Services on Demand
Journal
Article
Indicators
-
Cited by SciELO -
Access statistics
Related links
-
Cited by Google -
Similars in
SciELO -
Similars in Google
Share
Acta Medica Colombiana
Print version ISSN 0120-2448
Acta Med Colomb vol.39 no.3 Bogotá July/Sept. 2014
Imágenes en Medicina Interna
Tuberculosis traqueal
Tracheal tuberculosis
Jorge Alberto Carrillo1, Ana Beatriz Villamizar2, María Alejandra Sánchez2, Juan Mauricio Pardo3
1 Especialista en Radiología, Hospital Universitario Mayor - Méderi. Profesor Titular Universidad del Rosario; Bogotá, D.C. (Colombia).
2 Estudiantes de XII Semestre de Medicina, Universidad del Rosario; Bogotá, D.C. (Colombia).
3 Especialista en Medicina Interna, Intensivista. Jefe de Educación Médica, Hospital Universitario Mayor-Méderi. Profesor Asociado Universidad del Rosario. Bogotá, D.C. (Colombia).
Correspondencia. Dr. Jorge Alberto Carrillo B. Bogotá, D.C. (Colombia). E-mail: jorcarbay@hotmail.com
Recibido: 1/VII/2014 Aceptado: 25/VIII/2014
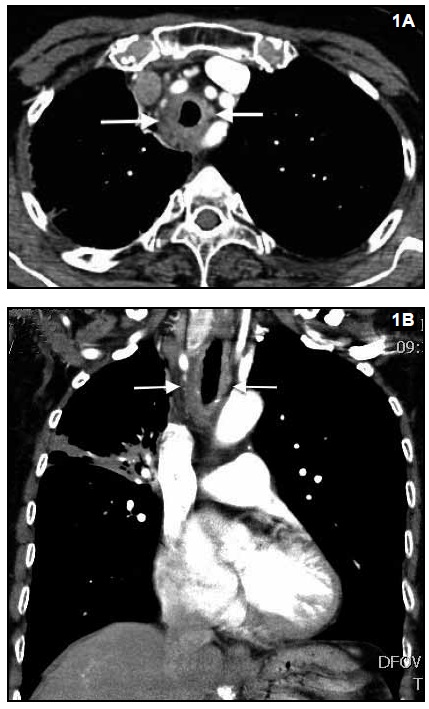
Paciente de 77 años con antecedente de tuberculosis pulmonar tratada (dos años antes) y cuadro de disnea progresivade una semana de evolución. La TC de tórax (imágenes 1Ay 1B) demostró engrosamiento difuso de la pared traqueal.
El diagnóstico diferencial del engrosamiento difuso de la pared de la tráquea incluye: entidades infecciosas (histoplasmosis - tuberculosis), inflamatorias (sarcoidosis, poliangeítis con granulomatosis) y entidades de naturaleza diversa (amiloidosis, policondritis recidivante y traqueobroncopatíaosteocondroplástica). La biopsia de la pared bronquial confirmó el diagnóstico de tuberculosis.
La tuberculosis traqueobronquial se caracteriza por engrosamiento concéntrico de la pared con estrechez irregular del lumen y puede asociarse a mediastinitis y/o adenomegalias mediastinales.
Referencias
1. Prince JS. Non neoplastic Lesions of the Tracheobronchial Wall: Radiologic Findings with Bronchoscopic Correlation. Radiographics 2002; 22: S215-S230. [ Links ]
2. Yookyung K. Kyung SL. Tuberculosis of the Trachea and Main Bronchi: CT Findings in 17 Patients. AJR 1997; 168: 1051-1056. [ Links ]













