Services on Demand
Journal
Article
Indicators
-
Cited by SciELO -
Access statistics
Related links
-
Cited by Google -
Similars in
SciELO -
Similars in Google
Share
Acta Medica Colombiana
Print version ISSN 0120-2448
Acta Med Colomb vol.40 no.2 Bogotá Apr./June 2015
Imágenes en Medicina Interna
Enfermedad ósea del mieloma múltiple
Multiple myeloma bone disease
Hermes Luis Oñate •
Río de Janeiro (Brasil)
Dr. Hermes Luis Oñate Rosado: Posgraduando de Clínica Médica de la Universidad Federal del Estado de Rio de Janeiro (UNIRIO). Institución: Hospital Universitário Gaffrée e Guinle. Rio de Janeiro (Brasil).
Correspondencia. Dr. Hermes Luis Oñate Rosado. Río de Janeiro (Brasil).
Correo Electrónico: hermes-dr25@hotmail.com
Recibido: 25/III/2014 Aceptado: 23/IV/2015
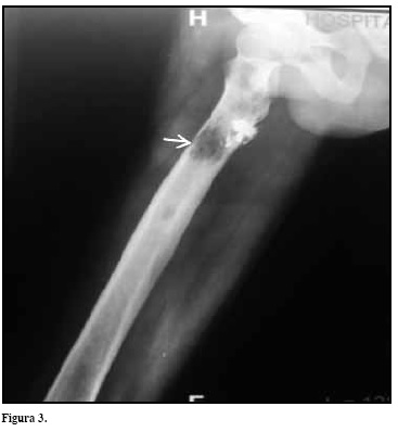
Paciente masculino de 51 años de edad con antecedente de fractura patológica de húmero derecho hace seis meses, asociado a lesiones líticas que durante su investigación fue diagnosticado con mieloma múltiple mediante electroforesis de proteínas, aspirado y biopsia de médula ósea. Fue iniciado tratamiento quimioterapéutico con tal idomida y dexametasona presentado deterioro progresivo de la función renal por lo cuales remitido al Hospital Universitário Gaffrée e Guinle para valoración por nefrología. Al examen de ingreso paciente en regular estado general, palidez muco cutánea generalizada, disnea de medianos esfuerzos, doloróseo, astenia y adinamia. Signos vitales: PA: 100/60 mmHg, FC: 102 lpm,FR: 28 rpm. Fueron solicitados paraclínicos evidenciando anemianormocítica normocrómica, calcio sérico normal, insuficiencia renal(creatinina 3.88 mg/dL-Úrea 93 mg/dL) manejada por nefrología contratamiento conservador; VSG 110 mm/h; radiografía de cráneo, pelvis y fémur derecho evidenciando lesiones osteolíticas (Figuras 1-3).Durante su evolución cursó con síndrome de lisis tumoral tratado con hidratación venosa, alopurinol y alcalinización de la orina con mejoría del cuadro. Presentó hemoglobina de 6 g/dL y hematocrito 18%, se descarta sangrado activo y hemolisis, fueron transfundidos dos unidades de glóbulos rojos con mejoría de los parámetros hematológicos. Valorado por hematología quien instaura tratamiento con esquema CYBORD (ciclofosfamida-bortezomib-dexametasona) por cuatro ciclos con evolución satisfactoria. El paciente recibe alta médica asintomático, con función renal normal (creatinina 1.2 mg/dL-Úrea 23 mg/dL) y continúa en acompañamiento con hematología y nefrología.















