Introducción
La granulomatosis con poliangeítis (GPA), antes llamada granulomatosis de Wegener, es una vasculitis de pequeno y mediano calibre, sistémica, necrosante y granulomatosa, con baja incidencia en pediatría, relación mujer-varones 3-4:11. Se cree que algún desencadenante penetra por las vías aéreas ocasionando una respuesta neutrofílica provocando la síntesis de anticuerpos anticitoplasma del neutrófilo (ANCA), activación celular y finalmente una lesión vascular2,3.
Afecta al tracto respiratorio superior e inferior, así como al riñón, por lo que sus hallazgos clínicos incluyen: astenia, anorexia, pérdida de peso; compromiso de vías respiratorias altas (96%) como sinusitis, otitis, estenosis traqueal subglótica, incluso con destrucción del tabique nasal lo que origina nariz en silla de montar; compromiso renal como glomerulonefritis (88%), afectación ocular (52%), cutánea (32%) y musculoesquelética (32%)1,4.
La GPA, el síndrome de Churg-Strauss y la poliangeítis microscópica son vasculitis que afectan pequenos vasos; por su asociación con los ANCA son llamadas vasculitis ANCA positivas y de ellas la GPA es la más frecuente. Su diagnóstico se basa en las manifestaciones clínicas, la biopsia de los órganos afectados y la presencia de ANCA en el suero5. El objetivo de este artículo es revisar las manifestaciones clínicas en esta paciente que no tuvo manifestación renal y revisar el diagnóstico actual de la GPA.
Observación clínica
Adolescente de 14 años que es ingresada por presentar rinorrea purulenta y fiebre de una semana de evolución, lesiones dérmicas hipercrómicas con fondo eritematoso y 2 úlceras con costras gruesas de 2 años de evolución. Como antecedente presentaba hipoacusia que había iniciado a los 7 años de vida valorada en otra institución. En el examen físico llamaban la atención las lesiones cutáneas localizadas en extremidades inferiores, bilaterales, simétricas, que afectaban dorso de pie, tobillo y tercio distal de piernas, que iniciaron con pápulas, pústulas y evolucionaban a necrosis, se observó la presencia de 2 úlceras de 2 cm de diámetro cubiertas por costra serohemática profunda, dejando lesiones cicatrizales hipo e hiperpigmentadas y atróficas, las mismas que cursan con períodos de remisión y exacerbación; y la presencia de epiescleritis anterior bilateral (fig. 1).
Dentro de los exámenes complementarios: hemograma completo, PCR, eritrosedimentación, urea, creatinina, complemento y examen de orina fueron normales. La serología para VIH era negativa. El frotis de sangre periférica no reportaba blastos. La IgG estaba elevada, 2.446 Ul/ml (valor referencial: 1.264 ±280). La TAC de senos paranasales revelaba opacidad de senos maxilares y engrosamiento de la mucosa de senos maxilares, etmoidales y cornetes (fig. 2). La TAC de tórax no mostraba nódulos pulmonares.
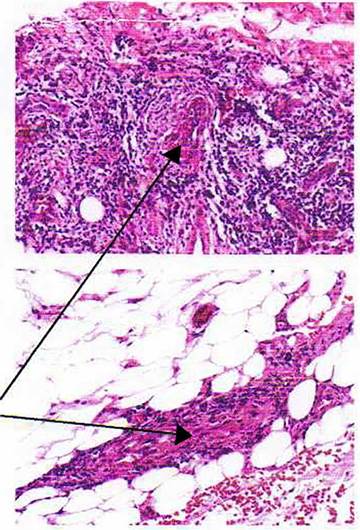
La biopsia de piel muestra dermis con infiltrado linfocitario, plasmocitario e histiocitario perivascular e intersticial; infiltrado linfocitario y neutrofílico en la pared de los vasos de pequeno calibre superficiales, profundos e hipodérmicos con necrosis y depósito de fibrina, extravasación de eritrocitos y depósito de hemosiderina; concluyendo que se trata de una vasculitis de pequenos vasos cutáneos y subcutáneos (fig. 3). Se solicitó PR3-ANCA que fue positivo, 9,5U/ml (valor referencial: 0-5).
Fue valorada por otorrinolaringología, en la otomicroscopía de ambos oídos encontraron el conducto auditivo externo libre y la membrana timpánica íntegra. La audiometría reportaba hipoacusia mixta bilateral severa, oído derecho umbral aéreo en 68 db (GAP de 10), oído izquierdo umbral aéreo 77 db (GAP de 20).
La paciente completaba 2 criterios clasificatorios (tabla 1) para GPA con una enfermedad sugestiva y otras manifestaciones clínicas compatibles, por lo que se inició tratamiento con pulsos de corticoides (30 mg/kg/día) por3 días, posteriormente prednisona a 1 mg/kg/día y metotrexato 20 mg/m2 semanal por vía subcutánea. El Score de Birmingham para actividad de vasculitis antes del tratamiento fue de 13 y a los 45 días del tratamiento era de 2. Las lesiones lucían mejoradas, ya no tenía úlceras, en tanto la hipoacusia persistía (fig. 4).
Discusión
La GPA, según la nueva nomenclatura CHCC 2012 (Chapell Hill Consensus 2012) antes llamada granulomatosis de Wegener, típicamente presenta inflamación granulomatosa necrosante que afecta a las vías respiratorias altas y bajas; y glomerulonefritis necrosante. Además, la vasculitis ocular y capilaritis pulmonar son frecuentes. La inflamación extravascular granulomatosa y no granulomatosa también es común2,3,6.
La GPA es muy rara en niños, la incidencia está estimada en 0,1 por cada 100.000, en tanto que en adultos es de uno por cada 100.000 habitantes4. Inicialmente los síntomas inespecíficos o las formas localizadas pueden hacer que el diagnóstico sea un verdadero reto. El retraso diagnóstico en la paciente fue de 7 años desde el primer síntoma (hipoacusia). Las manifestaciones otológicas están descritas en el 20-60% de los pacientes; como la otitis media, tinnitus, vértigo y la hipoacusia en un 16%. La hipoacusia conductiva, aunque está descrita en niños, es mucho menos frecuente que en adultos (29% en adultos, 11% en niños). El tratamiento temprano mejora el pronóstico de la audición4,7-9. La epiescleritis y sinusitis que aparecieron tardíamente en la paciente, están presentes en el 44% de los pacientes con GPA8, y según Pakrou et al., la involucración ocular en la GPA es común, en su revisión reportan una incidencia mayor del 50-60% (hasta el 87%) en cualquier período de la enfermedad10.
Los ANCA son criterio diagnóstico y ayudan en el seguimiento. De los 2 autoanticuerpos relacionados: proteinasa-3 (PR3-ANCA o c-ANCA) y mieloperoxidasa (MPO-ANCA o p-ANCA), el PR3-ANCA tiene una sensibilidad y especificidad del 90% para GPA2,11.
La histopatología confirma el diagnóstico. Dependiendo del lugar de la biopsia, pueden encontrarse evidencias histológicas de vasculitis granulomatosa necrosante, granulomas necrosantes sin vasculitis, vasculitis de pequenos y medianos vasos o inflamación aguda y crónica3,12,13. A nivel de piel la biopsia cutánea revela una vasculitis leucocito-clástica, es decir, una vasculitis de vaso pequeno con un infiltrado predominante de neutrófilos, sin depósitos (o depósitos escasos) de complemento e inmunoglobulinas en la inmunofluorescencia. A menudo, también, se observan granulomas inflamatorios necrosantes constituyendo el cuadro histológico característico13. Si bien la paciente no presentó granulomas, sí tenía vasculitis con infiltrado neutrofílico en vasos de pequeno calibre superficiales y profundos con necrosis; eso sumado al PR3-ANCA positivo, la sinusitis y los otros datos clínicos nos hace pensar en la GPA como diagnóstico.
Conclusiones
Realizar una histopatología en lesiones sospechosas de vasculitis puede aclarar el diagnóstico.
La GPA no necesariamente debe tener compromiso renal, existen formas localizadas que solo comprometen la vía respiratoria y la piel.
La GPA debe ser parte del diagnóstico diferencial de la hipoacusia neurosensorial o conductiva. Más considerando que la terapéutica oportuna mejora el pronóstico de la audición.


















