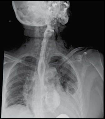
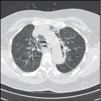
Mujer de 58 años, ingresa a urgencias por presentar dolor pleurítico en hemitórax izquierdo de fuerte intensidad, irradiada a dorso, asociado a tos seca y disnea progresiva. No tiene antecedentes de importancia. Al ingreso con tensión arterial: 80/46 mmHg, frecuencia cardiaca 112 por minuto, frecuencia respiratoria: 22 por minuto y temperatura: 39°C. Al examen físico: disminución del murmullo vesicular basal izquierdo con estertores y llenado capilar prolongado. Se toman laboratorios que muestran leucocitosis, neutrofilia y elevación de azoados. Se solicita radiografía de tórax que muestra consolidación basal izquierda y enfisema subcutáneo en cuello. Es trasladada a unidad de cuidados intensivos con choque séptico de origen pulmonar. Al reinterrogar a la paciente refiere episodio de atoramiento alimentario previo al inicio del cuadro, acompañado de múltiples episodios eméticos. Se sospecha síndrome de Boerhaave (perforación esofágica espontánea) y mediastinitis aguda, obteniéndose esofagograma que evidencia hallazgos compatibles con perforación esofágica distal (Figura 1) y tomografía de tórax que muestra neumomediastino y derrame pleural con consolidación basal izquierda (Figura 2), por lo cual se instaura vancomicina y piperacilina tazobactam. Es llevada a cirugía donde encuentran perforación de esófago torácico (Figura 3), con mediastinitis, pericarditis y pleuritis izquierda. No fue posible cirugía definitiva ante la inestabilidad de la paciente, únicamente se realizan drenaje de material purulento mediastinal, pleural, pericárdico y colocación de tubo en mediastino y tórax. A las 24 horas se realiza esofaguectomía media y distal con esofagostomía proximal cervical. Evoluciona tórpidamente, se documenta bacteriemia por Serratia marcescens resistente, se indica meropenem. Luego de múltiples lavados mediastinales, ventilación mecánica prolongada y 45 días en unidad de cuidados intensivos, progresa a falla orgánica múltiple y fallece.
















