Services on Demand
Journal
Article
Indicators
-
Cited by SciELO -
Access statistics
Related links
-
Cited by Google -
Similars in
SciELO -
Similars in Google
Share
Acta Medica Colombiana
Print version ISSN 0120-2448
Acta Med Colomb vol.38 no.4 Bogotá Oct./Dec. 2013
Presentación de casos
Método clínico en la detección de la enfermedad de Paget de la mama en cuidado primario
Clinical method for detecting Paget disease of the breast in primary care
Adriana Lucía Yepes1, Mérida Rosa Rodríguez, Jaime Arturo Mejía
1 Md General Comfandi. Correspondencia. Cali (Colombia). e-mail: adriyepa@hotmail.com.
2 Especialista en Medicina Familiar, Msc(c) epidemiología, Grupo de investigación de servicios de salud de Comfandi. Profesora de la Pontificia Universidad Javeriana de Cali (Colombia).
3 Especialista en anatomía Patológica y Patología clínica. Director Médico de Medicina diagnóstica - Mejía Jiménez y compañía. Cali (Colombia).
Recibido: 8/X/2012 aceptado: 30/VIII/2013
Resumen
La enfermedad de Paget de la mama es una manifestación cutánea infrecuente de cáncer de mama que tiene mejor pronóstico cuando se detecta de manera temprana. Se presenta el caso de una mujer de 56 años, que asistió a consulta en cuidado primario en la ciudad de Cali para la evaluación del resultado de una citología cervicouterina. Se le realizó examen mamario preventivo y se encontró una lesión en areola-pezón de características eritematodescamativas de dos años de evolución. Los estudios anatomopatológicos y de inmunotipificación confirmaron enfermedad de Paget. El reporte histológico de la pieza quirúrgica extraída durante la cuadrantectomía con resección del complejo areola-pezón, diagnosticó un carcinoma intraductal subyacente. La utilización del método clínico en cuidado primario, en una paciente sin lesión palpable y con mamografías negativas para malignidad, fue la clave del éxito en la detección temprana y recuperación de la paciente que ha evolucionado de manera favorable. (Acta Med Colomb 2013; 38: 277-281).
Palabras clave: Enfermedad de Paget de la mama, cuidado primario, prevención, neoplasias de la mama.
Abstract
Paget's disease of the breast is a rare cutaneous manifestation of breast cancer which has a better prognosis when detected early. We report the case of a 56 year-old woman who attended consultation in primary care in the city of Cali to evaluate the result of uterine cervical cytology. She underwent preventive breast exam and a descamative erythematous nipple-areola lesion of two years of evolution was found. Pathological and immunotyping studies confirmed Paget's disease. The histological report of the surgical specimen removed during lumpectomy with resection of the nipple-areola complex, diagnosed an underlying intraductal carcinoma. The use of the clinical method in primary care in a patient without palpable lesion and malignancy negative mammograms, was the key to success in early detection and recovery of the patient who has performed well. (Acta Med Colomb 2013; 38: 277-281).
Keywords: Paget's disease of the breast, primary care, prevention, breast neoplasms.
Introducción
La enfermedad de Paget de la mama es una manifestación cutánea infrecuente de cáncer presente sólo en 5% de los casos de cáncer de mama. A pesar que fue descrita desde 1874 por sir James Paget (1814-1899) (1) no se conocen sus causas exactas, pero hay dos teorías sobre su origen (2). La teoría epidermotropa, propone que las células cancerosas se desprenden de un tumor de mama y migran a través de los conductos galactóforos al pezón. Por otra parte, la teoría de la transformación plantea que son las células del epitelio del pezón las que adquieren per se el fenotipo neoplásico. Entre 67-100% de los casos de Paget se asocian a enfermedades mamarias malignas tanto a carcinomas in situ como a los invasivos (3,4). Dado que la expresión clínica de la enfermedad de Paget mamaria es de carácter dermatológico, suele ser tratada inicialmente como una dermatosis con medicamentos tópicos pero la persistencia de la lesión y el fracaso terapéutico invitan a la consideración clínica del diagnóstico.
La enfermedad es más frecuente en mujeres nulíparas perimenopáusicas, aunque se han descrito algunos casos en hombres. Se manifiesta con placas unilaterales eritematodescamativas, ovaladas, de bordes irregulares, bien delimitados que inician en el pezón y se extienden a la areola; en ocasiones producen sangrado, exudación o hundimiento del pezón. Puede acompañarse de prurito, ardor, sensación de quemazón e incluso úlceras que evolucionan durante meses o años, la palpación de una masa subyacente ocurre en sólo 50% de los casos (5). Entre los diagnósticos diferenciales se encuentran: dermatitis eczematosa del pezón, psoriasis, impétigo, carcinoma escamocelular incipiente, melanoma, enfermedad de Bowen y carcinoma apocrino (5).
La clasificación de la enfermedad depende de la clasificación taxonómica (tnM) del cáncer subyacente propuesta por el American Joint Commitee on Cancer (6), cuando no se asocia a un tumor, se clasifica como Tis Paget (7). El tratamiento depende de la clasificación y criterios clínicos complementarios que se apliquen a la neoplasia mamaria asociada. Si bien existía una tendencia a realizar mastectomía radical, en las últimas dos décadas se han fomentado los manejos conservadores (8) como las cuadrantectomías con resección del complejo areola pezón y posterior radioterapia de la mama y de los lechos ganglionares; lo anterior siempre que no existan lesiones palpables. Se reservan los manejos quirúrgicos más extensos y la quimioterapia para los casos con lesiones invasivas.
En este artículo se presenta un caso clínico de enfermedad de Paget detectada por médico general en una institución prestadora de servicios de salud. Se resalta la importancia de la utilización del método clínico, el enfoque de riesgo y la concepción de la atención integral al paciente en servicios de promoción y prevención, y se discuten cada uno de los hallazgos en el contexto del cuidado primario. Para la elaboración de este artículo se solicitó a la paciente la firma del consentimiento informado y se contó con la aprobación del Comité de Ética Institucional.
Reporte del caso
Paciente de 56 años de edad, que consultó en una IPS de baja complejidad de la ciudad de Cali en octubre de 2011 para la revisión del resultado de una citología cervicouterina, el cual fue negativo para malignidad; sin embargo, aunque la paciente no reportó síntomas al interrogatorio, cuando se realizó el examen físico de las mamas, se detectó una lesión tipo placa en mama izquierda de 7 cm de diámetro alrededor del pezón y en el interior de la areola, de color rosado, sin descamación, con borde hiperpigmentado e irregular. Las mamas eran simétricas y no se detectaron nódulos, ni adenomegalias a la palpación (Figura 1).
La paciente refirió como antecedentes personales: menarquía a los 11 años y menopausia a los 53, grávida 2, partos 2 y abortos 0, dio lactancia materna a sus hijos y negó uso de terapia de remplazo hormonal, tabaquismo o antecedentes familiares de cáncer de mama; adicionalmente, informó ser hipertensa. Al momento de la consulta se encontraba obesa con un índice de masa corporal (IMC) de 33.2 Kg/m2. Refirió múltiples tratamientos tópicos para presumible micosis cutánea superficial en la mama y debido a la disminución del prurito no volvió a consultar por este motivo. En la historia clínica se documentaron tres estudios mamográficos previos: en los años 2006, 2010 y el último en noviembre de 2011, todos reportados como BI-RADS II (Figura 2).
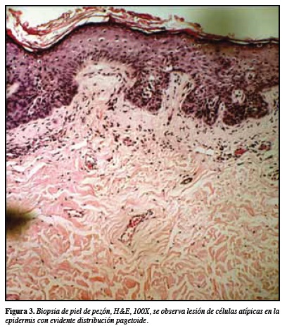
Frente a los hallazgos clínicos, se envió la paciente al dermatólogo quien emitió una impresión diagnóstica de carcinoma escamocelular versus basocelular, pero la biopsia de la lesión indicó "lesión atípica intraepitelial pagetoide" (Figuras 3 y 4), por lo cual el patólogo sugirió varios estudios inmunohistoquímicos. Los resultados de la citoqueratina7 (CK7), GCDFP15, proteína s-100 y el HMB-45 fueron negativos, mientras que el CEA policlonal (Figura 5) y los receptores estrogénicos fueron positivos en las células de interés (Figura 6), el informe de patología concluyó que se trataba de una "lesión intraepitelial neoplásica pagetoide, muy sugestiva de enfermedad de Paget", por lo cual se recomendó la escisión completa de la lesión y la búsqueda exhaustiva de neoplasia mamaria concomitante, razón por la que fue remitida al mastólogo. Durante todo el proceso la paciente tuvo el acompañamiento del médico general en continúa retroalimentación con los especialistas y de una psicóloga para la aceptación del diagnóstico.
Se realizó cuadrantectomía y resección del complejo areola pezón en abril de 2012 (Figura 7). La patología de la pieza anatómica describió una lesión de 5 x 6 mm con márgenes de resección negativos para malignidad y se diagnosticó un "carcinoma ductal in situ de tipo sólido, grado nuclear 2, y enfermedad de Paget". El estudio inmunohistoquímico reportó receptores estrogénicos y de progesterona positivos y un índice de proliferación celular KI-67 de 1%. Por esta razón, recibió tamoxifeno 20 mg/día y radioterapia, ha evolucionado favorablemente y se encuentra satisfecha con la atención recibida.
Discusión
En los últimos años, el método clínico, ha sufrido un deterioro cada vez mayor. este caso demostró la importancia de no sustituir el interrogatorio y el examen físico por el uso de exámenes de laboratorios o imágenes diagnósticas, y del enfoque preventivo por ciclo vital individual, que permitió evitar el retraso en el diagnóstico de una enfermedad infrecuente, en particular, en instituciones de baja complejidad donde la población que consulta tiene condiciones de salud más parecidas a la población general que en las consultas especializadas; y por ello, dichas enfermedades infrecuentes tienen mayor riesgo de pasar desapercibidas. El éxito de esta paciente se atribuyó al uso del método clínico tanto en la impresión diagnóstica inicial, como en la interpretación de los exámenes complementarios y al funcionamiento de la referencia-contrarreferencia con los especialistas en niveles superiores de complejidad, que garantizó un seguimiento adecuado por el médico general como garante del manejo integral del paciente.
La lesión dermatológica que predomina en la enfermedad de Paget es el eczema acompañado de prurito (9,10); esta lesión es diferente a aquellas debidas a cánceres invasivos que se expresan con cambios de color y manifestaciones de "piel de naranja" secundarias a la infiltración de los vasos linfáticos subdérmicos o con retracción de la piel por la actividad fibroblástica del tejido céluloadiposo. En el caso de la enfermedad de Paget cuando el prurito cede, las pacientes dejan de dar importancia a los cambios de la mama (11), lo que contribuye a que la mitad de los casos se diagnostiquen en estadios avanzados del cáncer de mama subyacente; considerar el antecedente de la persistencia de la lesión a pesar de los múltiples tratamientos fue la clave para la sospecha diagnóstica en una paciente cuyos únicos factores de riesgo para cáncer de mama y en ausencia de tumor palpable, fueron la edad y la obesidad. De otra parte, varios estudios han mostrado que el cáncer subyacente puede estar oculto en 40-50% de las mamografias (4,12) por ello la utilidad de esta ayuda diagnóstica es limitada cuando el tumor no es palpable, y resalta la importancia de la utilización del examen clínico para detectar aquellas lesiones en la inspección, que no son palpables, ni visibles en mamografías.
El diagnóstico de enfermedad de Paget mamaria se confirma por análisis histopatológico de una biopsia representativa de piel. Los hallazgos se concentran a nivel de la epidermis en la que suele observarse una proliferación de células atípicas poligonales con núcleos hipercromáticos generalmente grandes y citoplasma claro que ocupan el espesor del estrato espinoso dando un aspecto migratorio transepidérmico, como mostró la patología de este caso. En ciertas ocasiones la biopsia de piel puede mostrar una lesión oculta como un carcinoma ductal in situ que se insinúa hasta la dermis. Una tinción histoquímica para mucinas puede ser suficiente para realizar el diagnóstico; sin embargo, el análisis inmunohistoquímico es de mayor utilidad para establecer el diagnóstico diferencial con el melanoma, enfermedad de Bowen variedad pagetoide, la glicogenización reactiva de escamocitos sin displasia y la hiperplasia de células de Toker. El perfil inmunofenotípico suele ser positivo tanto el antígeno carcinoembrionario (cea), como para marcadores epiteliales y negativo para marcadores de diferenciación melanocítica; sin embargo, en este caso el CK7 fue negativo a pesar de tener una sensibilidad cercana a 100%(13). Frente a lo anterior, fue la sospecha clínica la que permitió continuar y orientar el proceso diagnóstico de manera acertada.
Como la enfermedad de Paget de la mama es infrecuente, la mayoría de los estudios publicados tienen un diseño tipo reportes y series de casos. A pesar de su baja ocurrencia poblacional, el enfoque preventivo permitió detectar un cáncer de mama no invasivo y con ello ofrecer un mejor pronóstico a la paciente (9). En este sentido, un estudio mostró una probabilidad de sobrevida a los cinco años de 82% versus 51% en ausencia y presencia de masa palpable al diagnóstico, respectivamente. Al considerar el comportamiento del tumor subyacente, la probabilidad de sobrevida fue de 91% entre aquellos con cáncer no invasivo y de 58% en aquellos con cáncer invasivo (14). Aunque los estudios revisados no han dado cuenta si los casos se han diagnosticado en fase preclínica mediante programas de tamizaje, el valor agregado de la detección temprana implica el beneficio que una cirugía conservadora tiene en la autoestima y la calidad de vida, en comparación a la mastectomía radical.
Como conclusión, lo relevante de este caso fue que el diagnóstico no se debió a un hallazgo fortuito, sino al enfoque de riesgo en los programas de promoción y prevención en el contexto de los servicios de baja complejidad, donde estos diagnósticos son infrecuentes. Este caso demuestra que no todos los cánceres de mama se expresan con la mayoría de los factores de riesgo, ni con lesiones de piel típicas de cáncer invasivos, ni con lesiones palpables, ni visibles en las mamografías. Por ello de la individualización de la práctica médica, requiere mantener la anamnesis y la inspección como parte del método clínico, así como el enfoque preventivo en salud para la detección temprana del cáncer de mama.
Financiación
Ninguna.
Conflicto de intereses: dos de las autoras trabajan en la institución donde se presentó el caso clínico. No recibieron honorarios por la escritura del presente artículo.
Referencias
1. Ellis, H. Eponyms in oncology. Sir James Paget (1814-1899). Eur J Surg Oncol 1986; 12(4): 393. [ Links ]
2. Ribatti D., Mangialardi G., Vacca A. Stephen Paget and the 'seed and soil' theory of metastatic dissemination. Clin Exp Med 2006; 6(4): 145-149. [ Links ]
3. Kollmorgen DR., Varanasi JS, Edge B. Carson WE. Paget's disease of the breast: a 33-year experience. J Am Coll Surg 1998; 187(2): 171-177. [ Links ]
4. Ikeda D M, Helvie M A, Frank T. Paget disease of the nipple: radiologic pathologic correlation. Radiology 1993; 189(1): 89-94. [ Links ]
5. Albarrán J M, Tavares A, Saldivia F, Prince J, Ramos S, Gutierrez N, et al. Enfermedad de paget de la mama reporte de 13 casos. Revista Venezolana de Oncología 2010; 22. [ Links ]
6. American Joit Comitte on cancer. What is cancer staging? 2010 citado Julio, 2012. [ Links ]
7. Carlson RW, Allred DC, Anderson BO, Burstein HJ., Edge SB, Farrar W B et al. Metastatic Breast Cancer, Version 1.2012: Featured Updates to the NCCN Guidelines. J Natl Compr Canc Netw 2012; 10(7): 821-829. [ Links ]
8. De La Peña J, Miranda H, Domínguez L, Mociños-Montes R. Enfermedad de Paget de la Glandula mamaria. Rev Col Cir 2002; 17: 151-155. [ Links ]
9. Dalberg K, Hellborg H., Wärnberg F. Paget's disease of the nipple in a population based cohort. Breast Cancer Res Treat 2008; 111(2): 313-319. [ Links ]
10. Lloyd J, Flanagan AM. Mammary and extramammary Paget's disease. J Clin Pathol 2000; 53(10): 742-749. [ Links ]
11. Muttarak M, Siriya B, Kongmebhol P, Chaiwun B, Sukhamwang N. Paget's disease of the breast: clinical, imaging and pathologic findings: a review of 16 patients. Biomed Imaging Interv J 2011; 7(2): e16. [ Links ]
12. Günhan-Bilgen I, Oktay A. Paget's disease of the breast: clinical, mammographic, sonographic and pathologic findings in 52 cases. Eur J Radiol 2006; 60(2): 256-263. [ Links ]
13. Lundquist K, Kohler S, Rouse RV. Intraepidermal cytokeratin 7 expression is not restricted to Paget cells but is also seen in toker cells and Merkel cells. Am J Surg Pathol 1999; 23(2): 212-219. [ Links ]
14. Piekarski J, Jeziorski A. Baklinska M, Szymczak W, Zadrozny M, Berner J. Patients with Paget disease of nipple and with palpable mass in breast have unfavorable prognosis. J Exp Clin Cancer Res 2004; 23(1): 33-37. [ Links ]



















