Se trata de un hombre de 66 años con pápulas y nódulos en el codo izquierdo, de cuatro años de evolución, y adenopatía epitroclear de 1 cm de diámetro, móvil y no dolorosa (figura 1). Se tomaron biopsias de dos nódulos y de la adenopatía.
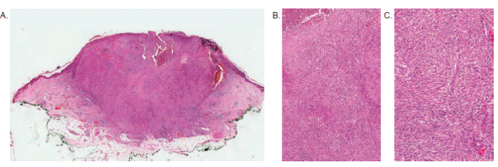
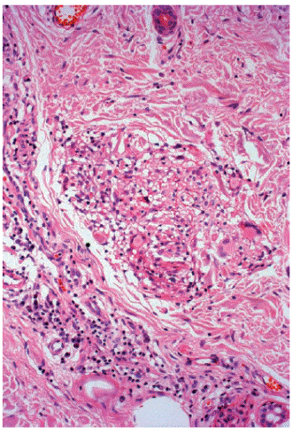
En las biopsias de piel se observó una lesión intradérmica bien circunscrita, sin penetración en la hipodermis, exulcerada (figura 2A). La lesión estaba constituida por masas de células fusiformes, sin atipia, acompañadas de algunos histiocitos vacuolados y de escasas células gigantes de tipo Touton (figura 2, B y C). Se detectaron ocasionales plasmocitos entre las células fusiformes (figuras 2C y 3). En la superficie de la lesión había conglomerados importantes de leucocitos polimorfonucleares y áreas de necrosis (figura 2). En la profundidad de la lesión, además de las células fusiformes, se observó fibrosis e infiltrado rico en plasmocitos, que rodeaban nervios del límite dermo-hipodérmico, algunos con perinervio mal definido (figura 4). En los bordes laterales de la lesión y en su porción profunda, se observaron conglomerados de macrófagos vacuolados y epitelioides con pocas células gigantes (figura 5).

Figura 2 A. Imagen panorámica que muestra una lesión intradérmica, bien circunscrita, con absceso central superficial y exulceración. Hematoxilina y eosina, 2X. B. La lesión es hipercelular, con células fusiformes. Arriba, a la izquierda, se ve el componente abscedado. Hematoxilina y eosina, 10X. C. El componente fusiforme se acompaña de algunas células vacuoladas y de plasmocitos escasos, dispersos. Hematoxilina y eosina, 20X.

Figura 3 A. La lesión presenta también algunas células multinucleadas y conglomerados discretos de linfocitos (abajo, derecha). Hematoxilina y eosina, 20X. B. Este componente fusocelular subepidérmico contiene pocas células gigantes de tipo Touton (abajo, derecha). Hematoxilina y eosina, 20X. C. Pequeño grupo de células gigantes de tipo Touton. Hematoxilina y eosina, 40X.

Figura 4 A. Fibrosis e inflamación perineural linfoplasmocitaria en el límite profundo de la lesión. Hematoxilina y eosina, 12X. B. Células fusiformes profundas y filete nervioso con perinervio mal definido, rodeado de importante infiltrado de plasmocitos y macrófagos vacuolados. Hematoxilina y eosina, 20X. C. Inflamación profunda, plasmocitaria, que rodea un filete nervioso. Hematoxilina y eosina, 20X.

Figura 5 Granuloma de macrófagos vacuolados, células epitelioides, algunas gigantes, linfocitos y plasmocitos, en los bordes laterales de la lesión. Hematoxilina y eosina, 20X.
Con estos datos observados, se podía sugerir que el paciente tenía:
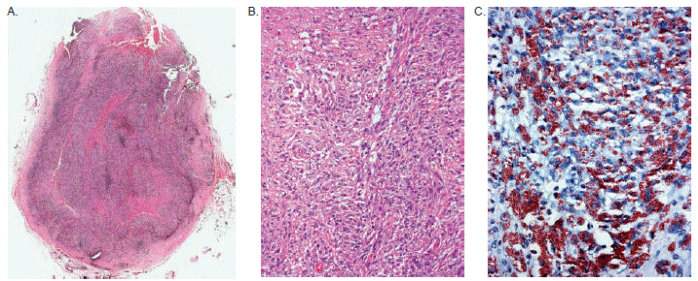
Se realizaron coloraciones de Ziehl-Neelsen (ZN) y de ácido peryódico de Schiff (PAS), que demostraron abundantes bacilos en masas intracelulares (figura 6). El ganglio linfático se presentaba ampliamente reemplazado por infiltrados semejantes, con mayor abundancia de histiocitos de citoplasma vacuolado que contenían abundantes bacilos ácido-alcohol resistentes (BAAR) (figura 7).

Figura 6 A y B. La coloración de Ziehl-Neelsen muestra abundantes bacilos intracelulares, en grandes conglomerados, más aparentes en la superficie de la lesión. 20X y 100X. C. Los bacilos son también fuertemente positivos con la coloración del ácido peryódico de Schiff. 40X. D. La coloración de Ziehl-Neelsen no demuestra bacilos intraneurales ni en los infiltrados profundos. 40X.

Figura 7 A. El ganglio linfático está ampliamente reemplazado por infiltrado semejante al de la piel. Hematoxilina y eosina, 1X. B. El componente de células vacuoladas y fusiformes es prominente. Hematoxilina y eosina, 20X. C. La coloración de Zielh-Neelsen demuestra un enorme número de bacilos fagocitados. 20X.
Con estos resultados, se podía concluir que el paciente tenía:
Se sugirieron los diagnósticos histológicos de lepra lepromatosa y de inflamación por micobacterias atípicas. En la revisión de los cortes se encontró que los nervios estaban bien preservados y que no contenían BAAR (figuras 4 y 6D). Estos datos permitían concluir que:
A. El paciente tenía lepra multibacilar, aunque no se demostraron bacilos intraneurales, o
B. La ausencia de bacilos en los nervios descartaba la lepra en estas biopsias














