Serviços Personalizados
Journal
Artigo
Indicadores
-
Citado por SciELO -
Acessos
Links relacionados
-
Citado por Google -
Similares em
SciELO -
Similares em Google
Compartilhar
Revista MVZ Córdoba
versão impressa ISSN 0122-0268versão On-line ISSN 1909-0544
Rev.MVZ Cordoba vol.24 no.3 Córdoba set./dez. 2019 Epub 08-Jun-2020
https://doi.org/10.21897/rmvz.1363
Clinical case
Peritoneal leiomyosarcoma in a canine: case report
1 Universidad de Los Llanos, Facultad de Ciencias Agropecuarias y Recursos Naturales, Escuela de Ciencias Animales, Km 4 vía Puerto López, Villavicencio, Meta, Colombia.
2 Universidade de São Paulo, Faculdade de Medicina Veterinária e Zootecnia, Departamento de Patologia, Avenida Orlando Marques de Paiva 87, Cidade Universitária, CEP 05508-900 São Paulo, SP, Brasil.
The purpose of this study is to present a peritoneal leiomyosarcoma in a canine and its histopathological and immunohistochemical findings. The patient, a 5-year old female Chow-Chow, was brought to Los Llanos University veterinary clinic due to loss of appetite, prostration and poor corporal condition. Physical examination showed pale mucous membranes, increased abdominal silhouette with a serosanguineous fluid content. Palpation at the cranial epigastrium evidenced a painless mass of hard consistency, irregular surface and caudally displaceable. Serum biochemical abnormalities included increased plasma total protein, globulin and creatinine. Thus, an exploratory laparotomy was performed, identifying a mass in the mesentery attached to a portion of the small intestine. In its report it was stated the following macroscopic findings: a firm mass of 18 cm long and 13 cm wide, with irregular surface, great vascularization. Tissue samples were fixed in 10% buffered formalin for histopathological and immunohistochemical analysis. Samples were processed by routine methods for microscopy and stained with hematoxylin-eosin (HE), Masson trichrome, anti-cytokeratin CK5, anti-smooth muscle actin, vimentin and KIT(CD117) antibodies. In conclusion, the tumor was classified by histopathology as of mesenchymal origin and internal diffuse cytoplasmic immunopositivity of neoplastic cells for smooth muscle actin, vimentin and was negative for KIT led to diagnose of leiomyosarcoma.
Keywords: Digestive system; dog; gastrointestinal; neoplasms; tumors (Sources: MeSH)
El propósito de este estudio fue para presentar y documentar un leiomiosarcoma peritoneal en un canino y sus hallazgos histopatológicos e Inmunohistoquímica. El paciente, una hembra de 5 años de edad, de raza Chow-Chow, fue llevada a la Clínica Veterinaria de la Universidad de los Llanos, debido a pérdida de peso, postración y baja condición corporal. Al examen físico presentó mucosas pálidas, aumento de la silueta abdominal con contenido de fluido serosanguinolento. A la palpación se evidenció en el epigastrio craneal una masa no dolorosa, de consistencia dura, de superficie irregular y desplazable caudalmente. Anormalidades bioquímicas séricas incluyeron proteínas totales plasmáticas aumentadas, globulina y creatinina. Así, una laparotomía exploratoria fue realizada, identificando una masa en el mesenterio unida a la porción de intestino grueso. En el reporte se señalaron los siguientes hallazgos macroscópicos: una masa firme de 18 cm de longitud y 13 cm de ancho, con una superficie irregular, gran vascularización. Las muestras de tejido fueron fijadas en formalina buferada al 10% para análisis histopatológico e Inmunohistoquímica. Las muestras fueron procesadas por los métodos de rutina para microscopía y coloración con hematoxilina-eosina (HE), tricrómico de Masson, anticuerpos anti-citoqueratina CK5, anti-actina de músculo liso, vimentina y KIT(CD117). En conclusión, el tumor fue clasificado por histopatología como de origen mesenquimal e inmunopositividad citoplasmática difusa interna de células neoplásicas para actina de músculo liso, vimentina y negatividad para KIT, condujo al diagnóstico de leiomiosarcoma.
Palabras clave: Gastrointestinal; perro; sistema digestivo; neoplasias; tumores (Fuentes: MeSH)
INTRODUCTION
Leiomyosarcomas are malignant smooth muscle neoplasias of mesenchymal origin and therefore can occur in any organ or region where this tissue is present. Leiomyosarcomas in dogs that originate from the gastrointestinal tract wall account for 10 to 30% of intestinal tumors, affecting mostly older dogs 1,2. It presents a higher tendency for males and is reported particularly in the stomach 2, although omentum and mesentery are also included 3. Macroscopically, tumors primarily involve the muscularis propria and frequently extend transmurally, sometimes in an exophytic fashion 2. When seccioned, consistency is firm and white-pinkish color, its surface is smooth or lobulated, it is well circumscribed and delimited from surrounding tissues. Metastases are found mainly on spleen, mesentery and liver when their primary site is stomach, while mesenteric lymph node metastasis is encountered when primary location is in the colon 2.
Microscopically, they are highly cellular and infiltrative tumors, composed by arranged fascicles of spindle-shaped cells with fibrillar eosinophilic cytoplasm and multiple nuclei, with a prominent nucleolus 1. There are bundles of smooth muscle fibers in various directions that intersect at angles, where there are plenty of central elliptical nuclei, containing one or two nucleoli. Most of the neoplastic cells are elongated with round or long nucleus and atypia. It is also noticeable undistinguished cell borders with moderate amount of eosinophilic cytoplasm, which is supported by a variably dense collagenous matrix isolated by individual cells. This tumor contains areas multifocal necrosis, as well as many show irregular nuclear contours, vesicular chromatin and prominent nucleoli, with several mitotic figures 4.
Histotechniques and immunohistochemistry. Tissue samples fixed in 10% buffered formalin were processed by routine methods for microscopy and cut into histological sections of 3-4 µm thickness. Following, slides containing the sections were stained with hematoxylin-eosin staining (H&E) and were selected for Masson trichrome staining 5 and immunohistochemistry studies for cytokeratin CK5, smooth muscle actin, vimentin and KIT (CD117).
Case presentation. A 5-year old female canine of the Chow Chow breed was brought to the veterinary clinic of the School of Veterinary Medicine, Los Llanos University, in Villavicencio, Meta Colombia, due to increased abdominal silhouette and decreased appetite three months before consultation. Clinical examination revealed the following abnormal findings: pale mucous membranes, prostration, abdominal liquid collection through palpation, which also noted the presence of a mass in the cranial epigastrium of about 15cm, hard consistency, painless, irregular surface and caudally displaceable. Halitosis and general dental calculus were also observed.
Differential diagnosis. Within the differential diagnoses were enlisted, gastrointestinal spindle cell tumors, leiomyoma, predominantly fibrous (spindle cell) malignant mesothelioma, fibrosarcoma, malignant peripheral nerve sheath tumor.
Clinical and laboratory analyses. A sample of peritoneal fluid was taken, and it consisted of turbid serosanguineous uncoagulated liquid, with the presence of leukocytes, erythrocytes (of those 80% were crenated) and protein. It was classified as a non-purulent exudate. Blood tests showed increased plasma total protein, globulin and creatinine. Complete blood cell counts exhibited leukocytosis, normochromic and normocytic anemia, neutrophilia and thrombocytopenia.
A side to side abdominal radiography was performed, showing widespread radiopacity and evidencing the presence of fluid in the abdomen (Figure 1A). By means of abdominal ultrasonography anechoic areas were observed in the abdominal mass (Figure 1B), suggestive of fluid content within the tumor, but the exam could not determine in which structure the mass was located. This way, an exploratory laparotomy was held, which revealed the mass location, attached to the small intestine mesentery. The patient died during the attempt to remove the mass owing to severe hemorrhage.

Figure 1 (A) X-ray, laterolateral view of the right abdomen. Radiodensity reveals fluid in the abdominal cavity. (B) Abdominal ultrasound. Anechoic areas show the presence of fluid within the tumor. (C) Macroscopic view of the tumor mass during necropsy.
Pathological findings. The canine was taken for necropsy. A tumor mass was removed and was firm with irregular surface. It measured about 18 cm long by 13 cm wide (Figure 1C). Lymph nodes were edematous. It was noticed great tumor vascularization, which had a bloody uncoagulated content. When cut the mass appeared to have irregular consistency.
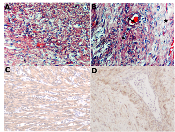
Microscopic findings were evaluated with hematoxylin/eosin (H&E) staining and observed the following characteristics: fusiform neoplastic cells with central hyperchromatic nucleus and nuclear pleomorfism, in desmoplastic areas, spindle-shaped cells with dark and increased nuclei and an infiltrative grown, with low mitotic index (Figure 2, A and B).

Figure 2 (A) Intestinal neoplasia, 40x H&E. (B) pleomorphic cells in desmoplastic areas (asterisk), mixed with elongated cells with large and dark nuclei (arrow head) and an infiltrative grown (arrow), 40x H&E. (C) Neoplasic cells grouped into bundles. Smooth muscle actin: immunohistochemistry staining of (A), 10x. (D) Vimentin: immunohistochemistry staining of (B), 10x.
Observations with H&E did not allow clear differentiation of tumor type. As such, a differential staining with Masson trichrome (MT) evidenced the tumor mesenchymal origin.
With the findings in the staining with H&E and MT it was determined the mesenchymal origin of the tumor, as the MT colors collagen fibers of blue, cytoplasmic structures, muscle fibers red and black or purple nuclei. Nonetheless, we decided to further investigate tumor origin, as MT color yielded around 50% blue staining and 50% red staining. The next step was to perform immunohistochemistry, in order to reach a definitive diagnosis and accurately classify tissue origin. Thus, immunohistochemistry was held for cytokeratin (CK5), to observe mesothelium, since tumor location was near peritoneum, to discard anaplastic mesotelioma.
As the samples were negative for CK5, further immunohistochemistries were performed, for actin, vimentin and KIT(CD117) antigen. This way, it was demonstrated that both proteins were highly expressed in the tumor, as observed in figure 2 C and D and was negative for KIT, as observed in figure 3.

Figure 3 Immunohistochemical stain for KIT (CD117), (A) Intestinal neoplasia, neoplastic cells were negative for KIT (CD117) antigen. 4x. (B) Intestinal neoplasia, highly cellular spindle cell neoplasm composed of fusiform cells arranged in streams and bundles, were negative for KIT, 10x. (C) Immunohistochemistry staining of KIT (CD117) antigen, 20x and (D); 40x.
DISCUSSION
According to the clinical signs and paraclinical results, diagnostics pointed out for a paraneoplastic syndrome (PNS) associated with peritoneal leiomyosarcoma. The non-regenerative normochromic normocytic anemia is secondary to neoplastic disease 6. It is important to correlate this type of anemia to other factors such as various chronic conditions that arise during the PNS, lower iron recapture and bone marrow erythroid hypoplasia, which is probably due to the excessive release of cytokines such as tumor necrosis factor alpha, IL-1, IL-6, IL-10, and interferon gamma, as a result of increased macrophages’ phagocytic activity or by the neoplastic process 6,7. These cytokines cause decreased levels of erythropoietin and interfere with the normal relationship between the concentrations of erythropoietin and hematocrit causing a defective or reduced erythropoiesis 7. They may also inhibit the proliferation of the erythroid line once iron can be sequestered by macrophages, which reduce serum iron and restricts the ability to develop red blood cells precursors and a moderate decrease in red cell half-life 6 with little bone marrow response to erythropoietin and, likewise, very little erythropoietin, as well as lower erythropoietin concentrations released 7.
The patient’s body condition of 2/5 which may be due to anorexia/ cachexia as part of PNS, when there is a clear loss of muscle and fat. This is originated from anorexia-inducing factors, the nutritional demand of tumor tissue and humoral factors including cytokines and hormones 8. Cytokines such as TNF (cachectin), which is produced in large amount by the immune system cells such as NK cells, macrophages and neutrophils in the presence of the tumor 9 acting as a cachexia inducing agent by inhibiting enzymes involved in fatty acid uptake and glucose, and also operating on the synthesis of triglycerides, thereby causing hyperglycemia and increased concentration of free fatty acids in the blood 10. Also, the increase in TNF gene expression in adipose tissue 11 induces insulin resistance through the ability to phosphorylate insulin receptor serine substrate-1, decreasing the tyrosine kinase activity of the insulin receptor 12.
Leukocytosis and relative neutrophilia observed in this study patient are associated with the inflammatory changes and number of recruited white blood cells 6 resulting in a sustained leukocytosis, with high production of TNF, which then produced the constant stimulation of tumor. Thrombocytopenia found in the complete blood count may be caused by the neoplastic process 13, probably due to failure in production by the bone marrow 14 together with the presence of the nonseptic peritoneal exudate 15, which in turn was reported to present a predominance of non-degenerate neutrophils and high levels of protein.
Pathological changes observed morphologically with abdominal effusions are associated with pathological processes of the parietal and visceral surfaces of the cavity by malignant tumors that may lead to ascites, as the serous membrane which contains neoplasia 16,17,18 with the consequent production of exudate.
Within the differential diagnoses were enlisted, gastrointestinal spindle cell tumors, leiomyoma, predominantly fibrous (spindle cell) malignant mesothelioma, fibrosarcoma, malignant peripheral nerve sheath tumor.
Among the list of differential diagnoses proposed after the observation of the staining with hematoxylin/ eosin, it was initially suspected peritoneal mesothelioma, which can take a variety of histologic patterns resembling a predominantly papillary adenocarcinoma and fusiform cells resembling fibrosarcoma cells, when they are predominantly fibrous 19. Also, the histopathological description of the neoplasm exhibits compatible features with a mixed or biphasic peritoneal mesothelioma which presents areas with the appearance of carcinoma and other sarcomatoids 20. As there are reports of canine biphasic mesothelioma, histochemical analysis and Masson trichrome stain were chosen, and determined that it was a tumor with mesenchymal origin characteristics 19. Mesothelioma was discarded as a differential diagnosis considering as most probable diagnosis a leiomyosarcoma or fibrosarcoma.
Surgical excision is the preferred treatment for intestinal leiomyosarcoma, although the prognosis for dogs after surgery is not clear. Post-surgical survival times range from 0 to 47 months, with a median survival time of about 12 months 21,22. Dogs with intestinal leiomyosarcoma that survive the immediate postoperative period can have a long-term survival after surgical excision 18 to 38 months 21,22. The observation of metastasis during diagnosis would not harm the prognosis 22. Furthermore, dogs with histological diagnosis of metastasis at the time of surgery also appear to have a long survival, with a mean time of 21.7 months (range 4.2-41.5 months). This indicates that the biologic behavior of this tumor may not be highly aggressive, even if invasion into the mesentery is present at the time of surgery 21.
If the clinician suspects of possible metastasis, it is recommended to perform a biopsy of the probable potential sites of neoplastic cell invasion 22. In the gastrointestinal forms, the most reported sites of metastases are the regional lymph nodes, the mesentery and the liver. The spleen, kidneys and peritoneum may also be affected. The prognosis is worse for splenic forms (mean survival of 8 months) and it gets worse for the liver forms, with a null survival. For cutaneous forms, a small number of recurrences is observed and only when the safety margins at the time of excision are not enough 22. Two dogs received chemotherapy after excision. One dog, which did not have perforation or metastasis at the time of surgery, received combination therapy consisting of doxorubicin (30 mg/m2 IV weeks 1, 4, 7), cyclophosphamide (100 mg/m2 IV weeks 1, 4, 7), and vincristine (0.7 mg/m2 IV weeks 2, 3, 5, 6). This dog was lost to follow up 27.5 months after surgical excision. The other dog had histologically confirmed metastasis to the spleen and liver. This dog received doxorubicin intravenously at 30 mg/m2 every 3 weeks for 4 cycles. This dog died from tumor related causes 4.2 months after surgery 21.
Immunohistochemical tests were then performed, in which the immune-negativity for CK5 markers showed a neoplasia of a non-epithelial origin (mesothelioma) and was negative for KIT (CD117) antigen, and smooth muscle actin cytoplasmic immune-positivity and vimentin therefore concluded it was highly likely to be a leiomyosarcoma 23. Indeed, the LMS is distinguished by a high positivity of actin and desmin, while GISTs express the receptor to the tyrosine kinase c-kit 22.
In conclusion, the tumor was classified by histopathology as of mesenchymal origin and internal diffuse cytoplasmic immunopositivity of neoplastic cells for smooth muscle actin, vimentin and was negative for KIT led to diagnose of leiomyosarcoma.
REFERENCES
1. Bettini G, Morini M, Marcato PS. Gastrointestinal Spindle Cell Tumours of the Dog: Histological and Immunohistochemical Study. J Comp Pathol. 2003; 129(4):283-293. https://doi.org/10.1016/S0021-9975(03)00046-X [ Links ]
2. Frost D, Lasota J, Miettinen M. Gastrointestinal Stromal Tumors and Leiomyomas in the Dog: A Histopathologic, Immunohistochemical, and Molecular Genetic Study of 50 Cases. Vet Pathol. 2003; 40(1):42-54. https://doi.org/10.1354/vp.40-1-42 [ Links ]
3. Bommineni YR, Dick EJ, Hubbard GB. Gastrointestinal stromal tumors in a baboon, a spider monkey, and a chimpanzee and a review of the literature. J Med Primatol. 2009; 38(3):199-203. https://doi.org/10.1111/j.1600-0684.2009.00339.x [ Links ]
4. Jacobsen MC, Valentine BA. Dermal Intravascular Leiomyosarcoma in a Cat. Vet Pathol . 2000; 37(1):100-103. https://doi.org/10.1354/vp.37-1-100 [ Links ]
5. Khan S, Vij H, Gupta V, Tyagi N. Role Of Histological Stains In Evaluation Of Collagen In Oral Squamous Cell Carcinoma As A Diagnostic Tool : Review Article. Univ J Dent Sci. 2016; 1(2):85-89 https://www.amu.ac.in/pdf/dentjour/15ROLE%20OF.pdf [ Links ]
6. Weiss D, Tvedten H. Erythrocyte Disorders. In: Clinical Diagnosis by Laboratory Methods. 4 ed. St. Louis: Saunders; 2004. https://doi.org/10.1016/B0-72-168903-5/50007-0 [ Links ]
7. Latimer K, Mahaffey E, Prasse K. Veterinary Laboratory Medicine. 4 ed. Ames: Blackwell Publishing; 2003. https://lib.ugent.be/catalog/rug01:001223018 [ Links ]
8. Tisdale MJ. Molecular pathways leading to cancer cachexia. Physiol. 2005; 20(5):340-348. https://doi.org/10.1152/physiol.00019.2005 [ Links ]
9. Kushibiki S, Shingu H, Komatsu T, Itoh F, Kasuya E, Aso H, Hodate K. Effect of recombinant bovine tumor necrosis factor-α on hormone release in lactating cows. J Anim Sci. 2006; 77(6):603-612 https://doi.org/10.1111/j.1740-0929.2006.00392.x [ Links ]
10. Hotamisligil GS. Molecular mechanisms of insulin resistance and the role of the adipocyte. Int J Obes Relat Metab Disord : Int J Obes. 2000; 24(4):23-27. https://doi.org/10.1038/sj.ijo.0801497 [ Links ]
11. Dinarello AC. Proinflammatory Cytokines. Chest. 2000; 118(2):503-508. https://doi.org/10.1378/chest.118.2.503 [ Links ]
12. Recasens M, Ricart W. Obesidad e inflamación. Rev Med Univ Navarra. 2004; 48:49-54. https://www.ncbi.nlm.nih.gov/pubmed/15382613# [ Links ]
13. Alleman AR. Abdominal, thoracic, and pericardial effusions. Vet Clin North Am Small Anim Pract. 2003; 33(1):89-118. https://doi.org/10.1016/S0195-5616(02)00057-8 [ Links ]
14. Childress MO. Hematologic Abnormalities in the Small Animal Cancer Patient. Vet Clin North Am Small Anim Pract . 2012; 42(1):123-155 https://doi.org/10.1016/j.cvsm.2011.09.009 [ Links ]
15. Pembleton-Corbett JR, Center SA, Schermerhorn T, Yeager AE, Erb HN. Serum-effusion albumin gradient in dogs with transudative abdominal effusion. J Vet Intern Med. 2000; 14(6):613-618 https://doi.org/10.1111/j.1939-1676.2000.tb02285.x [ Links ]
16. Teixeira LV, Guerra TA, Conrado FO, Terra SR, Gerardi DG. Evaluation of tumor markers carcinoembryonic antigen, cytokeratin 19 fragment and Cancer-Associated Antigen 72-4 in Neoplastic and Non-Neoplastic. Arq Bras Med Vet Zootec. 2014; 66(5):1311-1316 https://doi.org/10.1590/1678-6820 [ Links ]
17. Suarez D, Izquierdo F. Embolization of mesothelial cells in lymphatics : the route to mesothelial inclusions in lymph nodes? Histopathology. 1998; 33(6):570-575. https://doi.org/10.1046/j.1365-2559.1998.00545.x [ Links ]
18. Peters M, Tenhündfeld J, Stephanb I, Hewicker-Trautweina M. Embolized Mesothelial Cells within Mediastinal Lymph Nodes of Three Dogs with Idiopathic Haemorrhagic Pericardial Effusion. J Comp Pathol . 2003; 128(02):107-112. https://doi.org/10.1053/jcpa.2002.0612 [ Links ]
19. Ochoa-Amaya JE, Hernández- Arevalo G. Mesotelioma Invasivo de un Canino : Citología , Clínica y Hallazgos Patológicos. Int J Morphol. 2008; 26(1):103-112 https://doi.org/10.4067/S0717-95022008000100018 [ Links ]
20. Bacci B, Morandi F, De Meo M, Marcato PS. Ten cases of feline mesothelioma: an immunohistochemical and ultrastructural study. J Comp Pathol . 2006; 134(4):347-54. https://doi.org/10.1016/j.jcpa.2006.02.001 [ Links ]
21. Cohen M, Post GS, Wright JC. Gastrointestinal leiomyosarcoma in 14 dogs. J Vet Intern Med 2003; 17:107-110. https://doi.org/10.1111/j.1939-1676.2003.tb01331.x [ Links ]
22. Spyckerelle, C. Leiomyosarcome canin: généralités, diagnostic, traitement et pronostic. Le Point vétérinaire (Éd. Expert canin). 2011; 42(316):54-55. https://www.lepointveterinaire.fr/publications/le-point-veterinaire/article-canin/n-316/leiomyosarcome-canin-generalites-diagnostic-traitement-et-pronostic.html [ Links ]
23. Frost D, Lasota J, Miettinen M. Gastrointestinal Stromal Tumors and Leiomyomas in the Dog: A Histopathologic, Immunohistochemical, and Molecular Genetic Study of 50 Cases. Vet Pathol . 2003; 40:42-54. https://doi.org/10.1354/vp.40-1-42 [ Links ]
How to cite (Vancouver) Ochoa-Amaya J, Zambrano DE, Roque-Rodriguez A, Queiroz-Hazarbassanov N, Zaidan DM. Peritoneal leiomyosarcoma in a canine: case report. Rev MVZ Cordoba. 2019; 24(3):7378-7383. DOI: https://doi.org/10.21897/rmvz.1363
Received: August 2018; Accepted: May 2019; Published: October 2019









texto em 


