Serviços Personalizados
Journal
Artigo
Indicadores
-
Citado por SciELO -
Acessos
Links relacionados
-
Citado por Google -
Similares em
SciELO -
Similares em Google
Compartilhar
Revista colombiana de Gastroenterología
versão impressa ISSN 0120-9957versão On-line ISSN 2500-7440
Rev. colomb. Gastroenterol. vol.38 no.3 Bogotá jul./set. 2023 Epub 18-Jan-2024
https://doi.org/10.22516/25007440.956
Reporte de caso
Esofagitis por virus del herpes simple en paciente inmunocompetente
1Department of Internal Medicine, Universidad Pontificia Bolivariana, Hospital Pablo Tobón Uribe. Medellín, Colombia.
2Physician and surgeon, internal medicine resident, Hospital Universitario San Vicente Fundación, Universidad de Antioquia. Medellín, Colombia.
3Internist and gastroenterologist, Hospital Pablo Tobón Uribe. Medellín, Colombia.
4Pathologist, Ayudas Diagnósticas SURA. Professor of Pathology, Universidad Pontificia Bolivariana, Hospital Pablo Tobón Uribe. Medellín, Colombia.
Se presenta el caso de un paciente de 17 años sin ninguna comorbilidad ni antecedente conocido que ingresó por disfagia. La endoscopia reveló lesiones ulceradas en el esófago distal que resultaron positivas para virus del herpes simple tipo 1 (VHS-1) en la inmunohistoquímica. Se hace una revisión de la esofagitis por VHS-1 en el paciente inmunocompetente.
Palabras clave: Esofagitis; virus del herpes; disfagia; inmunocompetente
We present the case of a 17-year-old patient with no known comorbidity or history who was admitted due to dysphagia. Endoscopy revealed ulcerated lesions in the distal esophagus that were positive for herpes simplex virus type 1 (HSV-1) on immunohistochemistry. An examination of HSV-1 esophagitis in the immunocompetent patient is made.
Keywords: Esophagitis; herpes virus; dysphagia; immunocompetent
Introducción
La esofagitis por herpes es una entidad bien conocida y descrita, que en la mayoría de los casos se presenta en pacientes con inmunosupresión grave. Esta enfermedad también se describe en pacientes inmunocompetentes solo que con mucha menos frecuencia: este grupo representa el 4% de las personas afectadas1. Dichos pacientes suelen cursar con factores predisponentes como consumo de alcohol, esofagitis eosinofílica, malnutrición o enfermedades esofágicas asociadas a enfermedad ácido-péptica2. En este artículo exponemos un caso de esofagitis herpética en un paciente joven sin ninguna comorbilidad previa o factor de riesgo conocido.
Descripción del caso
Se trata de un paciente de 17 años sin antecedentes conocidos. Consultó a urgencias por un cuadro de 4 días de evolución con dolor retroesternal de características mal definidas, no irradiado y asociado a disfagia para sólidos y líquidos que condicionaba intolerancia total a la vía oral; el cuadro se acompañaba de fiebre cuantificada en 38,4 °C y disuria. El paciente negó historia de infecciones bacterianas o virales a repetición en el pasado y, en general, cualquier tipo de infección recurrente; tampoco refirió conductas sexuales de riesgo.
Sus signos vitales de ingreso fueron: presión arterial: 90/60 mm Hg, frecuencia cardíaca: 117 latidos por minuto (lpm), frecuencia respiratoria: 18 respiraciones por minuto (rpm), saturación de oxígeno: 97% y fracción inspirada de oxígeno: 21%. El examen físico reveló lesiones orofaríngeas ulceradas y dolor abdominal en ambos flancos asociado a puño-percusión positiva bilateral.
Los paraclínicos de ingreso mostraron creatinina: 1,31 mg/dL, nitrógeno ureico: 18 mg/dL, proteína C-reactiva: 4,81 mg/dL, hemoglobina: 16,4 mg/dL, hematocrito: 47,6%, leucocitos: 10000/mm3, neutrófilos: 7100/mm3, linfocitos: 1200/mm3, plaquetas: 222 000/mm3, enzimunoanálisis de adsorción (ELISA) para virus de la inmunodeficiencia humana (VIH): negativa, prueba treponémica: negativa, citoquímico de orina con cocos grampositivos y ecografía renal con cambios de pielonefritis derecha.
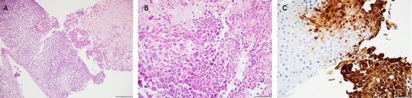
Se estudió la disfagia/odinofagia con endoscopia digestiva superior en la que se evidenció esofagitis ulcerada grave, con una úlcera circunferencial en todo el tercio distal y varias úlceras triangulares que ascendían hasta el tercio medio, acompañadas de placas algodonosas en el tercio proximal que se removían difícilmente con el lavado (Figura 1). Dados los hallazgos, se sospechó un origen infeccioso de la esofagitis y se tomaron biopsias, que demostraron una mucosa ulcerada con focos de necrosis, numerosos neutrófilos, detritos celulares, linfoplasmocitos, hemorragia y abundantes células gigantes multinucleadas. La inmunohistoquímica para herpes tipo I tuvo marcación fuertemente positiva en las células gigantes multinucleadas (Figura 2).

Figura 1 Endoscopia superior del paciente con esofagitis herpética, lesiones en distintos estadios de evolución, desde vesículas aisladas hasta erosiones y úlceras confluyentes. A. Esófago proximal. B. Esófago medio. C. Esófago distal. Archivo de los autores.

Figura 2 Biopsia de úlceras vistas en la Figura 1. A. Hematoxilina y eosina 200x. B. Hematoxilina y eosina 400x. C. Inmunohistoquímica del virus del herpes simple tipo 1, 200x. Archivo de los autores.
Se inició el tratamiento antibiótico empírico con piperacilina/tazobactam para la pielonefritis y aciclovir intravenoso por la esofagitis, y luego de 72 horas tuvo una importante mejoría sintomática y tolerancia a la vía oral, por lo que se dio de alta con aciclovir oral para completar 10 días en total con este fármaco. El paciente tuvo seguimiento en casa y hubo mejoría completa de los síntomas con resolución de las lesiones orofaríngeas.
Discusión
Se presentó un caso de un paciente con esta esofagitis por herpes concomitante con pielonefritis. Esta última entidad se presenta en el 1,15% de las personas menores de 18 años3 independientemente de que tengan o no inmunosupresión y tiene una tasa anual de 3-4 casos por 10 000 hombres indistintamente de su estado inmunológico4. El paciente no tenía antecedente de infecciones virales ni bacterianas a repetición y menos en sitios sugestivos de inmunodeficiencia primaria como el tracto sinopulmonar y superficies mucosas5, tampoco infecciones pasadas causadas por gérmenes encapsulados o patógenos entéricos sugestivos de inmunodeficiencia humoral6,7, por lo que, en vista de que tenía una prueba de VIH negativa en ausencia de conductas sexuales de riesgo y que la esofagitis herpética se puede presentar en personas sin inmunodeficiencias8,9, sin necesidad de más estudios, se consideró que se trataba de un paciente inmunocompetente.
Aunque el virus del herpes simple (VHS) afecta hasta el 90% de la población general10, la esofagitis por VHS en el paciente inmunocompetente es una entidad poco frecuente. En pacientes sin inmunodeficiencia, las revisiones de la literatura reportan pocos casos en los que se ha visto un predominio de la infección en personas de sexo masculino (70% frente a 30%). Esta relación se pierde en los pacientes mayores de 40 años11. La media de edad al momento de la infección es de 28 a 35 años9,11. Las esofagitis por VHS tipo 1 son más frecuentes que las causadas por el VHS tipo 22,9.
En inmunosuprimidos, la causa más frecuente es la reactivación de una infección latente, mientras que en inmunocompetentes ocurre con mayor frecuencia durante las primoinfecciones10. Sin embargo, una revisión de la literatura evidenció que la enfermedad asociada a la reactivación de la infección también es prevalente en esta población9.
La presentación clínica más frecuente en los pacientes afectados por esofagitis herpética se acompaña de odinofagia o disfagia12, síntomas que respectivamente se presentan en el 60% y 37,5% de los casos9. Adicionalmente, puede haber fiebre en el 51% de los casos, dolor torácico en el 46% y pródromo viral hasta en el 26% de pacientes afectados9. No es infrecuente encontrar también lesiones labiales y orofaríngeas, y en contados casos se han descrito lesiones en manos y pies11. Aunque se han reportado el sangrado gastrointestinal, lesiones de Mallory-Weiss y la perforación esofágica, son complicaciones poco frecuentes de la enfermedad9,10.
El diagnóstico inicia con la sospecha clínica seguida de los estudios endoscópicos en los que se suele encontrar úlceras de bordes elevados que son predominantes en los tercios distales del esófago; estos bordes levantados pueden dar la apariencia de úlceras “similares a volcán”, lo que macroscópicamente ayuda a diferenciarlas del compromiso por citomegalovirus, en el cual la afección sistémica y los síntomas digestivos pueden ser similares, pero las úlceras tienden a ser lineales o longitudinales y más profundas1,11,13.
El esófago distal se afecta en más del 60% de los casos, y el esófago medio hasta en un 40%. Las infecciones aisladas del tercio medio y proximal son mucho menos frecuentes11. El diagnóstico definitivo se realiza mediante el análisis histopatológico de las biopsias esofágicas, en el que se encuentra una degeneración con balonamiento de las células epiteliales, células gigantes multinucleadas, cuerpos de inclusión de Cowdry tipo A y la tinción de inmunohistoquímica para los virus10. Por otra parte, los estudios de biología molecular también son de utilidad14,15; de hecho, cuando el análisis histopatológico convencional se asocia al uso de reacción en cadena de polimerasa se puede lograr un rendimiento diagnóstico de hasta el 90%9. El diagnóstico serológico de la primoinfección se hace al evidenciar una positivización de los anticuerpos o un aumento del inmunoglobulina G (IgG) en cuatro veces entre la etapa de la enfermedad aguda y la convalecencia10.
Los pacientes con esofagitis herpética tienen un buen pronóstico. La condición es autolimitada en todos los casos descritos. Hasta el momento no hay ensayos clínicos ni evidencia de alta calidad que soporte su manejo y especialmente el uso de terapia antiviral frente a placebo; sin embargo, se ha reportado una menor duración de los síntomas con el uso de aciclovir16, hallazgos que también se extrapolan de su uso beneficioso en las infecciones genitales por VHS17. El tiempo de tratamiento utilizado en los reportes es de 7-14 días9.
Entonces, se puede anotar que en nuestro caso el paciente tuvo un cuadro clínico típico de infección por VHS-1 en el esófago, y la disfagia llevó a realizar la endoscopia digestiva cuyos hallazgos de esofagitis no típica por reflujo, con sospecha de un origen infeccioso, motivaron la toma de biopsias que finalmente confirmó el diagnóstico; de este modo se pudo brindar un manejo óptimo con el cual sus síntomas se resolvieron y se evitaron complicaciones asociadas.
REFERENCIAS
1. McBane RD, Gross JB. Herpes esophagitis: clinical syndrome, endoscopic appearance, and diagnosis in 23 patients. Gastrointest Endosc. 1991;37(6):600-3. https://doi.org/10.1016/S0016-5107(91)70862-6 [ Links ]
2. Diezma-Martín AM, Gigante-Miravalles E, Castro Limo JD, Quimbayo Arcila CA, Puche Paniagua JJ. Herpetic esophagitis in immunocompentent host: Cases report. BMC Infect Dis. 2020;20(1):605. https://doi.org/10.1186/s12879-020-05328-5 [ Links ]
3. Kwok WY, de Kwaadsteniet MC, Harmsen M, van Suijlekom-Smit LW, Schellevis FG, van der Wouden JC. Incidence rates and management of urinary tract infections among children in Dutch general practice: results from a nation-wide registration study. BMC Pediatr. 2006;6:10. https://doi.org/10.1186/1471-2431-6-10 [ Links ]
4. Czaja CA, Scholes D, Hooton TM, Stamm WE. Population-Based Epidemiologic Analysis of Acute Pyelonephritis. Clin Infect Dis. 2007;45(3):273-80. https://doi.org/10.1086/519268 [ Links ]
5. Gathmann B, Mahlaoui N, Gérard L, Oksenhendler E, Warnatz K, Schulze I, et al. Clinical picture and treatment of 2212 patients with common variable immunodeficiency. J Allergy Clin Immunol. 2014;134(1):116-126.e11. https://doi.org/10.1016/j.jaci.2013.12.1077 [ Links ]
6. Winkelstein JA, Marino MC, Lederman HM, Jones SM, Sullivan K, Burks AW, et al. X-Linked Agammaglobulinemia: Report on a United States Registry of 201 Patients. Medicine. 2006;85(4):193-202. https://doi.org/10.1097/01.md.0000229482.27398.ad [ Links ]
7. Oksenhendler E, Gérard L, Fieschi C, Malphettes M, Mouillot G, Jaussaud R, et al. Infections in 252 Patients with Common Variable Immunodeficiency. Clin Infect Dis. 2008;46(10):1547-54. https://doi.org/10.1086/587669 [ Links ]
8. Ramanathan J, Rammouni M, Baran J, Khatib R. Herpes simplex virus esophagitis in the immunocompetent host: an overview. Am J Gastroenterology. 2000;95(9):2171-6. https://doi.org/10.1111/j.1572-0241.2000.02299.x [ Links ]
9. Canalejo E, García Durán F, Cabello N, García Martínez J. Herpes esophagitis in healthy adults and adolescents: Report of 3 cases and review of the literature. Medicine. 2010;89(4):204-10. https://doi.org/10.1097/MD.0b013e3181e949ed [ Links ]
10. Lavery EA, Coyle WJ. Herpes simplex virus and the alimentary tract. Current Gastroenterology Reports. 2008;10(4):417-23. https://doi.org/10.1007/s11894-008-0078-8 [ Links ]
11. Ramanathan J, Rammouni M, Baran J, Khatib R. Herpes simplex virus esophagitis in the immunocompetent host: an overview. Am J Gastroenterol. 2000;95(9):2171-6. https://doi.org/10.1111/j.1572-0241.2000.02299.x [ Links ]
12. Hoversten P, Kamboj AK, Wu TT, Katzka DA. Variations in the Clinical Course of Patients with Herpes Simplex Virus Esophagitis Based on Immunocompetence and Presence of Underlying Esophageal Disease. Dig Dis Sci. 2019;64(7):1893-900. https://doi.org/10.1007/s10620-019-05493-x [ Links ]
13. Levine MS. Radiology of esophagitis: a pattern approach. Radiology. 1991;179(1):1-7. https://doi.org/10.1148/radiology.179.1.2006257 [ Links ]
14. Jazeron JF, Barbe C, Frobert E, Renois F, Talmud D, Brixi-Benmansour H, et al. Virological Diagnosis of Herpes Simplex Virus 1 Esophagitis by Quantitative Real-Time PCR Assay. J Clin Microbiol. 2012;50(3):948-52. https://doi.org/10.1128/JCM.05748-11 [ Links ]
15. Dekeyser S, El Nady M, Diaz E, Cassagnou M, Descamps D. Diagnostic d’œsophagite herpétique à HSV1 chez le sujet immunocompétent par PCR (Herpès Consensus Générique® - Argène). À propos de six cas. Pathologie Biologie. 2009;57(1):101-6. https://doi.org/10.1016/j.patbio.2008.07.005 [ Links ]
16. Kadayakkara DK, Candelaria A, Kwak YE, Loeser C. Herpes Simplex Virus-2 Esophagitis in a Young Immunocompetent Adult. Case Rep Gastrointest Med. 2016;2016:7603484. https://doi.org/10.1155/2016/7603484 [ Links ]
17. Tuddenham S, Hamill MM, Ghanem KG. Diagnosis and Treatment of Sexually Transmitted Infections: A Review. JAMA. 2022;327(2):161-72. https://doi.org/10.1001/jama.2021.23487 [ Links ]
Citación: Benjumea-Henao S, Caicedo-Espinosa JE, Gómez-Venegas AA, Pérez-Cadavid JC. Esofagitis por virus del herpes simple en paciente inmunocompetente. Revista. colomb. Gastroenterol. 2023;38(3):364-367. https://doi.org/10.22516/25007440.956
Recibido: 08 de Agosto de 2022; Aprobado: 13 de Diciembre de 2022










texto em 



