A 54-year-old male with no significant medical history other than smoking (15 cigarettes/day) consulted at the hospital due to three months of painless lesions on the fingers of both hands. On physical exam, lesions were seen on several fingers of both hands, along with finger ulcers (Figure 1). He had no symptoms which would indicate a systemic illness. On auscultation, the heart rhythm was regular, with no murmurs, and distal pulses were present and symmetrical in all extremities.
Rheumatoid factor, cryoglobulin, cryoagglutinin and autoantibody tests showed no abnormalities. Hemorrhages were found on nailbed capillaroscopy, and Doppler ultrasound showed normal flow to the digital arteries.
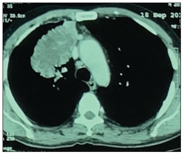
During his hospitalization, he had a small hemoptysis. A chest CAT showed a mass in the right pulmonary lobe (Figure 2), whose fine needle aspiration was compatible with adenocarcinoma.
A study of the tumor's extension revealed the presence of brain metastases. The patient died one month after diagnosis.
Raynaud's phenomenon is a transient digital ischemia reflect ing vasoconstriction as a response to exposure to cold or stressful situations. When it is secondary, rheumatological diseases tend to be involved, and it is rarely a paraneoplastic syndrome. In 1884, O'Connor reported the association between Raynaud's phenom enon and breast cancer.
Lung cancer is generally the cancer most associated with this phenomenon, which may precede or occur simultaneously with the neoplasm. In 80% of patients, it progresses to digital gan grene. There are several mechanisms involved in the ischemia: paraneoplastic arterial vasospasm, vascular occlusion second ary to the hypercoagulable state, and paraneoplastic necrotizing vasculitis. Paraneoplastic Raynaud's phenomenon is refractory to vasodilator and sympathectomy treatment but may regress with cancer treatment. We should suspect a neoplasm when Raynaud's phenomenon appears after age 50 with no history of autoimmune or vascular diseases.










text in 




