Introducción
Las metástasis hipofisarias ocurren alrededor de 1% de los pacientes con tumores malignos y son una causa rara de panhipopituitarismo 1. Tenemos un caso de una rara presentación de panhipopituitarismo secundario a una metástasis hipofisiaria debido a un adenocarcinoma broncogénico.
Presentación del caso
Mujer de 45 años de edad, índice de Karnofsky de 70%, exfumadora pesada con índice de 25 años/paquete que suspendió hace un año, sin exposición al humo de leña, con antecedentes de radiculopatía en raíces nerviosas en L4-L5-S1 que requirió bloqueo selectivo de L4-L5, tubectomía hace varios años, gestaciones seis, partos seis, abortos cero; última citología de cérvix uterino de hace dos años sin anormalidades, con irregularidades menstruales desde hace tres meses, antes tenía ciclos regulares 28/5. Sus antecedentes familiares eran hipertensión arterial y diabetes mellitus tipo 2.
Consultó a una institución de cuarto nivel de Medellín por cuadro de un año de evolución, caracterizado por cefalea en región occipital irradiado a región frontal asociado a disminución de la agudeza visual en el ojo izquierdo, ambos sin mejoría a pesar de manejo médico. En los últimos seis meses la sintomatologia empeoró al presentar cefalea intensa en la escala análoga del dolor, pérdida de la agudeza visual del ojo izquierdo, polidipsia y poliuria. En los últimos tres días el dolor se hizo insoportable y presentó posteriormente episodio sincopal con pérdida de la conciencia de dos minutos y amnesia retrógrada, sin movimientos anormales ni pérdida del control de esfínteres, negó tos, disnea o hemoptisis.
Al examen físico se encontró alerta, orientada en tiempo, espacio y persona, estable hemodinamicamente, afebril, álgica, con mucosas secas, sin asimetría facial, sensibilidad en cara conservada, movimientos de la lengua conservados, anisocoria, defecto pupilar aferente bilateral, ojo izquierdo solo percibía la luz, ojo derecho alcanzaba a contar dedos a 30 cm, sin oculoparesias, examen oftalmológico normal incluyendo el disco óptico, fuerza segmentaria conservada, sin paresias, reflejos osteotendinosos con hiperreflexia en miembro inferior izquierdo y normalidad en miembro superior ipsilateral, resto de reflejos normales, respuesta plantar neutra bilateral. Se abordó el cuadro como una cefalea crónica con banderas rojas siendo necesaria una tomografía axial computarizada (TAC) de cráneo simple, en donde se encontraron tres lesiones redondeadas, bien delimitadas, una de localización frontal derecha de menos de 1 cm de diámetro con edema vasogénico perilesional, otra localizada en el lóbulo parietal ipsilateral con características similares a la lesión frontal y una lesión selar de 15 mm de longitud siendo necesario caracterizar mejor las lesiones con estudio contrastado (Figura 1), el cual mostró múltiples lesiones parenquimatosas cerebrales, hipervascularizadas que captaban intensamente el contraste, con edema vasogénico en lóbulos frontal y parietal derechos, región hipofisiaria y cerebelosa derecha compatibles con metástasis. Algunas lesiones con extensión supraselar que desplazaba el quiasma óptico hacia superior. Se decidió iniciar manejo profiláctico anticonvulsivante con fenitoína sódica 100 mg cada 8 horas y manejo del edema cerebral con dexametasona 4 mg intravenosa cada 8 horas previa desparasitación.

Figura 1 TAC contrastada de cráneo corte sagital y axial. Se observan múltiples lesiones nodulares de comportamiento hipervascular posterior a la administración del medio de contraste localizadas en el hemisferio cerebeloso derecho y la región hipofisiaria (flechas). Las lesiones índice localizadas en el hemisferio cerebeloso derecho de 32 mm y en la región hipofisiaria de 21 mm con similar densidad, lo que sugiere lesiones metastásicas.
Debido al compromiso hipofisiario, se realizó perfil hormonal que arrojó los resultados mostrados en la Tabla 1, con una función renal y electrólitos (incluyendo magnesio y calcio) dentro de parámetros de normalidad. Ante la sospecha de diabetes insípida se realizó test de desmopresina evaluando la osmolaridad urinaria basal (Tabla 1) y 12 horas posteriores a su administración, la cual fue de 734 mmol/Kg (392 - 1092 mmol/Kg). Determinándose con los hallazgos de laboratorio e imagenológicos un panhipopituitarismo (hipotiroidismo central, hipogonadismo central, hipocortisolismo a pesar de suplencia con dexametasona de manera intrahospitalaria y diabetes insípida) asociado a hiperprolactinemia compresiva. Se le inicio suplencia con levotiroxina 75 μg/día y desmopresina 10 μg 1 puff nasal cada 12 horas.
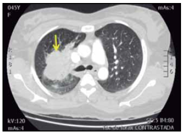
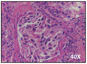
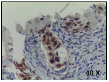
Ante los hallazgos identificados en las imágenes previas, se hicieron estudios de extensión para identificar foco neoplásico primario, la TAC contrastada de abdomen no mostró lesiones sugestivas de primario y la TAC contrastada de tórax (Figura 2) evidenció una masa pulmonar espiculada sin cavitación en el lóbulo superior derecho, adenopatías de localización hiliar derecha de 15 mm de diámetro en el eje corto y paratraqueales derechas de 13 mm de diámetro en el eje corto, sin lesiones líticas o blásticas en las estructuras óseas. La lesión pulmonar era sugestiva de carcinoma broncogénico siendo necesaria su confirmación histológica por biopsia mediante fibrobroncoscopia. Los hallazgos de la biopsia confirmaron el diagnóstico de un carcinoma de célula no pequeña compatible morfológicamente con un adenocarcinoma broncogénico (Figura 3), los marcadores de inmunohistoquímica fueron positivo para TTF1 (Figura 4) y negativo para P63 (Figura 5).

Figura 2 TAC contrastada de tórax corte axial. Se observa masa de contornos espiculados (flecha), con densidad de tejidos blandos localizada en el lóbulo superior derecho comprometiendo el bronquio para el lóbulo superior, con unas dimensiones de 67 x 57 x 57 mm, sin evidencia de cavitación central.

Figura 3 Tinción hematoxilina-eosina de biopsia pulmonar. Técnica microscopía de luz. Coloración hematoxilina-eosina. Aumento 40x. Se observa infiltración por estructuras neoplásicas de aspecto glandular tapizadas por células de núcleos pleomórficos, algunas con nucléolos de citoplasma amplio eosinófilo. Los hallazgos son compatibles morfológicamente con un adenocarcinoma broncogénico.

Figura 4 Marcadores para inmunohistoquímica para TTF-1 de biopsia pulmonar. Técnica microscopía de luz. Inmunohistoquímica polímero-peroxidasa. Aumento 40x. TTF-1 positiva nuclear en las estructuras glandulares neoplásicas.

Figura 5 Marcadores para inmunohistoquímica para P63 de biopsia pulmonar. Técnica microscopía de luz. Inmunohistoquímica polímero-peroxidasa. Aumento 40x. P63 negativa nuclear en las estructuras glandulares neoplásicas.
Debido a lo avanzado de su enfermedad, se clasificó en un estadio IV, por lo se le decidió iniciar teleterapia holoencefálica paliativa. Posteriormente se le hizo gammagrafía ósea con tecnecio-99m, la cual descartó metástasis en otros sitios. Durante evolución presentó convulsiones las cuales se manejaron por el grupo de neurología adicionándole levetiracetam, con adecuado control. Egresó para continuar manejo por cuidados paliativos y oncología clínica.
Discusión
La metástasis a nivel hipofisiario no son comunes, ocurren alrededor de 1% de los pacientes con tumores malignos y son una causa rara de panhipopituitarismo. Las primeras descripciones sobre disfunción hipofisiaria asociada a carcinoma broncogénico fueron realizadas entre los años 50 y 70 2,3, en estos informes no se obtuvo datos claros de un hipopituitarismo clínico evidente 4. En una serie de autopsias de Teears et al, sólo 6.8% de las metástasis hipofisarias presentaron clínica de disfunción de hipofisiaria, con afectación más frecuente del lóbulo posterior (56.8%) y la localización del tumor primario fue mama y pulmón (mujer y hombre respectivamente) 5. La mayoría de anormalidades endocrinológicas asociadas con el carcinoma broncogénico resulta de una excesiva secreción de hormonas o sustancias similares a las hormonas como la secreción inadecuada de ADH o el síndrome de Cushing. El panhipopituitarismo es inusual y la sintomatología que se presenta con más frecuencia es la diabetes insípida y de forma infrecuente la afectación del lóbulo anterior hipofisiario 6, en el caso de la paciente se evidenció un hipotiroidismo central, hipogonadismo central, hipocortisolismo, diabetes insípida (confirmada por el test de desmopresina y medición de osmolaridad urinaria), además hiperprolactinemia por efecto compresivo metastásico, aunque se resalta que hay reportes de prolactinoma asociado 7. El clínico debe sospechar metástasis hipofisiaria con la siguiente triada clínica: diabetes insípida (polidipsia, poliuria y sed), oftalmoplejía y cefalea en un paciente mayor de 50 años, independientemente de una historia de malignidad 8-10, en ocasiones, la manifestación de convulsiones y cefalea puede sugerir compromiso hipofisiario 11. Es de resaltar que no se realizó una resonancia nuclear magnética (RMN) de hipófisis en esta paciente, debido a que las densidades de las metástasis en el TAC contrastado de cráneo mostraban un valor semejante, además la evidencia clínica de la diabetes insípida sólo se presenta en 3% de los casos de adenoma 12. El tratamiento en estos casos es paliativo y se enfoca principalmente en mejorar la calidad de vida del paciente, se utilizan la sustitución hormonal, radioterapia y quimioterapia 13. Es infrecuente que se presente metástasis hipofisiario de un adenocarcinoma broncogénico 14, ya que el más frecuente es el de células pequeñas 15, en el caso de la paciente se presentó este raro hallazgo.














