Serviços Personalizados
Journal
Artigo
Indicadores
-
Citado por SciELO -
Acessos
Links relacionados
-
Citado por Google -
Similares em
SciELO -
Similares em Google
Compartilhar
Revista colombiana de Gastroenterología
versão impressa ISSN 0120-9957versão On-line ISSN 2500-7440
Rev. colomb. Gastroenterol. vol.37 no.4 Bogotá out./dez. 2022 Epub 11-Jul-2023
https://doi.org/10.22516/25007440.844
Reporte de caso
Colangiopancreatografía retrógrada endoscópica asistida por enteroscopia de doble balón en un paciente con gastrectomía total y reconstrucción en Y-de-Roux: reporte de caso
1MD, Gastroenterologist, Gastroenterology and Digestive Endoscopy Department. Fundación Santa Fe de Bogotá. Bogota, Colombia.
2MD, Gastroenterologist, Gastroenterology and Digestive Endoscopy Department. Fundación Santa Fe de Bogotá. Bogota, Colombia.
3MD, rural, Sub-directorate of Clinical Studies and Clinical Epidemiology. Gastroenterology and Digestive Endoscopy Department. Fundación Santa Fe de Bogotá. Bogota, Colombia.
4MSc, Gastroenterologist, Director of the Sub-directorate of Clinical Studies and Clinical Epidemiology. Gastroenterology and Digestive Endoscopy Department. Fundación Santa Fe de Bogotá. Bogota, Colombia.
5MD, General surgery specialist. Fundación Santa Fe de Bogotá. Bogota, Colombia.
6Nursing assistant, Gastroenterology and Digestive Endoscopy Department. Fundación Santa Fe de Bogotá. Bogota, Colombia.
La colangiopancreatografía retrógrada endoscópica (CPRE) es un procedimiento útil en el manejo de enfermedades biliopancreáticas. Los pacientes con alteración anatómica del tracto gastrointestinal representan un desafío técnico por múltiples razones. Con técnicas como la enteroscopia de doble balón (EDB) es posible realizar una CPRE en estos pacientes. El caso que se presenta es el primero de este tipo publicado en Colombia sobre una paciente con gastrectomía total con reconstrucción en Y-de-Roux y coledocolitiasis.
Palabras clave: Enteroscopia de doble balón; colangiopancreatografía retrógrada endoscópica asistida por enteroscopia; gastrectomía total; reconstrucción en Y-de-Roux; anatomía gastrointestinal alterada
Endoscopic retrograde cholangiopancreatography (ERCP) is a valuable procedure in managing biliopancreatic diseases. Patients with anatomical alteration of the gastrointestinal tract represent a technical challenge for multiple reasons. With techniques such as double-balloon enteroscopy (DBE), it is possible to perform ERCP in these patients. The case was first published in Colombia on a female patient with total gastrectomy with Roux-en-Y reconstruction and choledocholithiasis.
Keywords: Double-balloon enteroscopy; enteroscopy-assisted endoscopic retrograde cholangiopancreatography; total gastrectomy; Roux-en-Y reconstruction; altered gastrointestinal anatomy
Introducción
La colangiopancreatografía retrógrada endoscópica (CPRE) es un procedimiento útil en el manejo de las enfermedades biliopancreáticas y se realiza con éxito en el 85% al 95% de los pacientes con anatomía gastrointestinal normal. En pacientes con gastrectomía y reconstrucción en Y-de-Roux, la instrumentación endoscópica de la vía biliar tiene menores tasas de éxito comparada con una CPRE en un paciente con anatomía preservada, lo que aumenta la necesidad de intervenciones más invasivas y costosas1. La CPRE en pacientes con alteraciones anatómicas del tracto gastrointestinal, como gastrectomía y reconstrucción en Y-de-Roux, es un desafío técnico por varias razones: la longitud del asa intestinal biliopancreática, el ángulo agudo de la yeyuno-yeyunostomía, la tortuosidad por adherencias, la dificultad para la canulación biliar y el diseño (longitud) de los enteroscopios2.
La enteroscopia de doble balón (EDB) permite el diagnóstico y el tratamiento de varias enfermedades del intestino delgado, incluyendo intervenciones terapéuticas en la vía biliar en pacientes con anatomía gastrointestinal alterada3,4.
La primera CPRE por EDB fue reportada en 2005 y a partir de ahí se ha realizado este procedimiento con éxito en otros países5. El caso que presentamos a continuación es el primero de este tipo publicado en Colombia en una paciente con coledocolitiasis y anatomía alterada por antecedente de gastrectomía total con reconstrucción en Y-de-Roux debido a un cáncer gástrico.
Reporte de caso
Paciente de 84 años con antecedente de gastrectomía radical total y reconstrucción en Y-de-Roux por adenocarcinoma gástrico moderadamente diferenciado en 2012. Consulta por dolor tipo cólico en el hipocondrio derecho de 9 horas de evolución, náuseas, ictericia y coluria. En el examen físico se encontró una paciente ictérica, con signos vitales normales, abdomen doloroso a la palpación en el hipocondrio derecho y signo de Murphy negativo. En los paraclínicos se encuentra un perfil colestásico (Tabla 1), una ecografía hepatobiliar con colelitiasis y vía biliar normal, una colangiorresonancia con colelitiasis múltiple, signos de colecistitis aguda en la fase inicial y dilatación de la vía biliar extrahepática (colédoco de 11 milímetros), con microcálculos en su porción distal (Figura 1). Después de discutir el caso entre los servicios de cirugía general y gastroenterología, se decide llevar a una colecistectomía laparoscópica con enteroscopia intraoperatoria para el manejo de la coledocolitiasis.
Tabla 1 Resultado de paraclínicos iniciales.
| Paraclínicos | Resultado | Valor de referencia |
|---|---|---|
| Leucocitos | 3000 | |
| Neutrófilos | 2400 | |
| Linfocitos | 400 | |
| Hemoglobina | 11,7 g/dL | |
| Hematocrito | 37,5% | |
| Plaquetas | 128.000 | |
| Eritrosedimentación | 42 mm/hora | |
| Creatinina | 1,15 mg/dL | |
| BUN | 28 mg/dL | |
| Aspartato-aminotransferasa | 282 U/L | 0-35 |
| Alanino-aminotransferasa | 129 U/L | 0-35 |
| Fosfatasa alcalina | 159 U/L | 30-120 |
| Bilirrubina total | 4,62 mg/dL | 0,3-1,0 |
| Bilirrubina directa | 2,03 mg/dL |
Fuente: elaboración propia.

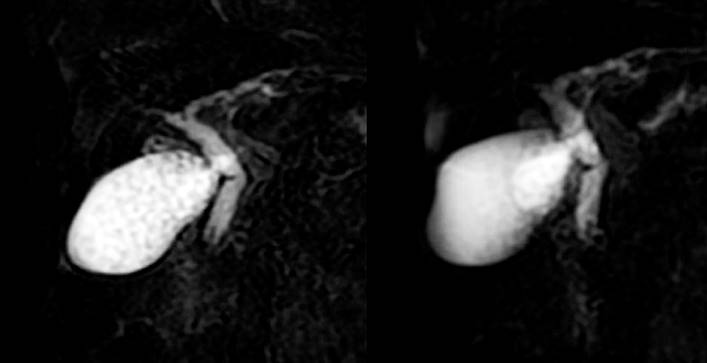
Figura 1 Colangiorresonancia que demuestra colelitiasis múltiple, dilatación de la vía biliar extrahepática y coledocolitiasis. Fuente: archivo de los autores.
Descripción de la técnica
Paciente bajo anestesia general, en decúbito supino. Se introduce un EDB corto por vía oral, Fujifilm EI-580BT (longitud de trabajo 155 centímetros, diámetro distal de 9,4 milímetros y diámetro en la porción flexible de 9,3 milímetros, con un canal de trabajo de 3,2 milímetros y sobretubo de 95 centímetros). Se observa una anastomosis esófago-yeyunal normal y se avanza por el yeyuno hasta la anastomosis yeyuno-yeyunal (ubicada a 50 centímetros de la anastomosis esófago-yeyunal) (Figura 2).
Se ingresa por el asa biliopancreática (con ayuda de la fluoroscopia) hasta el muñón duodenal (aproximadamente 150 centímetros de longitud) (Figura 3). Se identifica la papila duodenal de aspecto normal (en el cuadrante superior) (Figura 4). Se intenta la canulación con catéter punta cónica, con papilótomo de arco y con papilótomo de aguja, pero no es posible avanzar la guía hacia la vía biliar, por lo que se utiliza un papilótomo invertido; se logra avanzar la guía hidrofílica hacia la vía biliar (Figura 5).

Figura 3 Muñón duodenal mediante visión endoscópica y fluoroscópica. Fuente: archivo de los autores.

Figura 5 Canulación con papilótomo invertido y avance de la guía hacia la vía biliar. Fuente: archivo de los autores.
Se realiza la colangiografía; se observa una vía biliar intrahepática normal, el colédoco dilatado de 12 milímetros de diámetro, con un cálculo de 5 milímetros en su tercio distal y colelitiasis múltiple (Figura 6). Se realiza una papilotomía (Figura 7) e instrumentación de la vía biliar con balón extractor de 9-12 milímetros (Figura 8); se extrae el cálculo y el barro biliar (Figura 9) sin complicaciones inmediatas.
Durante la extracción del enteroscopio, se realizó un tatuaje en la mucosa del asa biliopancreática adyacente a la yeyuno-yeyunostomía para su posterior identificación en caso de requerir un nuevo procedimiento terapéutico en la vía biliar (Figura 10). La radiografía final mostró la evacuación de la mayoría del medio de contraste de la vía biliar (Figura 11). En este momento, el servicio de cirugía procede a realizar la colecistectomía laparoscópica.
La paciente evoluciona satisfactoriamente y se inicia la vía oral al día siguiente. Su perfil bioquímico hepático es normal al tercer día posquirúrgico. Es dada de alta al quinto día posoperatorio y se ordena el control ambulatorio en tres semanas, cuyo perfil bioquímico hepático resulta normal.
Discusión
En pacientes con anatomía gastrointestinal alterada, la CPRE tiene tasas de éxito más bajas en comparación con pacientes con anatomía normal; por lo tanto, es un desafío lograr el acceso a la vía biliar por vía endoscópica en estos casos. Es por esto que, en pacientes con antecedente de gastrectomía con reconstrucción en Y-de-Roux y con enfermedades biliopancreáticas susceptibles de manejo endoscópico, la CPRE por medio de EDB es una opción viable6.
Los estudios sobre esta técnica han reportado que la CPRE por EDB fue exitosa hasta en un 87% de los casos. Se considera una intervención segura con bajas tasas de complicaciones mayores y se reportan eventos adversos en un 0%-12%7).
En cuanto al procedimiento, este es menos invasivo y con menor morbilidad que la vía percutánea o el abordaje quirúrgico, ya que una vez se logra alcanzar la papila duodenal o la anastomosis bilioentérica, es posible realizar el resto de intervenciones endoscópicas habitualmente realizadas por CPRE convencional como la esfinterotomía, la extracción de cálculos, la inserción de stents o la dilatación de la estenosis o de la ampolla duodenal5.
Este es un procedimiento laborioso que requiere un equipo altamente calificado y demanda más tiempo que una CPRE convencional, con una duración promedio de 40 a 111 minutos4. En nuestro caso, el procedimiento se llevó a cabo con éxito, ya que se logró la canulación biliar, la papilotomía y la extracción del cálculo y el barro biliar del colédoco sin complicaciones, en un solo tiempo de intervención y con una excelente evolución clínica.
Para poder usar los accesorios de la CPRE (cánula, papilótomo, balones extractores, etc.) debe utilizarse un enteroscopio corto. Los EDB convencionales tienen una longitud de 220 centímetros y no son aptos para el uso de los accesorios de CPRE. Se encontró como dificultad, en especial, la canulación de la vía biliar, que fue posible únicamente con un papilótomo invertido; esto se debe a que en la EDB se afronta la papila en una forma opuesta a la de una CPRE convencional. Otra dificultad está relacionada con la ausencia de uña elevadora en el enteroscopio, lo cual limita la movilidad y el direccionamiento de los accesorios de CPRE.
En los pacientes con colecistocoledocolitiasis existen varias opciones terapéuticas: la CPRE prequirúrgica8 y la exploración laparoscópica de la vía biliar (ELVB, por vía transcística o por coledocotomía)9. Ambas técnicas tienen una eficacia similar en la resolución de la coledocolitiasis, sin diferencias significativas en la morbimortalidad10. La CPRE resuelve la coledocolitiasis en un 88% de los casos11 y puede cursar con complicaciones mayores en el 6%-15% como la pancreatitis aguda (3%-10%), los sangrados (0,3%-2%), la colangitis (0,5%-3%) y la perforación duodenal (0,08%-0,6%)12. La tasa de éxito de la ELVB es cercana al 90%, requiere un cirujano experto en la técnica y puede asociarse a complicaciones en un 5%-15% de los casos: cálculos retenidos (0%-5%), fuga biliar (2,3%-16,7%), pancreatitis (0%-3%), entre otras, como impactación del cálculo en la canastilla y estrecheces del colédoco9. A pesar de la eficacia y seguridad de la ELVB, un estudio encontró que solamente un 7% de los pacientes con coledocolitiasis fueron tratados quirúrgicamente y un 93% fueron manejados con CPRE13. La causa de esta discrepancia es multifactorial y las posibles explicaciones son el entrenamiento insuficiente en la técnica, el uso de instrumentos no manejados rutinariamente por el cirujano (balones dilatadores, canastillas, coledocoscopio) y ser una técnica realizada en forma relativamente infrecuente9.
Conclusiones
El manejo de la coledocolitiasis en pacientes con anatomía gastrointestinal alterada representa un reto terapéutico. La CPRE asistida por EDB es un método efectivo y seguro para el manejo de los pacientes con patología biliar y antecedente de gastrectomía con reconstrucción en Y-de-Roux.
REFERENCIAS
1. Zamora-Nava LE, Mier Y Terán-Ellis S, Zepeda-Gómez S, Pérez-Cuadrado Robles E, Miranda-Lora AL, Valdovinos-Andraca F, et al. Endoscopic retrograde cholangiopancreatography by double-balloon enteroscopy in patients with surgically altered gastrointestinal anatomy. Rev Esp Enferm Dig. 2020;112(4):278-83. https://doi.org/10.17235/reed.2020.6940/2020 [ Links ]
2. Ayoub F, Brar TS, Banerjee D, Abbas AM, Wang Y, Yang D, et al. Laparoscopy-assisted versus enteroscopy-assisted endoscopic retrograde cholangiopancreatography (ERCP) in Roux-en-Y gastric bypass: a meta-analysis. Endosc Int Open. 2020;8(3):E423-36. https://doi.org/10.1055/a-1070-9132 [ Links ]
3. Amer S, Horsley-Silva JL, Menias CO, Pannala R. Endoscopic retrograde cholangiopancreatography in patients with surgically altered gastrointestinal anatomy. Abdom Imaging. 2015;40(8):2921-31. https://doi.org/10.1007/s00261-015-0532-7 [ Links ]
4. Shao XD, Qi XS, Guo XZ. Endoscopic retrograde cholangiopancreatography with double balloon enteroscope in patients with altered gastrointestinal anatomy: A meta-analysis. Saudi J Gastroenterol. 2017;23(3):150-60. https://doi.org/10.4103/1319-3767.207713 [ Links ]
5. Osoegawa T, Motomura Y, Akahoshi K, Higuchi N, Tanaka Y, Hisano T, et al. Improved techniques for double-balloon-enteroscopy-assisted endoscopic retrograde cholangiopancreatography. World J Gastroenterol. 2012;18(46):6843-9. https://doi.org/10.3748/wjg.v18.i46.6843 [ Links ]
6. Raithel M, Dormann H, Naegel A, Boxberger F, Hahn EG, Neurath MF, et al. Double-balloon-enteroscopy-based endoscopic retrograde cholangiopancreatography in post-surgical patients. World J Gastroenterol. 2011;17(18):2302-14. https://doi.org/10.3748/wjg.v17.i18.2302 [ Links ]
7. Sirin G, Hulagu S. Double balloon enteroscopy improves ERCP success in patients with modified small bowel anatomy. North Clin Istanb. 2020;7(2):131-9. https://doi.org/10.14744/nci.2020.54533 [ Links ]
8. Buxbaum JL, Abbas-Fehmi SM, Sultan S, Fishman DS, Qumseya BJ, Cortes VK, et al. ASGE guideline on the role of endoscopy in the evaluation and management of choledocholithiasis. Gastrointest Endosc. 2019;89(6):1075-105. https://doi.org/10.1016/j.gie.2018.10.001 [ Links ]
9. Zerey M, Haggerty S, Richardson W, Santos B, Fanelli R, Brunt M, et al. Laparoscopic common bile duct exploration. Surgical Endoscopy, 2018;32(6): 2603-612. https://doi.org/10.1007/s00464-017-5991-1 [ Links ]
10. Dasari BV, Tan CJ, Gurusamy KS, Martin DJ, Kirk G, McKie L, et al. Surgical versus endoscopic treatment of bile duct stones. Cochrane Database Syst Rev. 2013;(9):CD003327. Update in: Cochrane Database Syst Rev. 2013;(12):CD003327. https://doi.org/10.1002/14651858.CD003327.pub3 [ Links ]
11. Maple JT, Ben-Menachem T, Anderson M, Appalaneni V, Banerjee S, Cash B et al. The role of endoscopy in the evaluation of suspected choledocholithiasis. Gastrointest Endosc. 2010;71(1):1-9. https://doi.org/10.1016/j.gie.2009.09.041 [ Links ]
12. Chandrasekhara V, Khashab MA, Muthusamy R, Acosta R, Agrawal D, Bruining DH, et al. Adverse events associated with ERCP. Gastrointest Endosc. 2017;85(1):32-47. https://doi.org/10.1016/j.gie.2016.06.051 [ Links ]
13. Poulose BK, Arbogast PG, Holzman MD. National analysis of in-hospital resource utilization in choledocholithiasis management using propensity scores. Surg Endosc. 2006;20(2):186-90. https://doi.org/10.1007/s00464-005-0235-1 [ Links ]
Citación: Reyes-Medina GA, Rey-Rubiano M, Vásquez-Roldán M, Sierra-Arango F, Hernández JD, Álvarez-Larrota LC. Colangiopancreatografía retrógrada endoscópica asistida por enteroscopia de doble balón en un paciente con gastrectomía total y reconstrucción en Y-de-Roux: reporte de caso. Revista. colomb. Gastroenterol. 2022;37(4):459-465. https://doi.org/10.22516/25007440.844
Recibido: 16 de Noviembre de 2021; Aprobado: 04 de Abril de 2022










texto em 











