Introducción
Mujer de 49 años de edad, natural de Moniquirá (Boyacá) y procedente de Bogotá, ama de casa, la cual consulta por un cuadro progresivo de la disminución de la fuerza muscular en los miembros inferiores y cefalea, se considera que cursa con una emergencia hipertensiva con órgano blanco, el cerebro. Se documentó un aneurisma de la aorta abdominal y, adicionalmente, enfermedad renal crónica, que se presumía secundaria al aneurisma.
La paciente tenía antecedente de hipertensión arterial desde los 20 años de edad, un ataque cerebrovascular isquémico de la arteria cerebral media derecha hacía 5 años, con secuelas. No refería historia de tabaquismo o abuso de sustancias, así como tampoco alergias a medicamentos.
Al ingreso al hospital tenía tensión arterial de 132/94 mm Hg, frecuencia cardiaca de 106 latidos por minuto, temperatura de 36,5◦ C, mucosa oral húmeda. A la auscultación cardiaca tenía ruidos cardiacos rítmicos, a la auscultación pulmonar los ruidos respiratorios estaban conservados y sin agregados. El abdomen se encontraba sin distensión, con una masa no dolorosa de 10 × 10 cm, pulsátil en la que se auscultaba un soplo. Las extremidades se encontraban sin edema, con leve pérdida de masa muscular. El examen neurológico mostró bradipsiquia y monoparesia del miembro inferior izquierdo.
Los paraclínicos de ingreso mostraron un hemograma con los leucocitos en 9.150, los neutrófilos en 76,3%, los linfocitos en 16,2%, la hemoglobina en 14 mg/dL, el hematocrito en 41,2%, las plaquetas en 192.000, con velocidad de la sedimentación globular en 18. La proteína C reactiva en 0,08 mg/dL. El tiempo de protrombina: 9,8 segundos. El tiempo parcial de tromboplastina: 22,1. El INR: 0,91. Los gases arteriales sin trastorno ácido base. La prueba de ELISA para el virus de inmunodeficiencia humana fue negativo. Se descartó el hipercortisolismo por reporte de cortisol sérico en 14. Los anticuerpos antinucleares fueron negativos, los anticuerpos antiDNA fueron negativos, la serología no reactiva, la 2 glicoproteína fue negativa, los anticuerpos anticardiolipina fueron negativos. La hormona estimulante de la tiroides en 3,02 mUI/L. La albumina en 3,2 g/dL. La creatinina en 2,4 mg/dL. El nitrógeno ureico en 82 mg/dL. El potasio en 3,3 mEq/L. El sodio en 135 mEq/L. La alaninoamino-transferasa en 23. La aspartatoaminotransferasa en 14. La bilirrubina total en 0,7, bilirrubina directa 0,2, bilirrubina indirecta 0,5.
El ecocardiograma transtorácico mostró hipertrofia concéntrica moderada del ventrículo izquierdo, fracción de eyección del 60%, trastorno de la relajación, esclerosis mitroaórtica con insuficiencia aórtica moderada, con ventrículo derecho normal y presión sistólica de la arteria pulmonar en 30 mm Hg.
Al evaluar la angiotomografía toracoabdominal se identificó una dilatación aneurismática de la aorta desde el hiato aórtico por encima del origen del tronco celíaco en donde alcanzaba un diámetro máximo de 5 cm, comprometía el origen de la arteria mesentérica superior y ambas arterias renales, con un extenso trombo mural. Adicionalmente, con compromiso de ambas arterias ilíacas siendo especialmente severo en la arteria ilíaca común izquierda en donde alcanzaba un diámetro de 5 cm. Se decidió optar por manejo conservador, (fig. 1).

Figura 1 Angiotomografía toracoabdominal contrastada. Corte coronal con imagen de dilatación aneurismática desde la aorta ascendente hasta la bifurcación de las ilíacas.
Durante la hospitalización la paciente fue valorada por el servicio de genética quienes descartaron el síndrome de Ehlers-Danlos tipo IV, dada la ausencia de criterios clínicos y antecedentes familiares.
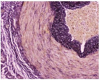
Se le realizó una biopsia de la arteria temporal, durante la exploración quirúrgica se evidenció tortuosidad en su trayecto y al análisis histológico fue compatible con la hiperplasia miointimal y la displasia fibromuscular (figs. 2 y 3).

Figura 2 Corte histológico de la biopsia de la arteria temporal, con evidencia de hiperplasia miointimal, contorno irregular y displasia fibromuscular. Tinción de Van-Gieson.
Discusión
La displasia fibromuscular es una enfermedad vascular no arterosclerótica, no inflamatoria que afecta comúnmente las arterias renales y la carótida interna, pero ha sido descrita en casi cada lecho arterial en el cuerpo. La enfermedad fue descrita por Leadbeter y Burkland en el año 1938 y el reporte de McCormack dos décadas después de cuatro casos de ‘‘hiperplasia fibromuscular’’ fue la primera descripción patológica exacta de esta entidad. La presentación clínica puede variar desde una condición asintomática a enfermedad multisistémica que simula la vasculitis necrotizante, dependiendo del segmento arterial comprometido, el grado de estenosis y el tipo de displasia fibromuscular, tabla 1.
Tabla 1 Adaptada de: Slovut DP, Olin JW. Fibromuscular dysplasia. N Engl J Med. 2004 Apr 29;350(18):1862-71
| Arteria | Frecuencia % |
| Arteria renal | 60-75 |
| Bilateral | 35 |
| Circulación cerebrovascular extracraneal (arteria carótida o vertebral) | 25-30 |
| Asociación con aneurismas intracraneales | 7-50 |
| Múltiples lechos vasculares | 28 |
| (ilíaco, poplíteo, esplácnico, hepático, coronario, subclavio, coronario, aorta, femoral superficial) | Poco común |
La clasificación patológica para las lesiones fibromusculares de las arterias renales se basa en la capa arterial -íntima, media o adventicia - en la que predominan las lesiones. Los macroaneurismas y las disecciones son complicaciones de la displasia fibromuscular y no representan categorías histopatológicas diferentes.
La fibroplasia medial se caracteriza por su clásica apariencia en ‘‘collar de cuentas’’, que representa la lesión más común. Un hallazgo típico es que las cuentas son más grandes que el calibre de la arteria y se localizan en su porción media a distal. Histológicamente hay un compromiso de la media, mientras que la íntima, la elástica interna y la adventicia están preservadas.
La lesión de la fibroplasia perimedial se caracteriza por un collar de tejido elástico en la unión de la media y la adventicia. Los elementos elásticos de la media y la íntima tienen apariencia normal. La displasia perimedial es diagnosticada cuando se aprecian: estenosis focal y constricciones múltiples junto con una red colateral. Las cuentas son usualmente, menos numerosas que en la fibroplasia medial y son más pequeñas en el diámetro que en el calibre normal de la arteria. La hiperplasia medial corresponde a menos del uno por ciento de las estenosis arteriales y puede ser indistinguible angiográficamente de la fibroplasia de la íntima.
La hiperplasia de la íntima ocurre en menos del 10 por ciento de los pacientes con la fibrodisplasia arterial. Puede tener apariencia de estenosis concéntrica y focal, o una ligera estrechez similar a la que se ve en las vasculitis de las grandes arterias como la de las células gigantes o la de Takayasu o una redundancia de la arteria.
La hiperplasia de la adventicia es el tipo más raro de la lesión fibrodisplásica. La información acerca del aspecto angiográfico es limitada, se han observado áreas tubulares localizadas de la estenosis. En nuestro caso consideramos que la paciente cursa con hiperplasia de la capa íntima.
Aunque una variedad de factores genéticos, mecánicos y hormonales han sido propuestos, la causa de la displasia fibromuscular permanece desconocida. Los antecedentes de tabaquismo e hipertensión arterial se asocian con un incremento de riesgo de esta condición. No se ha encontrado asociación entre la displasia fibromuscular y el uso previo de la toma de anticonceptivos o anormalidades en las hormonas sexuales.
Los factores genéticos pueden hacer parte en el desarrollo de displasia fibromuscular, ya que la enfermedad es más común entre familiares en primer grado de consanguinidad de los pacientes que la padecen y en personas con el alelo para el gen de la enzima convertidora de angiotensina ACE 11.
En los casos en los que la displasia fibromuscular se presenta como una enfermedad aneurismática difusa, el diagnóstico suele ser más complejo, debiendo diferenciarse de entidades de muy diversa naturaleza. Vale la pena destacar tres grupos: las enfermedades del colágeno, las enfermedades inflamatorias del tipo vasculitis y las enfermedades infecciosas.
Todas estas entidades pueden imitar en imágenes a los aneurismas de la DFM, de ahí la importancia de obtener un diagnóstico histopatológico. Las enfermedades primarias del colágeno constituyen un grupo de enfermedades que se caracterizan por presentar defectos genéticos tanto en la síntesis como en el ensamblaje del colágeno con la elastina. Las dos entidades más frecuentes son la enfermedad de Ehlers-Danlos y el síndrome de Marfan, que dan lugar a la formación de aneurismas. No obstante, no consideramos que en este caso se trate de un síndrome de Marfan, ya que este se acompaña de otros rasgos clínicos como: la hiperlaxitud ligamentosa, alteraciones valvulares cardiacas y de la aorta, junto a un fenotipo característico, que estaban ausentes en la paciente.
Las vasculitis se caracterizan por la presencia de depósitos de complejos inmunes en la pared vascular, que dan lugar a una activación del complemento e infiltración por células inflamatorias. La poliarteritis nodosa es la entidad de este grupo que con mayor frecuencia se asocia a la presencia de los aneurismas. Se acompaña de otras manifestaciones clínicas, como: la fiebre, la afectación del estado general, el adelgazamiento, las manifestaciones articulares, cutáneas y los marcadores biológicos de inflamación. Además, el diagnóstico histopatológico es diferente al presentado para la paciente de nuestro caso.
Otra causa de la enfermedad aneurismática difusa la constituye la enfermedad de Behςet. Sin embargo, se acompaña de otras manifestaciones clínicas como: la iritis y las úlceras orales. La enfermedad de Takayasu afecta a las mujeres jóvenes durante la segunda década de la vida y se acompaña de un deterioro importante del estado general2. En la paciente que tratamos se descartó clínicamente la presencia de la enfermedad de Behc¸et y la arteritis de Takayasu.
En niños y adultos jóvenes, la displasia fibromuscular es una de las causas más comunes de la hipertensión arterial secundaria y debe ser excluida por las imágenes (tamizaje con ultrasonido dúplex y confirmación por angiografía). En el caso en que durante el estudio de causas de la hipertensión arterial secundaria se documente, otros lechos vasculares como el cerebrovascular, deben ser evaluados3. En nuestro caso, la paciente tenía hipertensión arterial desde los 20 años de edad, no se tiene registro acerca de si se hicieron o no estudios adicionales en busca de las causas de la hipertensión arterial secundaria.














