Serviços Personalizados
Journal
Artigo
Indicadores
-
Citado por SciELO -
Acessos
Links relacionados
-
Citado por Google -
Similares em
SciELO -
Similares em Google
Compartilhar
Revista colombiana de Gastroenterología
versão impressa ISSN 0120-9957versão On-line ISSN 2500-7440
Rev. colomb. Gastroenterol. vol.38 no.2 Bogotá abr./jun. 2023 Epub 06-Set-2023
https://doi.org/10.22516/25007440.920
Reporte de caso
Síndrome de Budd-Chiari por COVID-19: una asociación poco frecuente
1Research Department, Hospital Regional de la Orinoquía. Yopal, Colombia.
2Internist, Universidad de Boyacá. Tunja, Colombia.
3Internist, Universidad Cooperativa. Villavicencio, Colombia.
4Medical epidemiologist, Hospital Regional de la Orinoquía. Yopal, Colombia.
Introducción:
el coronavirus del síndrome respiratorio agudo grave de tipo 2 (SARS-CoV-2) es un virus que puede causar infecciones respiratorias y poner en riesgo la vida de los pacientes. Aunque afecta principalmente las vías respiratorias, se pueden presentar manifestaciones clínicas extrapulmonares como estados de hipercoagulabilidad, lo que causa patologías como enfermedad cerebrovascular e infarto agudo de miocardio, y en casos menos frecuentes, síndrome de Budd-Chiari.
Caso clínico:
se presenta el caso de una paciente que ingresó al servicio de urgencias por disnea de medianos esfuerzos, deterioro progresivo de la clase funcional y edema en extremidades inferiores asociado con tos, fiebre y adinamia. Refirió el antecedente de infección por enfermedad por coronavirus de 2019 (COVID-19) un mes antes y la tomografía de abdomen contrastada reveló síndrome de Budd-Chiari subagudo de la vena subhepática media asociada a trombosis del ventrículo derecho con prueba positiva para SARS-CoV-2.
Conclusiones:
El síndrome de Budd-Chiari es de origen multicausal, principalmente por estados de hipercoagulabilidad o presencia de neoplasias que ocasionan disrupción de la función del hígado o causan la ocupación de espacio sobre el drenaje venoso hepático; sin embargo, en el contexto de la pandemia de SARS CoV-2, aún se conoce muy poco la heterogeneidad de su patogénesis, como es la hipercoagulabilidad de la COVID-19 y el síndrome de Budd-Chiari, por lo que inferimos que están altamente relacionados.
Palabras clave: Síndrome de Budd-Chiari; obstrucción hepática del flujo venoso; infecciones por coronavirus
Introduction:
Severe acute respiratory syndrome coronavirus type 2 (SARS-CoV-2) is a virus that can cause respiratory infections and pose a risk to patients’ lives. While it primarily affects the airways, it can also lead to extrapulmonary clinical manifestations, such as hypercoagulable states, resulting in conditions like cerebrovascular disease, acute myocardial infarction, and, in rare cases, Budd-Chiari syndrome.
Clinical case:
This case involves a patient who was admitted to the emergency room with dyspnea on moderate exertion, progressive functional class deterioration, lower extremity edema, cough, fever, and weakness. The patient had a history of coronavirus disease 2019 (COVID-19) infection one month prior. Abdominal CT scan revealed subacute Budd-Chiari syndrome involving the middle sub-hepatic vein, along with right ventricle thrombosis, and a positive test for SARS-CoV-2.
Conclusions:
Budd-Chiari syndrome has multiple causes, primarily associated with hypercoagulable states or the presence of neoplasms that disrupt liver function or obstruct hepatic venous drainage. However, the understanding of the relationship between COVID-19 hypercoagulability and Budd-Chiari syndrome is still limited. Further research is needed to explore the heterogeneity of its pathogenesis in the context of the SARS-CoV-2 pandemic.
Keywords: Budd-Chiari syndrome; hepatic obstruction of venous outflow; coronavirus infections
Introducción
El coronavirus del síndrome respiratorio agudo grave de tipo 2 (SARS-CoV-2) puede causar infecciones respiratorias leves hasta casos graves que ponen en riesgo la vida de los pacientes; sin embargo, su presentación clínica es diversa, aunque afecta principalmente al sistema respiratorio, también puede causar manifestaciones extrapulmonares poco frecuentes asociadas a estados de hipercoagulabilidad1.
El síndrome Budd-Chiari (SBC) se define como una obstrucción del drenaje venoso hepático, causado principalmente por estados de hipercoagulabilidad y la presencia de neoplasias que alteran la función hepática o causan obstrucción del sistema vascular2; y su incidencia oscila entre 2,0 y 2,2 por millón de habitantes3. Se presenta el caso clínico de una paciente diagnosticada con SBC subagudo de la vena subhepática media asociada a trombosis del ventrículo derecho (VD) con infección reciente de enfermedad por coronavirus de 2019 (COVID-19).
Existen pocos casos reportados de SBC asociado a infección por COVID-19, y en este artículo se muestra el espectro heterogéneo de la presentación clínica y la patogénesis de la COVID-19 al ocasionar SBC.
Reporte de caso
Se trata de una mujer de 36 años con antecedentes de hepatitis en la infancia de etiología no específica y vitiligo desde la niñez, sin antecedente de consumo de alcohol. Consultó por un cuadro clínico de 15 días de evolución consistente en disnea de medianos esfuerzos, deterioro progresivo de la clase funcional (NYHA III/IV), dolor torácico asociado a accesos de tos con expectoración, picos febriles no cuantificados, adinamia y malestar general.
En el examen físico los signos vitales fueron: presión arterial (PA): 115/70 mm Hg y frecuencia cardíaca (FC): 80 latidos por minuto (lpm); tenía ictericia, el murmullo vesicular estaba disminuido en ambas bases pulmonares, el abdomen no fue doloroso a la palpación y estaba distendido; se evidenció hepatomegalia, matidez a la percusión en ambos flancos, signo de onda ascítica positiva y esplenomegalia, la puñopercusión bilateral fue positiva y presentó un edema de grado II en las extremidades inferiores, piel sin lesiones superficiales o profundas, e ictericia generalizada. La evaluación de laboratorio inicial reveló hiperbilirrubinemia (15,27 mg/dL) a expensas de la bilirrubina directa (9,41 mg/dL), transaminitis (alanina-aminotransferasa [ALT]: 56 U/L, aspartato-aminotransferasa [AST]: 79 U/L), tromboplastina de tiempo parcial (TPT) normal (29,7 s) con control diario (26,2 s), tiempo de protrombina (TP) prolongado (20,5 s), control diario (13,2 s) e índice internacional normalizado (INR; 1,7), glicemia normal (78,4 mg/dL), hipoalbuminemia (2 g/dL), fosfatasa alcalina elevada (3478 U/L), amilasa normal (24 U/L) y γ-glutamil transferasa elevada (251 U/L).
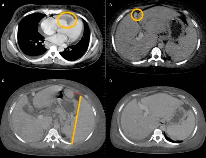
De acuerdo con el protocolo de pandemia por COVID-19, se le realizó un hisopado nasofaríngeo basado en la técnica de reacción en cadena de polimerasa (PCR), la cual fue positiva. La tomografía axial computarizada (TAC) contrastada de abdomen reveló consolidaciones en el lóbulo inferior derecho con derrame pleural, aurícula derecha dilatada, trombosis del ventrículo derecho (VD), vía biliar intra- y extrahepática conservada, vesícula biliar normal, sin litiasis. Se evidenció SBC por ausencia del flujo sanguíneo a nivel del tracto de salida de la vena suprahepática media, hipertensión portal, circulación colateral, hepatomegalia, esplenomegalia, ascitis y adenomegalias de predominio inguinal (Figura 1).

Figura 1 TAC contrastada que revela: A. Trombosis de la aurícula derecha; B. SBC evidenciada por ausencia del flujo sanguíneo a nivel del tracto de salida de la vena suprahepática media, hepatomegalia; C y D. Esplenomegalia, ascitis y circulación colateral. Cortesía del departamento de radiología del Hospital Regional de la Orinoquia (HORO).
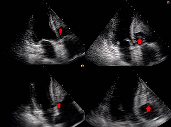
Una TAC de tórax ratificó el proceso consolidativo y derrame pericárdico (grosor: 7 mm), mientras que el ecocardiograma transtorácico evidenció el ventrículo derecho dilatado y la presencia de 2 trombos de igual ecogenicidad, uno que ocupaba la mayor parte de la pared libre y otro redondeado que oscilaba y alcanzaba a protruir la válvula tricúspide (Figura 2), por lo que se inició la anticoagulación con heparina de bajo peso molecular (HBPM: 1 mg/kg/día) y diuréticos.

Figura 2 Ecocardiograma transtorácico que muestra un trombo que cubre la mayor parte de la pared libre del ventrículo derecho con otra imagen de igual ecogenicidad, redondeada, de 1,6 x 1,6 cm, que oscilaba y alcanzaba a protruir por la válvula tricúspide. Cortesía del departamento de radiología del Hospital Regional de la Orinoquia (HORO).
La paciente cursaba con ascitis leve a moderada, pero el clínico la consideró candidata para el procedimiento invasivo con paracentesis. Fue diagnosticada con neumonía de etiología no clara, síndrome de dificultad respiratoria pos-COVID-19 y SBC subagudo de la vena suprahepática media asociada a trombosis del ventrículo derecho. Durante la hospitalización, la paciente presentó deterioro clínico, debido a las alzas térmicas hasta de 38,9 °C, hipotensión arterial e insuficiencia ventilatoria, por lo que requirió intubación endotraqueal, soporte vasopresor y esquema antibiótico de amplio espectro; sin embargo, 3 horas después falleció.
Las características clínicas de esta paciente son las manifestaciones típicas del SBC y, dado que no evidenciamos hallazgos clínicos, paraclínicos e imagenológicos asociados que se infirieran en otra probabilidad diagnóstica, consideramos que estuvo relacionado altamente con un proceso infeccioso por el virus SARS-CoV-2.
Discusión
La infección por SARS-CoV-2 continúa presentando manifestaciones clínicas significativas, la mayoría de casos cursa con síntomas leves que no afectan la calidad de vida y en casos poco frecuentes pueden existir estados de hipercoagulabilidad causada por alteraciones en la tríada de Virchow y cambios en los niveles séricos de los factores de coagulación que ponen al paciente en riesgo de padecer patologías isquémicas como enfermedad cerebrovascular (5,7%), síndrome coronario agudo (6%-7%), enfermedad tromboembólica venosa (trombosis venosa profunda: 5,4%; tromboembolismo pulmonar: 29%) y vasculitis, respectivamente4-6.
Dentro del estudio de la fisiopatología del SBC se considera como un factor importante la presencia de trombofilia y alteraciones en la coagulación del paciente; por lo mismo, la mayoría de las veces se relaciona a patologías neoplásicas, debido al estado de hipercoagulabilidad que pueden ocasionar7.
Teniendo en cuenta los diagnósticos diferenciales que pueden estar asociados al SBC, los que se consideraron en el presente caso clínico son la cirrosis hepática, trastornos mieloproliferativos (policitemia vera, trombocitemia esencial o trastornos de coagulación), carcinoma (hepatocelular, suprarrenal y renal), leiomiosarcoma y lesiones del hígado ocupantes de espacio como quistes hepáticos y sarcomas; además, se interrogó por la administración de anticonceptivos orales, los cuales se fueron descartando con base en el interrogatorio y las ayudas diagnósticas descritas7,8.
No se encontraron asociaciones clínicas que sugirieran otros antecedentes en el caso clínico, la paciente no presentaba alteraciones según el grupo etario como enfermedades autoinmunes, tenía antecedente de vitiligo desde la niñez, pero no se evidenció reactividad clínica y tampoco cumplía criterios para indicar un perfil autoinmune. El factor que predominó como principal fue la presencia del antecedente reciente de infección por SARS-CoV-2, que podría explicar los cambios fisiopatológicos a nivel hematológico y las alteraciones en el endotelio vascular que produce la COVID-19. Consideramos que la paciente desarrolló SBC subagudo secundario a infección por SARS-CoV-29.
Se realizó una revisión en la literatura de casos publicados de estas dos entidades clínicas y se encontró que existen pocos reportes de casos publicados10-14, por lo que creemos que estos hallazgos son importantes debido a que describimos el diverso espectro de la patogénesis de la COVID-19 y la heterogeneidad en la presentación clínica, como fue en este caso de SBC subagudo.
REFERENCIAS
1. Helms J, Tacquard C, Severac F, Leonard LI, Ohana M, Delabranche X, et al. High risk of thrombosis in patients with severe SARS-CoV-2 infection: a multicenter prospective cohort study. Intensive Care Med. 2020;46(6):1089-98. https://doi.org/10.1007/s00134-020-06062-x [ Links ]
2. Galindo LV, Cáceres ED, Suárez QY, Vargas RD, Ovalle AF. Ascitis en paciente con colitis ulcerativa como presentación del síndrome de Budd-Chiari: reporte de caso y revisión de la literatura. Hepatología. 2021;2(2):372-9. https://doi.org/10.52784/27112330.141 [ Links ]
3. Ageno W, Dentali F, Pomero F, Fenoglio L, Squizzato A, Pagani G, et al. Incidence rates and case fatality rates of portal vein thrombosis and Budd-Chiari Syndrome. Thromb Haemost 2017;117(4):794-800. https://doi.org/10.1160/TH16-10-0781 [ Links ]
4. Ranucci M, Ballotta A, Di DU, Baryshnikova E, Dei PM, Resta M, et al. The procoagulant pattern of patients with COVID-19 acute respiratory distress syndrome. J Thromb Haemost. 2020;18(7):1747-1751. https://doi.org/10.1111/jth.14854 [ Links ]
5. Sáenz Morales OA, Rubio AM, Yomayusa N, Gamba N, Garay Fernández M. Coagulopatía en la infección por el virus SARS-CoV-2 (COVID-19): de los mecanismos fisiopatológicos al diagnóstico y tratamiento. Acta Colomb Cuid Intensivo. 2022; 22(1):44-54. https://doi.org/10.1016/j.acci.2020.10.007 [ Links ]
6. Baselga MT, Fernández ML, Marín A, Fernández-Capitán C, Lorenzo A, Martínez-Alés G, et al. Trombosis y COVID-19: revisión de alcance. Acta Colomb Cuid Intensivo. 2022;22(1):11-23. https://doi.org/10.1016/j.acci.2020.09.002 [ Links ]
7. Hitawala AA, Gupta V. Budd Chiari Syndrome. [Updated 2023 Jan 30]. In: StatPearls [Internet]. Treasure Island (FL): StatPearls Publishing; 2023 Jan-. Available from: https://www.ncbi.nlm.nih.gov/books/NBK558941/ [ Links ]
8. Muñoz G, Vergara A, Cajiao L, Marín I, Restrepo C, Santos M. Síndrome de Budd-Chiari: etiología, manejo y resultados en una cohorte de 35 pacientes del Hospital Pablo Tobón Uribe. Rev Colomb Gastroenterol. 2020;35(3), 280-286. https://doi.org/10.22516/25007440.431 [ Links ]
9. Whitton ME, Pinart M, Batchelor J, Leonardi-Bee J, González U, Jiyad Z, et al. Interventions for vitiligo. Cochrane Database Syst Rev. 2015;(2):CD003263. https://doi.org/10.1002/14651858.CD003263.pub5 [ Links ]
10. Rozenshteyn F, Shah M, Adeyemo O, Smith MS. S2437 Budd-Chiari syndrome secondary to SARS-CoV-2 infection. Am J Gastroenterol. 2020;115(1):S1292-S1292. https://doi.org/10.14309/01.ajg.0000711796.23564.34 [ Links ]
11. Sh Hassan AA, Alsaleh ME, Alsaleh ME, Al Zaher FA, Almajed FA, Alkhudhair AM, et al. Budd-Chiari Syndrome: A Case Report of a Rare Presentation of COVID-19. Cureus. 2021;13(1):e12554. https://doi.org/10.7759/cureus.12554 [ Links ]
12. Greenfeld SM, Tadmor T. “catastrophic” thrombosis in a young patient with acute myeloid leukemia presenting early in the COVID-19 pandemic- A case report. In Vivo. 2021;35(5):2951-5. https://doi.org/10.21873/invivo.12588 [ Links ]
13. Rey LR, Elizondo BM, Rostán SS, Valverde GM, Gerona SS. Síndrome de Budd-Chiari. Análisis de una serie de casos y revisión del tema. Gastroenterol Latinoam. 2020;(3):127-35. https://doi.org/10.46613/gastrolat2020003-02 [ Links ]
14. Espinoza JAL, Júnior JE, Miranda CH. Atypical COVID-19 presentation with Budd-Chiari syndrome leading to an outbreak in the emergency department. Am J Emerg Med. 2021;46:800.e5-800.e7. https://doi.org/10.1016/j.ajem.2021.01.090 [ Links ]
Citación: Velasco-Castro JC, Patarroyo-Núñez MP, Galán-Lozano JD, García-Agudelo L, Vargas-Rodríguez LJ. Síndrome de Budd-Chiari por COVID-19: una asociación poco frecuente. Revista. colomb. Gastroenterol. 2023;38(2):194-198. https://doi.org/10.22516/25007440.920
Recibido: 10 de Junio de 2022; Aprobado: 18 de Agosto de 2022










texto em 



