INTRODUCCION
La tetralogía de Fallot (TOF) es la malformación cardiaca congénita cianosante más frecuente después del periodo prenatal, su incidencia se ubica en 0,1/1000 nacidos vivo, con descripciones desde hace más de 200 años; en un principio catalogados como defectos independientes hasta que Etienne-Louis Arthur Fallot en 1888 los agrupó y formó su complejo, al cual llamo "la maladie bleue" o "el mal azul" 1. Fue la primera cardiopatía cianosante paliada, utilizándose inicialmente una fístula sistémico-pulmonar y con el advenimiento de la circulación extracorpórea (CEC) se alcanza el manejo actual, evolucionando su historia al ritmo de la cirugía cardiovascular y la tecnología2,3.
HISTORIA
La primera descripción de la TOF fue realizada posiblemente en 1671 por Niels Stensen4, quien identifica una serie de malformaciones en el corazón de un feto; entre ellas, la arteria pulmonar era de menor tamaño que la aorta, con ausencia del conducto arterioso y comunicación interventricular (CIV) subaórtica. Posteriormente, en 1774, publican 3 casos póstumos de cardiopatía congénita, entre ellos un paciente de 13 años. Para 1777 Edouard Sandifort hace la descripción de un paciente, "el niño azul", que había sido estudiado por asma, sin embargo, en la autopsia se revelaron los cambios característicos de esta enfermedad 5.
Falllot en 1888 agrupa las características en una sola patología que causaba la cianosis "el mal azul"(6; pero es Maude Abbott quien acuñó el nombre de "tetralogía de Fallot" en 1924 en honor al aporte realizado. En 1931 se inicia la colaboración conjunta entre Abbott y Helen B. Taussig en la Academia de Medicina de Nueva York. En 1938 Abbott describe que la TOF cursa en un 20 % con arco aórtico derecho. Abbott fallece varios años antes de que Blalock y Taussig cambiaran la historia natural de los pacientes con TOF por la creación de una fístula sistémico pulmonar33,34,35. Varias publicaciones de Maude Abbott se reimprimieron hasta su muerte, y Bauer y Astbury han publicado una bibliografía completa de los 1000 casos analizados en el Atlas de Maude Abbott33.
EPIDEMIOLOGIA
Según la red europea de registros de población para vigilancia epidemiológica de anomalías congénitas (EUROCAT) 7, la prevalencia en Europa es 71,88 por 10 000 nacidos. En Estados Unidos de América, la prevalencia aumenta a 81,4 por 10 0008. En Latinoamérica hay variedad de resultados por las características poblacionales, factores ambientales, genéticos, étnicos y epidemiológicos11, variando desde un 5,9 por 10 000 en Bolivia hasta 90 por 10 000 en Brasil 9. En Colombia, la prevalencia es de 15,73 por 10 000 de 2001 hasta 200810.
La TOF representa el 3,5 % de las cardiopatías, su incidencia es aproximadamente 0,28 por 1000 recién nacidos vivos y afecta ambos sexos en la misma proporción. La mayoría de los casos son de carácter esporádico; el riesgo de transmisión en familiares de primer grado es del 3 % 12,13. Un estudio publicado por la American College of Cardiology en 2004, reporta asociación de 6 % entre Fallot y otros síndromes cardiogéneticos 14,15. Las microdeleciones en la región 22q11 se presentan en 83 % de individuos con síndrome velocardiofacial, 94 % de aquellos con síndrome de DiGeorge, 20 % de pacientes con TOF y 40% con TOF con atresia pulmonar (AP) 49.
Las técnicas de hibridación fluorescente in situ permiten la detección de esta microdeleción, evaluando riesgo de complicaciones en el período perioperatorio (hipocalcemia y reacción injerto contra huésped con el uso de sangre no irradiada), asociación con dificultades de aprendizaje y posibles implicaciones hereditarias para familiares cercanos48. Mutaciones del gen jagged1 (JAG1; cromosoma 20p12),que causan el síndrome de Alagille, muestran una superposición clínica con trastornos por deleción 22q11.2 y puede causar TOF aislado31,53. Se han informado mutaciones del gen NK2 homeobox 5 (NKX2.5; cromosoma 5q35) en el 4 % de los casos no sindrómicos de pacientes con TOF 32,54. Otras variantes genéticas asociadas a TOF incluyen: proteína dedo de zinc, multitipo 2 (ZFPM2) 55; factor de diferenciación del crecimiento 1 (GDF1); GATA456; cripto, Frl1, críptico 1 (CFC1); factor 1 de la caja de transcripción forkhead(FOXH1) 57; factor de crecimiento 1 derivado del teratocarcinoma(TDGF1); nodal (NODAL); y GATA658. Se han identificado 11 variantes de número de copias de novo asociadas a TOF; estas regiones incluían los cromosomas 1q21.1, 3p25.1, 7p21.3 y 22q11.2. 59,60.
DEFINICIÓN
La TOF se caracterizada por cuatro defectos: CIV subaórtica grande, estenosis pulmonar (EP), cabalgamiento aórtico e hipertrofia ventricular derecha (HVD). Cuando se asocia a comunicación interauricular (CIA) recibe el nombre de "pentalogía de Fallot".
ANATOMÍA
Para el entendimiento de esta patología es necesario establecer la lesión inicial, en la cual, acorde con las descripciones actuales, no existe ausencia del septum conal sino un hipodesarrollo del mismo generando: (figura 1) 6,32:

Figura 1 Características patológicas de TF. desplazamiento anterior, izquierdo y superior del tabique infundibular en relación con el resto. Da lugar a un tipo de desalineación anterior del defecto del tabique ventricular, EP, con un pequeño anillo de válvula pulmonar y válvula aórtica predominante. Ao, aorta; MV, válvula mitral; PA, arteria pulmonar; TV, válvula tricúspide.
Obstrucción del infundíbulo pulmonar provocando EP, pudiéndose ubicar en la región subvalvular, valvular o supravalvular16.
El defecto interventricular asociado al hipodesarrollo del septum conal produce desalineamiento generando la desviación anterior de la aorta 17.
El cabalgamiento aórtico y la ausencia del tabique generan comunicación entre los ventrículos 18.
La ausencia de diferencia de presiones entre los ventrículos dado por la CIV asociada a la EP obliga al ventrículo derecho(VD) a ejercer mas fuerza para vencer la resistencia vascular sistémica y la obstrucción pulmonar lo cual genera hipertrofia del mismo18.
La anatomía segmentaria más frecuente es la levocardia, situs atrial normal con conexiones atrioventricular y ventriculoatrial concordantes. La TOF en situs inversus totalis es poco común, así también la dextrocardia aislada (<5%). Aun menos frecuente en pacientes con lateralización visceral incompleta, generalmente isomería izquierda con o sin poliesplenia36.
Las denominadas anomalías de arborización pueden ser evidentes en el paciente con TOF, más comunes en pacientes con atresia pulmonar y múltiples colaterales aortopulmonares. Las arterias bronquiales agrandadas son comunes en lactante y niños menores de 5 años, lo que se refleja con hipoxemia y policitemia. Es poco frecuente la evidencia de colaterales aortopulmonares grandes en el paciente con Fallot no complicado37.
En pacientes con fallot extremo o con CIV y múltiples colaterales y ausencia de sexto arco, se puede realizar unifocalizacion de las mismas siempre y cuando no se encuentren hipertensas. La incidencia de la coartación de la arteria pulmonar se ha estimado en un 25 % 38 de pacientes con TOF clásica, las arterias pulmonares derecha e izquierda pueden ser no confluentes con una arteria pulmonar, por lo general la izquierda se origina en la aorta ascendente o puede tener un origen ductal distal y con el cierre ductal, la arteria pulmonar ipsilateral se aísla39.
FISIOPATOLOGÍA
Las consecuencias hemodinámicas dependen del grado de obstrucción al flujo pulmonar3, lo cual determina aparición e intensidad de las manifestaciones19. La cianosis dependerá de la dirección del cortocircuito20. Si la obstrucción opone poca resistencia, tanto que esta sea menor que la resistencia sistémica, el cortocircuito será izquierda-derecha y el paciente no mostrará cianosis21.
Las saturaciones de oxígeno son normales ("Fallot rosado"), la insuficiencia cardiaca congestiva (ICC) ocurre con la disminución normal de las presiones arteriales durante las primeras semanas de vida. Cuando el grado de estenosis u obstrucción es severo, la resistencia al flujo en la salida pulmonar será mayor que la resistencia sistémica, por lo tanto ,el cortocircuito será de derecha-izquierda, pero la mezcla de sangre se dará a nivel de la aorta, manifestando su coloración azulada19, y las saturaciones de oxígeno suelen rondar el 70 % (figura 2).

Figura 2 Diagrama esquemático de saturaciones de oxígeno (valores un círculo) y presiones en la anatomía nativa de la TOF, La presión sistémica en el VD (90/8), con gradiente de presión a través del tracto de salida del ventrículo, que resulta en una presión arterial pulmonar relativamente baja (20/5). Una derivación de derecha a izquierda en el ventrículo izquierdo se nota por la disminución en la saturación de oxígeno desde la aurícula izquierda (99 %) hasta el ventrículo izquierdo (94 %). La aorta predominante recibe una mezcla del VD y del ventrículo izquierdo.
Cuando un adulto presenta TOF no reparada, la fisiología suele ser la de obstrucción leve o leve a moderada del tracto de salida del VD 39.
PRESENTACION CLINICA
Neonato
El VD neonatal está bien equipado para expulsar contra la resistencia vascular sistémica; la CIV permite la descompresión. El VD se ha analizado en términos de sus porciones de entrada, trabecular apical y salida40. La porción trabecular apical ocupa la mayor parte de donde se produce la sobrecarga, la porción de salida con disminución en la fuerza de expulsión, y la porción de entrada no fue significativa. La insuficiencia del VD es infrecuente41. Sin embargo, la insuficiencia biventricular en las primeras semanas de la vida acompaña a la atresia pulmonar con flujo excesivo a través de grandes colaterales arteriales sistémicas42. El tejido accesorio de la valva septal de la tricúspide que ocluye parcialmente la CIV da como resultado presión sistólica suprasistémica e insuficiencia ventricular derecha40; la ausencia de válvula pulmonar da como resultado una sobrecarga de volumen del VD.
Grado leve de EP: La mayoría con estado general y hemodinámico conservado al nacer24. Al examen físico se ausculta un soplo sistólico rudo precordial20. El segundo ruido presenta el componente pulmonar disminuido o ser simplemente único31. No suele existir cianosis franca al momento del nacimiento y la hipertrofia infundíbulo pulmonar es progresiva conforme crece el paciente. La cianosis puede presentarse de manera ocasional con el llanto o el pujo por aumento del cortocircuito de derecha a izquierda 16,19.
Grado severo de EP: La cianosis se observa dese el nacimiento y pueden invertirse los cortocircuitos fisiológicos, llegando incluso a requerir intervención quirúrgica o endovascular 23,16.
Lactante y niño mayor
En el lactante, la cianosis se instaura paulatinamente por aumento progresivo del grado de EP hasta hacerse constante 24. Pacientes con cianosis de larga evolución piel oscura y azulada, escleras grisáceas con vasos sanguíneos ingurgitados y acropaquias 16 (historia natural de la cardiopatía no paliada).
- En niños mayores con obstrucción marcada o durante el esfuerzo físico pueden adoptar una postura de acuclillamiento o genupectoral sobre el torso de los padres; esto de manera natural les permite aumentar la resistencia sistémica 6, favoreciendo el paso de sangre hacia el lecho pulmonar6,16. Taussig describió la preferencia por ciertas posturas que no sea en cuclillas (figura 3) 43.

Figura 3 Dibujos que ilustran posturas asumidas para alivio de disnea en la TOF: 1. cuclillas; 2 sentado con piernas estiradas hacia abajo (equivalente en cuclillas); 3, piernas cruzadas de pie; 4, bebé sostenido con las piernas flexionadas en el abdomen; y 5 acostado.
El pulso arterial es normal, independientemente de la gravedad de la EP. Pacientes con TOF por regla general tienen subdesarrollo, el flujo sanguíneo arterial lateral que acompaña a la atresia pulmonar produce ICC y los efectos catabólicos producen desarrollo físico deficiente 43.
PALPACION: En 1839, James Hope describió un "aumento de la pulsación en la parte inferior del esternón" como signo de HVD. El VD expulsa a presión sistémica con poco o ningún aumento en su fuerza de contracción. En consecuencia, el impulso precordial es suave, análogo al impulso del VD neonatal normal. El impulso del VD se relega al cuarto y quinto espacio intercostal izquierdo y el área subxifoidea por la estenosis infundibular 43 (figura 4).

Figura 4 La presión sistólica del ventrículo derecho (VD) es prácticamente idéntica a la de la arteria femoral (FA) presión sistólica. La presión telediastólica del VD es normal.
AUSCULTACIÓN: Los sonidos de eyección se originan en una aorta dilatada, por tanto, son importantes signos auscultatorios de estenosis o atresia pulmonar severa (figura 5). El sonido de eyección aórtica es máximo en el borde esternal superior derecho, pero cuando es fuerte se escucha a lo largo del borde esternal izquierdo y hacia el ápice. El sonido de eyección puede disminuir selectivamente con la inspiración, a pesar de que se origina en la raíz aórtica en lugar de en la válvula pulmonar. Los sonidos de eyección pulmonar están ausentes, debido a que la válvula pulmonar bicúspide estenótica no es suficientemente móvil44. Estos signos auscultatorios están estrechamente relacionados con la gravedad de la EP. Como la EP aumenta, el murmullo de la derivación se vuelve decreciente y termina antes del componente aórtico de el segundo sonido 43.

Figura 5 Fonocardiogramas de niña de 11 años con TOF y atresia pulmonar. Rastreo del segundo espacio intercostal derecho (2 RICS) muestra una aorta sonido de expulsión (E) prominente durante la espiración (Exp) pero ausente durante la inspiración (Insp). Fonocardiograma de debajo de la clavícula derecha muestra un suave soplo continuo (flechas emparejadas) (S1 1/4 primer ruido cardíaco; A2 1/4 componente aórtico del segundo sonido).
Crisis hipoxicas
También denominadas hiperpnea paroxística, ataques sincopales, episodios hipóxicos o hipercianóticos, algunos las presentan de manera natural por la disminución del volumen intravascular como primera causa. El incremento del cortocircuito de derecha a izquierda provoca una caída en la pO2 arterial y pH y un aumento pCO2, el centro respiratorio y cuerpo carotideo reaccionan de forma exagerada, provocando hiperpnea, que aumenta aún más el Ge y perpetúa el ciclo43.
Por esto, pacientes con TOF y obstrucción severa deben evitar deshidratación por diarreas, sudoración excesiva, infecciones respiratorias, estrés quirúrgico, fiebre, los cuales depletan el volumen intravascular; esta última se maneja con: 1. Expansores de volumen o cristaloides, 2. Corrección de alteraciones acido base, 3. Medidas farmacológicas para el incremento de la resistencia vascular sistémica (noradrenalina, vasopresina, fenilefrina), 4. Oxigenación. La incidencia máxima se encuentra entre el segundo y sexto mes de vida, pocos episodios después de 2 años de edad y raramente en adultos. Cuando el paciente presenta más de una crisis hipoxica o esta se perpetúa en el tiempo, puede llevar a la muerte del niño, y por ende, es necesario considerar la estabilización y la cirugía prioritaria/inmediata31.
DIAGNÓSTICO
1. Ecocardiografía fetal: Permite una aproximación de posible diagnóstico de un 65% en personal entrenado 27.
2. Presentación clínica: Depende fundamentalmente del grado de obstrucción pulmonar. Con el paso de días o algunas semanas, la estenosis infundibular se acentúa, la cianosis aparece y eventualmente desencadena crisis de hipoxia 24.
3. Electrocardiograma (EKG): Tiende a ser un reflejo confiable de la fisiología de la TOF( 43) (figura 6) 31. Los hallazgos electrocardiográficos en un paciente con TOF generalmente no difieren de un paciente sin cardiopatía. Lo más característico generalmente se presenta después de la cirugía paliativa, en la que de manera típica el paciente presenta bloqueo de rama derecha. En términos generales, se han descrito los siguientes hallazgos:
a. Ya que la fuerza de contracción de la aurícula derecha (AD) no aumenta y no está agrandada, las ondas P suelen ser normales en pacientes jóvenes y rara vez aumentan de amplitud pero pueden tener un pico, la duración tiende a ser corta porque la aurícula izquierda (AI) está subllenada y tiene fuerza mínima terminal.
b. El intervalo PR es normal porque el sistema de conducción es normal.
c. El eje QRS es el mismo que en un recién nacido sano; el eje y la dirección de la despolarización ventricular no cambian a medida que el neonato madura porque las demandas funcionales del VD no cambian; ocasionalmente existe retraso de la conducción periférica en el adulto 45.
d. Desviación del eje izquierdo con despolarización en sentido antihorario.
e. HVD caracterizada por una alta onda R monofásica en derivación V1, con patrón rS en
f. Presencia y profundidad de ondas Q y la amplitud de las ondas R en las derivaciones V5-6 son signos de la magnitud del flujo sanguíneo pulmonar y del llenado del VI.
g. Ondas T en derivadas precordiales derechas son isobifasicas o invertidas.
h. A medida que aumenta la obstrucción del flujo de salida, los complejos qR precordiales izquierdos son menos prominentes y altos, a la derecha persisten las ondas R precordiales.
i. En el VD de doble cámara, el aumento de la presión y la masa del VD muestran en las derivaciones una progresión QRS normal desde V1-6, una onda T aplanada en la derivación V3, y este puede ser el único signo electrocardiografía» de HVD 43
j. Los defectos con EP leve se asocian a signos modestos de hipertrofia ventricular derecha manifestada por un eje QRS relativamente anterior y desviado a la derecha, un patrón rSr0 en la derivación V1 y ondas T precordiales derechas erectas persistentes.

Figura 6 Ekg de niña de 2 años con TOF. Ondas P en las derivaciones 1, 2, 3 y V2-3 puntiagudas, pero no altas. Desviación moderada del eje derecho con despolarización en sentido horario. HVD representada por una onda R monofásica con muescas en la derivación V1. Las ondas T precordiales derechas eran normales porque el ventrículo derecho La presión sistémica no superó a la sistémica. Ahí está el típico cambio brusco de una onda R en la derivación V1 a una rS en la derivación V2. Las ondas Q están ausentes en las derivaciones precordiales izquierdas porque el VI estaba subllenado.
4. Radiografía de tórax (Rx)
a. En la TOF cianótica, la vascularización pulmonar se reduce y los tercios medio y externo de los campos pulmonares muestran una escasez de marcas vasculares debido a una reducción en el tamaño de las arterias y venas intrapulmonares (figura 7) 44. El pulmón derecho es ocasionalmente menos vascularizado que el izquierdo. En la AP hay un patrón reticular sin la disminución normal del calibre de vasos hacia la periferia. Los patrones de circulación arterial colateral no son uniformes, tienen algunas áreas oligémicas y otras normal o hipervascularizadas (figura 8) 43 .

Figura 7 Rx niña de 4 años con TOF cianótica. El corazón suele tener forma de bota. Por VI pequeño con llenado insuficiente se encuentra en la parte superior a un tabique ventricular relativamente horizontal y un surco interventricular elevado (punta de flecha sin marcar), HVD concéntrico, Aorta ascendente (Ao) prominente, Segmento arterial (PA) es cóncavo y los pulmones son oligémicos.
- El tamaño de la aorta ascendente tiende a variar inversamente al flujo sanguíneo pulmonar y volumen del VI por atresia del conducto arterioso fetal (figura 8). El tamaño del corazón en la TOF cianótica es normal (figura 7). La AD y VD hacen frente a la resistencia sistémica sin dilatarse, y la AI y VI están subllenados y son por tanto pequeños. En la AP, el tamaño cardíaco tiende a ser mayor en respuesta al flujo a través del sistema colaterales arteriales.

Figura 8 Rx niño de 20 días de edad con TOF y atresia pulmonar. El vértice en forma de bota está enfatizado por el segmento cóncavo de la arteria pulmonar principal (flecha) y el lado derecho.
La configuración del corazón ha sido tema de interés en la TOF debido a la apariencia distintiva en forma de bota o coeur en sabot, madera de un palo de golf, especialmente cuando el arco aórtico derecho y un segmento cóncavo de la arteria pulmonar acentúan la configuración del borde cardíaco izquierdo.
Los resultados de la forma de la bota son la combinación de un VI pequeño con llenado insuficiente que se encuentra por encima de un tabique ventricular horizontalizado, con hipertrofia concéntrica pero sin dilatación del VD 46.
El "coeur en sabot" (corazón en bota)es poco común en los recién nacidos porque el volumen del VI intrauterino es normal.
En la AP, la forma de bota puede estar presente al nacer debido a una reducción en el flujo sanguíneo pulmonar y el volumen del VI causado por atresia del conducto arterioso fetal.
b. En la TOF acianótica con AP y grandes colaterales arteriales sistémicas, un ápex convexo bien formado es el resultado de un VI normal, si no volumen aumentado. El flujo de salida del VD obstruido es causado por la estenosis del ostium del infundíbulo, una muesca localizada marca el sitio de obstrucción.
El defecto no restrictivo del tabique ventricular con obstrucción al flujo de salida del VD muestra un aumento inicial de la vascularización pulmonar, con agrandamiento del VI, AI y tronco pulmonar.
La obstrucción progresiva resulta en una disminución del flujo sanguíneo arterial pulmonar y en la normalización del tamaño de la AI y VI43.
Cuando el defecto septal ventricular perimembranoso ocurre con EP, la Rx pudiese orientar subjetivamente sobre el grado de EP. El tamaño de la aorta ascendente es normal, el tronco pulmonar está dilatado (dilatación pos-estenotica).
5. Ecocardiografía
a. Bidimensional: Gold standard para el diagnóstico definitivo24. Evalúa la presencia de CIV y localización, grado de cabalgamiento aórtico, localización y grado de la EP, tamaño del tronco, de las arterias pulmonares y permite descartar otras anomalías cardiacas23(figura 9) 31.

Figura 9 Ecocardiograma bidimensional A)imagen paraesternal del eje longitudinal. Aorta está a caballo sobre el septo interventricular hipertrófico. Septo infundibular desviado hacia adelante y causa de EP. B) Vista paraesternal corta a nivel de los grandes vasos, se observa defecto septal interventricular y el septum infundibular hipertrofiado, que produce obstrucción del tracto de salida del VD. C) Vista apical 4 cámaras, ventrículo izquierdo con moderado grado de hipoplasia.
b. Con imágenes de flujo en color y doppler e interrogatorio se obtiene una evaluación morfológica y fisiológica de la TOF y sus variaciones47.El doppler de onda continua establece el gradiente de flujo de salida y la combinación de EP valvular e infundibular. El tabique ventricular mal alineado se reconoce por desviación anterior y cefálica del tabique infundibular y una aorta cabalgada. El tronco pulmonar y sus ramas proximales se pueden visualizar. En ocasiones se obtienen imágenes de un arco aórtico derecho desde la proyección supraesternal y ventanas subclaviculares, y la presencia de insuficiencia aórtica se puede establecer con flujo de color. La CIV perimembranosa puede ser detectada.
c. Técnicas para medir volúmenes del VD y fracción de eyección del VD (FEVD) en 3D están disponibles en la última década. Estas herramientas utilizan bases de datos de formas del VD (generado a partir de imágenes de RM de muchos pacientes con TOF) para estimar mejor el tamaño del VD en pacientes individuales, aunque de baja resolución y la incapacidad de realizar en tiempo real la adquisición de volumen sigue siendo un factor limitante. Hallazgos de estudios que comparan la precisión de las mediciones de volúmenes del VD y FEVD entre ecocardiograma 3D y RM son variables, pero en general se ha sugerido que ecocardiograma 3D subestima los volúmenes del VD y puede sobrestimar la FEVD 64, aunque la técnica no se ha aplicado a una gran población de pacientes con TOF.
6. Resonancia magnética (RM): Es el gold estándar para la evaluación cuantitativa de tamaño y función biventricular, medidas de flujo y viabilidad miocárdica 61. Los objetivos de la RM en la TOF reparada son: 1) evaluación cuantitativa de los volúmenes del VI y VD, masa y fracción de eyección (FE); 2) cuantificación de la insuficiencia pulmonar, regurgitación tricuspídea, Ge y relación de flujo pulmonar/sistémico; 3) evaluación de anomalías regionales del movimiento de la pared; 4) imágenes de la anatomía del tracto de salida del VD, arterias pulmonares, aorta y colaterales aortopulmonar; 5)evaluación de viabilidad miocárdica, incluido tejido cicatricial en el miocardio del VD, además de los sitios de cirugía previa; 6)evaluación de derivación intracardíaca o extracardíaca residual; 7)evaluación de la válvula aórtica para regurgitación y medición de tamaño aórtico; y 8)evaluación de las arterias coronarias 62,63 (figura 10) 60.
7. El cateterismo diagnóstico y tomografía son innecesarios para el diagnóstico de Fallot; su indicación se limita a casos concretos en los que el estudio ecocardiográfico no proporciona los datos definitivos(27), como es el caso de la localización de la arteria coronaria derecha, la cual la mayoría de las oportunidades atraviesa el infundíbulo pulmonar, lo cual no es contraindicación para realizar la corrección quirúrgica, ya que el cirujano debe estar entrenado para superar esta limitante.

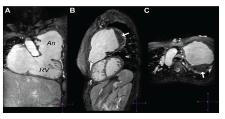
Figura 10 RMN de gran aneurisma del flujo de salida del VD con trombo asociado en paciente con TOF. (A) Imagen Cine SSFP en un plano coronal oblicuo que muestra el flujo de entrada y salida del VD. Nótese el aneurisma de pared delgada (An). (B) Imagen sagital oblicua del aneurisma y el trombo (flecha). (C) Imágenes en el plano axial demuestran que el aneurisma llena el hemitórax superior izquierdo. La flecha en C muestra el mismo trombo que en B.
TRATAMIENTO
El manejo médico inicial depende de la presentación clínica. El requerimiento de intervención depende del grado de obstrucción del tracto de salida del VD 3.
Pacientes con TOF con EP leve, asintomáticos no requieren tratamiento en periodo neonatal y seguimiento ambulatorio por cardiología 19.
Neonatos con EP severa requieren el uso de terapia con prostaglandina E1 intravenosa para mantener la permeabilidad ductal y así el flujo pulmonar. La corrección de la acidosis y la hipoxemia permite tener un paciente hemodinámicamente estable para ser llevado a quirófano (estabilización perioperatoria) 28,3.
Las crisis hipoxemicas son una urgencia médica; el tratamiento consiste en: oxigenoterapia, posición genupectoral, administración de volumen y morfina (relaja musculatura infundibular) y vasopresores (aumentan la postcarga sistémica y favorecen el paso de sangre al circuito pulmonar) 22,19; está indicado de forma inmediata o precoz el tratamiento quirúrgico 23. Prevención: evitar irritabilidad innecesaria del paciente, tratar el estreñimiento y sedantes 22.
La mayoría de pacientes con TOF se someten a reparación completa como intervención quirúrgica inicial (primer año de vida generalmente entre el sexto y el octavo mes de edad) 29. Con los objetivos de: alivio de obstrucción al tracto de salida del VD, separación de la circulación pulmonar/sistémica y preservación de la función VD3. Se realiza de manera estándar mediante esternotomía media y con circulación extracorpórea (CEC) 30. La reparación se realiza con el cierre de la CIV mediante un parche y se desobstruye el tracto de salida del VD con resección de las bandas hipertróficas; sección o preservación de la válvula pulmonar, si es posible, y colocación de parches de ampliación en el infundíbulo del VD3,30.
Un pequeño grupo requiere derivaciones paliativas o "stents" ductales en el tracto de salida del VD antes de la reparación quirúrgica definitiva3. La decisión de intervenir en el adulto con TOF reparada ocurre de forma común y es bastante compleja por la aparición de múltiples defectos potenciales, mediante cirugía, catéter percutáneo, o ambas39.
El riesgo de arritmias posoperatorias puede deberse a factores múltiples, entre ellos el tamaño de la ventriculotomía. Intervenir fuera del período infantil puede conducir a la acumulación patológica de tejido fibroso. Estos cambios pueden aumentar la incidencia de arritmias ventriculares. Las arritmias posoperatorias tempranas no necesariamente se correlacionan con problemas a largo plazo. En la reparación neonatal, las arritmias perioperatorias ocurren con mucha más frecuencia que aquellos que reciben reparación en una etapa diferente de la neonatal48.
TÉCNICAS QUIRÚRGICAS
Avances significativos en cuidados perioperatorios, anestesia y las técnicas de derivación cardiopulmonar (DCP) han estimulado corrección más temprana de cardiopatías congénitas, lo cual puede minimizar las lesiones secundarias al corazón y otros órganos.
Históricamente, pacientes con TOF se sometieron a reparación electiva a la edad de 2 a 5 años y eran paliados previamente con derivaciones sistémico-pulmonares en el primer año de vida en los casos sintomáticos. Con mejoras en la atención perioperatoria y técnicas operativas, la reparación temprana se ha convertido en una práctica estándar en muchos centros48.La realización de la reparación quirúrgica debe tener en cuenta: mortalidad tardía, tasa de deserción durante la espera de la operación, preservación de la anatomía y función ventricular, estado hemodinámico tardío y necesidad de reintervención.
Paliación quirúrgica
Tiene como objetivo estabilizar hasta que se realice la corrección total, excepto en casos raros en que otros defectos cardíacos y extracardíacos impiden una reparación completa. Por tanto, el procedimiento paliativo debe apuntar no solo a aliviar los síntomas y proporcionar una estabilidad del flujo sanguíneo pulmonar, sino también a proporcionar una preparación óptima para realizar la reparación completa. Las derivaciones clásicas son: la derivación de Blalock-Taussig (B-T), derivación B-T modificada, derivación aortopulmonar central y parche del tracto de salida del VD sin cierre de la CIV. (figura 11) 48, y la elección del procedimiento paliativo depende de la experiencia y preferencia del cirujano, las dificultades anatómicas además de la severidad clínica del paciente.
Corrección total
Es el objetivo de los pacientes con TOF, excepto en raras ocasiones, aquellos casos en los que otros problemas impiden la reparación completa. La reparación se realiza con CEC hipotermia profunda circulatoria o hipotermia profunda con CEC de bajo flujo. La reparación completa se puede lograr a través de un abordaje transpulmonar o mediante una ventriculotomía.
TERAPIA BASADA EN CATETERISMO
Los pacientes con TOF reparado pueden tener lesiones residuales susceptibles de intervención con catéter. Paciente con estenosis de la arteria pulmonar residual son a menudo es susceptible de dilatación con balón por cateterismo65,66. Aquellos con obstrucción residual del tracto de salida del VD pueden ser susceptibles de angioplastia o colocación de "stents". Deben tener precaución en el momento de la colocación del "stent" en el tracto de salida del VD, debido a que se puede generar compresión coronaria.
CUIDADOS POSOPERATORIOS
El cuidado posoperatorio comienza en el quirófano.
El cierre de la CIV se puede evaluar con ecocardiograma. Ocasionalmente se observa una CIV residual; sin embargo, si presenta un defecto residual lo suficientemente grande, podría requerir una reparación adicional, lo cual es inusual (<2%) 50.
La monitorización posoperatoria estándar incluye EKG, línea arterial, línea venosa central, medición de presión venosa central (PVC), cables de marcapasos temporales y una línea arterial pulmonar si la resistencia pulmonar es alta; también es útil ante preocupación de CIV residual, obstrucción de tracto de salida del VD o hipertensión pulmonar.
El uso de líneas de monitoreo invasivas permite hacer identificación rápida de cambios en el estado del volumen, elevación en la resistencia vascular pulmonar, taponamiento temprano y otros posibles cambios. Lo cual puede contribuir a estancias más cortas en cuidados intensivos, un uso más juicioso de volumen y tratamiento más oportuno de la hipertensión pulmonar. Aunque no está exento de riesgos, su uso se asocia con una baja tasa de complicaciones 50,51.
Una CIV residual significativa no se tolera bien después de la reparación de la TOF, y varios factores pueden explicar esto: el aumento de la carga de volumen del VD puede conducir a disfunción del VD. El VD suele tener menos compliance en pacientes con TOF, y esto empeora si se realiza la reparación a través de una ventriculotomía o muy temprano por menor compliance del miocardio neonatal. Otros factores pueden incluir: regurgitación pulmonar secundaria a una carga de volumen aguda. Estos pacientes pueden tener una presión mayor en la aurícula izquierda que en la derecha.
El cateterismo cardíaco rara vez es necesario, pero puede ser útil en aquellos pacientes con curso postoperatorio inusual.
El bajo GC no es inusual después de la CEC, y se podría relacionar con el tamaño de la incisión ventricular, pero es más probable que se produzca por la mala compliance del VD y su incapacidad para llenarse adecuadamente después de la reparación.
El análisis clínico del GC incluye la evaluación de la perfusión periférica, presión venosa central y de la AI, producción de orina y estado ácido-base. El monitoreo continuo de la temperatura central y periférica proporciona una herramienta de fácil acceso para evaluar la adecuada perfusión, el incremento de la diferencia es un indicador de disminución del GC.
La disfunción del VD y la insuficiencia del VD son las causas más probables de bajo GC. Algunos cirujanos optan por dejar una CIA para permitir cortocircuito de derecha a izquierda en los casos que se sospeche desarrollo de hipertensión pulmonar futura en el posoperatorio. Después de los primeros días posoperatorios, debe mejorar la distensibilidad del VD y el cortocircuito de derecha a izquierda disminuye.
Las arritmias ocurren comúnmente en el período postoperatorio. Puede observarse un bloqueo cardíaco completo en quirófano y puede ser necesario un marcapasos temporal. Rara vez se necesitan marcapasos permanentes.
El bloqueo de rama derecha se observa en casi todos los pacientes con ventriculotomía y en un porcentaje significativo de pacientes sin ventriculotomía.
La arritmia postoperatoria más frecuente y preocupante es la taquicardia ectópica de la unión (TEU) (figura 12) 52 ocurre generalmente en la primera noche postoperatoria, y se caracteriza por disociación auricular-ventricular (AV). El grado de deterioro hemodinámico durante la TEU probablemente esté relacionado con el grado de la disfunción del VD antes del inicio de esta.
La adenosina puede ser útil para diferenciar la taquicardia supraventricular de la TEU. Las frecuencias ventriculares suelen estar en el rango de los 200 a 230 latidos min. Realizar enfriamiento del paciente a una temperatura central inferior a 36°C puede ser todo lo que se necesita, sin embargo también puede ser necesario el uso de magnesio y otras medidas farmacológicas 48.

Figura 12 EKG de una TEU, que incluye las derivaciones aVR, aVL y aVF. El trazado inferior es el auriculograma correspondiente, obtenido tras conectar el electrodo habitualmente asignado a la derivación V2 con el electrodo auricular epicárdico. En él se aprecia la actividad auricular magnificada (flechas); es evidente la disociación auriculoventricular con una frecuencia auricular inferior a la ventricular.
PRONÓSTICO
TOF no reparada se asocia a deterioro de la calidad de vida y disminución de la supervivencia; la mortalidad puede llegar hasta el 50% los primeros años de vida3. La mayoría sobreviven al tratamiento quirúrgico con buena calidad de vida; a los 20 años de edad tiene una supervivencia de del 90% y a los 30 del 85%, casi todos en clase funcional I y II de la NYHA19.
- Secuelas cardiovasculares a largo plazo: comunes entre los sobrevivientes adultos con reparación de TOF; 5-10% de TOF corregidos quirúrgicamente son reoperados por lesiones residuales a lo largo de 20-30 años de seguimiento; más comúnmente se someten a cirugía para reemplazo de válvula pulmonar 19,3.
CONCLUSIÓN
La evaluación clínica debe ser integral desde la anamnesis con la historia prenatal, posnatal, examen físico integral y evaluación imagenologica. El diagnóstico es, por esta razón, multivariado. Es indispensable el conocimiento de las crisis hipoxemicas desde su prevención, identificación y el manejo adecuado de estas. Por lo tanto, el manejo quirúrgico es el único manejo adecuado para esta entidad, a menos que el paciente curse con crisis hipoxica, en la que la reposición de volumen es el pilar fundamental para manejo en esta situación. Si bien es cierto que el manejo quirúrgico más realizado en la época actual es la colocación de parche trasanular con ampliación/liberación del tracto de salida, cuando en la etapa neonatal la obstrucción es severa se ha realizado con éxito la colocación de "stend" a nivel del tracto de salida, que incluso sobrepasa la válvula pulmonar para poder asegurar un flujo pulmonar, efectivo. El pronóstico y las secuelas a largo plazo dependerán del diagnóstico oportuno, manejo médico y quirúrgico óptimos y, por tanto, del conocimiento fisiopatológico de la misma.















