INTRODUCCIÓN
El eccema herpético, o también llamado erupción variceliforme de Kaposi (EVK) fue descrito por Moritz Kaposi en 1884; es una rara condición cutánea producto de una infección viral diseminada, principalmente causado por reactivación del virus herpes simple tipo 1 (VHS-1) en pacientes con enfermedades cutáneas crónicas o inmunosuprimidos 1,2.
Las infecciones de la piel y tejidos blandos representan la tercera causa de consulta por enfermedades infecciosas a los servicios médicos en Colombia, después de las infecciones respiratorias y urinarias 3.
El aumento de la incidencia de las infecciones de la piel y de los tejidos blandos puede estar relacionada con el envejecimiento de la población, el mayor número de comorbilidades, los estados de inmunosupresión ya sea por el compromiso del sistema inmune secundario a patologías o por fármacos y el uso indiscriminado de antibióticos 3. Además, el antecedente de patologías dermatológicas, que se presenta en un alto porcentaje de ancianos.
Caso clínico
Paciente masculino de 78 años que acudió al servicio de urgencias del Hospital Universidad del Norte (HUN) con una erupción pruriginosa generalizada de 15 días de evolución con empeoramiento de su cuadro clínico en las últimas 72 horas; como antecedentes personales de importancia presenta insuficiencia renal crónica más cuadro marcado de desnutrición. Automedicado con ciprofloxacino sin presentar mejoría del cuadro clínico y niega pródromos virales y uso de tratamiento tópico en las lesiones cutáneas.
Al examen físico paciente afebril, edema palpebral bilateral, lesiones vesiculares denudadas formando áreas extensas de superficie esfacelada, comprometiendo mentón, mejillas, pabellones auriculares y cuello, con secreción serosa y formación de costras melicéricas; en región anterior y posterior de tórax se evidenciaban similares lesiones vesiculares, múltiples con formación de áreas de esfacelación en abdomen y en área axilar con la presencia de exudado seroso. A nivel de miembros superiores e inferiores encontramos igual clínica con costras secundarias a vesículas e islotes de piel sana en muslos.

Fuente: elaboración propia, realizada en el Hospital Universidad del Norte en el servicio de unidad de cuidados intensivos (UCI).
Figura 1 Aspecto de las lesiones en el rostro (A), (B) en axila, (C) en tórax y (D) en brazos al momento de realizar el diagnóstico
Con lo anterior se hizo una impresión diagnóstica de erupción variceliforme de Kaposi versus Pénfigo Vulgar versus Eritrodermia, por lo que se solicitó biopsia de piel.

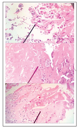
Fuente: elaboración propia, realizada en el laboratorio de patología del Hospital Universidad del Norte.
Figura 2 Estudio Histopatológico: Células gigantes multinucleadas con cambios citopáticos
El estudio histopatológico mostró hallazgos compatibles con erosión extensa del epitelio, depósito de fibrina, detritus celulares y acúmulos bacterianos, reconociéndose infiltrados mixtos con neutrófilos y hacia el borde de la biopsia remanente de epidermis, células epiteliales con inclusiones nucleares, núcleos celulares con cromatina dispersa hacia la periferia y células gigantes multinucleadas con cambios citopáticos, con diagnóstico de erupción variceliforme de Kaposi.
Entre los paraclínicos solicitados se reporta hemocultivo positivo para Staphylococcus Haemolyticus, además un cuadro de anemia leve con hemoglobina de 11.6 gr/dl y leucopenia de 2 9610^9/L, glucemia basal 142 mg/d, disminución de la función renal, BUN 36.45 mg/dl, Urea 78 mg/dl, creatinina en sangre 3.21 mg, con un CKD-EPI 20.3, PCR 129.2 mg/, alteración hepática a expensas de AST por encima de 5 veces su valor normal, sin criterios de falla hepática, LDH: 740U/l 3 veces por encima de su valor normal, con prueba ELISA para VIH no reactiva. Diagnóstico serológico de infección positiva para herpes simple tipo I con IgG: 30.4, IgM:4.5 y herpes simple tipo II IgG :5.1 e IgM:5.0, en 24 horas de su ingreso el reporte de la hemoglobina disminuyó 10.7 gr/dl y de leucocitos a 1 1210^9/L.
Se inicia tratamiento con cefazolina, 1 gramo cada 8 horas por vía intravenosa, y aciclovir, 250 mg cada 24 horas por vía intravenosa, dosis ajustada por enfermedad renal crónica.
Se solicita interconsulta al servicio de nutrición por IMC de 15.3 Kg/M2, peso actual de 48 kg, 22 kg por debajo del peso ideal para su edad y talla, además de edema generalizado, por lo que nutrición lo clasificó como desnutrición severa e inició tratamiento con soporte nutricional.
El paciente fallece a los dos días de estancia hospitalaria en el contexto de sepsis de foco cutáneo secundario a sobreinfección por Staphylococcus Haemolyticus.
DISCUSIÓN
El eccema herpético tradicionalmente se asocia a VHS-1, pero también se ha descrito virus herpes simple tipo 2, Coxsackie A 16, virus de la vacuna de la viruela (vaccinia) y varicela zoster 4. En el envejecimiento suele presentarse en ancianos con patologías cutáneas previas. Lo llamativo de este caso es que no se documentó dicho antecedente, pero el paciente, por su edad per sé y el antecedente de enfermedad renal crónica, presentaba xerodermia.
Suele afectar a pacientes con enfermedades cutáneas crónicas o inmunocomprometidos; ocurre aproximadamente en el 3 % de pacientes con dermatitis atópica pero también se ha encontrado en la enfermedad de Darier, pénfigo foliáceo, ictiosis vulgar, dermatitis seborreica, dermatitis de contacto, psoriasis, pitiriasis rubra pilaris 5,6 micosis fungoide, síndrome de sézary 2 y posterior a procedimientos estéticos en región facial como dermoabrasión y terapia láser 1.
Se debe a una replicación descontrolada del HSV en piel previamente dañada con alteración en la función de barrera cutánea; la disrupción de las uniones celulares expone nectina-1 y permiten la entrada del virus a las células; asociado esto a una deficiencia en la respuesta inmune humoral y celular, disminución de las células dendríticas plasmocitoides, pobre producción de interferón gamma, lo cual aumenta la susceptibilidad a infecciones virales 5,7.
El cuadro clínico consiste en lesiones tipo vesículas umbilicadas agrupadas o diseminadas que evolucionan a erosiones hemorrágicas perforadas; se localizan principalmente en cabeza, cuello y tórax, son dolorosas y tardan entre 2-6 semanas en sanar asociándose a compromiso sistémico dado por fiebre y linfadenopatía regional 2,4,6.
Entre las complicaciones se encuentra la queratitis viral y algunas con alta mortalidad como la neumonía viral, hemorragia suprarrenal, encefalitis, meningitis y superinfección bacteriana 8 por agentes como Staphylococcus Aureus, Streptococcus betahemolíticos y pseudomonas5.
El diagnóstico es clínico; en caso de duda, se puede utilizar Test de Tzanck, que es una herramienta rápida y de bajo costo para confirmar infección por herpes virus; tiene una sensibilidad de 40-80 % y especificidad hasta 100 %; sin embargo, no permite diferenciar si la infección es por herpes simple virus 1 o 2 9. Otras ayudas diagnósticas incluyen la detección de ADN viral mediante PCR, tomar muestras de fluido vesicular para cultivo y serología viral y estudio histopatológico con biopsia 6.
El manejo consiste en terapia antiviral sistémica, tratamiento de la sobreinfección bacteriana, si es necesario, evaluación oftalmológica por el riesgo de queratitis 8 y uso de emolientes y humectantes para restaurar la barrera cutánea 10.
El medicamento antiviral de elección es aciclovir; antes de la invención de este, la mortalidad por EVK era del 70 % 5; debe iniciarse inmediatamente a una dosis de 10-20 mg/kg/día vía intravenosa por 7 días 1,2. Si la condición clínica lo permite, se podría dar vía oral, 400-800 mg 5 veces al día por 5 a 10 días 10. Para pacientes con depuración de creatinina entre 10 a 25 mL/ minuto/1.73 m2 la dosis se ajusta a 5 mg/kg/dosis cada 24 horas 11.
El tratamiento antibiótico está indicado si existe riesgo de sobreinfección bacteriana o sepsis, cubriendo al paciente del S. aureus resistente a la meticilina. Se deben evitar los esteroides tópicos o sistémicos, ya que su uso es controvertido 1,10.
En el paciente se aisló el Staphylococcus Haemolyticus; se trata de una bacteria Gram positiva coagulasa negativa que con frecuencia coloniza la piel de axilas y de la región inguinal, asociándose a infecciones de tejidos blandos y nosocomiales 12. Los factores de riesgo relacionados son mal-nutrición, inmunosupresión y el uso de dispositivos intravasculares 13.
La importancia de este caso clínico radica en lo infrecuente de la patología, la clínica florida en un paciente inmunosuprimido con varias comorbilidades; desnutrición severa y sobreinfección mortal con Staphylococcus Haemolyticus. Además, la edad del paciente predispone para xerosis y hace susceptible a un grupo poblacional poco prevalente a sufrir la enfermedad discutida.













