La esporotricosis es una micosis de implantación causada por Sporothrix spp., un hongo dimorfo de distribución mundial, que se encuentra en la vegetación, en materia orgánica en descomposición y en el suelo. Se describe como una sapronosis cuya forma más frecuente de transmisión es por traumatismo con elementos contaminados con propágulos del hongo 1.
Varios mamíferos son susceptibles a esta infección y los gatos domésticos son los animales que se ven afectados con mayor frecuencia 2. La esporotricosis felina se adquiere por arañazos o mordeduras, o por contacto directo con las secreciones de otros gatos, lo que puede provocar epizootias. Asimismo, estas mascotas pueden transmitirla a los humanos, lo que la convierte en una zoonosis. La ruta alternativa de infección está relacionada con la transmisión animal horizontal, lo que facilitaría la entrada directa de la fase levaduriforme del hongo al individuo 2-5. La inhalación de propágulos fúngicos (conidios o levaduras) puede ser la causa de las lesiones pulmonares o de las formas diseminadas 5,6.
Las infecciones por hongos dimorfos suelen observarse en zonas geográficamente limitadas. En particular, la esporotricosis tiene alta incidencia en Brasil, China y Sudáfrica 7. En el último tiempo, Brasil ha experimentado uno de los mayores brotes epidémicos de esporotricosis de origen zoonótico. Estos brotes se correlacionan con un incremento de casos de esporotricosis en gatos 2-5,8.
Entre las posibles presentaciones clínicas de esta micosis, la forma linfangítica nodular es la más frecuente, seguida por la forma cutánea fija. La forma pulmonar es poco habitual y la forma diseminada es excepcional y se da especialmente en huéspedes inmunocomprometidos 2,6.
Los gatos son los huéspedes animales más susceptibles a la infección por Sporothrix spp. y pueden desarrollar formas graves de esta micosis. La localización más frecuente de la infección es la región cefálica, principalmente la zona de la nariz. Su frecuencia es mayor entre los gatos machos adultos, sin dueño y sin castrar. En estos casos, el examen directo permite observar un elevado número de levaduras en las muestras obtenidas de estas lesiones 2,7,9, a diferencia de lo que ocurre con las lesiones en humanos.
Se dispone de escasos agentes antifúngicos efectivos para tratar la esporotricosis felina. Los casos de fracaso terapéutico son frecuentes en el tratamiento con itraconazol por lo que debería considerarse el uso combinado de distintos antifúngicos con efecto sinérgico 10. El éxito del tratamiento depende de múltiples factores, pero se asocia principalmente con la interacción huésped-hongo 11.
En la esporotricosis humana, el tratamiento de elección en las formas cutáneas o linfocutáneas es el itraconazol 12. También suele utilizarse el yoduro de potasio como primera alternativa 12. En las formas diseminadas o extracutáneas el tratamiento se realiza inicialmente con anfotericina B y luego se continúa con itraconazol 6.
La aplicación de técnicas moleculares para tipificar agentes patógenos fúngicos ha dado como resultado el reconocimiento de especies crípticas en varios géneros. La identificación definitiva de estas especies puede ayudar a definir el origen geográfico del evento causal, así como la fuente probable en los casos en que el paciente no la reconozca 3.
Durante más de un siglo, Sporotrhrix schenckii sensu stricto se describió como el único agente causal de esporotricosis humana y animal 1,3,9,13. Debido a los avances en la identificación molecular, actualmente se sabe que este género comprende aproximadamente 51 especies 14. Entre ellas, especies de interés clínico como Sporothrix brasiliensis, Sporothrix schenckii, Sporothrix globosa y Sporothrix luriei. El resto son especies ambientales y poseen poca o ninguna virulencia para los huéspedes vertebrados de sangre caliente 2,3. Los miembros del complejo Sporothrix pallida (Sporothrix chilensis, Sporothrix gemella, Sporothrix humicola, Sporothrix mexicana, Sporothrix pallida, Sporothrix palmiculminata, Sporothrix protea-sedis y Sporothrix stylites) presentan un leve potencial patógeno para animales y humanos 3,7.
Entre las pruebas de diagnóstico existen algunas basadas en la detección de antígenos y anticuerpos circulantes, pero el estudio micológico, que incluye el examen directo y el cultivo, son los más utilizados. Luego del aislamiento, la identificación de la especie puede realizarse por distintas técnicas moleculares, entre estas la espectrometría de masas o la amplificación y la secuenciación de genes específicos. La genotipificación a nivel de especie puede ayudar a definir el origen geográfico del evento responsable de esta micosis, así como la probable fuente cuando el paciente no la identifique 2.
Conocer la epidemiología de la esporotricosis permite generar políticas de prevención considerando las distintas fuentes de infección, sobre todo aquellas relacionadas con animales.
El objetivo de este estudio fue analizar la epidemiología de la esporotricosis en Argentina entre los años 2010 y 2022; asimismo, describir la presentación clínica, los métodos de diagnóstico y el tratamiento de los casos diagnosticados en este período, conocer los genotipos circulantes y observar su relación con el lugar geográfico de adquisición de la infección.
Materiales y métodos
Se trata de un estudio analítico, retrospectivo y observacional. Se analizaron las historias clínicas de los pacientes con diagnóstico de esporotricosis registrados por 12 instituciones de salud de Argentina entre los años 2010 y 2022.
Como criterio de inclusión en esta casuística se consideraron aquellos pacientes con estudio micológico que incluían el examen directo en fresco y con coloración de Giemsa y cultivos del material obtenido de las lesiones. En los que se obtuvo crecimiento del hongo, se procedió a la identificación del agente causal por métodos fenotípicos o moleculares (espectrometría de masas o secuenciación de genes específicos). Los datos se consignaron en una ficha epidemiológica en formato Excel®.
Identificación
El aislamiento obtenido en los medios de cultivo, incubados a 28 y 37 °C, se identificó fenotípicamente por observación microscópica del microcultivo con montaje húmedo con azul de lactofenol. La identificación molecular se realizó por espectrometría de masas (MALDI-TOF, VITEK MS® o Bruker®) y por secuenciación de los genes ITS1-5.8S-ITS2 y calmodulina.
Se hizo la georreferenciación de todos los casos clínicos. Las imágenes fueron creadas con Adobe Illustrator®.
Resultados
En el período estudiado se diagnosticaron 54 casos de esporotricosis. La mediana de edad de los pacientes fue de 35 años (rango: 11 a 69 años). Treinta y nueve pacientes fueron hombres, 14 mujeres y uno sin dato. En el cuadro 1 se muestran otros datos demográficos.
Cuadro 1. Datos epidemiológicos
| Lugar de residencia* | n | Ocupación | n |
|---|---|---|---|
| Buenos Aires** | 9 | Veterinario | 4 |
| Corrientes | 14 | Tarea rural | 19 |
| Salta | 3 | Trabajo manual | 3 |
| Paraguay | 1 | Empleados | 8 |
| Santa Fe | 5 | Salud | 1 |
| Misiones | 2 | Otras | 8 |
| Santiago del Estero | 1 | Sin datos | 11 |
| Tucumán | 2 | ||
| Chaco | 2 | ||
| San Luis | 1 | ||
| Santa Cruz | 8 | ||
| Sin datos | 6 |
* Al momento de la infección
** Ciudad Autónoma de Buenos Aires, Provincia de Buenos Aires
La descripción de las formas clínicas, la localización de las lesiones y la probable fuente de infección y las comorbilidades se presentan en el cuadro 2. La forma clínica más frecuente fue la linfangítica nodular (54 %), seguida por la forma cutánea fija (32 %). La localización en miembros superiores (63 %) fue la preponderante en esta serie de casos.
Cuadro 2 Datos clínicos
Las formas diseminadas tuvieron compromiso cutáneo, ganglionar, visceral con hepatoesplenomegalia y uno de los casos presentó infiltrado pulmonar cavitado. En solo un caso se pudo comprobar la inmunosupresión del paciente por infección con HIV. Por otra parte, las formas pulmonares se presentaron con fiebre, tos y expectoración mucopurulenta. Uno de los casos era una paciente fumadora, hipertensa y cardiópata; otro caso, un paciente diabético, y el tercero mostró compromiso pleural.
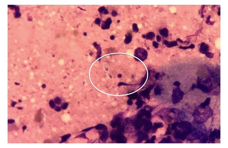
La figura 1 muestra lesiones de diferentes formas clínicas. En más del 85 % de los casos, la punción o biopsia del nódulo subcutáneo fue la muestra que permitió el diagnóstico (cuadro 3). Todos los pacientes fueron diagnosticados por medio del cultivo positivo, mientras que el rendimiento del examen directo fue del 19,2 %.En la figura 2 se muestra la coloración de Giemsa de la muestra clínica obtenida por escarificación de la lesión cutánea de la pierna del paciente de la figura 1A. La imagen del microcultivo de Sporothrix spp. se presenta en la figura 3.

Figura 1 A y B. Lesión en miembro inferior izquierdo y en antebrazo izquierdo de esporotricosis linfangítica nodular. C. Lesión en mano de esporotricosis cutánea fija. D. Lesiones en tronco de esporotricosis diseminada.

Figura 3 Microcultivo a 28 °C de Sporothrix spp., obtenido en cultivo primario. Azul de lactofenol, 400X.
Las especies aisladas se listan en el cuadro 3. Cabe destacar que solamente en 22 casos se realizó la identificación a nivel de especie mediante técnicas moleculares. En los otros 32 casos se identificó como S. schenckii sensu lato.
Sporothrix brasiliensis se aisló en 8 de 9 casos de pacientes que habían sido arañados o mordidos por gatos; S. globosa se encontró en un enfermo que había sufrido traumatismos con árboles. En dos casos en los que se aisló S. schenckii sensu stricto, la fuente de infección fueron los gatos, así como otros siete casos donde el agente etiológico fue identificado como complejo S. schenckii ya que no se realizó la identificación molecular.
La distribución geográfica de los casos presentados se muestra en la figura 4.
Un paciente no hizo el tratamiento y en 24 no se informó la recepción de la medicación. Los medicamentos utilizados y la duración del tratamiento se describen en el cuadro 4.
Discusión
La esporotricosis es la micosis de implantación de mayor prevalencia y distribución a nivel mundial 2,3,7. Se han descrito áreas hiperendémicas en Latinoamérica, Asia y África, que deben tenerse en cuenta sobre todo en pacientes que refieran viajes recientes 3,10. Aunque está estrechamente relacionada con personas que realizan tareas con alto riesgo de traumatismo, sobre todo agricultores, desde hace unos años comenzó a observarse su transmisión por animales como gatos domésticos y armadillos 2,7.
Esta enfermedad históricamente fue vinculada con una sola especie, S. schenckii. Actualmente, dentro de este género se reconocen varios clados que pueden vincularse con un área geográfica determinada, aunque aún en muchas regiones, la mayoría de los aislamientos no han sido estudiados en detalle 7. En relación con lo señalado, podemos decir que S. schenckii sensu stricto tiene una distribución geográfica amplia o global, S. brasiliensis es hiperendémica en Brasil y ha comenzado a diseminarse en otros países latinoamericanos como Paraguay, Argentina y Panamá 2. Sporothrix globosa, aunque tiene menor virulencia que las antes mencionadas 14, constituye el 99 % de todas las especies aisladas en Asia 15 y que ha sido descrita en diversas partes del mundo 13,14. Sporothrix luriei o S. mexicana fueron reportadas en pocas ocasiones 2,7.
En nuestra casuística se registraron casos en diferentes áreas geográficas de nuestro país. También se hizo el diagnóstico de esta micosis en un paciente que refirió haber adquirido la infección durante un viaje a Rio de Janeiro (Brasil). Estas regiones tienen diferentes características climáticas, de suelo y tipo de vegetación. Esta distribución se puede observar en la figura 4.
En Rio de Janeiro, donde la población de gatos callejeros es elevada, se han detectado más de 5.000 casos en los últimos años. Estos animales son los protagonistas de la transmisión de la esporotricosis al hombre en un brote zoonótico sin precedentes 3,4. La especie responsable de esta zoonosis es S. brasiliensis11. Recientemente, fue publicado un trabajo que relaciona la alta carga fúngica en las gotitas respiratorias expulsadas en el estornudo de los gatos infectados con la esporotricosis en humanos 5 y, en especial, con las formas extracutáneas como la granulomatosa conjuntival 2.
El dimorfismo térmico de Sporothrix es una adaptación morfológica importante que condiciona la patogenicidad de esta infección y es compartida con otros agentes patógenos humanos, filogenéticamente distantes, como aquellos de los órdenes Onygenales y Eurotiales. Las especies de Sporothrix anidadas en el clado patogénico son hongos termodimorfos que responden de manera más eficiente a los estímulos térmicos. Sporothrix brasiliensis expresa diferentes mecanismos de virulencia como termotolerancia y expresión de adhesinas y melanina, y es la especie más virulenta en algunos modelos de ratón. Esta especie se asocia con formas atípicas y más graves de la enfermedad, incluida la infección cutánea diseminada en huéspedes inmunocompetentes y la enfermedad sistémica 2,3. Asimismo, parece ser menos sensible a determinados agentes antifúngicos como el itraconazol o la anfotericina B 10.
Otras especies como S. schenckii, S. globosa o S. luriei son responsables de un número mucho menor de casos de esta enfermedad en estas latitudes. En otros estados brasileños, como el de Rio Grande do Sul, los casos de esporotricosis también están aumentando, aunque en menor medida 16.
En los casos de nuestro país, de los pacientes que sufrieron heridas o inoculación por el contacto con gatos, se aisló S. brasiliensis en 8 de 17 casos y S. schenckii sensu stricto en dos casos; en los siete casos restantes no se hizo la identificación molecular. Por otra parte, S. globosa se asoció a traumatismos con elementos vegetales, aunque cinco de los casos en los que se identificó S. schenckii sensu stricto como agente causal también tuvieron relación con el traumatismo con material vegetal.
En todos los casos presentados en este trabajo, el diagnóstico se realizó por los métodos convencionales a partir del examen micológico de las diferentes muestras clínicas. La punción o biopsia de nódulos subcutáneos fue la muestra clínica con mejor rendimiento para el diagnóstico (85 % de los casos). El cultivo en medios habituales y a dos temperaturas sigue siendo el método para la confirmación del diagnóstico frente al examen directo en fresco o coloreado, los cuales tuvieron un escaso 19,2 % de positividad.
El avance de esta micosis en ciertas áreas geográficas y la presencia de Sporothrix spp. en los gatos generó la investigación y la aplicación de técnicas rápidas para el diagnóstico de esta micosis 17. En un estudio llevado a cabo en Brasil, se realizó la detección de anticuerpos anti-Sporothrix por la técnica de inmunocromatografía en sueros de 100 pacientes con diferentes formas clínicas. Esta técnica mostró una sensibilidad del 83 % y una especificidad del 82 %. Estos resultados evidenciaron que Anti-Sporo LFA, IMMY® es una herramienta prometedora para el diagnóstico rápido de esta micosis 17.
El tratamiento de elección en las formas cutáneas o linfocutáneas es el itraconazol a una dosis diaria de 6 a 10 mg/kg con un máximo de 400 mg por día 12,18. Solo en México se utiliza el yoduro de potasio como primera alternativa 12,19. En las formas diseminadas o extracutáneas, el tratamiento se lleva a cabo inicialmente con anfotericina B y luego se continúa con itraconazol 6.
El tiempo promedio de tratamiento es de 3 a 6 meses y siempre se recomienda continuar 2 a 3 semanas más, una vez que se observa mejoría clínica 16.
En los últimos años se ha observado una pobre respuesta al tratamiento con itraconazol en especial con los casos de S. brasiliensis20. Aunque aún no hay una recomendación general, en algunos casos se podría utilizar terapia combinada con terbinafina o yoduro de potasio 19,21. La respuesta terapéutica no solo está ligada a la especie implicada, sino también a la forma clínica y las comorbilidades del huésped 16.
En esta serie de casos el itraconazol fue la medicación más utilizada, aunque en tres casos se indicó la terapia combinada por la escasa respuesta clínica con la monoterapia. Esta parece ser una alternativa cuando la respuesta no es la esperada.
En Argentina, la esporotricosis linfangítica nodular es la forma clínica más frecuente. Es importante destacar la presencia de S. brasiliensis y su transmisión zoonótica ya que generó la aparición de casos en zonas con clima poco favorable para esta micosis. Con lo anterior, el reconocimiento de esta infección es necesaria porque puede acontecer en regiones no habituales. De igual forma, se requiere impulsar la identificación molecular de los aislamientos para conocer la distribución geográfica de las especies de este género.















