La queratodermia acuagénica es una entidad poco frecuente descrita por primera vez como ‘acroqueratoderma papular translúcida transitoria’ por English y McCollough en 1996 1; se caracteriza por producir pápulas blanquecinas o traslúcidas pocos segundos después del contacto con el agua 2-4.
La finalidad de esta comunicación es agregar un caso más a la literatura de esta enfermedad inusual que, hasta donde lo hemos podido comprobar, es el primer caso reportado en Colombia. Asimismo, hacer una revisión breve de la literatura científica.
Caso clínico
Se presenta el caso de una paciente de 16 años de edad con un cuadro clínico de un año de evolución, caracterizado por la aparición de múltiples pápulas traslúcidas y confluentes en ambas palmas luego de pocos minutos de tener contacto con el agua (figura 1 y 2). Las lesiones eran asintomáticas y desaparecían por completo después del secado mecánico de las manos (figura 3). La paciente refirió no haber consumido ningún medicamento y negó tener enfermedades de base.

Figura 1 Palma de la mano derecha: a) antes del contacto con el agua: discreta prominencia de los surcos y crestas; b) acercamiento minutos después del secado: ausencia de lesiones palmares

Figura 2 Palma de la mano izquierda: a) después del contacto con el agua se observan pápulas translúcidas confluentes con tendencia a la formación de placas; b) acercamiento de las mismas lesiones
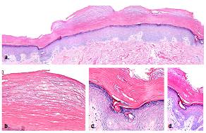
Se le tomó una biopsia de piel de la palma inmediatamente después del contacto con el agua. El estudio histopatológico reveló la presencia de piel distal (acral) con hiperqueratosis y áreas basofílicas en el estrato córneo, asociadas con dilatación de los conductos ecrinos (figura 4). Con estos hallazgos y los antecedentes clínicos, se hizo el diagnóstico de queratodermia acuagénica.
Discusión
La queratodermia acuagénica se describió inicialmente en 1996 1 y, aunque es infrecuente, el número de casos reportados ha ido en aumento. Esto lleva a pensar que esta entidad ha sido subdiagnosticada y su incidencia es mayor de la esperada. Debido a su particular relación con el agua, la sospecha clínica es fundamental para el diagnóstico. Una prueba semiológica sencilla llamada ‘la mano en el balde’ 5 y los antecedentes clínicos permiten orientar el diagnóstico.
Las mujeres se ven más frecuentemente afectadas. El rango etario es variable, sin embargo, su presentación en la infancia es rara 6. Usualmente, compromete las palmas, los dedos de las manos y, menos frecuentemente, las plantas de los pies 7; el compromiso bilateral es más característico. Se han reportados casos con características atípicas, como distribución unilateral 8 y presentación en el sexo masculino, y de localizaciones inusuales, como el dorso de las manos 9 y el dorso nasal 10. La mayoría de los casos son esporádicos, aunque se han descrito casos familiares 11.
La característica clínica principal es la inducción de lesiones después del contacto con el agua durante algunos minutos (en promedio, tres minutos) 10. Los pacientes presentan múltiples pápulas blanquecinas o translúcidas que pueden confluir, dando lugar a placas edematosas de aspecto macerado que, habitualmente, se ubican en el borde marginal de las palmas y desaparecen minutos después del secado 3. Por lo general, estas lesiones son asintomáticas y, con menor frecuencia, se asocian a ardor, dolor o prurito 3. La hiperhidrosis es un hallazgo frecuente en estos pacientes y, al mismo tiempo, actúa como un factor desencadenante 3,7,10.
La etiología de la queratodermia acuagénica sigue siendo desconocida, pero se han postulado varias hipótesis sobre causas probables, entre ellas, disfunción neuronal, hiperhidrosis, alteración de la osmolaridad y la concentración de sal en el estrato córneo, disfunción de los conductos ecrinos y obstrucción del ostium7. Más recientemente, se ha descrito su relación con alteraciones en las acuaporinas, específicamente la AQ-5 12. La asociación descrita entre queratodermia acuagénica y fibrosis quística 13 podría sugerir que existe una fuerte relación entre la exposición a concentraciones anormales de sal en la epidermis y la patogenia de esta entidad 14. Esto también podría explicar la aparición de lesiones similares que se relacionan con el consumo de inhibidores de la COX-2 15, aminoglucósidos y espironolactona 10.
La biopsia siempre debe tomarse después de la exposición al agua; sin embargo, los hallazgos histopatológicos pueden ser sutiles e, incluso, estar ausentes 16, por lo cual pueden pasar desapercibidos fuera del contexto clínico. La dilatación de los conductos ecrinos es el hallazgo más frecuente, tal como se observó en este caso, pero también pueden verse alteraciones de los acinos ecrinos, con hiperplasia, aspecto granular del citoplasma 16,17, cambios en las células claras 7, núcleos picnóticos y eosinofilia. El estrato córneo puede presentar hiperqueratosis, edema, tinción anormal o pálida y dilatación de los acrosiringios 7,17. Con menor frecuencia, se ha descrito hiperplasia de los acrosiringios, incluso con formación de proyecciones papilares 10, espongiosis de los conductos ecrinos, acantosis de la epidermis e infiltrado linfocitario dérmico 16.
El principal diagnóstico diferencial clínico e histológico es la acroqueratodermia pápulo-traslúcida hereditaria, la cual se caracteriza por lesiones palmares permanentes que se intensifican al entrar en contacto con el agua, como ocurre en la queratodermia acuagénica, pero, a diferencia de esta, no desaparecen al secarse la piel. Histológicamente, se presenta alteración del estrato córneo con hiperqueratosis, hipergranulosis y acantosis, en ausencia de compromiso de los conductos y acinos ecrinos 5.
Aunque la queratodermia acuagénica es una entidad benigna, puede alterar la calidad de vida del paciente. El tratamiento incluye la utilización de mecanismos de barrera, como el sulfuro de petróleo y el cloruro de aluminio. Existen casos reportados con buena respuesta a la toxina botulínica 8 y a la iontoforesis 18, lo que estaría a favor del rol principal de las glándulas sudoríparas en la patogenia de esta enfermedad.
En conclusión, esta entidad es una dermatosis transitoria inducida por el agua, de etiología desconocida, que puede diagnosticarse con una prueba semiológica sencilla, siendo la sospecha clínica fundamental para su diagnóstico. La biopsia debe tomarse únicamente después de que el paciente haya tenido contacto con el agua 17. Dado que los hallazgos histopatológicos pueden ser sutiles o inespecíficos, los antecedentes y la correlación clínico-patológica son imprescindibles para el diagnóstico.















