Introducción
La cisticercosis es una zoonosis parasitaria desatendida por la salud pública, la cual es endémica en algunas regiones de Perú, con una prevalencia estimada de 10-20% en algunas regiones del país 1. Dicha patología se manifiesta de varias formas, dependiendo de la localización del cisticerco. El espectro clínico de esta parasitosis abarca la invasión del sistema nervioso central (SNC), el sistema musculoesquelético, el sistema musculocardiaco, el globo ocular y, en pocas ocasiones, el tejido celular subcutáneo.
La cisticercosis y la teniasis son problemas de salud pública que aún prevalecen en Perú, en zonas tanto urbanas como rurales; esto debido, por lo general, a las malas condiciones higiénicas, sanitarias y de pobreza de la población 2,3. En este país, las regiones más afectadas son la sierra, la costa norte y la selva alta 1,4.
El hombre es el único hospedero definitivo de este parásito, mientras que el hospedador intermediario es el cerdo 5. Muchas veces durante su período larvario se puede alojar en perros, gatos, ovejas, conejos, liebres, zorros, ratas, monos, ciervos y camellos 6, sin ser estos hospedadores intermediarios dentro de su ciclo biológico 7.
Aunque las cifras son poco confiables, la Organización Mundial de la Salud (OMS) estima que en el mundo hay cerca de 50 millones de personas infectadas con Taenia solium y que cerca de 50 000 mueren cada año por cisticercosis; asimismo, considera que alrededor de 20 millones de estas están infectadas con cisticercos 8,9.
La cisticercosis es una zoonosis causada por la forma larvaria de T. solium; el parásito adulto solo vive en el intestino delgado humano y excreta sus huevos con las deposiciones del individuo infectado, libres o dentro de segmentos del gusano (proglótidos) 10,11. La teniasis intestinal o infección por el gusano adulto cursa de forma asintomática en muchos casos 12; sin embargo, puede producir síntomas digestivos leves y en algunos casos inespecíficos 13,14. En la afectación musculocutánea, la cisticercosis no suele producir limitaciones funcionales ni molestias; pero si estas se presentan permiten detectar nódulos subcutáneos en el examen físico y confirmar el diagnóstico mediante una biopsia o exéresis quirúrgica 10,15.
La cisticercosis se adquiere, en la mayoría de los casos, por consumo de alimentos contaminados con huevos de T. solium; luego de ser adquirida puede tener varias localizaciones, la más peligrosa es en el SNC, ubicada en posición subaracnoidea (forma meníngea o de quiste racimoso), en los ventrículos cerebrales (forma ventricular) y en la parénquima del encéfalo y la médula espinal (forma parenquimatosa o quiste celuloso). Dicha afección en el SNC es la causa más frecuente de epilepsia y otras dolencias neurológicas en los adultos.
Descripción del caso
Paciente femenina de 57 años de edad que acude a consulta en el Hospital II Lima Norte-Callao Luis Negreiros Vega de EsSalud por presentar tumoración en el muslo derecho, el cual posee una cara anterolateral externa de cerca de 3x2cm. Al palpar la superficie de la tumoración, la paciente experimenta un dolor que irradia a la pierna y dificulta la marcha; además no presenta antecedentes de traumatismo y manifiesta tener un tiempo aproximado de 1 semana con la enfermedad.
Los exámenes de laboratorio reportaron: hemoglobina 13.2 g/dl, hematocrito 39.0%, volumen corpuscular medio (VCM) 94.2um3, hemoglobina corpuscular media (HCM) 31.9pg, concentración corpuscular media de globina (CCMH) 33.8 g/L, plaquetas 285000 mil/mm3, segmentados 57%, eosinófilos 05%, linfocitos 29%, monocitos 09%.
La paciente tiene antecedentes de colecistectomía y cesárea en tres oportunidades. Se solicita ecografía de abdomen completo en donde se aprecian hígado, riñones, páncreas y bazo con morfología habitual, sin hallazgos significativos; ausencia de vesícula biliar por antecedente quirúrgico; vejiga urinaria con escaso contenido de líquido, y no se evidencian masas ni líquido libre en cavidad abdominopélvica. Se procedió a realizar tomografía axial computarizada (TAC) de abdomen y extremidades inferiores con contraste.
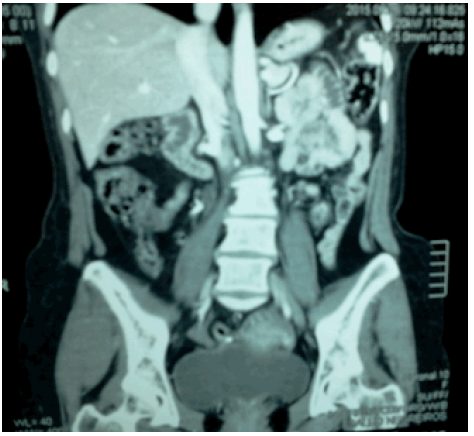
La Figura 1 corresponde a una TAC de abdomen con contraste, vesícula biliar no visible e hígado morfológicamente conservado, con presencia de imágenes de aspecto quístico subcentimétrico dispersos en el parénquima hepático, no se observan adenopatías retroperitoneales.

Fuente: Documento obtenido durante la realización del estudio.
Figura 1 Tomografia axial computarizada de abdomen con contraste.
La Figura 2 corresponde a una TAC de muslo derecho con contraste en la que se evidencia presencia de nódulo sólido de bordes definidos de 17x16mm localizado en el espesor de tejido celular subcutáneo de la cara anterolateral del muslo proximal. El nódulo no infiltra los planos musculares superficiales ni profundos

Fuente: Documento obtenido durante la realización del estudio.
Figura 2 Tomografía axial computarizada de muslo derecho con contraste.
Tras la administración de contraste, se evidencia refuerzo heterogéneo. La Figura 3 corresponde a una TAC en la que no se evidencia adenopatías perirregionales y el muslo izquierdo se encuentra sin alteraciones

Fuente: Documento obtenido durante la realización del estudio.
Figura 3 Tomografía axial computarizada de muslo izquierdo con contraste.
La paciente fue sometida a una intervención quirúrgica para exéresis del nódulo sin etiología clara; al realizar resección radical de dicho nódulo con anestesia regional, se obtuvo una pieza quirúrgica de 5x4x11 cm, con losange de piel de 4x1.5cm (Figuras 4 y 5).

Fuente: Documento obtenido durante la realización del estudio.
Figura 5 Tinción hematoxilina-eosina.
En la Figura 4 se evidencia fragmento de tejido de 5x4x11cm con losange de piel de 4x1.5cm y superficie irregular compuesta por tejido adiposo; al corte a 0.8cm la piel presenta formación nodular de color pardo amarillento de 1.5x1.8cm con formación quística de 0.6cm de diámetro bien delimitado por tejido fibroso. También se evidencian tres formaciones quísticas de 0.3-0.8cm a 4 y 8cm debajo de la piel y paredes de 0.1cm de espesor con contenido seroso; se incluyen seis cortes.
La Figura 5 corresponde a una paniculitis mixta sin vasculitis con reacción granulomatosa focal y fibrosis reactiva circundante; formaciones quísticas en tejido celular subcutáneo de paredes fibrosas, recubiertas en su cara interna por macrófagos y células epitelioides a cuerpo extraño. Estos hallazgos son compatible con cisticercosis subcutánea.
La paciente presentó una evolución clínica favorable, por lo que fue dada de alta 2 días después sin presentar complicaciones; se le indicó tratamiento farmacológico ambulatorio de albendazol 400mg (15 mg/Kg/d) una toma diaria durante tres días, debido a la presencia de quistes en parénquima hepática. 3 meses después fue valorada por consulta externa y se le encontró asintomática, en buenas condiciones generales y sin hallazgos patológicos en el examen físico.
Discusión
La primera descripción de un caso de cisticercosis en Perú fue hecha por Hercelles & Voto-Bernales 16 en 1913, quienes describieron los parásitos en el miocardio de un paciente en una necropsia al confundirlos con una verruga peruana. Los mismos autores trataron ese año un nuevo caso de presentación cerebral en otro paciente y dos años más tarde reportaron, el primer caso de cisticercosis mediante biopsia subcutánea.
Las localizaciones en el músculo y en el tejido celular subcutáneo en general no se manifiestan en forma clínica, cuando esto ocurre, se presenta dolor muscular, calambres y cansancio. Durante su involución, los quistes experimentan cambios granulomatosos y exhiben calcificación, además las lesiones subcutáneas que causan son en general asintomáticas 17.
La confirmación diagnóstica surge cuando se detecta un criterio absoluto como el hallazgo del parásito en una pieza histopatológica o autopsia, el escólex en el estudio de neuroimágenes en caso de neurocisticercosis (NCC) o cuando se observan las vesículas en el examen ocular. El diagnóstico también se confirma cuando se reúnen dos criterios mayores, además de uno menor y otro epidemiológico 18,19. Asimismo, se recomienda la realización de TAC cerebral en pacientes con diagnóstico serológico positivo para descartar NCC.
En el caso que se reporta, el diagnóstico se confirmó por criterios histopatológicos de paniculitis, presencia de cavidades quísticas, reacción granulomatosa y fibrosis circundante; no se registró presencia del parásito, pero hubo compatibilidad con los grados de certeza para el diagnóstico histológico de cisticercosis, por lo que se realizaron pruebas serológicas de western-blot que confirmaron la enfermedad.
La cisticercosis en músculo esquelético puede ocasionar un proceso de miositis aguda, acompañada de leucocitosis y eosinofilia en la sangre periférica. Para diagnosticar dicha afección, se pueden tomar radiografías simples de partes blandas, las cuales muestran, en su mayoría, calcificaciones múltiples correspondientes a quistes degenerados, que adoptan con frecuencia un aspecto fusiforme o de granos de arroz 20.
Se sabe que el cisticerco vivo produce sustancias que inhiben la activación del complemento por ambas vías, la teniaestatina y la paramiosina, las cuales activan el complemento de polisacáridos sulfatados lejos del parásito y pueden inhibir la proliferación de linfocitos y macrófagos 21. De igual forma, los cisticercos poseen mecanismos de huida del sistema inmunitario, lo que produce su mimetismo molecular, así como la depresión de la respuesta Th1 y su paso a través de la barrera hematoencefálica, en el caso de la NCC 22.
El diagnóstico de cisticercosis humana se apoya en pruebas serológicas específicas de ensayo por inmunoabsorción ligado a enzimas (ELISA por su sigla en inglés) y western-blot. Del mismo modo, se pude brindar un diagnóstico de dicha dolencia a partir de imágenes de TAC y resonancia magnética nuclear (RMN).
En Perú, los estudios basados en hospitales indican que cerca del 50% de cuadros convulsivos son causados por NCC, siendo este parásito la principal causa de intervenciones neuroquirúrgicas 23.
Maquera-Afaray et al.24 reportaron un caso de cisticercosis diseminada con extenso compromiso cerebral, ocular, cardíaco, pulmonar, hepático, pancreático, muscular y subcutáneo en un adulto mayor proveniente de un área endémica de Perú, siendo una presentación rara, ya que se han documentado pocos casos como este en India, Asia, África y Latinoamérica.














