Introducción
En los últimos años, se ha reportado la síntesis y aplicación de diversos materiales mesoporosos en diferentes áreas de la ciencia [1,2]. Debido a su uso en diversos campos, se han realizado esfuerzos cada vez mayores para encontrar nuevas y mejores rutas de preparación de tales materiales [3,4]. Uno de estos, de gran importancia en la nanotecnología, es la sílice mesoporosa, pues su preparación es relativamente económica, es químicamente inerte, térmicamente estable y biocompatible [5].
En la literatura se han reportado revisiones acerca de la aplicación estos materiales en catálisis, transporte de fármacos, separaciones y también como sensores o adsorbentes [6-9]. Entre las sílices mesoporosas más estudiadas se encuentran las denominadas MCM-41 y SBA-15, que poseen una estructura ordenada de poros y con tamaño uniforme [10]. Actualmente, se están explorando técnicas para la preparación de materiales silíceos mesoporosos con diferentes morfologías, como esferas, esferas huecas y fibras, entre otras [11]. El tamaño de poro relativamente pequeño de algunas sílices puede ser un factor limitante para su empleo como soportes de catalizadores heterogéneos, ya que pueden generar limitaciones para la difusión de los reactivos y de los productos de reacción [12].
La preparación de partículas con tamaño de poros y morfología controlables se ha informado a través de la síntesis en fase líquida, en la que se han empleado métodos de síntesis como la técnica sol-gel, el uso de microemulsiones y la adición de plantillas [12-15]. Nandiyanto et al. [12] describieron la síntesis de sílice mesoporosa, con tamaño de poro ajustable (4-15 nm) y diámetro de partícula externo (20-80 nm), utilizando CTAB y poliestireno como formadores de poros.
Los heteropoliácidos (KHPA) con estructura Keggin pueden usarse en su forma másica, en catálisis homogénea o heterogénea [16]. Sin embargo, es aconsejable soportarlos, ya que presentan muy bajos valores de superficie específica (3-5 m2/g), lo que limita considerablemente su desempeño como catalizadores heterogéneos. Para superar esta desventaja, los KHPA se soportan sobre diferente tipo de sólidos porosos (sílice, circonia, alúmina o carbono, entre otros) [17,18]. Entre estos, se ha encontrado que los KHPA son más estables cuando el soporte es sílice ya que se genera unainteracción electrostática entre el heteropoliácido y el soporte, a través de la protonación de los grupos hidroxilo superficiales de este último [19-21].
Actualmente nuestro grupo explora el uso de diferentes materiales silíceos, como la sílice con estructura mesoporosa tipo "esponja" y "agujero de gusano", como material de soporte del ácido tungstofosfórico (WPA), para la preparación de catalizadores ácidos heterogéneos, destinados a la síntesis de heterociclos con potencial actividad farmacológica [22]. Como parte de esta búsqueda, se presenta la síntesis y caracterización de catalizadores basados en ácido tungsofosfórico inmovilizado en nanoestructuras de sílice, con distribución de diámetros y tamaños de mesoporos variables. Se reporta también la evaluación de su actividad catalítica en la síntesis de quinoxalinas.
Materiales y métodos
Síntesis de soportes los soportes SNX
Las SNX se sintetizaron por hidrólisis de tetraetilortosilicato (TEOS, Sigma Aldrich 98 %), usando lisina (Sigma Aldrich 98 %) como catalizador; bromuro de cetiltrimetilamonio (CTAB, Sigma Aldrich ≥ 99 %) como formador de mesoporos; estireno (Sigma Aldrich ≥ 99 %) como precursor de la plantilla y ácido cianovalérico (ACVA, Sigma Aldrich ≥ 98 %) como iniciador de polimerización del estireno. En un procedimiento típico para preparar las partículas sílice/plantilla, se disuelven en primer término 0,70 g de CTAB en 216 mL de agua a 60 °C en un balón de tres bocas. Después de obtener una solución clara, se añade octano (64 mL), estireno (84 mg), lisina (0,16 g), TEOS (71 g) y ACVA (181 mg).
La reacción se realiza durante 3 h en atmósfera de nitrógeno, a 60 °C. Luego se detiene el calentamiento y se deja enfriar la suspensión hasta 25 °C. El sistema se deja en reposo durante 18 h y luego se separa el sólido por centrifugación.
El material obtenido se lava con etanol, para eliminar después la plantilla mediante tratamiento térmico a 500 °C, durante 3 h. También se prepararon algunas muestras variando la relación octano/agua (OCT/H2O) entre 8x10-4 y 0,35 (p/p), manteniendo constante la cantidad de ACVA y otras empleando relaciones estireno/agua en el rango 0,39-10 (p/p) con el objeto de observar el efecto de las variables sobre las características de los materiales obtenidos.
Síntesis de los catalizadores SNX#WPA
Los catalizacores se obtuvieron por impregnación de las SNX con una solución de ácido tungstofosfórico, a temperatura ambiente. En una síntesis típica, 0,7 g de SNX se ponen en contacto con 0,3 g de WPA (H3PW12O40, Fluka p.a.) disueltos en 3 mL de solución etanol-agua 50 % (v/v). Se deja la solución y el soporte en contacto hasta que se evapore completamente el solvente y el sólido quedó seco y finalmente se calcina el material a 200 °C durante 2 h.
Caracterización de los materiales SNX y SNX#WPA
Las mediciones de adsorción/desorción de nitrógeno se llevaron a cabo a la temperatura del nitrógeno líquido (77 K), utilizando un equipo Micromeritics ASAP 2020. Con los datos obtenidos, se estimó el área superficial específica (SBET), usando el método Brunauer-Emmett-Teller; la distribución de tamaño poros (DTP), mediante el método DFT; y el diámetro medio de poros (Dp), mediante el método BJH.
Se caracterizó la morfología y el tamaño de las SNX por medio de microscopía electrónica de barrido (SEM), llevada a cabo con un equipo Philips 505, y microscopía electrónica de transmisión (TEM) realizada en un equipo JEOL 100 CX II, con voltaje de aceleración 100 kV y rango de magnificación de 270 000x-450 000x.
Las especies presentes en las muestras se estudiaron mediante espectroscopía infrarroja con transformada de Fourier (FTIR) y de resonancia magnética nuclear de 31P (31P MAS-NMR), usando un equipo Bruker IFS 66 (con pastillas de la muestra en bromuro de potasio, en el rango de 400-4000 cm-1) y un Bruker Avance II (operando a una frecuencia de 161,9 MHz y con una velocidad de rotación de 8 kHz), respectivamente.
Las características estructurales se determinaron mediante difracción de rayos X (DRX), empleando un equipo Philips PW-1732, usando radiación Cu Ka, filtro de Ni, 20 mA y 40 kV en la fuente de alta tensión, barrido de 5 a 60° 20 y velocidad de barrido 1° por min.
La estimación de acidez de los sólidos se efectuó mediante la titulación potenciométrica con solución de w-butilamina (0,025 N) en acetonitrilo, de los materiales suspendidos en acetonitrilo, utilizando un equipo Metrohm 794 Basic Titrino.
El contenido de WPA en SNX#WPA se estimó como la diferencia entre la cantidad de tungsteno contenida en la solución de ácido tungsofosfórico, utilizada originalmente para la impregnación y la cantidad de tungsteno que permaneció en el vaso después de retirar las muestras secas. Además, para estimar el WPA que interactúa débilmente con los grupos superficiales de las SNX, los materiales se pusieron en contacto con tolueno (típicamente 0,100 g en 10 mL) durante 24 h, se filtraron y se secaron a 100 °C.
La cantidad de tungsteno en las soluciones obtenidas se determinó por espectrometría de absorción atómica usando un espectrofotómetro Varian AA Modelo 240. El método de la curva de calibración se utilizó con estándares preparados en el laboratorio. Los análisis se llevaron a cabo a una longitud de onda de 254,9 nm, ancho de banda de 0,3 nm, corriente de la lámpara de 15 mA, amplificación de fototubos de 800 V, altura del quemador de 4 mm y llama de acetileno-óxido nitroso (11:14).
Evaluación de la actividad catalítica
Se evaluaron los materiales sintetizados como catalizadores ácidos heterogéneos en la síntesis de 2,3-difenilquinoxalina (c) a partir de bencilo (a) y 1,2-fenildiamina (b), Figura 1. Se emplearon 0,5 mmol de bencilo, 0,6 mmol de 1,2-fenildiamina y 24 mg de SNX#WPA (cantidad conteniendo 0,0025 mmol de WPA) en 12,5 mL de tolueno a 20 °C, bajo agitación magnética continua.

Figura 1 Síntesis de 2,3-difenilquinoxalina, DFQ (c), a partir de bencilo (a) y 1,2-fenildiamida (b).
El seguimiento de la reacción en función del tiempo se realizó determinando la disminución de la intensidad de la banda de adsorción de a ubicada a λ=345 nm, mediante un equipo UV-vis Perkin Elmer Lambda 35. Finalizada la reacción, se separó el catalizador, se aisló el producto, se purificó mediante recristalización y se caracterizó mediante 1H-RMN y 13C-RMN.
Resultados y discusión
Los valores más relevantes de las propriedades texturales de las muestras SNX se presentan en la Tabla 1. Las denominadas SN1 y SN2, obtenidas utilizando bajas relaciones de OCT/H2O, presentan diámetro promedio de poros en el rango de 5,56 a ,7 nm. En tanto que, para las sintetizadas empleando relaciones altas (SN3, SN4 y SN5), los valores de Dp obtenidos se encuentran en el rango 12,0 a 13,9 nm. Ambos grupos presentan isotermas de adsorción-desorción de nitrógeno muy similares (Figura 2c-d), las cuales presentan una clasificación tipo IV y son características de materiales mesoporosos.

Figura 2 Imágenes obtenidas por SEM de los materiales SN1 (a) y SN3 (b). Isotermas de adsorción-desorción de nitrógeno y DTP de muestras representativas de los materiales SNX (c) y (d).
Sin embargo, las distribuciones de tamaño de poro son claramente diferentes (Figura 2c-d). Los materiales SN1 y SN2, presentan principalmente DTP con mesoporos de tamaños en el rango 2-4 nm, con una baja proporción de mesoporos de mayor tamaño (en el rango 12-50 nm). En el caso de las muestras SN3, SN4 y SN5, los diagramas de DTP muestran una distribución bimodal de mesoporos, en la que los de mayor tamaño (rango 28-34 nm) son los que contribuyen en mayor medida al volumen total de los poros.
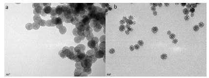
Las micrografías SEM de las muestras SNX muestran que los materiales están formados por aglomerados de partículas esféricas (Figura 2a-b). El tamaño de las partículas esféricas (rango de 200 a 100 nm) disminuye lentamente en el siguiente orden SN1>SN2>SN3, pero se mantiene prácticamente constante en las muestras restantes. De acuerdo con las micrografías TEM, las partículas esféricas parecen estar formadas por la agregación de nanopartículas más pequeñas, de tamaño entre 55 y 28 nm. Las muestras SN3, SN4 y SN5 están, a su vez, formadas por grupos de nanopartículas de 5 nm, lo que les confiere la apariencia de una mora (Figura 3).
El uso de una relación OCT/H2O mayor a 0,001 condujo a un cambio significativo de la DTP, la morfología y el tamaño de las nanoestructuras obtenidas. Nanosferas de sílice mesoporosa con DP en el rango 5,7-6,7 nm y altos valores altos de SBET se obtuvieron utilizando relaciones OCT/H2O bajas. En estas condiciones, los nanoporos son formados, principalmente, por el CTAB (micelas pequeñas). Cuando las relaciones OCT/H2O son altas, aparecen los nanoporos de mayor tamaño, formados por el PS (micelas grandes). A igual valor de EST/H2O, los valores de S son menores a los obtenidos cuando se emplean bajas relaciones de OCT/H2O. Es posible obtener valores similares (SBET = 557 m2/g) si se aumentan ambas relaciones conjuntamente.
Los resultados obtenidos a partir de SEM y TEM muestran que la morfología de las SNX no es alterada sustancialmente por la incorporación del WPA. Lo mismo puede decirse para las propiedades texturales de los catalizadores SNX#WPA, las cuales son similares a la de las nanoestructuras utilizadas para soportar el WPA, excepto en el caso de los valores de SBET, que son significativamente menores (Tabla 2). Esto se debe a que los catalizadores SNX#WPA están formados por 30 % de WPA (cuya área específica es muy baja) y la parcial obstrucción de poros por parte del anión [PW12O40]3- (cuyo tamaño es de 1,2 nm, aproximadamente).
Tabla 2 Principales propiedades texturales de los catalizadores SNX#WPA.

*Estimado mediante el método BJH.
Los difractogramas de los materiales SNX#WPA son muy similares entre sí. En la Figura 4, se muestran los difractogramas correspondientes a los sólidos SNX1WPA y SNX4WPA. Ambos presentan las bandas anchas (alrededor de 12° y 22° de 29) características de la sílice amorfa (y presentes en los diagramas de los soportes SN1 y SN4), a las cuales se superponen tres señales anchas (alrededor de 8°, 19° y 27° de 29). En dichos diagramas, se encuentran ausentes las líneas de difracción características de fases cristalinas de WPA tales como H3PW12O4023H2O o H3PW12O40 6H2O.

Figura 4 Difractogramas de los materiales SN1, SN4, SN1#WPA, SN4#WPA y de los hidratos H3PW12O40 23H2O y H3PW12O40 6H2O.
Tales hechos indican que el WPA está muy disperso en la superficie de la sílice, como una fase no cristalina. Este resultado es atribuible al fácil acceso de las especies de WPA a los mesoporos de las SNX (DP mayor a 5,9 nm) y la alta superficie de estos materiales. Considerando que el área de la sección transversal del anión WPA es igual a 1,13 nm2, calculamos que el porcentaje de superficie total de las nanoestructuras de sílice SNX cubierto por WPA es menor al 35%.
El espectro de FTIR del SN1#WPA y SN4#WPA muestra las bandas características del WPA (Figura 5) [23], solapadas en parte con las bandas de la sílice que compone las SNX, ubicadas entre 1200 y 1100 cm-1 (estiramiento del grupo siloxano), 965 cm-1 (estiramiento del grupo Si-OH), 800 cm-1 (estiramiento del grupo Si-O-Si) y a 480 cm-1 (flexión del grupo O-Si-O). Las bandas ubicadas a 982 y 896 cm-1 (estiramiento de W-Oterminal y W-O-W, respectivamente) se observan claramente, lo que indica presencia del anión [PW12O40]3-, como especie mayoritaria.
Como es claro a partir de la Figura 6a, el espectro 31P MAS-NMR de WPA hidratado (H3PW12O40.6H2O) exhibe solo un pico a -15,3 ppm, con un ancho de línea pequeño (0,04 ppm). Este pico se asignó al anión [PW12O40]3- desprotonado [21], que interactúa con las especies H+(H2O)2 [24]. Los espectros de las muestras SN1#WPA y SN4#WPA (Figura 6b-c, respectivamente) presentan dos picos anchos con un máximo de -15,2 y -15,0 ppm, que se atribuyeron a [PW12O40]3- que interactúan con especies H+(H2O)2 (ancho de línea 0,08 ppm) y [H3-XPW12O40]X- (ancho de línea 0,12 ppm), respectivamente [25,26]. En comparación con el WPA, el desplazamiento a menores valores de campo y el aumento del ancho de línea observado pueden atribuirse a la interacción electrostática entre los aniones y los grupos =Si-OH2+ presentes en las nanoestructuras SNX.
A partir de la titulación potenciométrica con n-butilamina, se estimó la fuerza y el número de sitios ácidos presentes en los materiales. El potencial de electrodo inicial (Ei) indica la fuerza máxima de los sitios; y se considera que los valores de Ei > 100 mV corresponden a sitios muy fuertes; valores de E en el rango de 100-0 mV, a sitios fuertes; mientras que valores inferiores a 0 mV, corresponden sitios débiles o muy débiles [27].
El área bajo la curva permite estimar el número de sitios ácidos presentes en el material. Por ejemplo, las curvas de titulación de los materiales SN1#WPA y SN4#WPA revelan la presencia de un número de sitios ácidos (138 y 140 meg w-butilamina/g, respectivamente) mucho mayor que el presente en los materiales SN1 y SN4 utilizados como soportes (27 y 24 meg w-butilamina/g, respectivamente). Estos resultados se presentan en la Figura 7.
Los materiales SN2#WPA, SN3#WPA y SN5#WPA presentaron valores similares para el número de sitios ácidos (136, 139 y 142 meg n-butilamina/g, respectivamente). Sin embargo, los valores de Ei resultaron más elevados para los materiales SNX1#WPA y SNX2#WPA (574 y 474 mV, respectivamente) que para los SN3#WPA, SN4#WPA y SN5#WPA (292, 194 y 192 mV, respectivamente). No obstante, los valores de Ei de todos los SNX#WPA fueron mayores que los obtenidos para los SNX utilizados como soporte del WPA, los cuales se encuentran en el rango de 95 a 85 mV.
En la Tabla 3, se presentan los resultados de los ensayos realizados para evaluar el desempeño catalítico de los materiales preparados como catalizadores en la síntesis de 2,3-difenilquinoxalina, a partir de bencilo y 1,2-fenildiamina. En primer lugar se realizó un ensayo blanco, es decir sin catalizador, en el que se encontró que la completa transformación del bencilo en 2,3-difenilquinoxalina se alcanza luego de 79 h de reacción, como se muestra en la primera entrada de la Tabla 3.
Tabla 3 Resultados de los ensayos de la evaluación de los materiales SNX#WPA en la síntesis de DFQ.

* Tiempo de reacción para la conversión completa de bencilo.
Seguidamente, se evaluó la posible actividad catalítica de las nanoestructuras SNX, a partir de lo cual se encontró que el tiempo requerido para la conversión completa del bencilo se reduce entre un 10 y un 15%, como resultado del bajo número de sitios ácidos en los soportes.
El empleo del ácido tungstofosfórico como catalizador heterogéneo condujo a una disminución sustancial (casi 90%) del tiempo de reacción necesario para la completa conversión del bencilo en 2,3-difenilquinoxalina (Tabla 3, entrada 7). Al emplear como catalizadores cualesquiera de los materiales SNX#WPA, los tiempos de reacción disminuyen aún más. De modo que se logran conversiones completas en tiempos entre 40 y 70 % menores al requerido al utilizar el WPA. Teniendo en cuenta que la acidez del WPA (Ei = 632 mV) es superior a la de todos los materiales SNX#WPA, el mejor desempeño catalítico de estos últimos se atribuye a su mayor superficie específica.
Por otra parte, del análisis del desempeño de los materiales SNX#WPA, surge que, para aquellos con diámetro promedio de poros en el rango 5-7 nm (SN1#WPA y SN2#WPA) y menores valores de SBET (170 y 138 m2/g, respectivamente) la conversión completa se obtiene a tiempos mayores (Tabla 3, entradas 2 y 3) que los involucrados al emplear como catalizadores SN3#WPA, SN4#WPA o SN5#WPA, a pesar de tener sitios ácidos más fuertes que estos últimos.
El mejor desempeño catalítico de los materiales SN3#WPA, SN4#WPA y SN5#WPA es atribuible a la presencia de una estructura mesoporosa bimodal, compuesta principalmente por mesoporos de gran tamaño (centrados en el rango 28-34 nm) que da como resultado un mayor tamaño promedio de poros (DP en el rango 13-15 nm). Aunque los valores de tiempo de reacción son relativamente similares, vemos que decrecen en el siguiente orden: SN5#WPA>SN3#WPA>SN4#WPA, en paralelo con la disminución de los valores de SBET. Así las cosas, los resultados permiten concluir que la existencia de mesoporos grandes y la alta superficie específica son los factores que más influyen en la actividad catalítica de los materiales SNX#WPA.
Los ensayos realizados para evaluar la existencia de solubilización del WPA durante el curso de la síntesis de DFQ (separación del catalizador de la mezcla luego de una hora de reacción) mostraron que la conversión de bifenilo en 2,3-difenilquinoxalina (37,5 %), luego de retirado el catalizador, se mantiene constante hasta completar un tiempo de reacción de 8 h. Adicionalmente, la evaluación de la porción de catalizador recuperada en el ensayo anterior, en un nuevo ensayo de síntesis de DFQ, arrojó resultados similares a los obtenidos para el catalizador fresco (conversión completa de bifenilo en DFQ luego de 2,7 h). Estos resultados permiten concluir que no se produce pérdida apreciable de la fase activa durante la reacción. La determinación de tungsteno mediante espectrofotometría de absorción atómica en el líquido obtenido del ensayo de lixiviación arrojó resultados negativos, lo que permite concluir que el WPA está fuertemente unido a la superficie de las nanoestructuras y no ocurre una lixiviación de la fase activa durante el curso de la reacción.
La evaluación de la reutilización de los materiales sintetizados se realizó separando por filtración el catalizador SN4#WPA, luego de completada la reacción, y secándolo a 80 °C durante una hora. El catalizador recuperado se reutilizó en condiciones de reacción similares a las utilizadas para el catalizador fresco, durante ocho ciclos consecutivos, evaluándose el tiempo necesario para lograr la conversión completa del bifenilo en DFQ. Según puede verse en la Figura 8, el tiempo de reacción aumenta con el número de reutilizaciones. A partir de la quinta reutilización, el aumento es más importante. Sin embargo, si, luego de cada ciclo de uso, el catalizador se lava con el solvente de reacción (a temperatura de reflujo durante una hora) antes de su secado a 80 °C, el tiempo de reacción aumenta hasta la quinta reutilización, para luego mantenerse aproximadamente constante.

Figura 8 Evaluación de la variación de la actividad catalítica del catalizador SN5#WPA en función del número de usos.
El catalizador recuperado (sin lavado entre uso ni reutilización) se caracterizó mediante FTIR, lo cual reveló que su espectro presenta un nuevo conjunto de bandas a 1534, 952 y 752 cm-1 (flexión N-H y a vibraciones C-H aromáticos fuera del plano), asignadas a la presencia de 1,2-fenilamina adsorbida en el catalizador. Adicionalmente, la intensidad de dichas bandas crece al crecer el número de ciclos de uso del SN5#WPA. En el espectro de FTIR del catalizador lavado, las bandas asignadas a la presencia de la 1,2-fenildiamina están aún presentes, aunque su intensidad es menor y no se aprecia incremento importante al aumentar el número de reutilizaciones.
Conclusiones
Se prepararon catalizadores ácidos basados en ácido tungstofosfórico inmovilizado en nanoestructuras esféricas mesoporosas de sílice. Se encontró que la relación OCT/H2O influye en la DTP, la morfología y el tamaño de las nanoestructuras obtenidas. Todos los materiales de SNX#WPA muestran una distribución bimodal de mesoporos. La contribución relativa de los mesoporos pequeños y grandes a la superficie específica y al volumen total de poros de los sólidos puede ajustarse variando la concentración de octano y estireno. En los materiales SN#WPA, la caracterización realizada mediante FTIR y 31P NMR-MAS reveló la presencia de las especies [PW12O40]3- y [H3-XPW12O40]X- sin degradar, que interactúan electrostáticamente con los grupos =Si-OH2 +, presentes en el soporte SNX.
Por su parte, la titulación potenciométrica mostró la presencia de sitios ácidos muy fuertes en los sólidos de SNX#WPA. Los materiales SN3#WPA, SN4#WPA y SN5#WPA fueron los que presentaron los mejores desempeños como catalizadores en la síntesis de DFQ, debido a la combinación de sus propiedades de texturales (mesoporos grandes y alta superficie específica) y ácidas. Los catalizadores preparados son altamente selectivos en la síntesis DFQ, compuesto de interés por sus diversas aplicaciones en química médica y como bloque de construcción de compuestos en la industria farmacéutica, en vista de que pueden ser recuperados y reutilizados sin pérdida apreciable de la actividad catalítica durante al menos ocho ciclos.

















