Services on Demand
Journal
Article
Indicators
-
Cited by SciELO -
Access statistics
Related links
-
Cited by Google -
Similars in
SciELO -
Similars in Google
Share
Biomédica
Print version ISSN 0120-4157
Biomédica vol.32 no.4 Bogotá Oct./Dec. 2012
https://doi.org/10.7705/biomedica.v32i4.442
ARTÍCULO ORIGINAL
doi: http://dx.doi.org/10.7705/biomedica.v32i4.442
1Grupo Centauro, Facultad de Ciencias Agrarias, Universidad de Antioquia, Medellín, Colombia
2Instituto Colombiano de Medicina Tropical, Universidad CES, Medellín, Colombia
Contribución de los autores:
Biviana Andrea Duque, Andrés F. Londoño y Víctor H. Quiroz participaron en la recolección de la información, tanto de roedores como registros de histopatología.
Diego Aranzazu hizo el análisis de los resultados histopatológicos y escritura del artículo.
Juan D. Rodas y Piedad Agudelo-Flórez fueron los investigadores principales del proyecto inicial, realizaron el análisis de resultados, y la edición y corrección de estilo del artículo.
Recibido: 14/09/11; aceptado:27/05/12
Introducción. Rattus norvegicus cumple un papel epidemiológico en el mantenimiento y dispersión de agentes zoonóticos bacterianos, virales y parasitarios de interés en salud pública. La presencia de infección por helmintos en especies Rattus cercanas a poblaciones expuestas en condiciones ambientales propicias, puede convertirse en un factor de riesgo de transmisión.
Objetivo. Reportar la frecuencia de infección con Capillaria hepatica y formas larvarias de Taenia taeniaeformis en ratas silvestres (R. norvegicus) capturadas en una zona urbana de Medellín.
Materiales y métodos. Se capturaron 254 ejemplares de R. norvegicus. Los hígados de 54 ejemplares que presentaron lesión hepática macroscópica durante la necropsia, fueron examinados por histopatología convencional.
Resultados. La frecuencia de infección por C. hepatica fue de 20,1 % (51/254). Seis hígados fueron también positivos para larvas de T. taeniaeformis con una frecuencia de 2,4 % (6/254). Los hígados infestados con C. hepatica exhibían parásitos en el estadio adulto o juvenil y huevos ovalados con opérculos bipolares, asociados con hepatitis granulomatosa leve a moderada multifocal y acompañada por infiltrado leucocitario. Se observaron lesiones granulomatosas en resolución y fibrosis residual o calcificada que contenía huevos. Donde se encontraron cisticercos de T. taeniaeformis, el hallazgo más frecuente fueron quistes hepáticos que contenían larvas, y lesiones inflamatorias y fibróticas.
Conclusión. Estos resultados indican que helmintos de potencial zoonótico circulan en R. norvegicus de ambientes urbanos. Debe investigarse la verdadera distribución de estos parásitos, para determinar el riesgo potencial que corren las poblaciones animales y humanas expuestas a adquirir este tipo de infecciones.
Palabras clave: ratas, parasitosis hepáticas, helmintos, reservorios, zoonosis
doi: http://dx.doi.org/10.7705/biomedica.v32i4.442
Rattus norvegicus as an indicator of circulation of Capillaria hepatica and Taenia taeniaeformis on a groceries trade center of Medellín, Colombia
Introduction. Rattus norvegicus, the Norway rat, plays a pivotal role in the maintenance and spread of several zoonotic bacterial, viral and parasitic pathogens of public health interest. The presence of helminthic infections near susceptible human populations can, under appropriate environmental conditions, become a risk factor for their transmission.
Objective. Frequencies of infection were reported for Capillaria hepatica and larval forms of Taenia taeniaeformis in wild rats (R. norvegicus) captured in an urban area.
Materials and methods. Two hundred and fifty-four adult specimens of R. norvegicus were collected in an urban zone of Medellín, Colombia. The livers of 54 specimens that showed macroscopic hepatic lesions during necropsy were examined by conventional histopathology.
Results. The frequency of infestation with C. hepatica was 20.1% (51/254). Six livers (2.4%) were also positive for larvae of T. taeniaeformis. Livers infested with C. hepatica exhibited adult or juvenile parasites and oval eggs with bipolar opercula, and were associated with mild to moderate multifocal granulomatous hepatitis with leucocyte infiltrate. Granulomatous lesions and calcified residual fibroses were found with eggs but without adult parasites. Those animals with cysticerci of T. taeniaeformis showed a high frequency of hepatic cysts containing larvae as well as inflammed and fibrotic lesions.
Conclusion. Zoonotic helminths circulate at high frequency in R. norvegicus that occur in urban environments. Further research about the distribution of these parasites will determine the level of health threat they present for susceptible human and domestic animal populations.
Key words: Rats; liver diseases, parasitic; helminths, reservoirs, zoonoses.
doi: http://dx.doi.org/10.7705/biomedica.v32i4.442
Rattus norvegicus cumple un papel epidemiológico en el mantenimiento y dispersión de agentes zoonóticos bacterianos, virales y parasitarios, de interés tanto para la salud humana como para la de algunas especies animales que comparten su hábitat (1). La rápida proliferación de los roedores, aunada a los escasos planes de control estatal en los centros de acopio popular, favorece un estrecho contacto con los productos comestibles y representa un aspecto desatendido por las autoridades de salud. La presencia de la infección helmíntica en especies Rattus, unida a condiciones ambientales propicias y a poblaciones expuestas, son factores de riesgo que pueden llegar a favorecer la posible infección en humanos. En este estudio se reporta la frecuencia de infección por los helmintos Capillaria hepatica y Taenia taeniaeformis en ratas silvestres de la especie R. norvegicus.
Capillaria hepatica es un nematodo que parasita el hígado de roedores y otros mamíferos, incluidos los humanos (2,3). Estos últimos usualmente se infectan después de ingerir huevos con embrión a partir del agua, el suelo o los alimentos contaminados. Las especies del género Rattus son consideradas como huéspedes principales (4). Se ha demostrado mediante el uso de modelos animales que las larvas del nematodo eclosionan en el ciego, penetran en la membrana mucosa y alcanzan el sistema portal; luego se alojan en el parénquima hepático, donde se convierten en adultos (5,6). Hay propagación de huevos fertilizados en grupos alrededor de las hembras, que mueren en un lapso de treinta días. Para que ocurra la embriogénesis, los huevos deben llegar al medio ambiente, posiblemente después de la muerte del huésped infectado y la desintegración de su carcasa (5,6). Por otra parte, la ingestión del hígado que contiene huevos sin embrión y su eliminación por las heces, también inducen la embriogénesis, que resulta en la emergencia de huevos infecciosos en el suelo (5,6).
Por su parte, Cysticercus fasciolaris es el estado larval y quístico del cestodo T. taeniaeformis, cuyos huéspedes definitivos son carnívoros de las familias Canidae y Felidae, mientras que los roedores y humanos son huéspedes intermediarios. Dichas formas larvarias generalmente se encuentran en el hígado de estos últimos huéspedes que se infectan por medio del agua o de alimentos contaminados con heces de gatos (7,8). Los huevos liberados de las proglótides maduras salen con las heces y cuando son ingeridos por un animal vulnerable, se activan durante el paso por el estómago y las larvas (oncosferas) migran hacia el hígado, donde continúan su desarrollo dentro de un quiste (9). Se han reportado casos humanos en Argentina, Checoslovaquia, Dinamarca y Taiwán (7,8).
La presencia de poblaciones densas de roedores y las deficientes condiciones de saneamiento ambiental, son factores que predisponen a la infección humana con algunos helmintos (C. hepatica) (10). La infestación con roedores principalmente en ambientes cerrados y la alta prevalencia de estos helmintos en R. norvegicus, son factores que incrementan el riesgo de transmisión a otros mamíferos que cohabitan en áreas específicas (11,12). En el caso de estas dos helmintiasis de importancia zoonótica, son escasos los reportes sobre el papel activo que cumple R. norvegicus en la transmisión de helmintos en zonas urbanas.
En el presente estudio se reporta la evidencia de circulación de los helmintos C. hepatica y T. taeniaeformis en roedores capturados en la Plaza Minorista “José María Villa” de Medellín. La evidencia fue establecida por estudio histopatológico de tejidos hepáticos que mostraron lesiones en el análisis macroscópico. Además, se describen los cambios morfológicos asociados con la evolución de la infección en el hígado del huésped. Los hallazgos mencionados representan una de las pocas evidencias objetivas de la presencia del complejo roedor-helminto de interés zoonótico en zonas urbanas colombianas.
Materiales y métodos
Descripción del sitio de estudio
La captura de los roedores se llevó a cabo en la plaza de mercado minorista “José María Villa” de Medellín. Este mercado está localizado cerca del área central urbana y del río Medellín que recorre la ciudad de sur a norte, separado de él tan sólo por una vía. Tiene una superficie total de 26.623 m2 y es visitado diariamente por cerca de 15.000 consumidores y, también, por los perros sin hogar y los caballos de carga. Dentro de las instalaciones, es posible encontrar toda clase de vegetales y animales vivos (gallinas y aves ornamentales, cerdos, etc.).
Protocolo de captura
Se usaron 36 trampas Tomahawk (15 × 15 × 45 cm), que se colocaron en los sitios que fueron elegidos estratégicamente, de acuerdo con la verificación de indicios de la presencia de roedores, tales como presencia de heces, materiales roídos y rincones oscuros con una abundancia de restos de comida y basura. El cebo para atraer a los roedores fue una mezcla de avena, mantequilla de maní y esencia de vainilla, que se combinaron en pequeñas bolas que se colocaron dentro de las trampas. Las trampas fueron armadas y ubicadas durante la noche y se revisaron muy temprano en la mañana siguiente, antes de que el mercado se abriera al público. El muestreo descrito fue empleado originalmente para un estudio de leptospirosis en roedores sinantrópicos de la plaza minorista de Medellín, cuyos resultados fueron publicados previamente (13).
Recolección y procesamiento de muestras
Los roedores capturados fueron anestesiados con una mezcla de ketamina y xilazina (9:2) usando 0,1 ml/50 g, y se sacrificaron con una sobredosis de pentobarbital sódico (Eutanex, INVET, Bogotá, Colombia); 0,1 ml de una solución que contiene 350 mg/ml.
Se registró la talla, el peso, el sexo, el estado de desarrollo (juvenil, subadulto y adulto) y la salud (aparentemente normal o enfermo) de los roedores. Los cadáveres fueron etiquetados para la identificación y depositados en bolsas de plástico para ser transportados al Laboratorio de Microbiología de la Facultad de Ciencias Agrarias de la Universidad de Antioquia, para el procesamiento de las muestras.
En dicho laboratorio, las ratas fueron identificadas con base en características morfométricas obtenidas del Laboratorio de Mastozoología de la Universidad de Antioquia. A continuación, los animales sacrificados fueron inicialmente desinfectados por inmersión en una solución yodada por 15 minutos y luego se pasaron por una cabina de bioseguridad de tipo 1, donde se disecaron para observación macroscópica del estado del hígado. En el caso de que se observaran lesiones en hígado, este se obtenía para practicar el estudio convencional de histopatología. Para esto, se fijaron en formalina amortiguada al 10 %, para su posterior procesamiento histológico, haciendo cortes de 4 a 5 μm. Los tejidos se colorearon con hematoxilina y eosina, y la evaluación histopatológica se hizo con un microscopio óptico Leica DMLB® (Meyer Instruments, Houston,TX, USA). Los estudios de histopatología se llevaron a cabo en el Laboratorio de Patología de la Facultad de Ciencias Agrarias de la misma universidad.
Análisis de resultados
Las variables identificadas se categorizaron por medio de una escala ordinal de valores según el grado de intensidad y de acuerdo con los criterios establecidos previamente por Andrade (14). En el caso de C. hepática, las alteraciones se reportaron considerando el grado y la distribución de la lesión. El nivel 0 se consideró como ausencia de lesiones; el nivel 1 con grado de lesión temprana se consideró como hasta el 30 % del tejido afectado en 10 campos de 100X de distribución focal; el nivel 2 se consideró como intermedia con hasta el 60 % del tejido afectado en 10 campos de 100X de distribución multifocal, y el nivel 3 con grado de lesión tardía se consideró cuando se presentó más del 60 % del tejido afectado en 10 campos de 100X de distribución difusa.
Para la evaluación de las imágenes, se empleó un microscopio óptico Leica DMLB® (Meyer Instruments, Houston, TX, USA); luego se capturaron las imágenes correspondientes con una cámara para microscopía digital instantánea Leica EC3® (Leica Microsystems, Heerbrugg, Switzerland) con resolución de tres megapixeles, en aumentos de 100X y 200X.
Aspectos éticos
El estudio se llevó a cabo con el consentimiento del Comité de Ética de Experimentación Animal de la Universidad de Antioquia, (Número de Acta 27 del 29 septiembre de 2005).
Resultados
La captura se realizó en 28 sesiones durante siete meses, con un éxito de captura del 25 %.
Se capturaron 254 R. norvegicus, de los cuales, a 54 roedores se les detectó, durante la necropsia, lesión en hígado con apariencia macroscópica alterada. El examen microscópico de estos 54 hígados de Rattus spp. con lesión macroscópica, demostró parasitosis por C. hepatica en 51 de ellos, con una frecuencia de 20,1 % (51/254). Por su parte, seis hígados fueron positivos para larvas de T. taeniaeformis, con una frecuencia de 2,4 % (6/254). Todos los hígados positivos para T. taeniaeformis estaban infectados con C. hepatica.
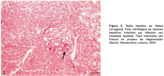
Los hígados de los Rattus spp. infectados con C. hepatica fueron clasificados en tres fases de evolución, con base en los cambios morfológicos, como temprana, intermedia o tardía. La fase temprana se presentó en 6 de los 51 casos positivos (11,8 %) y se caracterizó por la presencia del parásito en el estadio adulto o juvenil y huevos ovalados con opérculos bipolares, asociada con hepatitis granulomatosa leve a moderada, multifocal y acompañada por infiltrado leucocitario de eosinófilos, macrófagos y linfocitos (figura 1). La fase intermedia fue la que se presentó con mayor frecuencia, en 31 de los 51 casos positivos (60,8 %), y se caracterizó por la presencia del parásito adulto y huevos degenerados o mineralizados, asociada a fibrosis y hepatitis granulomatosa multifocal (figura 2). La fase tardía se presentó como lesión predominante en 14 de los 51 casos positivos (27,4 %) y se caracterizó por la ausencia de parásitos adultos y huevos, lesiones granulomatosas en resolución, fibrosis residual y lesiones calcificadas que contenían huevos ( figura 3. ). Las frecuencias de R. norvegicus infectados con C. hepatica, considerando estas tres fases de evolución y el patrón de distribución de las lesiones, se presentan discriminadas en el cuadro 1.




En los roedores infectados con T. taeniaeformis, se observaron quistes hepáticos que contenían las larvas y lesiones inflamatorias y fibróticas (figura 4). Histológicamente, las larvas se caracterizaron por presentar ventosas en el extremo anterior y dos zonas de fibras musculares asociadas al parénquima. Los quistes parasitarios se presentaron rodeados por tejido conjuntivo asociado con infiltrados leucocitarios de linfocitos, macrófagos y eosinófilos.

Discusión
Esta investigación presenta por primera vez, para una zona urbana colombiana, la evidencia histopatológica de circulación en R. norvegicus de dos helmintos de potencial zoonótico, C. hepatica y T. taeniaeformis, en porcentajes significativos. En el caso de la infección de roedores con C. hepatica, se reportan en el mundo prevalencias variables en un rango de 7,9 a 88,0 % (15-20). En el presente estudio, esta frecuencia en particular es del orden del 20 %, lo cual podría representar un riesgo potencial para la población humana. Vale la pena mencionar que, si bien la frecuencia de infestación es importante, infortunadamente solo se estudiaron los hígados de ratas que mostraban alteración macroscópica evidente, introduciendo así un sesgo en los resultados de este estudio. Aunque hubiese sido muy provechoso haber podido estudiar por microscopía los hígados de todos los animales, es necesario reconocer que el presente estudio no constituyó el objetivo primario de la captura y, por lo tanto, no se contaba ni con los recursos económicos, ni con los logísticos para haber cumplido con este ambicioso objetivo.
Si bien el diseño de este estudio no permite establecer el vínculo de la infección en roedores con la prevalencia de esta parasitosis en humanos, sí se puede inferir por registros bibliográficos que estas parasitosis se presentan en humanos en Colombia. Esta afirmación está basada en el reporte de caso de un joven que llegó a España en 1991, procedente de Colombia, y quien fue diagnosticado allí como un caso importado de capilariasis intestinal. El paciente presentó un cuadro de diarrea y dolor abdominal, y en sus heces se visualizaron huevos de Capillaria spp. Además, su único antecedente epidemiológico fue tener dos caninos como mascotas en su vivienda en Colombia. En los registros consultados no existe una explicación clara de su posible fuente de infección (21).
Como se registra, C. hepatica es un parásito de interés zoonótico y, aunque la infección humana es ocasional, su amplio rango de huéspedes mamíferos, muchos de los cuales están asociados cercanamente con los humanos, puede incrementar la probabilidad de la infección en estos (15,22- 25). Se han reportado en el mundo 37 casos de presentación subclínica o fatal de humanos con C. hepática, presentando algunos síndromes de fiebre crónica, asociada con eosinofilia, hepatomegalia, hepatitis granulomatosa y fibrosis hepática. Los países en los que se han reportado casos han sido el Reino Unido, Italia, Suiza, Turquía, Estados Unidos, Nigeria, Japón e India (4,26-28). Además, se han identificado huevos de C. hepatica en muestras de heces recogidas en indígenas del norte de la amazonia brasilera, comunidades que habitan en condiciones precarias de salubridad. En estas regiones también se ha conseguido evidenciar la presencia de huevos de este nematodo en animales salvajes que son cazados por estas comunidades indígenas, lo que sugiere que podrían existir roedores silvestres participando en una forma de ciclo selvático de este parásito (29).
Por su parte, se han reportado algunos casos de infección humana por T. taeniaeformis en Argentina, Checoslovaquia, Dinamarca y Taiwán (6,7). Sin embargo, son escasos los reportes que permiten inferir las implicaciones de esta infección en los humanos. En Colombia no se ha reportado este cestodo, ni para sus huéspedes definitivos, los felinos, ni para humanos. No obstante, no se excluye que se deban emprender estudios a este respecto, debido a que la población de roedores estudiados en este reporte se puede comportar como indicadores centinela de la circulación activa de este cestodo, por lo menos, en una frecuencia superior al 2 %; esto permite inferir que la presentación de esta parasitosis en población felina de esta zona urbana no puede descartarse.
Con respecto a los hallazgos histopatológicos y la asociación con la presencia de infección de C. hepática, el esquema de clasificación usado en este estudio, que representa la secuencia lógica de los cambios histopatológicos asociados con la evolución de la enfermedad, incluyendo el desarrollo y la muerte de los parásitos y sus huevos, la resolución de la inflamación y remoción de los parásitos (14,30), permitió determinar que las lesiones de la categoría intermedia fueron las más frecuentes, predominando un patrón de distribución focal, seguido del multifocal y solo en tres de las muestras se encontró un patrón difuso.
El mismo comportamiento se observó con las lesiones clasificadas como tardías. Para las lesiones tempranas, solo se presentaron en la misma proporción los patrones focal y multifocal. En general, muchas de las lesiones aún se encontraban en la fase inflamatoria, con un compromiso hepático de leve a moderado y solo un mínimo de los individuos estaban en la fase de resolución caracterizada por la remoción de los parásitos y el desarrollo de la fibrosis de los tabiques.
Se han desarrollado algunos estudios utilizando la variedad Wistar de R. norvegicus infectada experimentalmente con C. hepatica como modelo animal, para investigar la patogénesis, el sitio de origen, la estructura y los tipos de células involucrados en la fibrosis de los tabiques (31- 35). Asimismo, existen pruebas de una asociación significativa entre la hepatitis inducida por la infección de C. hepatica y la hipertrofia arteriolar pulmonar en roedores, que puede representar efectos de hipertensión pulmonar y llegar a afectar otros órganos como el corazón y el riñón (20).
Por otra parte, las observaciones histopatológicas de los quistes de T. taeniaeformis en estados avanzados en los huéspedes intermediarios, demuestran abundantes fibroblastos con caracterizaciones neoplásicas como fibrosarcomas (36), por lo que se concluye que T. taeniaeformis puede inducir este tipo de tumores hepáticos en ratas en casos avanzados (9,37).
La presencia evidente de estas dos helmintiasis en seis roedores, permite inferir que existe una infestación ambiental en la zona de estudio. En esta plaza de mercado se comercializa una amplia variedad de animales silvestres y domésticos. Debe llamarse la atención sobre este aspecto, sobre la dispersión activa que hacen los roedores de agentes infecciosos de amplio espectro para humanos y otras especies animales.
Partiendo de lo anterior, la comunidad que se encuentra en el área del presente estudio, en la cual se encuentran personas de bajos recursos e, incluso, algunas que viven a la intemperie, que no cuentan con las condiciones básicas de salubridad, puede estar frente a un riesgo potencial al entrar en sinantropía con la especie R. norvegicus. La dispersión de huevos de C. hepatica en el ambiente en el que residen, puede conducir a la contaminación del suelo y aumentar la posibilidad de la ingestión de estados infecciosos, tanto por parte de los habitantes humanos como de los animales de compañía (caninos y felinos callejeros). En este contexto y para los casos de parasitismo hepático, en esta población humana debe tenerse en cuenta la capilariasis como diagnóstico diferencial, pues la de esta causa puede confundirse con otras hepatitis granulomatosas o cáncer hepático (10).
Este registro científico permite inferir que existe el riesgo zoonótico de adquirir estas helmintiasis en particular; por lo tanto, ellas deben ser consideradas por los entes de salud pública humana y veterinaria, por las cátedras de las facultades de medicina veterinaria del país, y por los veterinarios de los consultorios que manejan pequeñas especies como una de las posibles causas de daño hepático. Así, a pesar de que la frecuencia de infección humana pueda ser baja, en vista de la escasa participación del hombre en el ciclo de vida de estos parásitos, tanto los médicos clínicos humanos como los veterinarios deben conservar la mente abierta y pensar en estos dos agentes dentro del diagnóstico diferencial en casos de presentación clínica compatible. De esta manera, se podría prevenir o minimizar la posibilidad de presentación de estas parasitosis en zonas urbanas de Colombia. Este trabajo también sugiere que vale la pena buscar más pruebas de la distribución de estos agentes y establecer con claridad su verdadera distribución, y el riesgo potencial de adquirir estas infecciones por parte de poblaciones humanas y animales expuestos.
A los funcionarios de la plaza de mercado minorista “José María Villa” de Medellín, por permitirnos capturar los roedores dentro de sus instalaciones.
Los autores declaran que no incurrieron en conflictos de intereses durante este estudio.
Este trabajo fue patrocinado por la convocatoria de sostenibilidad 2009-2010 de la Universidad de Antioquia y el Instituto Colombiano de Medicina Tropical-Universidad CES.
Correspondencia: Juan David Rodas, Facultad de Ciencias Agrarias, Universidad de Antioquia, Ciudadela de Robledo, Carrera 75 N° 65-87, oficina 47-150, Medellín, Colombia juandavid.rodas@gmail.com
Referencias1. Calderón G. Módulo VI. Zoonosis transmitidas por roedores. Serie Enfermedades Transmisibles. Fecha de consulta: 27 de diciembre de 2011. Disponible en: http://site.mundosano.org/documentos/monografias/Monografia%204%20-%20 Modulo3.pdf. [ Links ]
2. Hamir AN, Rupprecht CE. Hepatic capillariasis (Capillaria hepatica) in porcupines (Erethizondorsatum) in Pennsylvania. J Vet Diagn Invest. 2000;12:463-5. http://dx.doi.org/10.1177/104063870001200514 [ Links ]
3. Ruas JL, Soares MP, Farias NAR, Brum JGW. Infecçaão por Capillaria hepática em carnivoros silvestres (Lycalopex gymnocercus e Cerdocyon thous) na região sul do Rio Grande do Sul. Arq Inst Biol. 2003;70:127-30. [ Links ]
4. Samuel WM, Pybus MJ, Kocan AA. Parasitic diseases of wild mammals. 2nd edition. Ames: Iowa State University Press; 2001. p. 365-79. [ Links ]
5. Collier L, Balows A, Sussman M. Topley and Wilson´s Microbiology and microbial infections. Volume 5, Parasitology. Ninth edition. New York: Oxford University Press; 1998. [ Links ]
6. Lee CW. The experimental studies on Capillaria hepatica. Kisaengchunhak Chapochi. 1964;2:63-80. http://dx.doi.org/10.3347/kjp.1964.2.1.63 [ Links ]
7. Ekanayake S, Warnasuriya ND, Samarakoon PS, Abewickrama H, Kuruppuarachchi ND, Dissanaike AS. An unusual ´infection´ of a child in Sri Lanka with Taenia taeniaeformis of the cat. Ann Trop Med Parasitol. 1999;93:869-73. [ Links ]
8. Miyazaki I. An Illustrated book of helminthic zoonoses. Tokyo: International Medical Foundation of Japan; 1991. p. [ Links ]
9. Al-Salihi KA, Sheikh A, Saied H. Highly prevalence of Strobilocercus fasciolaris infection associated with gastroentropathy and hepatic fibrosarcoma between laboratory rats in experimental groups. Afri J Anim Biomed Sci. 2009;4:6-10. [ Links ]
10. Klenzak J, Mattia A, Valenti A, Goldberg J. Hepatic capillariasis in Maine presenting as a hepatic mass. Am J Trop Med Hyg. 2005;72:651-3. [ Links ]
11. Farhang-Azad A. Ecology of Capillaria hepatica (Bancroft 1893) (Nematoda). Dynamics of infection among Norway rat populations of the Baltimore zoo, Baltimore, Maryland. J Parasitol. 1977;63:117-22. [ Links ]
12. Redrobe SP, Patterson-Kane JC. Calodium hepaticum (syn. Capillaria hepatica) in captive rodents in a zoological garden. J Comp Pathol. 2005;133:73-6. http://dx.doi.org/10.1016/j.jcpa.2005.01.013 [ Links ]
13. Agudelo-Flórez P, Londoño AF, Quiroz VH, Ángel JC, Moreno N, Loaiza ET, et al. Prevalence of Leptospira spp. in urban rodents from a groceries trade center of Medellín, Colombia. Am J Trop Med Hyg. 2009;81:906-10. http://dx.doi.org/10.4269/ajtmh.2009.09-0195 [ Links ]
14. Andrade SB, Andrade ZA. Experimental hepatic fibrosis due to C. hepatica infection (differential features presented by rats and mice). Mem Inst Oswaldo Cruz. 2004;99:399-406. http://dx.doi.org/10.1590/S0074-02762004000400010. [ Links ]
15. Ceruti R, Sonzogni O, Origgi F, Vezzoli F, Cammarata S, Giusti AM, et al. Calodium hepaticum infection in wild brown rats (Rattus norvegicus) from the urban area of Milan, Italy. J Vet Med B Infect Dis Vet Public Health. 2001;48:235-40. [ Links ]
16. Min HK. Prevalence of C. hepatica among house rat in Seoul. Korean J Parasitol. 1979;17:93-7. http://dx.doi.org/10.3347/kjp.1979.17.2.93 [ Links ]
17. Seong JK, Huh S, Lee JS, Oh YS. Helminths in Rattus norvegicus captured in Chuncheon, Korea. Korean J Parasitol. 1995;33:235-7. http://dx.doi.org/10.3347/kjp.1995.33.3.235 [ Links ]
18. Namue C, Wongsawad C. A survey of helminth infection in rats (Rattus spp.) from Chiang Mai Moat. Southeast Asian J Trop Med Public Health. 1997;28:179-83. [ Links ]
19. Tung KC, Hsiao FC, Yang CH, Chou CC, Lee WM, Wang KS, et al. Surveillance of endoparasitic infections and the first report of Physaloptera sp. and Sarcocystis spp. in farm rodents and shrews in central Taiwan. J Vet Med Sci. 2009;71:43-7. http://dx.doi.org/10.1292/jvms.71.43 [ Links ]
20. Yi JY, Kim YH, Kim HC, Hahn TW, Jeong H, Choi CU, et al. Prevalence of hepatic parasites in Korean wild rats (Rattus norvegicus) and their association with pulmonary arteriolar medial hypertrophy. Vet Pathol. 2010;47:292-7. http://dx.doi.org/10.1177/0300985809359306 [ Links ]
21. Dronda F, Chaves F, Sanz A, López-Vélez R. Human intestinal capillariasis in an area of non endemicity: Case report and review. Clin Infect Dis. 1993;17:909-12. http://dx.doi.org/10.1177/0300985809359306 [ Links ]
22. Graczyk TK, Lowenstine LJ, Cranfield MR. Capillaria hepatica (Nematoda) infections in human habituated mountain gorillas (Gorilla gorillaberingei) of the Park National de Volcans, Rwanda. J Parasitol. 1999;85:1168-70. [ Links ]
23. Lloyd S, Elwood CM, Smith KC. Capillaria hepatica (Calodium hepaticum) infection in a British dog. Vet Rec. 2002;151:419-20. http://dx.doi.org/10.1016/j.jcpa.2005.01.013 [ Links ]
24. Okaeme AN. Zoonotic helminths of dogs and cats at New Bussa, Kainji Lake area, Nigeria. Int J Zoonoses. 1985;12:238-40. [ Links ]
25. Pizzi R, Gordon JC, Flach EJ, Routh AD, Clark B, Boardman WS. C. hepatica (syn. Calodium hepaticum) in primates in a zoological collection in the UK. Vet Rec. 2009;163:690-1. [ Links ]
26. Juncker-Voss M, Prosl H, Lussy H, Enzenberg U, Auer H, Nowotny N. Serological detection of Capillaria hepatica by indirect immunofluorescence assay. J Clin Microbiol. 2000;38:431-3. [ Links ]
27. Levine ND. Nematode parasites of domestic animals and of man. 2nd edition. Minneapolis, Minnesota: Burgess Publishing Co.; 1980. [ Links ]
28. Sun, T. Parasitic disorders: Pathology, diagnosis, and management. 2nd edition. Baltimore: Williams and Wilkins; 1999. [ Links ]
29. Carvalho-Costa FA, Silva AG, de Souza AH, Moreiraa CJ, de Souza DL, Valverde JG, et al. Pseudoparasitism by Calodium hepaticum (syn. Capillaria hepatica; Hepaticola hepatica) in the Negro River, Brazilian Amazon. Trans R Soc Trop Med Hyg. 2009;103:1071-3. http://dx.doi.org/10.1016/j.trstmh.2009.04.015 [ Links ]
30. Gomes AT, Cunha LM, Bastos CG, Medrado BF, Assis BCA, Andrade ZA. Capillaria hepatica in rats: Focal parasitic hepatic lesions and septal fibrosis run independent courses. Mem Inst Oswaldo Cruz. 2006;101:895-8. http://dx.doi.org/10.1590/S0074-02762006000800012 [ Links ]
31. De Souza M, Tolentino M Jr, Assis BC, González C, Silva M, Andrade ZA. Pathogenesis of septal fibrosis of the liver. (An experimental study with a new model). Pathol Res Pract. 2006;202:883-9. http://dx.doi.org/10.1016/jprp.2006.07.004. [ Links ]
32. Ferreira LA, Andrade ZA. Capillaria hepatica: A cause of septal fibrosis of the liver. Mem Inst Oswaldo Cruz. 1993;88:441-7. http://dx.doi.org/10.1590/S0074-0276 19930 00300015 [ Links ]
33. Gaban L, Lucinio C, Barbosa A Jr, de Souza M, Andrade ZA. Dynamics of Capillaria hepatica induced hepatic septal fibrosis in rats. Rev Soc Bras Med Trop. 2010;43:643-6. http://dx.doi.org/10.1590/S0037-86822010000600008 [ Links ]
34. Berger T, Degremont A, Gebbers JO, Tonz O. Hepatic capillariasis in a 1-year-old child. Eur J Pediatr. 1990;149:333-6. [ Links ]
35. Chaves VL, Andrade ZA. Capillaria hepatica induced septal fibrosis in rats: A contribution to the study of liver fibrogenesis. Rev Soc Bras Med Trop. 2010;43:504-7. http://dx.doi.org/10.1590/S0037-86822010000500006 [ Links ]
36. Hanes MA, Stribling LJ. Fibrosarcomas in two rats arising from hepatic cysts of Cysticercus fasciolaris. Vet Pathol. 1995;32:73-6. [ Links ] http://dx.doi.org/10.1177/030098589503200418
37. Karim A. Scanning electron microscopy and histological morphology of Cysticercus fasciolaris, which induced fibrosarcomas in laboratory rats. Annals of Microscopy. 2010;10:44-8. [ Links ]












