Services on Demand
Journal
Article
Indicators
-
Cited by SciELO -
Access statistics
Related links
-
Cited by Google -
Similars in
SciELO -
Similars in Google
Share
Revista de la Facultad de Medicina Veterinaria y de Zootecnia
Print version ISSN 0120-2952
Rev. Med. Vet. Zoot. vol.57 no.2 Bogotá May/Aug. 2010
EFECTO DE LA ADICIÓN DE NITRATOS A LA DIETA SOBRE LA MORTALIDAD DE POLLOS BROILER
 EFFECT OF NITRATE ADDITION IN FOOD ON CHICKEN BROILER MORTALITY
C. Orozco Sanabria*, M. Rojas Barreto
Departamento de Ciencias para la Salud Animal,
Facultad de Medicina Veterinaria y de Zootecnia,
Universidad Nacional de Colombia sede Bogotá.
*caorozcos@unal.edu.co
Recibido: abril 8 de 2010; aprobado: agosto 30 de 2010
RESUMEN
Objetivos: este estudio investigó el efecto de la adición de nitratos en la dieta sobre la mortalidad de pollos broiler. Materiales y métodos: se utilizaron 100 pollos de estirpe ross de un día de nacidos, divididos aleatoriamente en cuatro grupos. Se cuantificó el contenido de nitratos en el pienso comercial y el agua de bebida por una técnica colorimétrica basada en la nitridación del ácido sulfúrico. Los sujetos experimentales de los cuatro grupos recibieron pienso y agua ad libitum en las cantidades recomendadas para pollos broiler. Los animales de tres de los grupos recibieron nitrato de sodio adicional en el agua de bebida. La adición de nitrato fue 1, 2 ó 3 veces la concentración hallada en el pienso. Resultados: la adición de nitrato en el agua de bebida resultó en aumento de la mortalidad en relación dosis dependiente con la concentración adicionada. El análisis patológico realizado el último día del ciclo a los animales sobrevivientes de cada uno de los grupos experimentales demostró que aquellos expuestos a las mayores adiciones de nitrato presentaron lesiones compatibles con el síndrome ascítico. Adicionalmente, los hallazgos de necropsia en los animales que fallecieron durante el experimento mostraron lesiones compatibles con enfermedades infecciosas y con la enfermedad de edema aviar. Conclusiones: los resultados de este estudio sugieren que el consumo de nitratos representa un factor determinante para el aumento de la mortalidad en las explotaciones avícolas.
Palabras clave: nitratos, broiler, ascitis.
ABSTRACT
Aim: This study investigated the effect on broiler chickens mortality by addition of nitrate intake.Materials and methods: One hundred (100), one day old ross chickens were used, and randomly assigned into 4 groups. The nitrate contents in food and drinking water was quantified by means of a colorimetric technique based on the sulfuric acid nitridation. The recommended amount of food for broiler chickens and water ad libitum were delivered for the animals of the four (4) experimental groups. Sodium nitrate was added in the drinking water for the animals of groups 1, 2, and 3. The nitrate added in water was 1, 2 and 3 times the nitrate concentration found in food. Results: The additional nitrate intake showed a dose-dependent mortality increase. Pathological study was done on the last day of the cycle for the surviving animals from each one of the experimental groups. This showed that the animals exposed to higher intake of nitrate had lesions compatible with ascitic syndrome. Additionally, necropsy findings during the experiment were compatible with infectious pathologies and avian edema disease. Conclusions: results from this study suggest that nitrate intake is a determinant factor in the avian mortality increase.
Key words: nitrates, broiler, ascites.
INTRODUCCIÓN
Los nitratos (NO3-) y los nitritos (NO2-) son productos biológicos de gran importancia en la fisiología vegetal. Las plantas absorben nitrógeno del suelo y lo almacenan en forma de nitritos y nitratos para utilizarlos en su metabolismo proteico en hojas y frutos (1). La cantidad de nitratos que cada planta acumula depende de la especie vegetal a la cual pertenece, el tipo de suelos donde crece, las condiciones climáticas y el periodo de desarrollo en el que se encuentra la planta (2, 3). Por ello, es posible considerar que los cereales utilizados como materia prima para la fabricación del pienso pueden representar una fuente importante deNO2 yNO3 para los pollos broiler mantenidos en las condiciones habituales de las explotaciones avícolas comerciales.
En animales rumiantes y no rumiantes, los NO3 son reducidos a NO2 gracias al metabolismo de microorganismos presentes en la flora ruminal e intestinal (4). Así, estos iones son absorbidos desde el tracto gastrointestinal y distribuidos por medio del torrente sanguíneo para iniciar su acción tóxica sobre varios sistemas; por ejemplo, inician una acción oxidante sobre el hierro ferroso de la hemoglobina, lo que conduce a un proceso metahemoglobinizante (5). También, estas moléculas pueden competir con el yodo en el proceso de reabsorción por las células tiroideas, de manera que afectan la función de la glándula tiroides y, por ello, han sido relacionadas con hipotiroidismo (6). En aves, el consumo de nitratos y nitritos también ha sido relacionado con procesos inmunodepresores, alteraciones del funcionamiento hepático y renal, además del efecto metahemoglobinizante (7). Este estudio comprobó la presencia de NO3 y NO2 en la dieta que se ofrece a los pollos broiler, y analizó el efecto de la ingesta de concentraciones crecientes de nitrato sobre la mortalidad de los broiler mantenidos en condiciones estándar de producción.
MATERIALES Y MÉTODOS
Animales experimentales y programa de producción. El estudio fue desarrollado en una granja de producción avícola localizada en la vereda "La aguadita" (temperatura promedio de 18 ºC y ubicada a 1.700 msnm) del municipio de Fusagasugá en el departamento de Cundinamarca, Colombia. Se utilizaron 100 pollos de estirpe ross de un día de nacidos, divididos aleatoriamente en 4 grupos (0, 1, 2 y 3), con 25 individuos por grupo. Los cuatro grupos experimentales recibieron la misma cantidad de pienso y agua, los cuales fueron administrados ad libitum, en las cantidades recomendadas para una explotación avícola. Durante las semanas 1, 2 y 3 se suplió el alimento conocido como "iniciación" y entre las semanas 4, 5 y 6 "finalización". La temperatura y el resto de factores ambientales del galpón fueron manejados en condiciones estándar de producción.
Adición de nitrato a la dieta. El grupo 0 o control consumió solo el nitrato contenido en el pienso. Los animales de los grupos 1, 2 y 3, recibieron nitrato de sodio adicional en el agua de bebida. La adición de nitrato fue 1, 2 ó 3 veces la concentración hallada en el pienso. Así, el número que identifica a cada grupo también indica el factor de la concentración de nitrato que se adicionó en el agua de bebida.
Medición de nitratos en el pienso y el agua. Para medir la concentración de nitratos y nitritos presentes en el pienso y en el agua de bebida (utilizada como base para calcular la adición de nitrato), se utilizó una modificación de la técnica colorimétrica consistente en la nitridación del ácido salicílico (8). Muestras de pienso de cuatro marcas comerciales fueron procesadas para determinar el contenido de nitratos, como se describe a continuación: 1 g de pienso macerado fue disuelto en 10 ml de agua bidestilada, esta solución se incubó a temperatura ambiente por 30 min y se filtró con papel filtro Waltman 42 para extraer el contenido de nitratos. A continuación, la reacción de color se hizo evidente 30 min después de mezclar alícuotas de los filtrados con el reactivo a (ácido salicílico 8% en ácido sulfúrico concentrado) y con el reactivo B (hidróxido de sodio 2.5n). Finalmente, la absorbancia de las soluciones a 410 nm fue determinada contra una solución blanco; los valores de absorbancia obtenidos de las muestras se interpolaron al eje de concentración en una curva de calibración para nitratos previamente estandarizada, y los resultados del análisis fueron reportados en partes por millón (ppm).
Necropsia y toma de muestras. Los animales fallecidos durante el periodo experimental fueron sometidos a estudio patológico por necropsia para determinar la causa de su muerte. Según estos resultados, los animales fallecidos fueron clasificados en dos grupos: subgrupo a, animales fallecidos con cambios patológicos coincidentes con edema aviar, y subgrupo B, animales fallecidos por causas infecciosas. Ninguno de los animales incluidos en el subgrupo B presentó cambios coincidentes con alguno de los cambios que ocurren en el cuadro de edema aviar. La mortalidad general es el resultado de la suma de los animales de los subgrupos a y B. Durante el proceso de necropsia se tomaron muestras de distintos órganos (hígado, riñón, pulmón, corazón y tiroides) para ser procesadas y analizadas histológicamente. De igual manera, el último día del ciclo (día 42), se sacrificaron animales aparentemente sanos de cada uno de los grupos y fueron sometidos al mismo análisis patológico.
Análisis estadístico. Los datos de concentración de nitratos fueron expresados como promedio ± S.D. De la concentración hallada en un mínimo de cuatro análisis de cada muestra. La mortalidad fue expresada en porcentaje y fue corregida por supervivencia. E análisis estadístico se realizó comparando las mortalidades corregidas de cada uno de los grupos experimentales con el grupo control, mediante la prueba de análisis de varianza chi cuadrado (p≤0,05). Adicionalmente, el coeficiente de correlación fue determinado entre mortalidad y dosis acumulada de nitratos.
RESULTADOSConcentraciones de nitrato en pienso y agua. En la tabla 1 se muestran los resultados de la determinación de nitratos en el pienso de "iniciación y finalización" de cuatro marcas comerciales de pienso para pollos broiler. El pienso identificado como Marca 1 fue el ofrecido a los animales durante el estudio. El análisis del agua ofrecida para la bebida arrojó como resultado concentraciones no detectables de nitratos.
TABLA 1. Concentración de nitratos presentes en el pienso
Mortalidad. La mortalidad general para el grupo control o número 0 (sin adición de nitrato), y para el grupo 1 (adición más baja de nitrato) fue del 8,1% (tabla 2). La mortalidad general observada en los grupos 2 y 3, los cuales recibieron las mayores adiciones de nitrato, fue significativamente superior (31,1 y 40,3% respectivamente) que aquella descrita para el grupo control y grupo 1 (p<0,001). Por otra parte, el análisis de mortalidad de los subgrupos a y B, demostró que la muerte relacionada con cambios patológicos sugerentes de infección y con cambios patológicos relacionados con el síndrome de edema aviar fue significativamente mayor en los grupos expuestos a las mayores adiciones de nitrato.
TABLA 2. Tasa de mortalidad por semana y acumulada
La tabla muestra la mortalidad por semana y acumulada para cada uno de los grupos. También se señala la mortalidad por subgrupos para cada uno de los tratamientos. La mortalidad fue corregida por supervivencia y es expresada en porcentaje (%).
Resultados patológicos. Los animales fallecidos en todos los grupos experimentales, durante las tres primeras semanas de estudio, presentaron cambios patológicos tales como: aspecto cianótico, retención del saco vitelino, hígado de color mostaza, enteritis y rastros de heces alrededor de la cloaca (datos no mostrados), los cuales probablemente se ajustan a la descripción de cambios en casos de colibacilosis, y se encuentran incluidos en el subgrupo B. Como se observa en la tabla 2, los grupos 2 y 3 presentaron un aumento de la mortalidad, probablemente relacionada con causas infecciosas en la relación dosis dependiente respecto al consumo de nitrato. Posterior a este periodo, en los pollos muertos no se observaron cambios patológicos que hicieran sospechar de muerte por causas infecciosas.
FIGURA 1. Corazón de pollo fallecido por edema aviar.
La fotografía muestra un corte transversal realizado 2 cm por arriba del apex cardiaco.
Obsérvese la marcada dilatación del ventrículo derecho.
A partir de la quinta semana los animales fallecidos presentaron cambios patológicos coincidentes con el síndrome de edema aviar (9) y fueron incluidos dentro del subgrupo a; dichos cambios consistieron en abdomen pendulante, ascitis, acumulación de fibrina en la cavidad abdominal, hidropericardio, dilatación ventricular derecha, disminución del grosor de la pared del ventrículo derecho, pulmones y riñones congestionados y edematosos. Al igual que en el subgrupo B, las mayores concentraciones de nitratos lograron inducir un incremento de la mortalidad. La figura 1 muestra un corte del corazón de uno de los pollos fallecidos con cambios patológicos coincidentes con edema aviar.
La necropsia de los animales aparentemente sanos, sacrificados el último día del ciclo (día 42), permitió identificar un aumento del tamaño del ventrículo derecho, que fue más evidente en los pollos que consumieron la mayor concentración de NO2 (figura 2). El análisis histológico de los cortes de pared ventricular de los animales aparentemente sanos del grupo 3 (datos no mostrados), mostró un incremento en el diámetro de las fibras musculares (hipertrofia) las cuales en algunas zonas llegaron a alcanzar hasta 100-120 µm de diámetro. Las fibras musculares de los animales del grupo 0 tuvieron un diámetro promedio de 37 +/-8,5 µm, sin pérdida de miofibrillas ni de estriaciones, lo cual sugiere el efecto de una sobrecarga cardiaca derecha de tipo crónico con posibilidad de una manifestación clínica como falla ventricular.
FIGURA 2. Corazones de animales aparentemente sanos de los grupos 0, 1, 2 y 3.
La fotografía muestra cortes transversales realizados 2 cm por arriba del ápex cardiaco.
Nótese de la dilatación ventricular derecha evidente en aquellos corazones provenientes de animales de los grupos 2 y 3.
De izquierda a derecha control, grupo 1, grupo 2 y grupo 3.
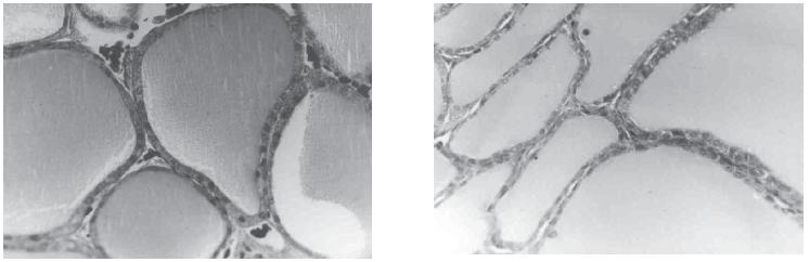
De la misma manera, en los individuos sacrificados se pudo observar aumento del tamaño de la glándula tiroides, el cual guarda relación con la dosis de nitrato administrada, pues los individuos del grupo que consumió la mayor dosis de nitrato presentaron el mayor tamaño glandular. El análisis histológico de las muestras procedentes de estos animales demostró la aparición de cambios relacionados con la dosis de nitrato consumida. En la glándula tiroides de los animales del grupo 3, se observó una disminución del coloide con un cambio estructural de las células foliculares, que pasaron de cúbicas a planas (figura 3). En órganos como pulmón, riñón e hígado, de los animales aparentemente sanos, no se observaron cambios patológicos.
FIGURA 3. Glándula tiroides de pollos aparentemente sanos. La fotografía de la derecha muestra un corte histológico de glándula tiroides de un pollo aparentemente sano del grupo 3. Nótese el aplanamiento del epitelio glandular en las muestras de tiroides de los individuos que sobrevivieron a todo el ciclo del grupo 3 (derecha) al compararlo con la muestra obtenida de la glándula tiroides de los animales sobrevivientes del grupo 0. Tricrómica de Masson. 435 X.
Relación dosis acumulada frente a mortalidad. Para calcular la dosis promedio acumulada por animal se valoró el consumo promedio de alimento y agua para cada pollo. Así pues, se calculó el consumo diario de nitrato considerando el contenido de nitrato en el pienso y el agua de bebida para cada uno de los grupos. La correlación de dosis promedio acumulada por animal (semana 6) con la tasa de mortalidad general, mostró asociación significativa entre el factor considerado y la mortalidad general (r = 0,95), de tal manera que la ingestión de cantidades crecientes de nitrato parece reflejarse en el incremento proporcional de la mortalidad general (figura 4).
DISCUSIÓN
Uno de los principales hallazgos de este trabajo es que los nitratos y los nitritos están presentes de manera habitual en la dieta de los pollos broiler, y que sus concentraciones en el pienso que se les ofrece a estas aves en las explotaciones comerciales son altamente variables. Es probable que la razón de esta gran variabilidad esté relacionada con las condiciones de manejo del cultivo de los cereales y de la influencia climática y ambiental presente en las zonas de donde es obtenida esta materia prima (2, 3). La gran variabilidad de los resultados que pretendían comparar la cantidad de nitratos presentes en muestras de distintas marcas comerciales de pienso permite concluir, por una parte, que las concentraciones utilizadas en este estudio son posibles en condiciones normales, y por otro lado, que los resultados observados en este trabajo sobre la mortalidad de los pollos broiler pueden tener una relevancia real sobre las explotaciones avícolas.
al correlacionar la dosis promedio acumulada de nitratos por animal para cada grupo con la tasa de mortalidad general acumulada durante el ciclo (figura 4), se encontró correlación significativa (r = 0,95), entre el factor considerado y la mortalidad general acumulada, de tal manera que la ingestión de cantidades crecientes de nitrato se refleja en un incremento proporcional en la mortalidad general. Esto sugiere que el consumo de nitratos es capaz de incrementar, de manera proporcional a la dosis, la mortalidad de los pollos broiler, y que en las condiciones de producción avícola utilizadas en este estudio, la ausencia de nitrato en la dieta de las aves podría resultar en mortalidad cercana a cero.
FIGURA 4. Mortalidad general acumulada. La gráfica muestra la relación entre la dosis promedio
acumulada por animal al final de la semana 6 y la tasa de mortalidad general para cada grupo.
Según los resultados del presente trabajo, parece que los nitratos pueden influir sobre la mortalidad de los pollos broiler, en primera instancia, al inducir, por una parte, mayor sensibilidad a las infecciones y, por otra, la aparición de signos compatibles con el síndrome de edema aviar. Como se anotó, la mortalidad por causas infecciosas tuvo un aumento drástico en aquellos grupos que recibieron las más altas dosis de nitratos; este fenómeno puede ser explicado por un mecanismo que sugiere que el nitrato y el nitrito causan una disminución de la eficacia de los mecanismos de defensa, basado en la evidencia de disminución del peso del timo y la Bursa de Fabricio, además de la disminución de la respuesta celular específica a agentes que causan un estímulo inmune (7). En el caso del presente estudio se puede especular que los animales del subgrupo B fueron inmunodeprimidos debido al efecto del nitrato, lo que los hizo más susceptibles a las enfermedades infecciosas o a reacciones posvacunales.
El posible efecto inductor del síndrome ascítico, por parte de los nitratos y los nitritos, puede estar relacionado con algunos mecanismos de acción que confluyen en el desarrollo de la fisiopatología; sin embargo, es poco probable que el efecto metahemoglobinizante de los nitratos, al generar una disminución de la capacidad sanguínea para captar oxígeno, pueda representar un estímulo que aumente la presión arterial pulmonar (10, 11). Por ello, es necesario desarrollar nuevos trabajos que estudien con profundidad la capacidad de los nitratos y los nitritos para inducir la hipertensión arterial pulmonar.
Los resultados de la necropsia y la histopatología practicada a los animales sacrificados en el último día del ciclo, concuerdan parcialmente con los hallazgos macroscópicos descritos en los individuos que fallecieron por síndrome ascítico, por tanto, es posible sugerir que el consumo de nitratos puede inducir un cuadro subclínico, no mortal, con manifestaciones anatomopatológicas, como afección de la función cardiaca y de la circulación pulmonar, sin manifestaciones clínicas severas como en los animales fallecidos por edema aviar. Es posible que el aumento del tamaño del ventrículo derecho y la hipertrofia del mismo puedan estar asociados al efecto del sodio que hace parte de la molécula de nitrato (nitrato de sodio). No obstante, aunque por mucho tiempo se ha asociado al sodio con la hipertensión arterial, ya que este aumenta la cantidad de líquidos retenidos y como consecuencia causa hipertensión pulmonar secundaria y cardiomegalia, es poco probable que este ion sea el responsable de lo observado en este trabajo. Este factor generador de hipertensión ha sido objeto de varios estudios; en uno de ellos, se adicionaron sales de sodio diferentes del cloruro en la dieta de animales de laboratorio hipertensos, luego de lo cual, se determinó que la presión arterial no sufrió ningún cambio a pesar de estar recibiendo suplementación de sodio (12). Por consiguiente, parece poco probable que los cambios hemodinámicos sucedidos por la ingestión de nitrato de sodio sean debidos al ión sodio.
El estudio microscópico de los cortes de la glándula tiroides obtenidos de animales aparentemente sanos mostró cambios graduales sugestivos de bocio hipofuncionante en los individuos de los grupos 2 y 3 (figura 3), caracterizados por un aumento del diámetro promedio de los folículos, una disminución de la apetencia tintorial del coloide y un aplanamiento del epitelio folicular, el cual en algunas zonas llega a tener una altura de tan solo 3 µm. Esto contrasta con la histología de las tiroides de los individuos de los grupos 0 y 1 donde la altura de las células epiteliales foliculares se encuentra entre 7,5 y 13 µm.El efecto bociogénico de los nitratos ha sido sugerido y comprobado ya por varios autores (13), hecho que probablemente puede explicar las diferencias macroscópicas y microscópicas de la glándula tiroides en los animales sacrificados. Al estar presente un agente bociogénico en la dieta, los niveles sanguíneos de hormonas tiroideas van a disminuir, lo que va a ser compensado con un aumento en la liberación de TsH, con una respuesta glandular que puede ser efectiva o no. Así, este estímulo induce un aumento del tamaño glandular causado por hipertrofia celular el cual tiene como fin aumentar los niveles circulantes de hormonas tiroideas; el aumento del tamaño glandular será entonces proporcional al efecto del agente bociogénico, tal como ocurrió en el grupo número 3, donde el tamaño tiroideo fue el mayor de todos los observados, pues como se recuerda este grupo recibió la dosis más alta de nitrato. No obstante, a pesar de este estado de hipofunción tiroidea, y de lo sugerido en anteriores estudios en los que se informó una disminución del peso en animales que recibieron una adición de nitrato, en el presente trabajo no se notó ninguna diferencia apreciable en cuanto al peso se refiere entre aquellos animales del grupo 0 y los que recibieron adición de nitrato (datos no mostrados).
Finalmente, tras considerar la probabilidad de que en los piensos ofrecidos a los broiler se pueden encontrar concentraciones de nitratos muy variables, y que el consumo de estas sustancias puede incrementar dramáticamente la mortalidad en las explotaciones avícolas, tal como lo demuestra este trabajo, es posible llegar a considerar la necesidad de que en el control de calidad del proceso de producción de piensos para aves deba ser incluido el control de nitratos y nitritos.
REFERENCIAS
1. Osweiller GD, Carson TL, Buck WB, van Gelder GA. Clinical and Veterinary Toxicology. 3 ed. 1985. pp. 460-67. [ Links ]
2. Atuesta R, González G. Niveles de nitratos y nitritos en algunos pastos de la Sabana de Bogotá. Tesis M.V. Universidad Nacional de Colombia, Facultad de Medicina Veterinaria y Zootecnia. Bogotá: 1983. pp. 52-63. [ Links ]
3. Uribe A. Anotaciones sobre los nitratos, los nitritos y otras sustancias nitrogenadas en el pasto kikuyo. Revista Acovez 1985;9:37-40. [ Links ]
4. Brunning-Fann CS, Kaneene JB. The effects of nitrates, nitrites and N-nitroso compounds on animal health. Veterinary and human toxicology 1993;35:237-253. [ Links ]
5. Rahman MM, Kim SJ, Kim GB, Hong CU, Lee YU, Kim SZ et ál. Nitrite-induced methemoglobinaemia affects blood ionized and total magnesium level by hydrolysis of plasma adenosine triphosphate in rat. Basic Clin Pharmacol Toxicol 2009; 105: 294-300. [ Links ]
6. Pearce EN, Braverman LE. Environmental pollutants and the thyroid. Best Pract Res Clin Endocrinol Metab 2009;23:801-13. [ Links ]
7. Atef M, Abo-Norage MAM, Hanafy MSM, Agag AE. Pharmacological aspects of nitrate and nitrite in domestic fowls. British Poultry Science 1991;32:399-404. [ Links ]
8. Palomino LF, Rojas MJ, Beltrán M. Nueva Técnica espectrofotométrica para la determinación de nitratos en plasma. Universidad Nacional de Colombia. Revista de la Facultad de Medicina 1997; 45:63-9. [ Links ]
9. Julian RJ. Ascites in poultry. Avian Pathology 1993;22:419-54. [ Links ]
10. Bolaños JP, Almeida A. Roles of nitric oxide in brain hypoxia-ischemia. Biochim Biophys Acta 1999;1411(2-3):415-36. [ Links ]
11. Díaz GJ, Julian RJ, Squires EJ. Effect of graded levels of dietary nitrite on pulmonary hypertension in broiler chickens and dilatory cardiomyopathy in turkey poults. Avian Pathology 1995;20:109-19. [ Links ]
12. Julian JR. The effect of increased sodium in the drinking water on right ventricular hypertrophy, right ventricular failure and ascitis in broiler chickens. Avian Pathology 1987;16:61-71. [ Links ]
13. Bloomfield RA, Welsch CW, Garner GB, Muhrer M. Effects of dietary nitrate on thyroid function. Science 1961;134:1690. [ Links ]













