Services on Demand
Journal
Article
Indicators
-
Cited by SciELO -
Access statistics
Related links
-
Cited by Google -
Similars in
SciELO -
Similars in Google
Share
Revista Colombiana de Cardiología
Print version ISSN 0120-5633
Rev. Colomb. Cardiol. vol.23 no.3 Bogota May/June 2016
https://doi.org/10.1016/j.rccar.2016.01.030
http://dx.doi.org/10.1016/j.rccar.2016.01.030
Síndrome de Budd-Chiari tumoral fatal secundario a recidiva de carcinoma papilar renal
Fatal tumoral Budd-Chiari syndrome secondary to recurrence of papillary renal carcinoma
Patricia Rodríguez de la Vega Huergo a, María Dolores Riquelme Contreras a, Ana Azahara García Ortega b, Vladimir Rosa Salazar c
a Servicio de Anestesiología y Reanimación. Hospital Clínico Universitario Virgen de la Arrixaca, Murcia, España
b Servicio de Radiología. Hospital Clínico Universitario Virgen de la Arrixaca, Murcia, España
c Unidad de Corta Estancia. Servicio de Medicina Interna. Hospital Clínico Universitario Virgen de la Arrixaca, Murcia, España
Correo electrónico:vladimedico@gmail.com (Vladimir Rosa Salazar)
El síndrome de Budd-Chiari (SBC) es una patología poco común, definida como la obstrucción del flujo sanguíneo en las venas suprahepáticas1. Esta patología se debe en el 75% de los casos a estados de hipercoagulabilidad, ya sea por neoplasias o trombofilias primarias, entre las cuales el cáncer renal corresponde a un pequeño porcentaje2. El carcinoma de células renales (CCR) supone más del 90% de las neoplasias malignas del riñón. La presencia de trombo tumoral en la vena cava inferior (VCI) secundaria a CCR, oscila entre el 4 al 10%, siendo mucho menos frecuente el SBC por este tumor3. Se presenta un caso de recidiva de CCR que se manifestó únicamente con invasión tumoral de vena cava y de venas suprahepáticas dando lugar a un SBC con evolución mortal.
Caso
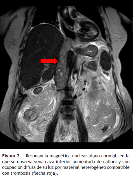
Mujer de 70 años de edad que se diagnosticó por tomografía computarizada (TC) abdominal de una masa renal derecha sugestiva de neoplasia con infiltración de la fascia de gerota sin evidencia de afectación adenopatía regional y asociada a trombo tumoral en vena cava inferior. Se realizó PET-TC con trazadores tumorales con elevación de características malignas en masa renal derecha e incremento metabólico en vena cava inferior atribuible a trombo de posible etiología tumoral, sin evidencia de enfermedad macroscópica en otras localizaciones. Se realizó nefrectomía radical y cavotomía con anatomía patológica de carcinoma de células renales papilar tipo 2 y trombo constituido por ese mismo tumor. Luego de tres meses, acudió por distensión abdominal y se realizó una TC de abdomen que constató trombosis de la VCI que se extiendía hacia su porción más proximal (fig. 1), con defecto de depleción de las venas suprahepáticas y alteración difusa de la densitometría del parénquima hepático, sugestivos de SBC. Posteriormente, se realizó RMN que confirmó este hallazgo (fig. 2), y PET-TC que informaba de trombosis tumoral de la VCI, con extensión proximal y afectación de venas suprahepáticas sin evidencia de enfermedad maligna en otras localizaciones. La paciente evolucionó de manera desfavorable, entró en coma por encefalopatía hepática y falleció a los pocos días del ingreso hospitalario.
Discusión
El SBC secundario a trombo tumoral por cáncer renal es una entidad poco frecuente y, por tanto, existen publicaciones escasas al respecto3–5. El CCR supone la mayoría de las neoplasias malignas del riñón, entre las cuales existen tres subtipos histológicos; el tipo papilar (CCR-P) corresponde al 15% del total. En general, el CCR-P presenta un crecimiento lento con menor tasa de metástasis en comparación con el CCR de células claras (responsable del 80% de los casos de CCR)6. Algunos estudios sugieren que en el CCR con extensión del trombo a las venas suprahepáticas se asocia con reducción de la supervivencia e incremento de metástasis posteriores. Algunos autores, en casos leves de SBC, sugieren que el tratamiento quirúrgico precoz podría ser efectivo, mientras que en casos de mayor severidad la mortalidad es muy alta7,8. En conclusión, en pacientes con CCR y trombo tumoral de la VCI, es conveniente hacer un seguimiento con pruebas de imagen para detectar el SBC y realizar un manejo quirúrgico precoz.
Conflictos de interés
Los autores manifiestan no tener ningún conflicto de intereses.
Todos los autores han contribuido en la concepción y el diseño del manuscrito, en la recolección de datos, en el análisis e interpretación de los datos y en la redacción, revisión y aprobación del manuscrito remitido.
Bibliografía
1. Menon K.V., Shah V., Kamath P.S. The Budd-Chiari syndrome. N Engl J Med. 2004;350:578-85. [ Links ]
2. Kompatzki A., Barrera D., Fullerton D., Flores E., Pinochet R., Saavedra A., et al. Budd-Chiari syndrome. A rare presentation of renal cancer. Rev Chil Urol. 2013;78:71-3. [ Links ]
3. Shih K.L., Yen H.H., Su W.W., Soon M.S., Hsia C.H., Lin Y.M. Fulminant Budd-Chiari syndrome caused by renal cell carcinoma with hepatic vein invasion: report of a case. Eur J Gastroenterol Hepatol. 2009;21:222-4. [ Links ]
4. Marangoni G., O'Sullivan A., Ali A., Faraj W., Heaton N. Budd-Chiari syndrome secondary to caval recurrence of renal cell carcinoma. Hepatobiliary Pancreat Dis Int. 2010;9:321-4. [ Links ]
5. Lessard L., Bach D., Wall W., Luke P.P. Intrahepatic extension of renal cell carcinoma tumor thrombus causing Budd-Chiari syndrome. Can Urol Assoc J. 2011;5:383-4. [ Links ]
6. Vázquez F., Vicente F.J., Cózar J.M., Pascual M., Rodríguez F.J., Morcillo Martínez, et al. Renal cell carcinoma with vena cava involvement: update and review of our series. Actas Urol Esp. 2009;33:569-74. [ Links ]
7. Kume H., Kameyana S., Kasuya Y., Tajima A., Kawabe K. Surgical treatment of renal cell carcinoma associated with Budd-Chiari syndrome: report of four cases and review of the literature. Eur J Surg Oncol. 1999;25:71-5. [ Links ]
8. García O.D., Fernández E., de E., Honrubia A., Moya J.L., Abella V., et al. Surgical stratification of renal carcinoma with extension into inferior vena cava. Actas Urol Esp. 2005;29:448-56. [ Links ]














