Introducción
La ectasia coronaria se define como una dilatación mayor de 1,5 veces el diámetro de los segmentos adyacentes normales de la misma o de diferentes arterias. Ha sido relacionada con distintos agentes etiológicos: la exposición a herbicidas1, la enfermedad de Takayasu2, la poliarteritis nudosa3, las lesiones vasculares4, etc. También, se ha puesto en relación con la arteriosclerosis coronaria5, si bien hay datos contradictorios con respecto al papel jugado por los factores clásicos del riesgo cardiovascular6), (7. Los pacientes con ectasia coronaria pueden sufrir cuadros de angina e infarto por diversos mecanismos. Pueden ser consecuencia de lesiones obstructivas asociadas, con mayor o menor carga trombótica, pero también es posible que estos cuadros aparezcan en ausencia de obstrucción, en relación con espasmo coronario o con un flujo intracoronario marcadamente lentificado. La ectasia coronaria no tiene un tratamiento definido, más allá del tratamiento establecido para el síndrome coronario agudo en sus diversas variantes. Los pacientes con ectasia coronaria y lesiones obstructivas son tratados de acuerdo con los protocolos de manejo de síndrome coronario agudo con o sin elevación del ST. Las dificultades en el tratamiento las sufren los pacientes con un evento coronario y una ausencia de lesiones obstructivas. El caso que se presenta a continuación ilustra lo difícil que puede resultar la toma de decisiones en estos cuadros.
Caso clínico
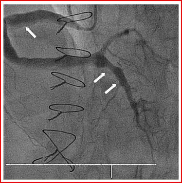
Un paciente varón de 57 años de edad, con antecedentes de disección aórtica tipo A intervenida en el año 2007 y dilatación residual de la aorta descendente de hasta 60 mm es ingresado por un síndrome coronario agudo sin elevación de ST: el paciente refiere sufrir un dolor epigástrico opresivo irradiado al borde cubital de ambos brazos asociado a sudoración profusa. Dura unas tres horas y cuando acude al Servicio de Urgencias está ya asintomático. La tensión arterial es de 160/80 mmHg, el electrocardiograma no muestra alteraciones significativas y presenta una discreta elevación de marcadores de daño miocárdico (creatininfosfoquinasa 233 U/L y troponina I 3.15 ng/mL). Se descarta mediante la tomografía axial computarizada que el cuadro esté relacionado con la progresión de su enfermedad aórtica, comprobándose además que los diámetros aórticos permanecen estables. Queda ingresado en la Unidad Coronaria iniciándose tratamiento convencional del síndrome coronario agudo. Se realiza coronariografía que muestra una marcada ectasia de las arterias coronarias, con varios defectos de llenado a distintos niveles de la coronaria derecha de significado incierto (Fig. 1, flechas; Anexo, vídeo 1 (disponible en la web). Se intenta realizar tromboaspiración, sin que esta sea exitosa. Si bien lo más probable es que sean lesiones trombóticas no se puede descartar que se trate de artefactos motivados por lo llamativamente lento del flujo coronario. Comentado el caso en sesión clínica con los cardiólogos intervencionistas y habiéndose revisado la literatura disponible al respecto se decide, de forma empírica, mantener tratamiento antiagregante y anticoagulante en rango terapéutico durante dos meses y repetir la coronariografía para reevaluar las imágenes dependientes de la coronaria derecha. Este segundo estudio muestra la completa resolución de las lesiones, confirmando el origen trombótico de las mismas (Fig. 2, Anexo, vídeo 2 (disponible en la web). Se discute nuevamente el manejo terapéutico del paciente, valorando las ventajas y los inconvenientes de los distintos regímenes farmacológicos. Conjuntamente y habiéndoselo expuesto al paciente se decide que es razonable, a la vista de la estabilidad de los diámetros aórticos y de la resolución de las lesiones intracoronarias, mantener la anticoagulación de forma crónica suspendiendo la antiagregación. Al cabo de dos años y seis meses el paciente se mantiene asintomático y estable.

Figura 1 Primera coronariografía. Arteria coronaria derecha severamente dilatada. Apréciense defectos de perfusión (flechas) a varios niveles.
Discusión
La ectasia coronaria es una entidad clínica cuyo origen no está suficientemente aclarado. El papel de los factores clásicos de riesgo cardiovascular no está bien establecido aunque se considera que en la mayoría de las ocasiones esta anomalía sea consecuencia de la arteriosclerosis coronaria. En el paciente que nos ocupa, no obstante, muy probablemente la ectasia coronaria forme parte de una anomalía generalizada del sistema arterial, causante además de la disección aórtica que sufrió en el año 2007 y de la dilatación residual de la aorta descendente. Y es precisamente la patología aórtica subyacente la que va a condicionar en gran medida la toma de decisiones. La primera dificultad del caso es el diagnóstico. Luego de descartar que el cuadro sea consecuencia de un nuevo síndrome aórtico agudo, se realiza una coronariografía en la que se aprecia una arteria coronaria izquierda levemente ectásica sin lesiones obstructivas y una arteria coronaria derecha marcadamente dilatada con unos defectos de llenado a varios niveles que en un principio resultan difíciles de etiquetar. Se interpretan como trombos intracoronarios pero no es posible extraerlos mediante aspiración, bien por su gran tamaño, bien porque se trate de falsas imágenes.
Uno de los fenómenos angiográficos asociados a la ectasia intracoronaria es la lentificación del flujo sanguíneo, con opacificación tardía de los diferentes segmentos arteriales, lo que puede producir defectos de perfusión locales que se pueden interpretar de forma errónea como trombos intracoronarios. El flujo lento intracoronario se ha propuesto como mecanismo explicativo de la angina en pacientes con ectasia coronaria sin lesiones obstructivas8. Este paciente presentaba un flujo intracoronario muy lento, lo que unido a la falta de éxito de la aspiración, hizo que se dudase del diagnóstico de trombo y se considerase la posibilidad de que fueran falsas imágenes. En este punto se plantea el segundo dilema: ¿cuál debe ser el tratamiento inicial del paciente? Aunque la tromboaspiración no fue eficaz, existía una alta sospecha de que las lesiones observadas en la angiografía fueran trombos y, por tanto, las responsables del cuadro clínico. El uso de tratamiento anticoagulante se planteó ya en el año 1978, como una posibilidad a tener en cuenta en pacientes con ectasia coronaria y flujo lento, con vistas a prevenir la tromboembolia de una forma análoga al tratamiento de la fibrilación auricular9. Sin embargo, no hay evidencias sólidas al respecto, con lo que esta opción terapéutica no es contemplada en ninguna guía de actuación clínica. El paciente no era subsidiario de tratamiento percutáneo no solo por la ineficacia de la aspiración, sino por lo dilatado de la coronaria derecha. No hubiera sido posible colocar ningún stent. Entonces se plantea la disyuntiva de mantenerle únicamente con doble antiagregación o añadir el acenocumarol al tratamiento. Valorado conjuntamente entre los cardiólogos clínicos y los intervencionistas se decide, de forma empírica, tratamiento con acenocumarol y ácido acetilsalicílico. Basándose únicamente en las recomendaciones de las guías clínicas este paciente habría de ser tratado con doble antiagregación únicamente ya que la anticoagulación no se contempla en el tratamiento crónico del síndrome coronario agudo. No obstante, se toma la decisión de elegir otro régimen farmacológico atendiendo a dos factores. En primer lugar, se consideró que el origen del evento fue un fenómeno meramente trombótico. En ese sentido y desde un punto de vista meramente fisiopatológico el anticoagulante sería más efectivo en la prevención de nuevos eventos. Se tuvo en cuenta la recomendación de las guías de mantenerle, además, con doble antiagregación pero en este punto se atendió al segundo factor que definió el tratamiento: el antecedente de disección aórtica tipo A y la dilatación residual de la aorta descendente. Se consideró que una asociación entre la aspirina, el clopidogrel y el acenocumarol en un paciente con disección previa y 60 mm de aorta descendente conferiría un riesgo inaceptable en caso de un nuevo evento aórtico. Así, se optó por dejarle tan solo con un antiagregante. El paciente fue dado de alta, realizándose una nueva coronariografía al cabo de dos meses de una correcta anticoagulación. La elección de este plazo fue empírica una vez más. La segunda coronariografía evidenció la resolución de las lesiones confirmándose su origen trombótico. Llegado este momento se plantea la tercera dificultad del caso, decidir el tratamiento a largo plazo. A la vista de la buena evolución clínica, sin nuevos eventos, el excelente control del INR que mantuvo el paciente y la completa desaparición de los trombos se decidió conjuntamente con: el paciente, los cardiólogos clínicos y los intervencionistas mantener crónicamente la anticoagulación y suspender la antiagregación en un intento de minimizar el riesgo hemorrágico. Después de dos años y medio de seguimiento no ha habido incidencias clínicas, el control de los factores de riesgo ha sido muy bueno y la situación de la aorta se mantiene estable.
Conclusión
La ectasia coronaria es una entidad heterogénea, que puede manifestarse de diversas formas y que no está lo suficientemente estudiada. El uso de los anticoagulantes cuando se asocia a lesiones trombóticas lleva planteado desde hace más de treinta y cinco años a pesar de lo cual, aún no está completamente definido. La colaboración entre los cardiólogos clínicos y los intervencionistas es fundamental a la hora de tomar decisiones difíciles en pacientes tan complejos como este.














