SciELO - Scientific Electronic Library Online

 
vol.50 issue2Cultural psychiatry: beyond DSM-5 author indexsubject indexarticles search
Home Pagealphabetic serial listing  

Services on Demand

Journal

Article

Indicators

Related links

  • On index processCited by Google
  • Have no similar articlesSimilars in SciELO
  • On index processSimilars in Google

Share


Revista Colombiana de Psiquiatría

Print version ISSN 0034-7450

rev.colomb.psiquiatr. vol.50 no.2 Bogotá Apr./June 2021  Epub Dec 20, 2021

 

Reporte de caso

Neuropsiquiatría del síndrome de Susac: a propósito de un caso

Neuropsychiatry of Susac Syndrome: a Case Report

Ramiro Gilberto Ruiz-García a  

Jacobo Chacón-González a  

Leo Bayliss b  

Jesús Ramírez-Bermúdez a  

a Unidad de Neuropsiquiatría, Instituto Nacional de Neurología y Neurocirugía Manuel Velasco Suarez, Ciudad de México, México

2b Servicio de Neurología, Instituto Nacional de Neurología y Neurocirugía Manuel Velasco Suarez, Ciudad de México, México


RESUMEN

El síndrome de Susac es una entidad clínica poco frecuente, posiblemente mediada por un proceso autoinmune; la tríada clásica se compone de retinopatía, disminución en la agudeza auditiva y síntomas neuropsiquiátricos (encefalopatía). Hay pocos casos descritos con sintomatología neuropsiquiátrica como la sintomatología principal. Presentamos un caso de síndrome de Susac, que corresponde a una mujer de 34 arios, con predominio de sintomatologia neuropsiquiátrica, caracterizada por un síndrome de Klüver-Bucy parcial, un síndrome apático, risa y llanto patológico y alteraciones cognitivas de predominio atencional; dichos síntomas mejoraron cualitativamente con el uso de terapia inmunológica. Este caso revela la importancia de las manifestaciones neuropsiquiátricas como presentación clínica en pacientes con entidades neurológicas.

Palabras clave: Apatía; Klüver-Bucy; Risa y llanto patológico; Síntomas neuropsiquiátricos; Síndrome de Susac

ABSTRACT

Susac syndrome is a rare clinical condition, possibly mediated by an autoimmune process; the classic triad is composed of retinopathy, decreased hearing acuity and neuropsychiatric symptoms (encephalopathy). There are few cases reported with neuropsychiatric symptoms as the main manifestation. We present a case of Susac syndrome in a 34-year-old female with a predominance of neuropsychiatric symptoms, characterised by partial Klüver-Bucy syndrome, apathy syndrome, pathological laughter and crying, and cognitive dysfunction predominantly affecting attention, which showed a qualitative improvement with the use of immunological therapy. This case report highlights the importance of neuropsychiatric manifestations as clinical presentation in patients with neurological conditions.

Keywords: Apathy; Klüver-Bucy; Pathological laughter and crying; Neuropsychiatric symptoms; Susac síndrome

Introducción

El síndrome de Susac es una entidad clínica poco frecuente y posiblemente mediada por un proceso autoinmune1. Fue descrita por primera vez en 1973; inicialmente se lo conoció con el nombre de SICRET2 (small infarctions of cochlear, retinal, and encephalic tissues). Otro término para referirse a esta entidad fue retinopathy, encephalopathy, and deafness microangiopathy o síndrome RED-M3. En 1979, Susac4 describe nuevamente esta entidad clínica y en la década siguiente se le denominó síndrome de Susac. Esta entidad se caracteriza por afección a las arterias de pequeño calibre en el cerebro, el oído interno y la retina, por lo que su tríada clínica clásica se compone de: encefalopatía con o sin déficit neurológico focal, pérdida de agudeza auditiva sensorial y afección visual4. De manera inicial, esta tríada se presenta aproximadamente en el 20% de los pacientes; sin embargo, la cifra incrementa a 70% conforme evoluciona el padecimiento5. Recientemente, se publicaron los criterios diagnósticos del síndrome, lo que ayudará al estudio de esta entidad6.

El estado conocido como encefalopatía se relaciona con un deterioro de las funciones mentales, lo cual puede generar manifestaciones neuropsiquiátricas. En el síndrome de Susac se han descrito las siguientes: deterioro cognitivo en el 48% de los casos, confusión en el 39%, trastornos emocionales en el 16%, cambios conductuales en el 15%, cambios de la personalidad en 12%, apatía en el 12% y psicosis en el 10% de los casos1. Estas cifras se basan en una revisión retrospectiva de todos los casos reportados hasta el 2013. Esta revisión muestra que las manifestaciones neuropsiquiátricas, es decir, las alteraciones mentales y del comportamiento, son frecuentes, pero se requieren descripciones clínicas más detalladas acerca de los modos de presentación de estas manifestaciones, ya que, sin una orientación adecuada, las alteraciones mentales y del comportamiento pueden ser una fuente de confusión diagnóstica. Es frecuente que los pacientes neurológicos con síntomas neuropsiquiátricos sean enviados a hospitales psiquiátricos sin un adecuado diagnóstico diferencial. El propósito de este artículo es presentar un caso clínico de síndrome de Susac para describir con claridad la naturaleza de las alteraciones mentales y del comportamiento, para analizarlo con las herramientas de una revisión bibliográfica centrada en la dimensión neuropsiquiátrica del problema. Al categorizar de manera adecuada la sintomatología neuropsiquiátrica aguda, más allá del concepto general de «encefalopatía», se puede mejorar la sospecha clínica y la identificación del síndrome para obtener un mayor número de reportes científicos. La descripción neuropsiquiátrica de este caso puede contribuir a darle más visibilidad al síndrome de Susac en el contexto de los trastornos mentales y del comportamiento.

Respecto a las consideraciones éticas, se contó con la autorización tanto del familiar de primer grado como de la paciente mediante consentimiento informado, garantizando la confidencialidad de los datos.

Presentación del caso clínico

Se trata de una mujer de 34 años, mexicana, con 6 años de escolaridad, diestra, sin antecedentes de enfermedades sistémicas, neurológicas o psiquiátricas previos.

Seis meses antes de su internamiento presentó un cuadro incapacitante de vértigo durante 3 días y 2 meses antes de la hospitalización cursó con un cuadro de tinnitus en el oído derecho durante 2 días. La sintomatología se autolimitó y no requirió manejo médico. Un mes antes del internamiento, la pareja de la paciente observó cambios conductuales de inicio subagudo, caracterizados por desorientación visuoespacial, apatía y dificultad para el inicio de la marcha. En un par de ocasiones también observaron conductas de hiperoralidad. Por estos motivos fue hospitalizada en un centro de referencia neurológico.

Durante la primera valoración neuropsiquiátrica, la paciente se encontraba despierta (con ciclo sueño vigilia conservado), con dificultad para mantener la atención; se distraía con estímulos ambientales. A pesar del estrés implícito en su condición médica y las dificultades e incomodidades de la hospitalización, tenía una actitud plácida: por ejemplo, mostraba una sonrisa estereotipada, inusual dentro del contexto hospitalario y la circunstancia de su enfermedad. Esto, aunado al reporte previo de hiperoralidad, llevó a la consideración de un síndrome de Klüver-Bucy parcial. La psicomotricidad de la paciente estaba muy disminuida, aunque ocasionalmente presentaba fenómenos de dependencia ambiental (tomaba los objetos que estaban cerca de ella para explorarlos a pesar de recibir instrucciones de no tomarlos). No emitía habla de manera espontánea, solamente al ser interrogada, sus respuestas eran parcas, con aumento en la latencia de respuesta. El volumen de la voz era bajo y monótono. Su discurso tenía un pobre contenido, emitía generalmente respuestas monosilábicas; a pesar de distraerse fácilmente con los estímulos del entorno, cuando se la interrogaba sobre gustos en particular para tratar de estimularla no demostraba interés; no presentaba reacciones emocionales conductuales en un inicio, más allá de la actitud plácida. Se aplicó la escala de apatía APADEM-NH7, en la cual obtuvo un puntaje positivo en 42 reactivos, relacionados a las dimensiones de inercia cognitiva y conductas autogeneradas. De esta manera, se diagnosticó un síndrome de apatía con características cognitivas y de autoactivación. Con respecto a la exploración de otros síntomas neurológicos, encontramos hiperreflexia generalizada y signo de Babinski de manera bilateral; sin embargo, no presentaba disminución de la fuerza. Los exámenes de laboratorio iniciales solo demostraron positividad para gonadotropina coriónica humana. La evaluación obstétrica demostró un embarazo de 15 semanas de gestación, observando un feto normal. Se llegó a un consenso con los familiares de primer grado y el embarazo fue interrumpido de manera terapéutica posterior a la primera línea de tratamiento empleado (véase más adelante).

Se realizó una imagen por resonancia magnética (fig. 1a y b) de encéfalo, encontrando múltiples lesiones hiperintensas bilaterales en distintas regiones de sustancia blanca como cuerpo calloso, corona radiada, regiones periventriculares, así como en núcleos de sustancia gris, como el núcleo caudado, además de regiones infratentoriales cerebelares.

Figura 1 Imagen por resonancia magnética del cerebro. a) Cortes sagital y axial en secuencia FLAIR (fluid-attenuated inversion recovery) en donde se observan lesiones hiperintensas en cuerpo calloso snow balls, corona radiada y regiones periventriculares. b) Cortes coronal y axial en secuencia T2, en donde se observa pérdida de volumen de estructuras hipocampales e hiperintensidades en corona radiada y núcleos de la base. 

La punción lumbar tenía una presión de apertura normal. Se obtuvo líquido cefalorraquídeo de consistencia fluida, transparente, incoloro, con proteínas de 77 mg/dl, glucosa de 52 mg/dl (glucosa sérica 89 mg/dl) y ausencia de células. Se encontraron anticuerpos antinucleares moteado fino 1:2.560, sin alguna manifestación sistémica. El resto de los estudios solicitados (en busca de etiología paraneoplásica, infecciosa, autoinmune) no presentaba alteraciones.

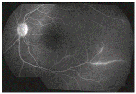
La valoración oftalmológica mediante angiografía con fluoresceína reveló oclusión de ramas de la arteria retiniana (fig. 2). Las pruebas de audiometría evidenciaron disminución de la audición de manera bilateral con un patrón sensorioneural.

Figura 2 Fondo de ojo (izquierdo) con técnica de angiografía con fluoresceína en donde se observa vasculitis oclusiva. 

Se dio inicio a tratamiento con bolos de metilprednisolona 1 g por día durante 5 días, con pobre respuesta clínica. Por esta razón, se comenzó el tratamiento con inmunoglobulina calculado a dosis estándar de 0,4mg/kg/día durante 5 días. Las manifestaciones conductuales fueron cambiando durante el tratamiento con inmunoglobulina. La actitud plácida continuó a lo largo de la evolución; sin embargo, las conductas dirigidas a metas se incrementaron; además, observamos una mejora cualitativa en la atención. Un efecto inesperado es que la paciente comenzó a presentar labilidad afectiva, pasando por la incontinencia afectiva y desarrollando un claro afecto seudobulbar (es decir, una pérdida del control de la expresión emocional, con episodios de risa y llanto involuntarios, y sin relación con el estado emocional subjetivo de la paciente; a manera de ejemplo, comenzaba a reírse de manera exagerada en el momento en que interactuaba con el médico y esto le generaba vergüenza, constantemente expresaba que «no deseaba reírse y que no se reía del personal médico, que esto era incontrolable»). La cuantificación en escala PLACS para risa y llanto patológico8 fue de 15 puntos, de los cuales 11 correspondieron al apartado de risa patológica y 4 al de llanto patológico.

En la primera valoración (tabla 1) por parte del Servicio de Neuropsicología, antes del tratamiento con metilprednisolona, se encontraron datos consistentes con la pérdida de iniciativa y la baja reactividad a estímulos de entorno, así como una alteración de la atención, lo cual generaba de manera secundaria una alteración del lenguaje expresivo (lenguaje espontáneo muy reducido, con conservación primaria del lenguaje automático, repetición y denominación), de la comprensión del lenguaje, de la memoria y las funciones ejecutivas.

Tabla 1 Desempeño pretratamiento (día 2 de estancia intrahospitalaria) y postratamiento (día 20 de estancia intrahospitalaria) en el Montreal Cognitive Assesment Battery 

En la segunda valoración neuropsicológica, realizada posterior al tratamiento con inmunoglobulina, logró cooperar en mayor medida respecto a la primera valoración. Si bien los puntajes en las baterías neuropsicológicas permanecieron cuantitativamente similares, su desempeño cualitativo fue mejor. El reporte de la segunda valoración fue el siguiente: «Se observa a una paciente con un cuadro neuropsicológico moderado a severo, caracterizado por adinamia, alteraciones en la atención, memoria, praxias constructivas y funciones ejecutivas. A diferencia de la evaluación anterior, se observa una elevación en la actividad, atención a estímulos interferentes, dependencia ambiental, placidez y anosodiaforia».

En la valoración ambulatoria de seguimiento, 3 meses posterior al egreso hospitalario, el estado neuropsiquiátrico de la paciente había mejorado considerablemente, persistiendo de manera franca la afección prefrontal (principalmente dominio ejecutivo y dependencia ambiental), así como la risa y el llanto patológico. En este período de seguimiento la paciente era dependiente para las actividades complejas de la vida diaria y comenzaba a desempeñar algunas funciones básicas de la vida diaria de manera independiente.

Discusión y conclusiones

El caso que hemos presentado ilustra algunas características relevantes del síndrome de Susac. En primer lugar, se cumple la tríada caracterizada por encefalopatía, pérdida de agudeza auditiva sensorial y afección visual4. En segundo lugar, se trata de un caso que probablemente obtuvo su máxima expresión fenotípica debido al embarazo de la paciente, hay algunos reportes de caso en donde se describe esta relación; sin embargo, debido al nivel de evidencia, no podemos llegar a conclusiones causales al respecto10,11. En tercer lugar, se demostró la respuesta clínica con el tratamiento inmunomodulador implementado en 2 tiempos. Centraremos nuestra discusión en los ámbitos neuropsiquiátricos.

Como ya se ha comentado, el término encefalopatía se refiere únicamente a una afección difusa del encéfalo y no hay un consenso en la definición de este término desde el punto de vista clínico, por lo cual, durante el abordaje clínico, se requiere de una descripción más detallada, particularmente de las alteraciones neuropsiquiátricas, ya que estas con frecuencia son consideradas como de naturaleza «no orgánica» o puramente «psicológica». Sin embargo, un análisis clínico basado en evidencia puede demostrar que las alteraciones del presente caso están estrechamente vinculadas al daño cerebral objetivo que se engloba con el término «encefalopatía». La paciente presentó alteraciones en la atención, la memoria episódica y la memoria semántica, así como en las praxias y las funciones ejecutivas. Esto es congruente con la literatura publicada hasta el momento. Los dominios cognitivos afectados que han sido descritos en los reportes de caso son: déficits atencionales, alteraciones en lenguaje, afección mnésica episódica y semántica, tareas visuoespaciales, pensamiento concreto, impulsividad y retardo psicomotor, principalmente12,13.

Ahora bien, algunas de las manifestaciones neuropsiquiátricas de este caso no han sido descritas hasta el momento en el contexto del síndrome de Susac, por lo cual ameritan su propia discusión: nos referimos a los elementos de un síndrome de Klüver-Bucy (parcial), al síndrome apático y al fenómeno de risa y llanto patológico. Los 3 fenómenos están ligados a una base neuroanatómica bien documentada en la literatura científica y los abordaremos a continuación:

  1. La placidez se describe clásicamente en el síndrome de Klüver-Bucy14, así como las conductas de hiperoralidad referidas por el familiar. Aunque en el caso que nos ocupa no hay una lesión bilateral de la amígdala del lóbulo temporal, hay que recordar que la afección de múltiples tractos de sustancia blanca puede generar fenómenos de desconexión corticolímbica. La amígdala del lóbulo temporal establece conexiones con la corteza orbitofrontal mediante la sustancia blanca del fascículo uncinado. En nuestra paciente, hay múltiples lesiones en la sustancia blanca del lóbulo frontal, capaces de alterar la conectividad frontolímbica correspondiente al circuito basolateral de la amígdala. La placidez y la hiperoralidad como tal no han sido descritas en el síndrome de Susac, aunque pudieran pertenecer a la categoría de cambios de la personalidad presentes en el 12% de los casos.

  2. La definición de apatía según Levy y Dubois15 consiste en una reducción de conductas dirigidas a metas respecto a un basal previo y se divide en 3 dimensiones: a) apatía debida a fallas en el procesamiento emocional-afectivo; b) apatía debida a fallas en el procesamiento cognitivo y la categoría más grave de los 3, y c) apatía por una deficiencia en la autoactivación. En el caso que describimos, la paciente contaba con una mezcla de componentes de procesamiento cognitivo y de autoactivación según el análisis de la escala APADEM-NH y la calidad conductual observada durante la exploración. Las regiones anatómicas descritas en estos 2 subtipos de apatía corresponden a la corteza prefrontal dorsolateral y sus eferencias subcorticales, como el núcleo caudado dorsal y el núcleo dorsomedial del tálamo (lo cual se asocia al procesamiento cognitivo), además de corteza medial prefrontal (correspondiente al proceso de autoactivación). En el presente caso se observó una disminución del volumen cerebral en la corteza frontal medial y lesiones en la sustancia blanca del lóbulo frontal capaces de interrumpir las conexiones entre el circuito prefrontal dorsolateral y sus eferencias estriato-talámicas. La apatía ha sido descrita en algunos casos de síndrome de Susac, presentándose hasta en el 12%( ).

  3. Por último, el afecto seudobulbar o risa y llanto patológico se define como episodios de risa o llanto incontrolable inapropiados para las circunstancias en las que se encuentra el paciente e incongruentes con el monitoreo subjetivo del estado emocional. Algunos autores proponen que esto puede tratarse de un continuo desde la labilidad afectiva hasta el afecto seudobulbar16; la alteración radica en una pérdida del control voluntario sobre la expresión emocional; esto se debe a procesos de desconexión. La vía descrita clásicamente es la conexión cortico-ponto-cerebelosa16. En este caso, vemos múltiples zonas afectadas que involucran este tracto. El afecto seudobulbar no ha sido descrito previamente en el síndrome de Susac. Podría englobarse en el apartado de trastornos emocionales (ya que corresponde a un trastorno de la expresión emocional), los cuales están presentes en el 19%.

El proceso mediante el que se generan los síndromes neuropsiquiátricos en este caso es mediante desconexión de distintas regiones anatómicas, por lo que es esperable que, al igual que con las evaluaciones cognitivas que se han descrito, los síndromes neuropsiquiátricos de esta entidad sean heterogéneos dependiendo de las estructuras anatómicas lesionadas. Consideramos que la descripción neuropsiquiátrica de este caso en particular puede contribuir a darle más visibilidad al síndrome de Susac en el contexto de los trastornos mentales y del comportamiento.

Por último, es importante mencionar que este caso nos deja varias enseñanzas. Primero: la relevancia de la exploración mental y conductual en los pacientes con cuadros «atípicos» nos permitirán realizar un adecuado abordaje y diagnóstico. Segundo, la observación clínica nos llevará a la generación de hipótesis y la comprensión del funcionamiento del sistema nervioso. Tercero, con este caso podemos ampliar nuestro panorama clínico en pacientes que presentan de este síndrome.

BIBLIOGRAFÍA

1. Dörr J, Krautwald S, Wildemann B, Jarius S, Ringelstein M, Duning T, et al. Characteristics of Susac syndrome: A review of all reported cases. Nature reviews. Neurology. 2013;9:307-16. [ Links ]

2. Mala L, Bazard MC, Berrod JP, Wahl D, Raspiller A. Small retinal, cochlear, and cerebral infarctions in the Young patient, «SICRET» syndrome of Susac syndrome [French]. J Fr Ophtalmol. 1998;21:375-80. [ Links ]

3. Nicolle MW, McLachlan RS. Microangiopathy with retinopathy, encephalopathy, and deafness (RED-M) and systemic features. Semin Arthritis Rheum. 1991;21:123-8. [ Links ]

4. Susac JO, Hardman JM, Selhorst JB. Microangiopathy of the brain and retina. Neurology. 1979;29:313-6. [ Links ]

5. Vishnevskia-Dai V, Chapman J, Sheinfeld R, Sharon T, Huna-Baron R, Manor RS, et al. Susac syndrome: Clinical characteristics, clinical classification, and long-term prognosis. Medicine (Baltimore). 2016;95:43. [ Links ]

6. Kleffner I, Dörr J, Ringelstein M, Gross CC, Böckenfeld Y, Schwindt W, et al. Diagnostic criteria for Susac syndrome. J Neurol Neurosurg Psychiatry. 2016;87:1287-95. [ Links ]

7. Agüera-Ortiz LF, Gil-Ruiz N, Cruz-Orduña I, Ramos García MI, Osorio-Suárez RM, Valentin-Soler M, et al. Creación de una escala de medición de la apatía en pacientes con demencia tipo Alzheimer institucionalizados: la escala APADEM-NH-66. Psicogeriatría. 2010;2:207-19. [ Links ]

8. Robinson Parikh RM, Lipsey JR, Starkstein SE, Price TR. Pathological laughing and crying following stroke: Validation of a measure scale and double-blind treatment study. Am J Psychiatry. 1993;150:286-93. [ Links ]

9. Nasreddine ZS, Phillips NA, Bédirian V, Charbonneau S, Whitehead V, Collin I, Cummings JL, et al. The Montreal Cognitive Assessment MoCA: A brief screening tool for mild cognitive impairment. J Am Geriatr Soc. 2005;53:695-9. [ Links ]

10. Ioannides ZA, Airey C, Fagermo N. Susac syndrome and multifocal motor neuropathy first manifesting in pregnancy. Aust NZ J Obstet Gynaecol 2013;53:314-7 [ Links ]

11. Antulov R, Holjar-Eric I, Perkovic O. Susac syndrome during pregnancy -the first Croatian case. J Neurol Sci. 2014;341(1-2):162-4. [ Links ]

12. LeMonda BC, Peck CP, Giles KJ, Bowers D. Neurocognitive profile of a woman with Susac's syndrome: Further evidence of cognitive variability. Clin Neuropsychol. 2015;29:689-706. [ Links ]

13. Barritt AW, Wickremaratchi M, Anderson SJ. Neuropsychological outcome of a case of Susac syndrome: A two-year follow-up study. Appl Neuropsychol Adult. 2019;26:89-95. [ Links ]

14. Lanska DJ. The Klüver-Bucy Syndrome. Front Neurol Neurosci. 2018;41:77-89. [ Links ]

15. Levy R, Dubois B. Apathy and the functional anatomy of the prefrontal cortex -Basal ganglia circuits. Cerebral Cortex. 2006;16:916-28. [ Links ]

16. Miller A, Pratt H, Schiffer RB. Pseudobulbar affect: The spectrum of clinical presentations, etiologies and treatments. Expert Rev Neurother. 2011;11:1077-88. [ Links ]

Conflicto de intereses Ningún autor presentó algún conflicto de interés.

Recibido: 16 de Enero de 2019; Aprobado: 01 de Octubre de 2019

Creative Commons License Este es un artículo publicado en acceso abierto bajo una licencia Creative Commons