Services on Demand
Journal
Article
Indicators
-
Cited by SciELO -
Access statistics
Related links
-
Cited by Google -
Similars in
SciELO -
Similars in Google
Share
Revista de la Facultad de Medicina
Print version ISSN 0120-0011
rev.fac.med. vol.59 no.1 Bogotá Jan./Mar. 2011
PRESENTACIÓN DE CASOS
HIPERINFECCIÓN POR STRONGYLOIDES EN ANCIANO CON EPOC
Strongyloides hyperinfection in elderly patient with COPD
Análida Elizabeth Pinilla-Roa1, Myriam Consuelo López-Páez2
1MD. Especialista en Medicina Interna. Especialista Evaluación y Construcción de indicadores de Gestión para la Educación Superior. MSc. Educación con énfasis en docencia universitaria. Profesora Asociada Departamento de Medicina, Facultad de Medicina, Universidad Nacional de Colombia, Bogotá.2Bacterióloga. MSc. Microbiología. Especialista Microbiología Médica. Profesora Asociada. Departamento de Salud Pública, Facultad de Medicina, Universidad Nacional de Colombia, Bogotá. Correspondencia: aepinillar@bt.unal.edu.co Recibido: 20101217 Enviado a pares: 20110124 Aceptado publicación: 20110203
Resumen
Se presenta un caso de un hombre de 81 años natural de zona rural, agricultor, recolector de café 50 años atrás y jardinero por 22 años en Bogotá. Consultó por dolor abdominal de 10 días de evolución, localizado hacia mesogastrio y epigastrio. Además, disnea, tos productiva. Antecedentes: enfermedad pulmonar obstructiva crónica, cor pulmonale, fumador de 25 paquetes /año, había recibido prednisona oral y beclometasona inhalada en diversas ocasiones incluso en la última hospitalización. En el examen físico presentó signos de desnutrición, taquicardia, taquipnea; estertores en base del hemitórax derecho; abdomen: blando, depresible con dolor a la palpación profunda en epigastrio e hipocondrio derecho. Ingresó con síndrome de respuesta inflamatoria sistémica por taquicardia, taquipnea, leucocitosis 37.600 y eosinofilia 52-60%, Ig E: 180 UI/ ml. Se evidenciaron larvas rabditiformes de Strongyloides stercoralis en esputo y materia fecal. La radiografía de tórax mostró derrame pleural derecho, la ecografía hepática fue normal, la endoscopia de vías digestivas altas evidenció gastritis y duodenitis. Se inició tratamiento con ivermectina 200 mg/ Kg/dosis, con seguimiento clínico y de laboratorio con evolución clínica satisfactoria.
Palabras clave: Strongyloides stercoralis, infección, síndrome, eosinofilia, esputo, tratamiento (terapéutica).
Pinilla-Roa AE, López-Páez MC. Hiperinfección por strongyloides en anciano con EPOC. Rev Fac Med. 2011; 59: 46-55.
Summary
The case is presented of an 81-years old man from a rural area who had been a farmer, a coffee harvester 50 years beforehand and a gardener in Bogotá for 22 years. He consulted because of abdominal pain having 10 days' evolution, localized towards the mesogastrium and epigastrium. He was also suffering from dyspnoea and productive cough. Background: chronic obstructive pulmonary disease, smoking 25 packets/year, he had received oral prednisone and inhaled beclomethasone on occasions, including during his last hospitalization. Physical examination revealed signs of undernourishment, tachycardia, tachypnoea; stertors at the base of the right hemithorax; abdomen: soft, depressible with pain on deep palpation of the epigastrium and right hypochondrium. He was admitted suffering from systemic inflammatory response syndrome (SIRS) dueto tachycardia, tachypnoea, 37,600 leukocytosis and 52%-60% eosinophilia, Ig E: 180 UI/ ml. Strongyloides stercoralis rabditiform larvae appeared in sputum and fecal material. Thoracic radiography revealed right pleural leakage; hepatic echography was normal, endoscopy of upper digestive routes revealed gastritis and duodenitis. Treatment was started with 200 mg/Kg/dose ivermectin with clinical and laboratory follow-up and satisfactory clinical evolution.
Key words: Strongyloides stercoralis, infection syndrome, eosinophilia, sputum, therapeutics.
Pinilla-Roa AE, López-Páez MC. Strongyloides hyperinfection in elderly patient with COPD. Rev Fac Med. 2011; 59: 46-55.
Introducción
Se presenta un caso clínico con síndrome de hiperinfección en un paciente con inmunosupresión por tratamiento con corticoides e hiperreactividad bronquial en enfermedad pulmonar obstructiva crónica (EPOC) y eosinofilia absoluta. En países tropicales, como Colombia, si un paciente presenta eosinofilia se debe hacer diagnóstico diferencial, descartando en primer lugar la infección por helmintos tisulares.
La epidemiología del Strongyloides stercoralis es particular, es un nemátodo endémico en los países tropicales y subtropicales, la prevalencia varía según la región geográfica y se debe tener en cuenta que, como en otras parasitosis, existe un marcado subdiagnóstico (1-3). Entonces, todo médico debe concientizarse y sospechar la estrongiloidiasis según los antecedentes epidemiológicos del paciente asociada a la presencia de eosinofilia, en especial en aquellos personas que tengan inmunodeficiencia o hayan sido sometidos a tratamientos inmunosupresores.
Como medidas fundamentales de prevención están el uso de calzado adecuado en las zonas endémicas y el uso de guantes para manipulación de tierra, por ejemplo en zonas cafeteras, debido a la vía cutánea de penetración del parásito. De igual forma, para todas las geohelmintiasis es necesario incrementar programas de saneamiento ambiental y la educación de la población (3).
En el humano, la infección suele comenzar con la penetración de las larvas filariformes a través de la piel que están en el suelo, por diferentes sitios (manos, pies, región perianal). Las larvas migran por vía hematógena hasta los pulmones, rompen la pared alveolar ascienden hacia los bronquiolos para continuar hasta la vía aérea superior, luego son deglutidas hacia el intestino delgado, donde penetran la mucosa y se convierten en parásitos hembras adultos; además, puede cursar con auto-infección. Sin importar la vía de infección ésta puede persistir por décadas, a pesar de trasladarse la persona a zonas no endémicas, es por esto que se han reportado casos de veteranos de la Segunda Guerra Mundial que luego de décadas han presentado síndrome de hiperinfección o diseminación al desarrollar inmunosupresión (4,5).
Hay diferentes tipos de infección, que puede ser asintomática en pacientes inmunocompetentes hasta en 50% o sintomática (6). A su vez, las manifestaciones pueden aparecer a los pocos días, infección aguda, o después de años a décadas infección crónica y el síndrome de hiperinfección o estrongiloidiasis diseminada que afecta diferentes órganos siendo el pulmón el más comprometido, éste compromiso sistémico se ve en pacientes inmunosuprimidos usualmente es severo y puede ser fatal si el diagnóstico no es oportuno (7). La sintomatología pulmonar está relacionada con el síndrome de Löeffler: cuadro clínico respiratorio agudo con fiebre de varios días de evolución puede manifestarse como bronquitis con tos productiva, neumonitis, ocasionalmente hemoptisis, hasta cuadro de bronconeumonía y neumonía con signos de consolidación pulmonar que simula una neumonía bacteriana. Los hallazgos en la radiografía pulmonar pueden desaparecer en pocos días, puede ser no sólo por Strongyloides stercoralis sino por Ascaris lumbricoides o Uncinarias sp. El primer síntoma, es la dermatitis pruriginosa por la invasión de las larvas (4).
La manifestación intestinal puede ser crónica al permanecer el parásito en duodeno y yeyuno con dolor hacia el epigastrio o mesogastrio, leve o agudo, tipo ardor o punzada por lo cual debe diferenciarse de la enfermedad ácido péptica y otras duodenitis como la causada por Giardia. Con el cuadro clínico del dolor abdominal descrito y la eosinofilia absoluta, el clínico tiene fundamento para sospechar estrongiloidiasis en zonas endémicas y proceder a realizar el diagnóstico diferencial (4,6,8).
Este nemátodo suele cursar con infección crónica por años y hasta décadas, usualmente es asintomática en humanos, pero ante inmunosupresión por diversos fármacos como corticoides y citostáticos prescritos por diversas patologías (por ejemplo: hiperreactividad bronquial en asma o EPOC, enfermedades autoinmunes, neoplasias, transplante de órganos, VIH-SIDA) se produce una diseminación con el denominado síndrome de hiperinfección que puede terminar en sepsis y muerte del paciente. Existen en la literatura numerosos reportes de casos clínicos fatales, secundario a síndrome de hiperinfección por estrongiloidiasis adquirida muchos años atrás en un país tropical, estas personas años después han sido inmunosuprimidas por diferentes causas como enfermedad del tejido conectivo. En conclusión, el síndrome de hiperinfección por Strongyloides debe ser considerado en el paciente inmunosuprimido por corticoides (4,9).
Caso clínico
Hombre de 81 años natural de zona rural, con antecedentes epidemiológicos relevantes recolector de café durante meses hace unos 50 años, jardinero por 22 años en Bogotá, fumador de 25 paquetes/año, cor pulmonale por EPOC y múltiples esquemas de corticoide (inhalado, oral, parenteral) por hiperreactividad bronquial. Consultó, en la hospitalización previa, por dolor abdominal de 20 días de evolución, localizado hacia mesogastrio y epigastrio asociado a náusea, con diagnóstico de enfermedad ácido péptica se realizó endoscopia de vías digestivas altas reportada con gastritis y duodenitis y ecografía hepática normal, se dio tratamiento y salida. Consultó 15 días después con la misma sintomatología abdominal asociada a disnea y tos con expectoración, sin otros síntomas. Al examen físico de ingreso se encontró: FC de 98/m, FR: 24/m, peso de 55 Kg, IMC: 18, temperatura axilar de 36.5°C, caquéctico, disneíco. Cardiopulmonar: ruidos cardíacos normales, pulmonar: murmullo vesicular con sibilancias difusas y estertores en la base del hemitórax derecho; abdomen: blando, sin masas ni megalias, depresible con dolor a la palpación superficial en epigastrio y mesogastrio.
Como impresión diagnóstica se planteó síndrome de respuesta inflamatoria sistémica (taquicardia, taquipnea y leucocitosis), EPOC, neumonía basal derecha adquirida en la comunidad, síndrome mieloproliferativo en estudio (a descartar posible leucemia eosinófilica) por la eosinofilia absoluta. Se inició tratamiento con antibiótico y por la disnea y el bronco espasmo severo se indicó prednisona oral 40 mg/d para 55 Kg.
Dada la persistencia de eosinofilia absoluta (19.552 mm3), se solicitó coprológicos inicialmente en el laboratorio de la institución, que fueron informados sin evidencia de parásitos; además, ante el diagnóstico de entrada de síndrome mieloproliferativo se corroboró el examen físico, descartándose hepatomegalia, esplenomegalia, y adenopatías. Por lo anterior, se decidió dar tratamiento empírico con dos ciclos de albendazol; la eosinofilia descendió hasta un 9%, pero luego de completar el segundo ciclo, ésta empezó a ascender en forma rápida.
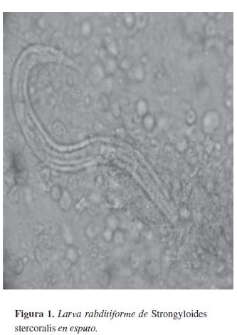
Por esto, se solicitó nuevamente estudio de materia fecal en laboratorio especializado, evidenciándose abundantes larvas rabditiformes de Strongyloides stercoralis y por el cuadro de tos productiva se decidió solicitar estudio de esputo que mostró también el parásito; además, se determinó en suero Ig E: con valor de 180 UI/ ml (valor normal 100 UI/ml). Dado estos hallazgos se preciso el diagnóstico de síndrome de figura 1. Larva rabditiforme de Strongyloides stercoralis en esputo. figura 2. Larva rabditiforme de Strongyloides stercoralis en materia fecal . hiperinfección por Strongyloides stercoralis; se inició ivermectina 200 µg/Kg/dosis, con seguimiento de muestra de materia fecal y esputo hasta la negativización y se observó disminución de la cantidad de esputo (figura 1 y figura 2) (1,10).
La radiografía de tórax mostró infiltrados basales derechos y presencia de derrame pleural confirmado por ecografía de tórax que reportó pequeño derrame pleural derecho (figura 3). Los exámenes de laboratorio mostraron leucocitosis de 37.600 y eosinofilia inicial del 52-67% e hipoalbuminemia severa de 1.98 g/dl, pruebas de función renal y amilasa normales (tabla 1).
Discusión
La estrongiloidiasis es una parasitosis endémica en regiones tropicales y subtropicales. El diagnóstico es difícil de establecer, pues los huevos no se encuentran en la materia fecal, se debe detectar la larva para hacer el diagnóstico, dado que el parásito puede estar en los tejidos, se requieren de estudios seriados de materia fecal puesto que las larvas caen intermitentemente a la luz intestinal por lo que se recomienda hacer tres a cinco exámenes en días diferentes. Se estableció la baja sensibilidad del examen de materia fecal explicada por la excreción intermitente de la larva, con incremento de la sensibilidad hasta un 50% con el seriado de tres muestras y hasta el 90% con seriado de siete (11).
Se emplean para el diagnóstico los métodos como el de Baermann, el Harada-Mori y el cultivo en placas de agar. El método de Baermann concentra las larvas a partir de materia fecal o de cultivos que son dispendiosos; el de Harada- Mori reproduce en el laboratorio parte del ciclo de vida libre del parásito, es importante no olvidar el carácter altamente infectivo de las larvas filariformes que pueden penetrar por la piel y el método del cultivo en agar, en placas de Petri, tiene mayor sensibilidad que los anteriores, se siembra la materia fecal fresca y se incuba durante dos a tres días a 30ºC, las larvas móviles arrastran bacterias y dejan trazos o huellas macroscópicas visibles sobre el sustrato sólido (3,6).
Además, de buscar el parásito en materia fecal, se puede encontrar en diversos fluidos del árbol bronquial (esputo, muestra por lavado bronquial), aspirado duodenal; la orina es una fuente rara de larvas y si es positiva significa hiperinfección; otra alternativa es la biopsia de diferentes órganos.
Es pertinente recordar a los médicos que los especímenes deben ser evaluados por personal entrenado y sin demora. En este caso clínico el diagnóstico inicial se retardó por el reporte negativo en el coprológico seriado, pero ante la evolución clínica y, en especial el comportamiento de la eosinofilia por el tratamiento con albendazol, se solicitó otro examen de coprológico a experto en parasitología quien evidenció innumerables larvas rabditiformes en la materia fecal y luego en el esputo (1,6,12). Una vez se hizo el diagnóstico, se reinterrogó al paciente acerca de los antecedentes epidemiológicos.
La otra alternativa, es realizar aspirado y biopsia duodenal que demuestra inflamación y puede demostrar el parásito (13). El papel del médico internista tratante es integrar la historia clínica con los conceptos de los demás especialistas y los exámenes diagnósticos, es crucial resaltar el valor del cuadro hemático. En este caso no se consideró necesario repetir la endoscopia inicial, realizada en la hospitalización anterior, que mostró duodenitis pues se halló el parásito en esputo y materia fecal.
Se ha empleado la prueba de ELISA con antígenos recombinantes con sensibilidad de 87,5% y especificidad de 93,5% para el diagnóstico de estrongiloidiasis en áreas endémicas, dado que hay reacción cruzada con filariasis y otros nemátodos cuando se hace ELISA con antígenos a partir de larvas. Además, se han descrito otras técnicas inmunológicas como el Western Blot con sensibilidad y especificidad dependientes del antígeno utilizado; este tipo de pruebas son útiles en áreas no endémicas ya que pueden dar reacciones cruzadas con otros helmintos. Por lo anterior, se han propuesto técnicas moleculares como la detección ADN del parásito en materia fecal por reacción en cadena de polimerasa en tiempo real (2,7,14).
La presencia de eosinofilia absoluta (mayor o igual a 500/mm3) en países tropicales como Colombia impone al clínico hacer el diagnóstico diferencial de las causas de eosinofilia. Por ello, se debe indagar el contexto epidemiológico como la zona geográfica de la cual procede, antecedentes mórbidos como cuadros pulmonares asmatiformes recidivantes y diarreas, antecedentes laborales, saneamiento ambiental de la región de donde proviene y sus características climáticas, hábitos alimentarios, las costumbres, existencia de animales domésticos, etc (15).
En este caso ante la eosinofilia absoluta de 19.552 mm3 sumada al antecedente epidemiológico de haber sido recolector de café y manipular tierra sin protección con guantes y el tratamiento recidivante de corticoides se sospechó estrongiloidiasis como primera opción entre el diagnóstico diferencial con otras parasitosis.
La eosinofilia puede estar asociada a helmintos; en la parasitosis intestinal es discreta (por ejemplo: ascaridiasis, oxyuriasis o enterobiasis, tricocefalosis) y en las infecciones provocadas por helmintos tisulares suele encontrarse eosinofilia absoluta, en las que el parásito guarda una estrecha relación con los tejidos del huésped como uncinariasis, estrongiloidiasis, paragonimiasis, fasciolasis, entre otros.
Román-Sánchez et al, insisten en la importancia de la eosinofilia como el mejor valor predictivo para la infección por Strongiloides stercoralis con una sensibilidad del 93,5% y especificidad de 93,1% por lo que proponen un programa costo- efectivo de tamizaje de eosinofilia sin examen de materia fecal en pacientes con factor de riesgo por ser agricultores y en tal caso sugieren dar tratamiento empírico (16).
Asimismo, ante la presencia de eosinofilia absoluta se debe hacer el diagnóstico diferencial de infección parasitaria con otras etiologías como enfermedades alérgicas (asma bronquial, urticaria), trastornos dermatológicos, enfermedades infecciosas (estreptococcias), eosinofilia pulmonar, asociadas a fármacos (penicilina, fenobarbital, postirradiación), enfermedad de Hodgkin, virales (hepatitis y mononucleosis infecciosa), entre otras (8).
El compromiso pulmonar discreto puede pasar inadvertido en estrongiloidiasis aguda, también puede aparecer como neumonitis con tos productiva o presentarse como síndrome de Löeffler o hemorragia pulmonar que es una presentación exótica (9). En caso de síndrome de hiperinfección o estrongiloidiasis sistémica puede haber producción abundante de esputo asociado a neumonitis o neumonía, porque las hembras invaden el epitelio bronquial y producen inflamación local, rara vez puede simular un tumor maligno. Así, tanto las larvas como los huevos pueden ser encontrados en pulmón y por tanto deben tomarse muestras de esputo y biopsia transbronquial.
En cuanto al tracto gastrointesinal alto se puede encontrar larvas de Strongyloides stercoralis que penetran la mucosa y conducen a inflamación, producción de secreción que será mayor de acuerdo a la cantidad de parásitos, cuando la invasión es intensa se ha descrito compromiso de la submucosa e incluso de la capa muscular con presencia de granulomas y ulceración, lo usual es la presencia en duodeno y yeyuno pero en hiperinfección puede diseminarse hasta intestino delgado y colon, caso en el cual hay leucocitocis y eosinofilia severas. El cuadro clínico puede ir desde asintomático a sintomático por compromiso intestinal con dolor abdominal, hacia epigastrio y mesogastrio de tipo punzada o ardor por lo cual puede enfocarse como enfermedad ácido péptica y hallazgos inflamatorios en duodeno por endoscopia como fue en este caso. Además, pueden estar presentes síntomas inespecíficos como nausea, vómito y diarrea inespecífica que puede estar alternada con estreñimiento (5,7,11).
Sin embargo, cuando hay síndrome de hiperinfección está descrito como un síndrome de autoinfección acelerada que usualmente es secundario a inmunosupresión; la diseminación que puede involucrar ganglios linfáticos, pulmón, piel, hígado, riñón, bazo, corazón, cerebro y meninges. El compromiso pulmonar es importante con disnea, tos, expectoración abundante y demás síntomas que corresponden a bronquitis, bronconeumonía o neumonía (4,16,17)
El síndrome de hiperinfección esta asociado con alta mortalidad porque es diagnosticado tardíamente en el paciente con inmunocompromiso de diversa etiología, se clasifican como factores de riesgo mayores: neoplasia, inmunosupresión por corticoides o citostáticos, transplante de órganos, enfermedad maligna hematológica, VIHSIDA y como factores adicionales: diabetes mellitus, desnutrición, enfermedad renal crónica, alcoholismo, entre otros (9,11,17,18).
Los corticoides son prescritos en la práctica clínica diaria en diversas presentaciones: tópica, inhalada, oral y parenteral para diversas patologías como: enfermedades autoinmunes, cáncer, lesiones cutáneas, enfermedades pulmonares (crisis asmática, exacerbación aguda de EPOC, enfermedades intersticiales como vasculitis con compromiso pulmonar, sarcoidosis, entre otras). Los corticoides independientemente de la dosis y la vía de administración inducen a las larvas rabditiformes transformarse hacia la forma invasiva que es la larva filariforme y estimulan la reproducción de las hembras adultas latentes (partenogénesis), porque: limitan la respuesta inmune mediada por células responsables de evitar el paso del parásito a la circulación; suprimen la función de los eosinófilos (principal línea de defensa en las parasitosis) y la activación de linfocitos.
De otra parte, la hiperinfección por Strongiloides stercoralis puede desencadenarse, con dosis bajas o altas de corticoides; asimismo, los signos y síntomas de hiperinfección causada por la administración de éstos se han descrito desde días, años o hasta décadas después del inicio de la terapia; en el caso clínico que se presenta el paciente había recibido múltiples esquemas de corticoides por años para su enfermedad pulmonar de base (17,19).
Los citostáticos que suprimen la inmunidad celular como los alcaloides de la vinca (vinblastina, vicristina), ciclosporina, ciclofosfamida, azatriopina, 6-mercaptopurina, metotrexate, bleomicina y clorambucilo, irradiación corporal total, entre otros se han descrito como causantes de hiperfección. Además, los alcaloides se ha asociado a un efecto tóxico sobre las neuronas mientéricas, disminuyendo la motilidad e incrementando el tiempo de muda de la larva rabdtiforme a filariforme que es la invasiva (1,17). En el caso de pacientes con diabetes mellitus se ha evidenciado que hay diversas alteraciones en la respuesta inmune como en la función de los neutrófilos en la migración, fagocitosis y quimiotaxis relacionadas por alteración de metabolismo por déficit en el control de la glucemia (20,21).
El médico clínico debe estar alerta y analizar la historia clínica de cada paciente en contexto con los antecedentes epidemiológicos, las parasitosis, las alteraciones del cuadro hemático como la eosinofilia, las infecciones primarias como la tuberculosis, entre otras, antes de formular fármacos inmunosupresores como los corticosteroides (17,19).
En los pacientes inmunosuprimidos el sistema inmune no es capaz de mantener bajo control el ciclo de autoinfección llevando a hiperinfección con diseminación de la larva a múltiples órganos con amenaza de la vida por neumonía, meningitis, septicemia y obstrucción intestinal. Además, puede aparecer sobreinfección bacteriana, el parásito se comporta como una infección oportunista que llega a ser fatal. Se ha encontrado bacteremia polimicrobiana o por Gram negativos asociada a la migración de la larva a través de la mucosa intestinal que puede causar el sepsis, por tanto está indicado el tratamiento antibiótico (11). Si no hay eosinofilia se asocia con peor pronóstico, además muchos reportes de caso sin diagnóstico y tratamiento oportuno han resultado ser fatales.
El tratamiento de elección es la ivermectina, 200 µg/Kg/día vía oral por dos días en infección intestinal, por su amplia distribución y acción tisular; demás la administración por vía oral, la absorción rápida, las concentraciones plasmáticas adecuadas a las cuatro horas de administración, la vida media de 16 horas y la eliminación casi en forma exclusiva por las heces (10,17). Como alternativa está el albendazol, 400 mg vía oral, dos veces/día por siete días.
En síndrome de hiperinfección, en paciente inmunocomprometido, la meta es eliminar el parásito con seguimiento parasitológico en materia fecal y esputo; por esto puede ser necesario el tratamiento prolongado (10,17,22,23). El tiabendazol fue la primera elección en la década de los sesenta pero presentaba efectos adversos importantes, además en el país sólo está disponible para uso veterinario (17) (tabla 2).
Conclusiones
Ante una eosinofilia marcada en países tropicales se debe hacer diagnóstico diferencial, descartando en primer lugar las parasitosis. Si además, la eosinofilia está asociada a tos, disnea y expectoración el médico debe pensar en Síndrome de Löeffler; por esto, debe solicitar radiografía del tórax, estudio del esputo y materia fecal.
Cuando se evidencie Strongyloides stercoralis en materia fecal en un paciente con sintoma tología respiratoria se debe estudiar el esputo, espontáneo o inducido, antes de solicitar la broncoscopia.
Ante un paciente que va a recibir terapia inmunosupresora en área tropical, debe buscarse la presencia de eosinofilia, descartarse en primer lugar parasitosis y proceder a tratarlas antes de iniciar la inmunosupresión; por ejemplo, si un paciente va a recibir corticoides debe recibir tratamiento antihelmíntico profiláctico si reside o ha viajado a áreas endémicas (5,6,16,17).
La estrongiloidiasis es una enfermedad curable cuando se hace le diagnóstico temprano y el tratamiento apropiado con reducción de la mortalidad (11). La ivermectina es el tratamiento de elección para estrongiloidiasis 200 µg/Kg/día en dosis única por 1-2 días; en caso de síndrome de hiperinfección o diseminación sistémica, se repite el ciclo de tratamiento con seguimiento clínico y parasitológico.
En la práctica clínica, el médico tratante debe tener en cuenta las diversas causas de inmunosupresión como VIH-SIDA, terapia asociada al trasplante de órganos, fármacos (por ejemplo, corticoides), alcoholismo, desnutrición, diabetes mellitus, entre otras porque en estas circunstancias se favorece la hiperinfección por Strongyloides stercoralis (13,17,19,24,25).
Referencias
1. Zaha O, Hirata T, Kinjo F, Saito A. Strongyloidiasis- progress in diagnosis and treatment. Internal Medicine. 2000; 39: 695-700. [ Links ]
2. Yori PP, Kosek M, Gilman RH, Cordova J, Bern C, Chavez CB et al. Seroepidemiology of strongyloidiasis in the peruvian amazon Am J Trop Med Hyg. 2006; 74: 97-102. [ Links ]
3. Kozubsky L, Archelli S. Consideraciones sobre la biología y el diagnóstico de Strongyloides stercoralis. Acta Bioquím Clín Latinoam 2004; 38: 333-8. Disponible en http://www.scielo.org.ar/pdf/abcl/v38n3/ v38n3a11.pdf . Consultado el 3 de marzo de 2011. [ Links ]
4. Mayayo E, Gómez-Aracil V, Azua-Blanco J, Azua- Romeo J, Capilla J, Mayayo R. Strongyloides stercoralis infection mimicking a malignant tumour in a non-immunocompromised patient. Diagnosis by bronchoalveolar cytology. J Clin Pathol. 2005; 58: 420-22. [ Links ]
5. Gill GV, Welch E, Bailey JW, Bell DR, Beeching NJ. Chronic Strongyloides stercoralis infection in former British Far East prisoners of war.Q J Med. 2004; 97: 789-95. [ Links ]
6. Botero D, Restrepo M. Parasitosis intestinales por nematodos. En: Botero D, Restrepo M, editores. Parasitosis Humanas. Corporación para Investigaciones Biológicas. Reimpresión cuarta edición. Medellín: Quebecor Word, Bogotá S. A. 2007: 93-141. [ Links ]
7. Olsen A, van Lieshout L, Marti H, Polderman T, Polman K, Steinmann P, et al. Strongyloidiasis - the most neglected of the neglected tropical diseases? Trans R Soc Trop Med Hyg. 2009; 103: 967-72. [ Links ]
8. Noemi I. Eosinofilia y parasitosis. Rev Chil Pediatr. 1999; 70: 435-440 Disponible en: http://www.scielo.cl/ scielo.php?pid=S0370-41061999000500013&script=sci_arttext&tlng=pt. Consultado el 3 de marzo de 2011. [ Links ]
9. Koh MS, Leng PH, Eng P, Hwang J. An unusual cause of pulmonary haemorrhage in a patiente with rheumatoid arthritis. Ann Acad Med Singapore. 2004; 33: 365-7. [ Links ]
10. Treatment Guidelines from The Medical Letter. On Drugs and Therapeutics. Published by The Medical Letter 2010; 8 (Suppl): e1-e20. Disponible en: http://www.medicalletter.org. [ Links ]
11. Lim S, Katz K, Krajden S, Fuksa M, Keystone JS, Kain KC. Complicated and fatal Strongyloides infection in Canadians: risk factors, diagnosis and management. CMAJ. 2004; 171: 479-84. [ Links ]
12. Francis J, Barrett S P, Chiodini P L. Best practice guidelines for the examination of specimens for the diagnosis of parasitic infections in routine diagnostic laboratorios. J Clin Pathol 2003; 56: 888 - 91. Disponible en: http://jcp.bmj.com/cgi/reprint/56/12/888. Consultado 1 de mayo de 2008. [ Links ]
13. Arbeláez V, Angarita O, Gómez M, Sprockel J, Mejía M. Presentación de caso clínico interinstitucional: Gastroduodenitis severa secundaria a hiperinfección por Strongyloides stercoralis en un hombre joven Rev Col Gastroenterol. 2007; 22:118-25. [ Links ]
14. Rodríguez RM, de Oliveira MC, Sopelete MC, Silva DA, Campos DM, Taketomi EA, Costa-Cruz JM. IgG1, IgG4, and IgE antibody responses in human strongyloidiasis by ELISA using Strongyloides ratti saline extract as heterologous antigen. Parasitol Res. 2007; 101:1209-14. [ Links ]
15. Pinilla AE, López MC. Parasitosis intestinal. En: Prada GD, Pacheco C, Buitrago JC, Espinosa F, Pinzón A, Casasbuenas MP, Vizcaino E, Pinilla AE et ál. Medicina Interna en el consultorio. Primera edición. Bogotá, editorial Médica Celsus. 2009: 738-46. [ Links ]
16. Román-Sánchez P, Pastor-Guzmán A, Moreno- Guillen S, Igual-Adell R, Suñer-Generoso S, Tornero- Estebanez C. High prevalence of strongyloides stercoralis among faro workers on the mediterranean coast of spain: analysis of the predictive factors of infection in developed countries. Am J. Trop Med Hyg. 2003; 69: 336-40. [ Links ]
17. Keiser PB, Nutman TB. Strongyloides stercoralis in the Immunocompromised Population. Clin Microbiol Rev. 2004; 17: 208-17. [ Links ]
18. Schaeffer MW, Buell JF, Gupta M, Conway GD, Akhter DA, Wagoner LE. Strongyloides hyperinfection syndrome after heart transplantation: case report and review of the literature. The Journal of Heart and Lung Transplantation. 2003; 23: 905-11. [ Links ]
19. Rada R, Yama E. Strongiloidiasis pulmonar en inmunosupresión por esteroides sistémicos. Presentación de un caso. Revista Colombiana de Neumología 2006; 18:34-8. Disponible en http://www.asoneumocito.org/upload/ Vol-18-1-4_g.pdf Consultado el 5 de marzo de 2011. [ Links ]
20. Lipsky BA. Infections problems of the foot in diabetic patients. In Bowker JH & Pfeifer MA editors. Levin and O´Neal´s The Diabetic Foot. Seventh Edition. Philadelphia: Elsevier. 2008: p. 305-18. [ Links ]
21. Azira NM, Zeehaida M. Strongyloides stercoralis hyperinfection in a diabetic patient: Case report. Tropical Biomedicine. 2010; 27: 115-19. [ Links ]
22. Moncayo AL, Vaca M, Amorim L, Rodriguez A, Erazo S, Oviedo G. Term Treatment with Ivermectin on the Prevalence and Intensity of Soil-Transmitted Helminth Infections. PLoS Negl Trop Dis. 2008; 2:e293. Disponible En: http://www.ncbi.nlm.nih.gov/pmc/articles/ PMC2553482/ Consultado el 4 de marzo de 2011. [ Links ]
23. Altintop L, Cakar B, Hokelek M, Bektas A, Yildiz L, Karaoglanoglu M. Strongyloides stercoralis hyperinfection in a patient with rheumatoid arthritis and bronchial asthma: a case report. Ann Clin Microbiol Antimicrob. 2010; 9: 1-4. [ Links ]
24. Rivero Z, Salazar S, Villalobos R, Bracho A. Infestación por Strongyloides stercoralis en una paciente inmunosuprimida, hallazgo de hembra adulta en heces. Academia Biomédica Digital. 2007; 33: 1-7. [ Links ]
25. Díaz L, Solana C, Rodríguez A. Strongiloidiasis diseminada posterior a tratamiento de meningitis bacteriana. Universitas Médica. 2004; 45: 32-36. [ Links ]












