SciELO - Scientific Electronic Library Online

 
vol.69 issue1Colorimetry characterization for banana accessions of the Germplasm Bank System in ColombiaEffects of vitamin pre-sowing treatment on sweet maize seedlings irrigated with saline water author indexsubject indexarticles search
Home Pagealphabetic serial listing  

Services on Demand

Journal

Article

Indicators

Related links

  • On index processCited by Google
  • Have no similar articlesSimilars in SciELO
  • On index processSimilars in Google

Share


Acta Agronómica

Print version ISSN 0120-2812

Acta Agron. vol.69 no.1 Palmira Jan./Mar. 2020

https://doi.org/10.15446/acag.v69n1.80379 

Artículos Originales

Electrophoretic behavior of ewe milk proteins from local breeds Rembi and Ouled-Djellal of the Algerian central steppe

Comportamiento electroforético de las proteínas de la leche de oveja de las razas locales Rembi y Ouled-Djellal de la estepa central Argelina

Assia Zobiri-Illoul 1  

Benalia Yabrir 2   * 

Abbas Laoun 2  

Abderrahmane Mati 1  

1. University of Mouloud Mammeri, Faculty of Biological and Agronomic Sciences, Department of Biological Sciences, Analytical Biochemistry and Biotechnology Laboratory, Hasnaoua II Campus, Tizi-Ouzou 15000, Algeria.

2.University of Ziane Achour, Faculty of Nature and Life Sciences, Department of Biology, B.P.3117, Djelfa 17000, Algeria.


Abstract

In order to characterize the production of sheep milk in Algeria (North of Africa) and to detect molecular markers related to the constitution of the protein phase of this milk, we proposed to analyze the electrophoretic behaviors of caseins and serum proteins under various migration conditions (native, urea and SDS-PAGE), from milk collected during the first three months of the year, from two breeds Ouled-Djellal and Rembi, living in the central area steppe. The profiles obtained show a great similarity and homogeneity between the different samples of the milk of the two breeds of ewes studied as to the number and intensity of the revealed migration bands. Some of the latter are nevertheless distinguished from cow’s milk by different levels of migration and intensity, which require partial sequencing to be able to identify them with certainty.

Key words: Algerian steppe; electrophoresis; ewe’s breed; ewe’s milk; proteins

Resumen

Para caracterizar la producción e identificar marcadores moleculares relacionados con la constitución de la fase proteica de la leche producida por ovejas de razas Ouled-Djellal y Rembi en la zona central de la estepa de Argelia (Norte de Africa) se analizaron los comportamientos electroforéticos de las caseínas y proteínas séricas en diversas condiciones de migración (nativa, urea y SDS -PAGE). Las muestras de leche fueron recolectadas durante los primeros tres meses del año. Los perfiles obtenidos muestran una alta similitud y homogeneidad entre las diferentes muestras de ambas razas en relación con número e intensidad de las bandas de migración reveladas. No obstante algunos de ellos se distinguen de la leche de vaca por diferentes niveles de migración e intensidad, que requieren de una secuencia parcial para identificarlos con certeza.

Palabras clave: Estepa argelina; electroforesis; raza de oveja; leche de oveja; proteínas

Introduction

The Algerian steppe covers about 20 million hectares and contains an estimated 28.7 million head of sheep (ONS, 2018). This herd is composed mainly of local breeds (Benyoucef, Madani and Abbas, 2000). Ouled-Djellal and Rembi comprise the main ones (Boucif et al., 2007) and represent 63 and 21% of the total sheep population, respectively. Although this livestock is well adapted to the harsh conditions of the environment, milk production remains low, and is used primarily for the breastfeeding of lambs, then consumed as it is or transformed into Djeben (traditional cheese) or Smen (traditional butter). This milk, well appreciated by local populations, has been characterized both microbiologically and physicochemically (Yabrir et al., 2012). This composition varies due to several factors (Yabrir, Hakem (Ex. Akam) and Mati, 2013a), among which breed remains one of the most studied factors. The effect of the breed has been studied on the lipid profile (Yabrir et al., 2016), on the mineral composition (Yabrir et al., 2014) and on the different nitrogen fractions (Yabrir et al., 2013b) of ewe’s raw milk collected in Algerian steppic environment. This work aims to carry out an extension of these studies by focusing on the characterization of the major proteins of milks derived from the two Ouled Djellal and Rembi breeds and to look for specific molecular markers for each of these breeds.

Materials and methods

Sampling

The samples of raw sheep milk analyzed were collected from two dairy breeds, Ouled-Djellal and Rembi, located in the region of Djelfa (300 km south of the capital Algiers). For each breed, three individual milk samples were taken for three months (January, February and March) and three times a month.

Milk skimming

The milk was heated and stirred gently for 10 minutes in a water bath at 30-35 °C to allow the rise of the fat surface, then it was skimmed by centrifugation at 3500 x g for 20 min at 4 °C then filtered through glass wool. The operation was repeated 2 to 3 times.

Isolation of caseins and serum proteins

From the skimmed milk, the caseins were separated from the serum proteins by precipitation at their isoelectric point (pH 4.6) by adding dropwise 4N hydrochloric acid, followed by centrifugation at 4000 x g for 20 min at 25 °C.

The pellet containing the caseins was recovered in a minimal volume of distilled water. This operation was repeated 3 times, in the same way as the supernatant containing the serum proteins, in order to eliminate any trace of contamination after adjusting the pH to 7 by addition of 1N sodium hydroxide and acidification and centrifugation in the same forms. The two major groups of proteins obtained (caseins and whey proteins) were dialyzed (cut-off membrane equal to 10,000 Dalton) for 48 hours at 4 °C. against distilled water, renewed twice a day.

Electrophoretic behavior

The electrophoretic migration of the proteins obtained (total caseins and whey proteins) was carried out under native conditions (native PAGE), or in the presence of dissociating and/or denaturing agents (urea-PAGE or SDS-PAGE).

By applying protocols developed on bovine milk (Laemmli and Favre, 1973; Darling and Butcher, 1975), the electrophoretic migration of ewe’s milk proteins has been monitored and the methods were each time optimized by modifying certain electrophoretic parameters (gel porosity, migration time, amperage, voltage, coloring conditions/discoloration) to have resolving and discriminating profiles.

The electrophoresis was conducted on a system of vertical mini-tanks 10x10 and 10x8cm (Hoefer SE 200) in constant voltage and amperage. After migration, the proteins were fixed with 12% tricholoracetic acid, stained with Coomassie blue and decolorized using water/ methanol/acetic acid mixture.

Native-PAGE

This electrophoresis was performed according to the method of Hillier (1976) with a polyacrylamide gel (T =12%) in 0.75M Tris-HCl buffer, pH 8.9. Samples (2 mg mL-1) were solubilized in 75mM Tris-HCl buffer, pH8.9, containing 10% (v/v) glycerol, and 0.01% (w/v) bromophenol blue.

SDS-PAGE

In this conditions, the method described by Laemmli and Favre (1973) was used with a stacking gel (T = 4%, C = 2.7%) in Tris-HCl buffer, pH 6.8 and a separating gel (T = 17%, C = 2.7%) in Tris-HCl buffer, pH8.8.

In order to calibrate the gel, a pre-colored kit of known molecular weight (MW) proteins was used. It was composed by the 7 following entities: a2-Macroglobulin (180,000 Da); P-Galactosidase (116,000 Da); Lactoferrin (90,000 Da); Pyruvate kinase (58,000 Da); Fumarase (48,500 Da); Lactic dehydrogenase (36,500 Da); Triose-Phosphate Isomerase (26,600 Da). After proteins marker migration a standard curve Log (MW) versus migration distance was traced than the MW of the unknown proteins were calculated by resolving generated equation y =6.6015x + 33.438 ( y: Log (MW) ; x: migration distance).

Urea-PAGE

In native conditions, caseins, because of their micellar structure, were difficult to separate. In this case, dissociating agents such as urea and an S-S bridge reducing agent (P-mercaptoethanol) were used.

The method used was that described by Shalabi and Fox (1987) with a stacking gel (T = 4.8%, C = 2.7%) containing 5.7 mol/l urea and a separating gel T = 13%; C = 4.15%) containing the same concentration of urea. The gel buffers were identical to those of the SDS-PAGE and the migrating buffer was similar to the native-PAGE buffer.

Result and discussion

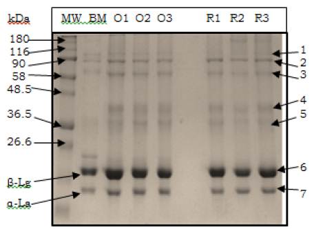
Electrophoretic behavior of serum proteins

In native PAGE, the mobility of protein fractions depends both on their charge and their PM. According to Lin et al. (2010), this method was well-adapted for the separation of serum proteins.

An examination of the electrophoretic diagrams (Figure 1) allowed to drawing two remarks. The first was that the separation profiles obtained show a great deal of similarity and homogeneity between the different samples of the raw sheep milk analyzed. The second showed that some bands were characterized by migration levels similar to those of cow’s milk proteins. The latter migrate into five distinct bands that can be characterized by their electrophoretic mobility as being: Ig, PP, BSA, a-La, and P-Lg, based on the bibliographic data of Egito et al. (2001).

Figure 1 Electrophoregram of whey proteins of ovine milk in native PAGE. BM: Bovine milk; O: Ouled-Djellal breed; R: Rembi breed; (O or R): 1, 2, 3: respectively for the months of January, February and March. 1 to 6: protein bands detected in the different samples. 

The electrophoretic profile obtained for the raw sheep milk analyzed shows the existence of six bands (1 to 6) of which three well focused (4, 5 and 6). Among these, bands 4 and 6 appeared with an identical migration levels to those of BSA and a-La, respectively. While band 5 was between these two proteins. Furthemore, as reported by Pesic et al. (2011b), whey proteins from ovine milk followed the increasing order of electrophoretic mobility: SA, a-La and P-Lg and the migration level of the last two proteins was lower than that found in bovine milk. This leaded us to hypothesize that the bands 4, 5 and 6 might correspond respectively to SA, a-La and P-Lg. However, confirmation requires the isolation of each fraction and the sequencing of their N-terminal part.

Although ovine P-Lg showed two major variants P-LgA and P-LgB (Amigo et al., 1992; Mayer, 2005; Pesic et al., 2011a and b), these appear only in the form of a single intense band whose electrophoretic mobility was similar to that of the bovine a-La. This observation is in agreement with the results obtained by the latter authors. The highlighting of these two bands may be possible using other techniques such as isoelectrofocusing (Amigo et al., 1992; Moatsou et al., 2005), capillary electrophoresis (Recio et al., 1997), chromatofocusing (Fernandez-Espla, Lopez-Galvez, and Ramos, 1993). With the highest electrophoretic mobility compared to all other proteins, bovine P-Lg was targeted on PAGE-native to detect a possible adulteration of ovine with bovine milk (Pesic et al., 2011a).

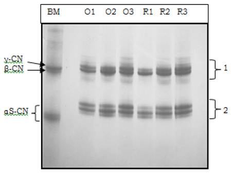
Electrophoretic behavior of caseins

Due to their micellar structures and interactions of their groups, electrophoretic separations of caseins require the utilization of agents dissociating hydrogen bonds (such as urea) and S-S bridge reducers (such as 2-mercaptoethanol). In bovine milk, four well separated casein bands were distinguished in the profiles of urea-PAGE. Starting from the deposition and based on their electrophoretic mobility (Pesic et al., 2011a), these bands corresponded to y-CN, P-CN, aS2- CN and aS1-CN.

Regardless of breed and sampling period, sheep caseins migrate in five bands of high intensity divided into two distinct zones: zone 1 with two bands and zone 2 with 3 bands (Figure 2). The first zone was located at the boundaries of y-CN and P-CN bovines while the second zone was characterized by a lower electrophoretic mobility than aS bovine caseins. This same behavior was observed by Dall’Olio, Davoli and Russo (1990) and Moatsou et al. (2004). Pesic et al. (2011a) report that k-CN and P-CN were characterized by the same electrophoretic mobility in the milk of the three species (sheep, goat and cattle) and the ovine aS-CN showed a lower migration with greater bands intensity than caprine and bovine milks. The migration of sheep caseins investigated by Dall’Olio et al. (1990) in the decreasing order of mobility was: k-CN, P-CN+k-CN, aS1-CN and aS2-CN. Whereas for Trujillo, Casals and Guamis (2000), the order was of type k-CN, as2-CN, as1-CN and P-CN. While, Recio et al. (1997) and Clement, Agboola and Bencini (2006), were referred to the following migration order of ovine caseins: aS2-CN, aS1-CN, k-CN and P-CN.

Figure 2.  Electrophoregram of caseins of ovine milk in PAGE-uree. BM: Bovine milk; O: Ouled-Djellal breed; R: Rembi breed; (O or R):1, 2, 3: respectively for the months of January, February and March. 1 and 2: distinct areas of protein found in different samples. 

According to the electrophoretic mobility in urea-PAGE, Dall’Olio et al. (1990) and Moatsou et al. (2004) notes that sheep caseins aS and P were migrated in two distinct groups: P-CNs (with two bands called P1 and P2 caseins) and aS-CNs (with three bands named aS1, aS2 and aS3-CN according to their electrophoretic mobility). Mayer (2005) notes that bovine aS1-CN can be used as a marker to identify the presence of cow milk in sheep or goat milk.

Behavior of serum proteins and caseins in SDS-PAGE

Under this denaturing and dissociating conditions with sodium dodecyl sulfate as detergent, the ovine whey proteins of our samples were homogeneous for the six visualized bands (indicated from 1 to 6) (Figure 3). Three bands (2, 6 and 7) were intense with a migration levels similar to those observed for bovine SA, P-Lg and a-La. Bands 1 and 3 were characterized by the lower electrophoretic mobility which can corresponded to sheep lactoferrin and/or immunoglobulins belonging to two different classes based on calculated and theoretical PM and referring to bibliographic data. Bands 4 and 5 corresponded to caseins (low casein contamination).

Figure 3 Electrophoregram of serum proteins of ovine milk in PAGE-SDS. MW: Molecular weight (proteins marker); BM: Bovine milk; O: Ouled-Djellal breed; R: Rembi breed; (O or R):1, 2, 3: respectively for the months of January, February and March. 1 to 7: protein bands detected in the different samples 

The profiles obtained for serum proteins in SDS-PAGE were consistent with those obtained by Pelmus et al. (2012) by examining the protein polymorphism of sheep milk from the local Romanian breed. These authors also note that sheep proteins showed a low electrophoretic mobility, both for serum proteins and for caseins, compared with bovine proteins.

For caseins, four bands were observed in the electropherogram obtained for the different samples of raw sheep milk collected in the region of Djelfa. These bands, noted 1 to 4 according to their increasing electrophoretic mobility, were well focused but with varying intensities (Figure 4). Vairo Cavali et al. (2008) report that these bands corresponded respectively to aS2-CN, aS1-CN, P-CN and k-CN. Nevertheless, the presence of k-CN was difficult to identify (Calavia & Burgos, 1998).

Figure 4 Electrophoregram of caseins of ovine milk in PAGE-SDS. MW: Molecular weight (proteins marker); BM: Bovine milk; O: Ouled-Djellal breed; R: Rembi breed;(O or R):1,2, 3: respectively for the months of January, February and March. 1 to 4: protein bands detected in the different samples 

Molecular weights of isolated proteins

The measured molecular weights (Table 1 and 2) of ovine proteins of milk samples collected from breeds Ouled-Djellal and Rembi corresponded globally to those reported by different authors. but not corresponded to those reported by Ameur Ameur et al. (2016). Similarly, any major differences in the MW of proteins between the samples of these two breeds were detected. However, the slight variations detected might be due to genetic differences in the dairy females considered.

Table 1 Molecular weight (Da) of whey proteins in ovine milk compared to those of bovine milk. 

*Ig: immunoglobulin , SA: serum -albumin, PP: proteose-peptone, Ig:

lactoglobulin, La: lactalbumin.

Table 2 Molecular weights (Da) of ewe milk casein's compared with those of bovine milk. 

CN : casein.

Conclusion

The aim of this work was to situate the level of similarities and singularities of the protein fraction of milk from dairy breeds Rembi and Ouled-Djellal of the central steppe of Algeria. The analysis of the caseins and whey proteins under several conditions showed a pattern with great similarity and homogeneity between the different milk samples, regardless of the period during which the milk was collected. The electrophoretic profiles obtained revealed the presence of homologues to major bovine proteins with some differences in electrophoretic mobility, linked to the presence of structural features (composition and arrangement of amino acids, nature and size of prosthetic groups) of these proteins.

Further investigations had been explored as a follow-up to this preliminary study to highlight the nature of these proteins and the post translational modifications they contain.

Acknowledgments

The authors would like to acknowledge miss L. Bouadjla for her technical assistance.

References

Ameur Ameur, A.; Benyoucef, M. T.; Amrani, M.; Gaouar, S. B. S. 2016. Milk protein polymorphism study in the Algerian sheep breed Hamra. Agri-BioTech., IABC, 22, 1360-1365. http://www.jnsciences.org/agri-biotech/41-volume-special-conference-iabc-2015.html?start=21. [ Links ]

Amigo, L.; Ramos, M.; Calhau, L.; Barbosa, M. 1992. Comparison of electrophoresis, isoelectric focusing, and immunodiffusion in determinations of cows’ and goats’ milk in Serra da Estrela cheese. Lait, 72, 95-101. https://doi.org/10.1051/lait:199217. [ Links ]

Benyoucef, M.T.; Madani, T.; Abbas, K. 2000. Système d’élevage et objectifs de sélection chez les ovins en situation semi-aride algérienne. CIHEAM-Option Méditerranéennes, Série A 43, 101-109. http://om.ciheam.org/article.php?IDPDF=600474. [ Links ]

Boucif, A.; Azzi, N.; Tainturier, D.; Niar, A. 2007. Seasonal variation of reproductive parameters in two local breeds of Algerian rams. Renc. Rech. Ruminants, 14, 380. http://www.journees3r.fr/ IMG/pdf/2007_09_reproduction_14_Boucif.pdf. [ Links ]

Calavia, M. C.; Burgos, J. 1998. Ovine K-casein in milk from Lacha Spanish sheep: Heterogeneity and total content. Int. Dairy J., 8, 779-786. https://doi.org/10.1016/S0958-6946(98)00117-4. [ Links ]

Cheftel, J. C.; Cuq, J. C. ; Lorient, D. 1985. Protéines Alimentaires: Biochimie-propriétés fonctionnelles - valeur nutritionnelle-modifications chimiques. Paris, France: Lavoisier (eds.). p. 310. [ Links ]

Clement, P.; Agboola, S. O.; Bencini, R. 2006. A study of polymorphism in milk proteins from local and imported dairy sheep in Australia by capillary electrophoresis. LWT-Food Sci. Tech., 39, 63-69. https://doi.org/10.1016/jMwt.2004.11.004. [ Links ]

Dall’olio, S.; Davoli, R.; Russo V. 1990. Affinity chromatography of ovine casein. J. Dairy Sci., 73, 1707-1711. https://doi.org/10.3168/jds.S0022-0302(90)78847-9. [ Links ]

Darling, D. F.; Butcher, D. W. 1975. Quantification of polyacrylamide gel electrophoresis for analysis of whey proteins. J. Dairy Sci ., 59 (5), 863-867. https://doi.org/10.3168/jds.S0022-0302(76)84289-0Links ]

Egito, A. S.; Girardet, J.M.; Miclo, L.; Gaillard, J. L. 2001. Highly sensitive periodic acid/Schiff detection of bovine milk glycoproteins electrotransferred after nondenaturing electrophorsis, and isoelectric focusing. Lait , 81, 775-785. https://doi.org/10.1051/lait:2001104. [ Links ]

Farrel, H. M.; Jimenez-Flores, R.; Bleck, G. T.; Brown, E. M.; Butler, J. E.; Creamer, L. K.; Hicks, C. L.; Hollar, C. M.; Ng-Kwai-Hang, K. F.; Swaisgood, H. E. 2004. Nomenclature of the proteins of cow’s milk- sixth revision. J. Dairy Sci ., 87(6), 1641-1674. https://doi.org/10.3168/jds.S0022-0302(04)73319-6. [ Links ]

Fernandez-Espla, M. D.; Lopez-Galvez, G.; Ramos, M. 1993. Isolation of ovine p-lactoglobulin genetic variants by chromatofocusing: heterogeneity of p-lactoglobulin A. Chromatographia, 37 (1/2), 43-46. https://doi.org/10.1007/BF02272186. [ Links ]

Hernandez-Ledesma, B.; Ramos, M.; Gomez-Ruiz, J. A. 2011. Bioactive components of ovine and caprine cheese whey. Small Rumin. Res., 101, 196-204. https://doi.org/10.1016/j7smallrumres.2011.09.040. [ Links ]

Hillier, R. M. 1976. The quantitative measurement of whey proteins using polyacrylamide gel electrophoresis. J. Dairy Res., 43, 259-265. https://doi.org/10.1017/S0022029900015818. [ Links ]

Laemmeli, U. K.; Favre, H. 1973. Maturation of head bacteriophage T4. I. DNA packaging events. J. Mol. Biol., 80, 575-599. https://doi.org/10.1016/0022-2836(73)90198-8. [ Links ]

Lin, S.; Sun, J.; Cao, D.; Cao, J.; Jiang, W. 2010. Distinction of different heat-treated bovine milks by native-PAGE fingerprinting of their whey proteins. Food Chem., 121, 803-808. https://doi.org/10.1016/j.foodchem.2009.12.088. [ Links ]

Mayer, H. K. 2005. Milk species identification in cheese varieties using electrophoretic, chromatographic and PCR techniques. Int. Dairy J ., 15, 595-604. https://doi.org/10.1016/j7idairyj.2004.10.012. [ Links ]

Moatsou, G.; Samolada, M.; Katzabeki, A.; Anifantakis, E. 2004. Casein fraction of ovine milk from indegenous Greek breeds. Lait , 84, 285-296. https://doi.org/10.1051/lait2004006. [ Links ]

Moatsou, G.; Hatzinaki, A.; Samolada, M. & Anifantakis, E. 2005. Major whey proteins in ovine and caprine acid wheys from indigenous Greek breeds. Int. Dairy J ., 15, 123-131. https://doi.org/10.1016/j7idairyj.2004.06.005. [ Links ]

ONS (National Office of Statistics). 2018. “Production Agricole (2017-2018).” http://www.ons.dz/IMG/pdf/E.Production_Agricole2017-2018.pdfLinks ]

Pelmus, R. S.; Pistol, G. C.; Lazar, C.; Marin, D. E.; Gras, M.; Radu, M.; Ghita, E. 2012. Preliminary study on .milk composition and milk protein polymorphism in the Romanian local sheep breed Teleorman Black Hrad Tsigai. Rom. Biotech. Lett., 17 (5), 7582-7591. https://www.researchgate.net/publication/234653788Links ]

Pesic, M. B.; Barac, M. B.; Vrvic, M. M.; Ristic, M. M.; Macej, O. D.; Stanojevic, S. P.; Kostic, A. Z. 2011a. The distributions of major whey proteins in acid wheys obtained from caprine/bovine and ovine/ bovine milk mixtures. Int. Dairy J ., 21, 831-838. https://doi.org/10.1016/j.idairyj.2011.04.002. [ Links ]

Pesic, M. B.; Barac, M.; Vrvic, M.; Ristic, N.; Macej, O.; Stanojevic, S. 2011b. Qualitative and quantitative analysis of bovine milk adulteration in caprine and ovine milks using native-PAGE. Food Chem ., 125, 1443-1449. https://doi.org/10.1016/j7foodchem.2010.10.045. [ Links ]

Recio, I.; Perez-Rodriguez, M. L.; Ramos, M.; Amigo, L. 1997. Capillary electrophoretic analysis of genetic variant of milk proteins from different species. J. Chromatogr. A, 768, 47-56. https://doi.org/10.1016/S0021-9673(96)00889-8. [ Links ]

Shalabi, S. I.; Fox, P. F. 1987. Electrophoretic analysis of cheese, comparison of methods. J. Food Sci. Tech., 11, 135-151. https://www.jstor.org/stable/25558164. [ Links ]

Trujillo, A. J.; Casals, I.; Guamis, B. 2000. Analysis of major ovine milk proteins by reversed phase high-performance liquid chromatography and flow injection analysis with electrospray ionization mass spectrometry. J. Chromatogr., 870, 371-380. https://doi.org/10.1016/S0021-9673(99)01097-3. [ Links ]

Vairo Cavalli, S.; Silva, S. V. ; Cimino, C. ; Malcata, F. X. & Priolo, N. 2008. Hydrolysis of caprine and ovine milk proteins, brought about by aspartic peptidases from Silybum marianum flowers. Food Chem ., 106, 997-1003. https://doi.org/10.1016/j7foodchem.2007.07.015. [ Links ]

Yabrir, B.; Hakem (Ex. Akam), A.; Laoun, A.; Labiad, M.; El-Gallas, N.; Hamadi, A.; Mati, A. 2012. Does the aridity of Algerian steppe affect the ewe’s raw milk quality? Bulletin UASVM, Vet. Med., 69(1-2), 282- 291. http://journals.usamvcluj.ro/index.php/veterinary/article/view/8851/7493Links ]

Yabrir, B.; Hakem (Ex. Akam), A.; Mati, A. 2013a. Factors affecting milk composition of Algerian ewe reared in central steppe area. Sci. J. Anim. Sci., 2(8), 215-221. http://sjournals.com/index.php/SJAs/article/view/901/pdfLinks ]

Yabrir, B.; Hakem (Ex. Akam), A.; Laoun, A.; Labiad, M.; Attia, H.; Mati, A. 2013b. Composition and Nitrogen Distribution of Ouled-Djellal and Rumbi Algerian Ewe’s Milk. Adv.J. Food Sci. Tech ., 5(9), 1220-1226. http://dx.doi.org/10.19026/ajfst.5.3086. [ Links ]

Yabrir, B.; Hakem, A.; Mostefaoui, A.; Titouche, Y.; Bouzidi, A.; Mati, A. 2014. Nutritional Value of Algerian Breed Ewe’s Milk Related to its Mineral Content. P. J. N., 3(3), 176-180. 10.3923/pjn.2014.176.180. [ Links ]

Yabrir, B.; Labiad, M.; Mostefaoui, A.; Hakem, A.; Titouche, Y.; Gaucheron, F.; Mati, A. 2016. Profils en acides gras libres, cholestérol et indices lipidiques du lait cru ovin issu de deux races algériennes (Ouled-Djellal et Rumbi) collecté en milieu steppique. Biotechnol. Agron. Soc., 20 (1), 17-24. http://www.pressesagro.be/ojs/index.php/base/article/view/1539/793Links ]

Received: June 13, 2019; Accepted: February 17, 2020

* Author for correspondence: byabrir@yahoo.fr

Creative Commons License This is an open-access article distributed under the terms of the Creative Commons Attribution License