Services on Demand
Journal
Article
Indicators
-
Cited by SciELO -
Access statistics
Related links
-
Cited by Google -
Similars in
SciELO -
Similars in Google
Share
Acta Medica Colombiana
Print version ISSN 0120-2448
Acta Med Colomb vol.32 no.2 Bogotá Apr./June 2007
A propósito de cinco casos en Colombia
On purpose of five cases in Colombia
Dr. Jorge de Jesús Cantillo Turbay: Coordinador Médico, Servicio de Nefrología y Diálisis, Hospital El Tunal ESE. Nefrólogo, Servicio de Terapia Renal, Hospital Universitario Clínica San Rafael; Dr. Rafael Enrique Andrade Pérez: Jefe Departamento de Patología y Laboratorios, Hospital Universitario Fundación Santa Fe de Bogotá. Docente Facultades de Medicina, Universidad Nacional de Colombia y Universidad de los Andes; Dra. Rocío del Pilar López Panqueva: Patóloga, Departamento de Patología y Laboratorios, Hospital Universitario Fundación Santa Fe de Bogotá; Dr. Jorge Ernesto Andrés Díaz Ruíz: Coordinador Médico, Servicio de Terapia Renal, Hospital Universitario Clínica San Rafael. Bogotá, D.C. (Colombia).
Correspondencia: Jorge de Jesús Cantillo Turbay, M.D. Calle 114 A N° 56-34 Apto. 601, Telefax: (571) 2535019, Bogotá D.C., Colombia. E-mail: md_cantillo@yahoo.com - md_cantillo@hotmail.com
Recibido: 18/I/07 Aceptado: 11/IV/07
Resumen
La púrpura de Henoch-Schönlein (PHS) define una vasculitis sistémica primaria de pequeños vasos caracterizada por el depósito de complejos inmunes con el predominio de la IgA en las paredes de los capilares, vénulas o arteriolas. Típicamente compromete piel, intestino, glomérulos y está asociada con artralgias o artritis. La PHS primariamente afecta a niños, y es menos común en adultos. Aunque la PHS ha sido extensamente estudiada en niños, es mucho menos conocida su historia natural en adultos. En adultos, sin embargo, la incidencia de PHS y la severidad de sus manifestaciones clínicas parecen no ser las mismas que en los niños. Informamos cinco casos de PHS en pacientes adultos.
Palabras clave: vasculitis, púrpura de Henoch-Schönlein, glomerulonefritis.
Abstract
Henoch-Schonlein purpura (HSP) is defined as a primary systemic vasculitis of small vessels characterized by predominantly IgA immune deposits on the walls of the capillaries, venulas, and arterioles. It typically involves skin, intestines, and glomeruli and is associated with arthritis and arthargia. HSP primarily affects children, and is less common among adults. It is has been studied extensively in children, but much less is known about it’s development in adults. Moreover the incidence, severity and clinical manifestations of HSP in adults differ from those of HSP in children. We report on five adult cases of HSP.
Key words: vasculitis, Henoch-Schönlein purpura, glomerulonephritis.
Introducción
La PHS es una vasculitis leucocitoclástica que compromete pequeños vasos con el depósito de complejos inmunes con contenido de IgA. Es caracterizada por la asociación de manifestaciones dérmicas, articulares y gastrointestinales que pueden ocurrir en episodios sucesivos. Además de estas manifestaciones, el compromiso renal es común y el pronóstico depende de su severidad (1).
La PHS primariamente afecta a niños, y su incidencia es aproximadamente de 15 casos/100000 niños por año; es menos común en adultos. Aunque la PHS ha sido extensamente estudiada en niños, es mucho menos conocida su historia natural en adultos. Aparte de un reciente estudio multicéntrico italiano (2, 3), datos sobre esta enfermedad están confinados a series pequeñas con relativamente corto seguimiento. En adultos, sin embargo, la incidencia de PHS y la severidad de sus manifestaciones clínicas parecen no ser las mismas que en los niños (4).
La incidencia del compromiso renal en adultos varía de 45 a 85%, dependiendo de los datos de pacientes y de la definición del compromiso renal. Entre casos de glomerulonefritis, la PHS es sólo responsable de 0.6% a 2% de las nefropatías de adultos. El riesgo de progresión a insuficiencia renal, el cual varía de 5% a 15% en niños, parece ser más alta en adultos, aproximadamente 30% (0 a 50%). Estas diferencias son probablemente debidas al tamaño pequeño de las series, la presencia o ausencia de compromiso renal y las diferencias en la duración del seguimiento. Ningún estudio ha sido capaz de demostrar la capacidad de algún tratamiento en prevenir la progresión a falla renal en niños o adultos (4).
La nefritis de la PHS y la nefropatía por IgA, actualmente son consideradas enfermedades relacionadas desde que ambas pueden ser encontradas en el mismo paciente, han sido descritas en gemelos idénticos, y mostrar anormalidades biológicas y patológicas idénticas (5).
Caso 1
Paciente de sexo femenino de 31 años de edad sin antecedentes de importancia, quien seis semanas antes del ingreso presenta astenia, adinamia, odinofagia, y episodios repetitivos de epistaxis. Cuatro días antes de la admisión, aparición de lesiones maculopapulares purpúricas no pruriginosas en miembros inferiores, fiebre no cuantificada, escalofríos, cefalea de predominio frontal, rinorrea mucosanguinolenta, congestión nasal, dolor facial y poliartralgias. A la revisión por sistemas refirió polifagia y alopecia de larga duración. Al examen físico paciente en regulares condiciones generales, hidratada, afebril, sin signos de dificultad respiratoria. Temperatura de 37°C, presión arterial 100/65 mmHg, frecuencia respiratoria de 20 x min, frecuencia cardíaca 88 x min. Como hallazgos positivos dolor leve en articulación de cuello de pie a la dorsiflexión y presencia de lesiones maculopapulares purpúricas que no desaparecen a la digitopresión en miembros inferiores, abdomen y alrededor de codos. Los estudios paraclínicos se recopilan en la Tabla 1. En los estudios de imagen se reportó ecografía renal normal, TAC de senos paranasales con proceso crónico inflamatorio en senos frontal y etmoidal (signos sugestivos de sinusitis crónica). El informe del estudio anatomopatológico del espécimen renal evidenció a la microscopía de luz (ML) proliferación celular endocapilar/mesangial +; ensanchamiento mesangial +; proliferación extracapilar:+ (1 glomérulo); nefritis intersticial + mononuclear, presencia de cilindros hemáticos; arterias con esclerosis. A la microscopía de inmunofluorescencia (IF) IgG ++ membrana basal capilar (MBC) granular; IgA +++ mesangial, MBC; IgM + mesangial; C3 ++ mesangial, MBC, cápsula de Bowman; C1q trazas, MBC; fibrinógeno +++ MBC; cadenas ligeras kappa ++ mesangial, MBC; cadenas ligeras lambda ++ mesangial, MBC. La microscopía electrónica (ME) demostró en la MBC fusión de podocitos +, depósitos de complejos inmunes de localización mesangial +++ (Figuras 1 y 2). Biopsia de piel ligera hiperqueratosis ortoqueratósica. En dermis superficial hay infiltrado linfocitario perivascular acompañado de edema endotelial y marcada extravasación de eritrocitos. Ausencia de necrosis fibrinoide o hemosiderina.



Se consideró mujer de 31 años que consultó por púrpura palpable, compromiso renal (glomerulonefritis), síntomas constitucionales y artralgias. La biopsia renal demostró predominio en el depósito de IgA. Se concluye que el diagnóstico es una nefritis por PHS. Se inició tratamiento antiinflamatorio con prednisona oral a dosis de 0,5 mg/kg/día por ocho semanas, carbonato de calcio a 1.8 g/día VO, calcitriol 0,25 mcg/día VO, gastroprotección, analgésicos-antipiréticos y antihistamínicos. Entró en remisión clínica a los dos meses de iniciado tratamiento. Se inició reducción progresiva de glucocorticoides, pero los suspendió voluntariamente al tercer mes. Presentó recaída clínica, por lo que se aumentó prednisona a 35 mg/día. Actualmente se encuentra en remisión y con reducción progresiva de glucocorticoides.
Caso 2
Paciente de sexo femenino de 21 años de edad quien año y medio antes notó la aparición de máculas rojo vivo en extremidades con posterior diseminación corporal, acude a hospital general donde le prescriben prednisona 60 mg/día. Un mes después presenta episodio de hematuria macroscópica asociado a proteinuria. Se le practicó biopsia renal con resultado de nefropatía por IgA. Desde entonces ha presentado dos episodios de recaídas caracterizados por reaparición de máculas hiperpigmentadas. Refiere persistencia de hematuria macroscópica de manera intermitente, caída fácil del cabello, astenia, adinamia, hiporexia y náuseas. A la revisión por sistemas refiere diaforesis, orina espumosa ocasional y poliartralgias. Al examen físico paciente en regulares condiciones generales, hidratada, afebril, sin signos de dificultad respiratoria. Temperatura de 36,5°C, presión arterial 130/70 mmHg, frecuencia respiratoria de 17 x min, frecuencia cardíaca 78 x min con examen físico normal.
Análisis. Mujer de 21 años con antecedente de nefritis por PHS quien inicialmente recibió glucocorticoides. Consulta nuevamente por hematuria macroscópica persistente y poliartralgias. Con impresión diagnóstica de recaída clínica de la enfermedad de base, se decide revisar resultado del estudio anatomopatológico y practicar reevaluación paraclínica. Estudios paraclínicos se nombran en la Tabla 1.
Reporte anatomopatológico. Evidencia de tres glomérulos valorables en la ML y apreciándose en todos ellos un ensanchamiento global y difuso de la matriz mesangial acompañada por un muy discreto incremento en la celularidad. Uno de los tres glomérulos muestra semiluna fibrocelular (proliferación extracelular). A nivel tubulointersticial se reconocen escasos focos de infiltrado linfocitario con ligera fibrosis. No existen otras alteraciones. La IF muestra una marcada positividad mesangial para IgA (+++) y C3 (+++). Trazas de IgM en mesangio. El resto es negativo. Biopsia de piel los cortes muestran piel con epidermis y dermis con mínima espongiosis, extravasación de eritrocitos, necrosis de la pared vascular, con un polvillo y abundantes polimorfonucleares (Figuras 3 y 4) IF IgG (-); fibrinógeno, puntiforme basal +; C1q puntiforme basal segmentaria +; C3 (-); IgA (-); IgM puntiforme basal +.


En conclusión, mujer de 21 años con antecedente de PHS, con reaparición de síntomas constitucionales, poliartralgias y hematuria macroscópica persistente. Paraclínicamente con proteinuria nefrótica y depuración de creatinina de 77 mL/min. Se considera recaída de la enfermedad y se prescribe ciclofosfamida a 2 mg/kg/día VO y prednisona a 0,5 mg/kg/día.
Evolución. Un mes después mejoría clínica importante con reducción de los episodios de macrohematuria y disminución de síntomas constitucionales. Reducción de la proteinuria a 0,48 g/24 horas, hematuria microscópica y elevación de depuración de creatinina a 98 mL/min. Al cuarto mes de tratamiento desaparición de episodios de macrohematuria, cuadro hemático normal y leve microhematuria. Se suspendió ciclofosfamida, se inició azatioprina y se comenzó reducción progresiva de glucocorticoides.
Caso 3
Mujer de 19 años de edad quien refiere de 36 horas de evolución aparición súbita de dolor abdominal localizado en el cuadrante inferior derecho, de leve a moderada intensidad, constante, tipo cólico, no irradiado y asociado a varios episodios de emesis. Orinas colúricas desde 24 h antes de la admisión. A la revisión por sistemas refirió pérdida de peso (7 kg) en los últimos ocho meses y orinas espumosas. Antecedentes positivos. Refiere que hacía seis meses había presentado episodio de lesiones purpúricas en miembros inferiores, en el posparto previo presentó hematuria, proteinuria y lesiones en piel; infecciones del tracto urinario a repetición y condilomatosis. Examen físico en buenas condiciones generales, alerta, hidratada, afebril, sin signos de dificultad respiratoria, leve palidez cutánea. T°C 36,4°C, FC 72 x min, FR 20 x min, TA 113/56 mmHg. Dolor a la palpación profunda en fosa ilíaca derecha sin signos de irritación peritoneal. Resto normal. Estudios paraclínicos en Tabla 1. Radiografía de tórax normal. Ecografía renal con aumento difuso de la ecogenicidad de ambos parénquimas renales. El informe del estudio anatomopatológico del espécimen renal evidenció a la ML 8 glomérulos con esclerosis global 1; esclerosis segmentaria 1. Proliferación celular endocapilar/mesangial ++; ensanchamiento mesangial ++. Túbulo-intersticio con fibrosis de 15%; nefritis intersticial + mononuclear; atrofia tubular +; presencia de cilindros hemáticos. A la IF con IgA +++ mesangial; IgM +; C3 + mesangial. La ME demostró proliferación celular ++ mesangial; depósitos de complejos inmunes de localización mesangial y paramesangial +++; matriz mesangial ++ expandida. (Figuras 5 y 6).


Análisis. Mujer de 19 años que consultó por dolor abdominal, compromiso renal (glomerulonefritis), pérdida de peso, episodios recurrentes de hematuria y antecedente reciente de lesiones purpúricas en las extremidades inferiores. La biopsia renal demostró predominio en el depósito de IgA. Se concluye que el diagnóstico corresponde a nefritis por PHS. Intrahospitalariamente se inició hidratación, antieméticos, gastroprotectores y profilaxis tromboembólica. Ambulatoriamente se formuló inhibidores de la enzima convertidora de angiotensina (IECA).
Caso 4
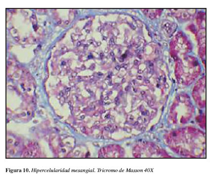
Mujer de 16 años de edad quien refiere 48 horas de aparición de fiebre intermitente no cuantificada y escalofríos, y 24 horas previas a su admisión varios episodios de orinas colúricas y dolor lumbar derecho. Antecedentes positivos. Farmacológicos: eritromicina, acetaminofén y cloroquina. Dos meses antes de la admisión diagnóstico de vasculitis leucocitoclástica. Episodio de amigdalitis en el momento del ingreso. Al examen físico febril al tacto, anictérica, alerta, conjuntivas rosadas, lengua saburral. T°C 38,5°C, FC 131 x min, FR 20 x min, TA 100/61 mmHg. Abdomen con dolor leve a la palpación profunda en flanco izquierdo sin irritación peritoneal. Extremidades con lesión violácea redondeada, simétrica y no dolorosa en miembro inferior izquierdo. Resto normal. Estudios paraclínicos resumidos en la Tabla 1. Ecografía renal con ligero aumento difuso en la ecogenicidad de ambos parénquimas renales. Biopsia de piel con infiltrado predominantemente constituido por leucocitos polimorfonucleares a nivel perivascular con presencia de carorrexis (Figuras 7 y 8). El informe del estudio anatomopatológico del espécimen renal evidenció a la ML proliferación celular endocapilar/mesangial +; ensanchamiento mesangial +; proliferación extracapilar 3 semilunas fibrosas; túbulo-intersticio con nefritis intersticial + mononuclear (5%); cilindros + hialinos y hemáticos; arterias con esclerosis + (subintimal +). Microscopía de IF para IgA +++ mesangial; IgM ++ mesangial; C3 + mesangial, cápsula de Bowman y pared de vasos. Microscopía electrónica con depósitos de complejos inmunes de localización mesangial (+++) y subendotelial (+). Matriz mesangial expandida (+). (Figuras 9 y 10).




Análisis. Mujer de 16 años con antecedente de diagnóstico reciente de vasculitis leucitoclástica, para lo cual recibió cloroquina. Consultó por fiebre y hematuria macroscópica. Al examen físico se documentó dolor abdominal a la palpación profunda. El uroanálisis evidenció signos de enfermedad glomerular dados por proteinuria y hematuria. La biopsia renal demostró predominio en el depósito mesangial de IgA y tres semilunas en fase fibrosa (proliferación extracapilar). Se concluye que el diagnóstico corresponde a una nefritis por PHS. Intrahospitalariamente se inició manejo con IECA, antipiréticos y lovastatina.
Caso 5
Mujer de 17 años de edad quien refiere de seis días de evolución odinofagia, osteoartralgias generalizadas y posteriormente fiebre y coluria. Desde 24 horas antes del ingreso, reaparición de lesiones purpúricas en extremidades inferiores. A la revisión por sistemas cefalea generalizada, dolor lumbar, náuseas y sensación de “mareo”. Antecedentes positivos. Lesiones purpúricas en miembros inferiores desde hace dos años caracterizadas por exacerbaciones y remisiones espontáneas. Enfermedad acidopéptica. Examen físico. Alerta, hidratada, afebril, sin signos de dificultad respiratoria. T°C 36,7°C, FC 113 x min, FR 16 x min, TA 113/60 mmHg. Presencia de lesiones eritematopurpúricas que no desaparecen a la digitopresión con predominio en extremidades inferiores. Estudios paraclínicos resumidos en la Tabla 1. Ecografía renal normal. Biopsia de piel con infiltrado predominantemente constituido por leucocitos polimorfonucleares a nivel perivascular con presencia de cariorrexis (Figuras 11 y 12). El informe del estudio anatomopatológico del espécimen renal evidenció a la ML esclerosis segmentaria en un glomérulo de 68; proliferación celular endocapilar/mesangial ++; ensanchamiento mesangial +; proliferación extracapilar + en 6 glomérulos; túbulointersticio con fibrosis intersticial + (5%); cilindros hemáticos +; microscopía de IF con IgA ++++ mesangial; IgM trazas; C3 + mesangial. Microscopía electrónica con proliferación celular ++ mesangial; depósitos de complejos inmunes de localización mesangial y paramesangial (+++); matriz mesangial ++ expandida. (Figuras 13 y 14).




Análisis. Mujer de 17 años que consultó por artralgias generalizadas, fiebre, hematuria macroscópica, lesiones purpúricas predominantemente en extremidades inferiores y signos de afectación glomerular (proteinuria y hematuria) en el uroanálisis. La biopsia de piel evidenció vasculitis leucocitoclástica y el estudio patológico renal demostró predominio en el depósito mesangial de IgA y presencia de proliferación extracapilar. Se concluye que el diagnóstico corresponde a nefritis por PHS. Intrahospitalariamente se inició manejo con IECA, lovastatina y gastroprotección.
Discusión
En 1994 en la reunión de consenso de Chapel Hill, Jennette JC, Falk RJ y Andrassy K et al establecieron la nomenclatura de las vasculitis sistémicas. En ella, la púrpura de Henoch-Schönlein (PHS) define una vasculitis caracterizada por el depósito de complejos inmunes con el dominio de la IgA en las paredes de los capilares, vénulas o arteriolas. Típicamente compromete piel, intestino, glomérulos y está asociada con artralgias o artritis (6).
La PHS es la vasculitis sistémica más común en los niños; sin embargo, se puede presentar en adultos jóvenes y en la tercera edad tanto en hombres como en mujeres. Predominantemente afecta niños de más de 10 años, y tiene una preponderancia de 2:1(hombres: mujeres). Hay severidad relacionada a la edad con una prevalencia de compromiso de piel en niños y riñones en adultos (7).
Aunque cualquiera de los cuatro componentes principales del síndrome (rash, dolor articular, síntomas abdominales y enfermedad renal) puede estar presente antes del otro, es raro que para la enfermedad renal sea así (5). El compromiso renal es una manifestación común pero inconstante de la PHS y su incidencia varía con la población estudiada. En una serie, la PHS fue la causa más común de glomerulonefritis crescéntica en niños (8). Una manifestación característica es la hematuria que más a menudo es macroscópica pero puede ser microscópica transitoria, persistente o recurrente. La hematuria puede acompañarse de recaídas de la púrpura o recurrir después de que las manifestaciones extrarrenales se han resuelto, a menudo en asociación con infecciones respiratorias superiores. Usualmente se asocia con proteinuria de intensidad variable, y la frecuencia del síndrome nefrótico es también extremadamente variable. Puede presentarse deterioro de la tasa de filtración glomerular, azoemia o enfermedad renal terminal. Hay controversia sobre si hay correlación entre la intensidad de las manifestaciones extrarrenales y la severidad de la nefropatía (7).
No hay una prueba serológica específica para el diagnóstico de PHS. Niveles elevados de IgA, factor reumatoideo asociado a IgA y complejos inmunes conteniendo IgA han sido detectados en pacientes con PHS, y aunque ha sido sugerida una correlación entre niveles séricos de IgA y manifestaciones clínicas, esto no ha sido demostrado consistentemente. El diagnóstico es hecho sobre la base de sospecha clínica, y las pruebas de laboratorios están dirigidas principalmente para excluir otras posibilidades diagnósticas y evaluar la extensión del compromiso renal. La biopsia renal es especialmente útil para diferenciar PHS de otros desórdenes y, para pacientes con enfermedad renal, evaluar pronóstico e indicar la necesidad de tratamiento (7).
La patogénesis de la PHS permanece desconocida; sin embargo, se considera como una enfermedad mediada por complejos inmunes caracterizada por la presencia de IgA1 (pIgA1) polimérica predominantemente en capilares dérmicos, gastrointestinales y glomerulares. Los patognomónicos depósitos granulares de IgA y C3 en el mesangio son indistinguibles de los vistos en la nefropatía por IgA. Similares hallazgos inmunohistológicos también han sido observados en los riñones de pacientes con cirrosis hepática, dermatitis herpetiforme, enfermedad celíaca y en enfermedad crónica inflamatoria del pulmón (7). La relación entre nefropatía por IgA y PHS permanece oscura, la patogénesis de ambas es todavía enigmática a pesar de la considerable información presentada. Sin embargo, una buena porción de evidencia sugiere que los dos desórdenes están patogénicamente ligados. Muchos (pero no todos) pacientes con ambos desórdenes tienen incrementados niveles séricos de IgA y complejos inmunes circulantes conteniendo IgA. Otras observaciones a favor de esta hipótesis incluye la naturaleza indistinguible de la lesión histopatológica renal, la presencia de depósitos de IgA detectables histológicamente pero clínicamente silentes en tejido dérmico y gastrointestinal en pacientes con enfermedad de Berger, y el reporte ocasional de PHS ocurriendo en pacientes previa nefropatía por IgA (7).
La patología de la PHS es inconstante, con proliferación glomerular variable e infiltrados celulares entre pacientes y durante el curso de la enfermedad en un mismo paciente. Hay dos principales esquemas de clasificación para cambios patológicos renales en la nefritis por PHS, con otros sistemas y modificaciones menos documentados. El primero describió inicialmente el grado de hipercelularidad mesangial y una segunda clasificación histológica por el International Study Group of Kidney Disease in Childhood, usa semilunas como un factor crítico. Las semilunas fueron consideradas en este esquema ya que afectan significativamente la sintomatología y el pronóstico. El grado de lesión tubulointersticial se correlaciona con la patología glomerular. La morfología renal en la PHS definitivamente no puede ser distinguida de la nefropatía por IgA, las lesiones glomerulares son similares y la vasculitis no se observa en el riñón. El hallazgo diagnóstico y característico es la IgA mesangial glomerular, la cual está a menudo acompañada por C3, fibrinógeno y cadenas livianas, y menos frecuentemente IgG y/o IgM. En lesiones más proliferativas la tinción puede ser más intensa, a menudo con IgA segmentaria en las paredes capilares. El fibrinógeno está en el espacio urinario cuando las semilunas están presentes (7).
En cuanto a curso y pronóstico, la duración promedio de la enfermedad es de un mes, aunque puede transcurrir un curso prolongado de varios años y hay tendencia a recurrencias. Episodios sucesivos de púrpura son comunes durante las primeras semanas de la enfermedad pero raramente ocurre más allá del tercer mes. Un ataque raramente dura más de una semana, y ataques de púrpura están asociados inconstantemente con exacerbación de la sintomatología renal. Aunque la enfermedad es usualmente autolimitada con un pronóstico bueno, la glomerulonefritis asociada con la PHS puede excepcionalmente llevar a falla renal. Por esa razón, la proteinuria persistente debe ser tratada agresivamente con IECA en pacientes con PHS. En relación con factores pronósticos, la enfermedad en niños es más leve, de duración más corta con pocas recurrencias, y con significantemente menos manifestaciones gastrointestinales y renales. El compromiso renal con hematuria transitoria sin empeoramiento funcional renal es mucho más frecuente en niños que en adultos. Cuando los signos renales resultan en la necesidad de biopsia renal, el riesgo de desarrollar insuficiencia renal crónica es aproximadamente de 18% en niños y de 28% en adultos. El riesgo de falla renal en estado terminal en adultos con nefritis de la PHS 10 años después del diagnóstico es cerca de 15% y por consiguiente no difiere de la nefropatía por IgA (5). Un estudio retrospectivo de 162 pacientes con PHS encontró que los adultos tenían compromiso renal más frecuente y severo y requirieron terapia más agresiva con esteroides y/o agentes citostáticos (9). El pronóstico final fue relativamente bueno en ambos grupos de edades con recuperación completa en 93% de niños y en 89,2% de adultos (9). La opinión general es que la PHS tiene un peor pronóstico en adultos que en niños. Sin embargo, en su estudio de pacientes con presentación clínica que requirieron biopsia renal, Coppo y colaboradores mostraron que la nefritis de la PHS tiene un pronóstico similar en niños y adultos (2). Los pacientes que se presentan únicamente con hematuria microscópica generalmente tienen completa recuperación renal, aquellos con síndrome nefrítico agudo o proteinuria > 1 g/día al comienzo tendrán un pronóstico peor, particularmente si desarrollan síndrome nefrótico. La hematuria macroscópica está asociada con probabilidad más alta de semilunas en la biopsia renal y peor función renal. Síntomas abdominales severos, púrpura persistente y edad de inicio > 7 años mostraron ser factores de riesgo significantes para falla renal de acuerdo con un estudio (10). Los factores pronósticos más precisos son histológicos. Porcentaje de semilunas, la presencia de fibrosis intersticial y la extensión de depósitos mesangiales que abarca a densos depósitos subepiteliales están correlacionados con riesgo de falla renal crónica. El riesgo es más alto en niños con semilunas en más de la mitad de los glomérulos. En adultos aún con menos de 50% de semilunas augura un curso desfavorable (7).
Las manifestaciones extrarrenales de la enfermedad son manejadas con medidas sintomáticas apropiadas. Lesiones severas de piel pueden requerir glucocorticoides orales, lo cual también puede mejorar el dolor abdominal y la enteropatía perdedora de proteínas. Complicaciones gastrointestinales severas pueden requerir ocasionalmente intervención quirúrgica. El tratamiento de la nefritis por PHS es controversial, y las recomendaciones están basadas en pequeñas, y a menudo series no controladas. La mayoría de pacientes no tienen compromiso renal o tienen microhematuria, proteinuria leve y función renal normal. Estos pacientes no requieren terapia esteroidea, y el desorden es manejado usualmente sintomáticamente. Algunos estudios sugieren que la administración temprana de prednisona puede ser útil en prevenir el desarrollo de nefropatía en PHS. Otro grupo sugiere tratar pacientes con factores de riesgo para compromiso renal con glucocorticoides al comienzo de la enfermedad. Un estudio prospectivo de 12 pacientes con PHS quienes se presentaron con glomerulonefritis rápidamente progresiva sugirió beneficio de terapia intensiva multidroga. En este protocolo, metilprednisolona, ciclofosfamida, dipiridamol y prednisona fueron usadas. La mejoría clínica con terapia combinada de glucocorticoides y azatioprina es sugerida por otro estudio de 21 niños con nefritis severa por PHS. De acuerdo con un grupo, prednisona y ciclofosfamida indujeron y mantuvieron remisión completa en siete de ocho pacientes con nefritis por PHS comprobada por biopsia. Otro estudio no controlado mostró beneficio de un régimen de prednisolona, ciclofosfamida, heparina/warfarina, y dipiridamol en pacientes con PHS quienes tenían cambios histológicos glomerulares severos (7).
Agradecimentos
El doctor Cantillo agradece específicamente al doctor Carlos Orozco, patólogo de Labopat por el informe nefropatológico del caso 2 y a la doctora Pilar Archila, patóloga del Hospital de San José por el informe dermopatológico del caso 2.
Referencias
1. Iglesias A. Vasculitis refractarias. Aspectos generales. Rev Colomb Reumatol 1999; 6: 144-60. [ Links ]
2. Coppo R, Mazzucco G, Cagnoli L, Lupo A, Schena FP. Long-term prognosis of Henoch-Schonlein nephritis in adults and children. Italian Group of Renal Immunopathology Collaborative Study on Henoch-Schonlein purpura. Nephrol Dial Transplant 1997; 12: 2277-83. [ Links ]
3. Coppo R, Amore A, Gianoglio B. Clinical features of Henoch-Schonlein purpura. Italian Group of Renal Immunopathology. Ann Med Interne (Paris) 1999; 150: 143-50. [ Links ]
4. Pillebout E, Thervet E, Hill G, Alberti C, Vanhille P, Nochy D. Henoch-Schonlein Purpura in Adults: Outcome and Prognostic Factors. J Am Soc Nephrol 2002; 13: 1271-8. [ Links ]
5. Davin JC, Ten Berge IJ, Weening JJ. What is the difference between IgA nephropathy and Henoch-Schonlein purpura nephritis?. Kidney Int 2001; 59: 823-34. [ Links ]
6. Jennette JC, Falk RJ. Small-Vessel Vasculitis. N Engl J Med 1997; 337: 1512-23. [ Links ]
7. Rai A, Nast C, Adler S. Henoch-Schonlein Purpura Nephritis. J Am Soc Nephrol 1999; 10: 2637-44. [ Links ]
8. Jardim HM, Leake J, Risdon RA, Barratt TM, Dillon MJ. Crescentic glomerulonephritis in children. Pediatr Nephrol 1992; 6: 231-5. [ Links ]
9. Blanco R, Martínez-Taboada VM, Rodríguez-Valverde V, García-Fuentes M, Gonzalez-Gay MA. Henoch-Schonlein purpura in adulthood and childhood: Two different expressions of the same syndrome. Arthritis Rheum 1997; 40: 859-64. [ Links ]
10. Kaku Y, Nohara K, Honda S. Renal involvement in Henoch-Schonlein purpura: A multivariate analysis of prognostic factors. Kidney Int 1998; 53: 1755-9. [ Links ]













