Services on Demand
Journal
Article
Indicators
-
Cited by SciELO -
Access statistics
Related links
-
Cited by Google -
Similars in
SciELO -
Similars in Google
Share
Acta Medica Colombiana
Print version ISSN 0120-2448
Acta Med Colomb vol.32 no.3 Bogotá July/Sept. 2007
Dra. Sandra M. Gelves: Residente I Cirugía General. Universidad Industrial de Santander;
Dr. Eduardo Contreras Zúñiga: Médico Internista. Fundación Clínica Valle de Lili, Unidad de Cuidados Intensivos. Cali.
Correspondencia: edo11@hotmail.com
Recibido: 03/VII/07 Aceptado: 25/VII/07
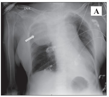
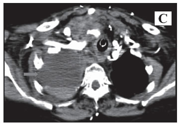
Mujer de 54 años quien ingresó con choque hipovolémico y séptico de origen abdominal requiriendo paso de catéter subclavio derecho para la administración de cristaloides e inotrópicos; la radiografía de tórax luego del procedimiento (Pánel A) mostró opacidad del hemitórax superior derecho con borde bien definido (Flecha), engrosamiento apical superior y mínima cantidad de líquido en el ángulo costofrénico ipsilateral, insinuando la presencia de hemotórax; por la condición clínica se realizó seguimiento clínico y radiológico. La paciente presentó mejoría, por lo que se retiró el catéter presentando nuevamente compromiso hemodinámico sugiriendo lesión vascular siendo necesario nueva radiografía de tórax (Pánel B) que mostró extensión de la lesión descrita (Flecha) y angioTAC (Pánel C) que evidenció hematoma en cuello y hemotórax derecho sin extravasación de líquido, aunque no se descartó lesión arterial (Flecha). La paciente presentó deterioro clínico y falleció antes de poder realizarse una intervención quirúrgica.
Este caso ilustra que el paso de catéter central en personal experimentado tiene complicaciones del 1-3% y cuando se sospecha lesión vascular, el retiro del catéter empeora el cuadro.













