promedio entre los 70-75 días de vida 10,16, lo que disminuye el aclaramiento posquirúrgico de la ictericia y aumenta la probabilidad de requerir trasplante hepático a corto plazo (4).
El tratamiento posquirúrgico se realiza con ácido ursodeoxicólico, antibióticos y vitaminas liposolubles 4. En este momento hay estudios que están evaluando la eficacia de antivirales para atresia biliar asociada con IgM positiva para CMV 1,17. Parolini y colaboradores evidenciaron que en pacientes con derivación biliodigestiva tipo Kasai, el tratamiento con ganciclovir o valganciclovir mejoró la resolución de la ictericia, aumentó la supervivencia del hígado nativo y redujo la necesidad de trasplante hepático 1,17.
CONCLUSIÓN
La atresia biliar asociada con IgM positiva para CMV presenta características distintivas de otras causas de atresia biliar. El cuadro clínico es de inicio tardío y se diagnostica con IgM positivo para CMV y la biopsia hepática que evidencia mayor fibrosis y características histológicas compatibles con atresia biliar. El tratamiento se realiza con una derivación biliodigestiva tipo Kasai y la administración posquirúrgica de ácido ursodeoxicólico, antibióticos y vitaminas liposolubles. En el momento, se evalúa el efecto del tratamiento con antivirales para el manejo de esta patología.
REFERENCIAS
1. Averbukh LD, Wu GY. Evidence for Viral Induction of Biliary Atresia: A Review. Journal of clinical and translational hepatology. 2018;6(4):410-9. https://doi.org/10.14218/JCTH.2018.00046 [ Links ]
2. Moore SW, Zabiegaj-Zwick C, Nel E. Problems related to CMV infection and biliary atresia. S Afr Med J. 2012;102(11 Pt 2):890-2. https://doi.org/10.7196/SAMJ.6163 [ Links ]
3. Xu Y, Yu J, Zhang R, Yin Y, Ye J, Tan L, Xia H. The perinatal infection of cytomeg-alovirus is an important etiology for biliary atresia in China. Clin Pediatr (Phila). 2012;51(2):109-13. 4.https://doi.org/10.1177/0009922811406264 [ Links ]
4. Bezerra JA, Wells RG, Mack CL, Karpen SJ, Hoofnagle JH, Doo E, Sokol RJ. Biliary Atresia: Clinical and Research Challenges for the Twenty-First Century. Hepatology. 2018;68(3):1163-73. https://doi.org/10.1002/hep.29905 [ Links ]
5. Lakshminarayanan B, Davenport M. Biliary atresia: A comprehensive review. J Autoimmun. 2016;73:1-9.https://doi.org/10.1016/j.jaut.2016.06.005 [ Links ]
6. Hartley JL, Davenport M, Kelly DA. Biliary atresia. Lancet. 2009;374(9702):1704-13. https://doi.org/10.1016/S0140-6736(09)60946-6 [ Links ]
7. Plosa EJ, Esbenshade JC, Fuller MP, Weitkamp JH. Cytomegalovirus infection. Pediatr Rev. 2012;33(4):156-63; quiz 63. https://doi.org/10.1542/pir.33-4-156 [ Links ]
8. Li W-W, Shan J-J, Lin L-L, Xie T, He L-L, Yang Y, Wang SC. Disturbance in Plasma Metabolic Profile in Different Types of Human Cytomegalovirus-Induced Liver Injury in In-fants. Scientific Reports. 2017;7(1):15696. https://doi.org/10.1038/s41598-017-16051-8 [ Links ]
9. Wang W, Zheng S, Shong Z, Zhao R. Development of a guinea pig model of peri-natal cytomegalovirus-induced hepatobiliary injury. Fetal Pediatr Pathol. 2011;30(5):301-11. https://doi.org/10.3109/15513815.2011.572959 [ Links ]
10. Zani A, Quaglia A, Hadzić N, Zuckerman M, Davenport M. Cytomegalovirus-associated biliary atresia: An aetiological and prognostic subgroup. J Pediatr Surg. 2015;50(10):1739-45. https://doi.org/10.1016/j.jpedsurg.2015.03.001 [ Links ]
11. Mack CL. The pathogenesis of biliary atresia: evidence for a virus-induced autoim-mune disease. Semin Liver Dis. 2007;27(3):233-42. https://doi.org/10.1055/s-2007-985068 [ Links ]
12. Fawaz R, Baumann U, Ekong U, Fischler B, Hadzic N, Mack CL, McLin VA, Molleston JP, Neimark E, Ng VL, Karpen SJ. Guideline for the Evaluation of Cholestatic Jaundice in Infants: Joint Recommendations of the North American Society for Pediatric Gastroenterology, Hepatology, and Nutrition and the European Society for Pediatric Gastroenterology, Hepatology, and Nutrition. J Pediatr Gastroenterol Nutr. 2017;64(1):154-68. https://doi.org/10.1097/MPG.0000000000001334 [ Links ]
13. He JP, Hao Y, Wang XL, Yang XJ, Shao JF, Feng JX. Comparison of different non-invasive diagnostic methods for biliary atresia: a meta-analysis. World J Pediatr. 2016;12(1):35-43. https://doi.org/10.1007/s12519-015-0071-x [ Links ]
14. Dong C, Zhu HY, Chen YC, Luo XP, Huang ZH. Clinical Assessment of Differential Diagnostic Methods in Infants with Cholestasis due to Biliary Atresia or Non-Biliary Atresia. Curr Med Sci. 2018;38(1):137-43. https://doi.org/10.1007/s11596-018-1857-6 [ Links ]
15. Serinet MO, Wildhaber BE, Broué P, Lachaux A, Sarles J, Jacquemin E, Gauthier F, Chardot C. Impact of age at Kasai operation on its results in late childhood and adolescence: a rational basis for biliary atresia screening. Pediatrics. 2009;123(5):1280-6. https://doi.org/10.1542/peds.2008-1949 [ Links ]
16. Fischler B, Svensson JF, Nemeth A. Early cytomegalovirus infection and the long-term outcome of biliary atresia. Acta Paediatr. 2009;98(10):1600-2. https://doi.org/10.1111/j.1651-2227.2009.01416.x [ Links ]
17. Parolini F, Hadzic N, Davenport M. Adjuvant therapy of cytomegalovirus IgM + ve associated biliary atresia: Prima facie evidence of effect. Journal of Pediatric Surgery. 2019;54(9):1941-5. https://doi.org/10.1016/j.jpedsurg.2018.12.014 [ Links ]
Citación: Pinzón-Salamanca JY, Martínez-Camacho AV, Castilla-Bolaños C, Botero-Grisales LC, Vargas-Orjuela MP, Donoso-Samper A, Soto-Guzmán FG, Suescún-Vargas JM. Atresia biliar por citomegalovirus: un reporte de caso. Rev Colomb Gastroenterol. 2021;36(Supl.1):63-66. https://doi.org/10.22516/25007440.576
Recibido: 24 de Mayo de 2020; Aprobado: 31 de Julio de 2020










texto em 




