Introducción
La aterosclerosis es un problema cardiovascular agresivo emergente, asociado a gran morbimortalidad. Se define como aorta shaggy o aorta espiculoanfractuosa a la degeneración ateromatosa extensa de la aorta con superficie friable que predispone a su ulceración difusa con exposición del contenido de la placa y complicaciones embólicas asociadas.
Este compromiso ateromatoso agresivo asociado a embolia recurrente es una condición pobremente esclarecida a pesar de los casos reportados en la literatura mundial, quizá porque las manifestaciones embólicas pueden ser catastróficas y luego de una embolia no siempre puede documentarse su etiología, y por consiguiente no se establece con claridad esta relación causal.
Adicionalmente, hay pacientes con compromiso trombótico difuso y extenso de la aorta que nunca padecen episodios embólicos1. Así, pues, debe diferenciarse la embolización de material trombótico desde un aneurisma aórtico que puede resolverse con anticoagulación, trombectomía o reparo del aneurisma, de la ateroembolia desde una aorta extensa y gravemente enferma con múltiples y recurrentes microembolias distales de cristales de colesterol desde sus placas ulceradas donde hay, de hecho, ausencia de trombo como tal2.
Se describe el caso de una paciente que consultó con déficit neurológico motor de las extremidades inferiores y posterior paraplejia espástica, en quien se documentó ateromatosis aórtica grave con síndrome aórtico agudo concomitante (trombo intramural e intraluminal en aorta abdominal) y evidencia de múltiples infartos esplénicos por angiotomografía; la resonancia de columna lumbar contrastada demostró mielopatía con compromiso de la cauda equina, hallazgo que concuerda con mielitis isquémica de probable etiología embólica. Se trata entonces de un caso de aorta shaggy con múltiples manifestaciones embólicas y sospecha de embolización de ateroma hacia la arteria de Adamkiewicz (conocida también como arteria radicular magna y que irriga los dos tercios inferiores de la médula) como etiología de paraplejia mielopática isquémica.
Métodos
Se hizo una búsqueda no sistemática de la literatura, usando los términos “embolic”, “ischemic” y “mielitis” en PubMed, incluyendo términos Mesh (embolism-myletitis). Se halló un reporte de mielopatía secundario a embolia de la arteria braquial. No se encontraron reportes de caso de aorta shaggy como etiología de mielitis isquémica. Se realizó el reporte de caso y su análisis en el marco de la literatura disponible.
Caso
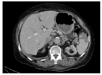
Paciente femenina, de 70 años de edad, con antecedente de infección por el virus de la hepatitis B, cirrosis hepática, hipertensión, hipotiroidismo y extabaquista, con enfermedad renal crónica en estadio 5, terapia de reemplazo renal con diálisis peritoneal, y adicionalmente falla cardíaca con función sistólica preservada. Había consultado previamente por dolor lumbar intenso, discapacitante, en cuyo estudio habían solicitado de manera ambulatoria radiografía de columna lumbosacra para cuya preparación recibió laxante osmótico con posterior cuadro de deshidratación secundario a enfermedad diarréica aguda de alto gasto, con intolerancia a la vía oral, razón por la cual consultó al servicio de urgencias. Presentó episodio de hipotensión y lipotimia, y durante su recuperación refirió disminución de la fuerza muscular en las extremidades inferiores documentando paraplejia arrefléxica en el examen físico. Inicialmente se sospechó compresión medular neoplásica o por hernia discal. Se realizó resonancia magnética nuclear contrastada de columna lumbar que demostró mielopatía, posiblemente isquémica, que comprometía la cauda equina, hemangioma en T7-T8 y abombamiento discal L3-L4 sin compromiso del canal medular (figs. 1-3). Se solicitó angiotomografía de abdomen que evidenció trombo intramural e intraluminal de la aorta abdominal con una extensión longitudinal de 7,5 cm por encima de los vasos viscerales sin disección de aorta, ateromatosis aórtica severa y aspecto irregular, posiblemente ulcerado de la misma, a nivel torácico sospechoso de aorta shaggy (fig. 4), con múltiples infartos esplénicos por tomografía (fig. 5). Ante el cuadro neurológico se sospechó ateroembolia de la arteria de Adamkiewicz; sin embargo, no fue posible visualizarla en las imágenes obtenidas (caso llevado a staff de Radiología y Neurocirugía). Se inició manejo con antiagregación dual, sin anticoagulación, con estatinas de alta potencia. Presentó dolor torácico en reposo, por lo que se realizó ecocardiografía de estrés con dobutamina que fue máxima positiva para isquemia en la pared inferior. Fue llevada a coronariografía y se documentó además enfermedad coronaria de dos vasos con oclusión total de la arteria coronaria derecha y lesión en la arteria circunfleja no susceptible de intervencionismo percutáneo. Por múltiples comorbilidades, edad avanzada y pobre red de apoyo familiar se continuó manejo conservador con antiagregación con ácido acetil salicílico, anticoagulación con warfarina y estatinas de alta potencia.

Figura 1 Resonancia magnética nuclear contrastada de columna lumbar en la que se evidenció (de izquierda a derecha) hemangioma en T7-T8, abombamiento discal L3-L4 y mielopatía, posiblemente isquémica, con compromiso de cauda equina.

Figura 2 Resonancia magnética nuclear contrastada de columna lumbar en la que se evidenció (de izquierda a derecha) hemangioma en T7-T8, abombamiento discal L3-L4 y mielopatía, posiblemente isquémica, con compromiso de cauda equina.

Figura 3 Resonancia magnética nuclear contrastada de columna lumbar en la que se evidenció (de izquierda a derecha) hemangioma en T7-T8, abombamiento discal L3-L4 y mielopatía, posiblemente isquémica, con compromiso de cauda equina.

Figura 4 Tomografía de abdomen que muestra trombo intramural e intraluminal al interior de la aorta abdominal en aorta de la unión toracoabdominal, por encima de vasos viscerales, en una extensión longitudinal de 7,5 cm. Se extiende hasta el origen del tronco celíaco sin comprometerlo y se asocia a flap con disección focal.
Discusión
El primer caso de ateroembolia fue descrito por Panum en 1862. Posteriormente fue Kazmier el primero en aclarar que el tipo de material embolizado era relevante al momento de definir el potencial beneficio con la terapia anticoagulante2. En 1913, Anitschkow reprodujo un modelo de aterosclerosis aórtica en conejos alimentados con dieta rica en colesterol, estudio pilar para correlacionar los niveles de lipoproteínas plasmáticas con la formación de la placa ateromatosa. Luego, en la década de 1990, Tinuck y Krozon identificaron la aterosclerosis aórtica como fuente de ateroembolia en una serie de pacientes con accidente cerebrovascular, hallazgo cada vez más documentado en pacientes con complicaciones cerebrales isquémicas y manipulación de la aorta3.
Se conoce como aorta shaggy a la degeneración vascular y al aspecto de la aorta distorsionado por cristales de colesterol acumulados en la pared vascular. Se denomina síndrome de aorta shaggy a la asociación de estos hallazgos con ateroembolia múltiple4; otros nombres que históricamente ha recibido esta condición son: aorta en arrecife de coral y aorta hostil3. Okada et al. por su parte definieron como aorta shaggy la presencia de ateromas frágiles y espiculados mayores a 5 mm de grosor en la aorta ascendente y el arco aórtico de acuerdo con hallazgos tomográficos preoperatorios en pacientes en espera de cirugía cardiovascular3.
La prevalencia e incidencia de aorta shaggy en poblaciones en riesgo se desconoce, si bien se describen algunos casos de síndrome de aorta shaggy principalmente como complicación de procedimientos endovasculares o quirúrgicos. En sentido estricto, el síndrome de aorta shaggy debería confirmarse cuando ante la presencia clínica de embolia múltiple se demuestra por biopsia la presencia de cristales de colesterol que obstruyen la circulación (arteriolas y arterias pequeñas) de los órganos comprometidos5.
Se denomina síndrome del dedo azul a la embolización distal difusa de cristales de colesterol a arterias periféricas, situación que puede ocurrir de manera espontánea o iatrogénica con enfermedad ateromatosa aórtica severa3.
La aorta shaggy se asocia a complicaciones como daño renal agudo, pancreatitis, isquemia mesentérica o de extremidades inferiores, entre otras1. En la microateroembolia múltiple presente en el síndrome de aorta shaggy se considera que la recurrencia se hace inevitable posiblemente porque una vez producidas las lesiones de la íntima el flujo sanguíneo constante a través del vaso erodado, profundiza el compromiso y perpetúa las embolizaciones del material expuesto del ateroma2. El nivel del compromiso no necesariamente predice la distribución anatómica de la embolia pues se considera que el flujo retrógrado en diástole puede favorecer embolia incluso proximal a la lesión dominante2, como se ha descrito en algunos casos de enfermedad cerebrovascular.
Hollier et al. describieron una serie de 88 pacientes con aorta shaggy, 36 de los cuales presentaron embolia visceral con daño de órgano, y los 52 restantes embolia del hemicuerpo inferior con compromiso variable desde el nivel glúteo hasta digital2. En esta serie se encontró una relación hombre mujer de 3.5 a 1, pero en el caso del compromiso visceral la relación fue de 11 a 1. Como regla general los pacientes presentaban múltiples factores de riesgo cardiovascular de manera simultánea (hipertensión arterial, tabaquismo, diabetes mellitus tipo 2), así como eventos cardiovasculares previos (enfermedad coronaria, accidente cerebrovascular). El 27% de los casos de embolia visceral se consideraron precipitados por intervencionismo endovascular con acceso femoral2.
El diagnóstico de aorta shaggy puede hacerse mediante angiotomografía, si bien tiene como desventaja la exposición al medio de contraste y a radiación. Por otra parte, la resonancia magnética contrastada sólo es una alternativa en los casos de alergia al medio de contraste yodado. No se considera la aortografía debido al alto riesgo de complicaciones embólicas. Tampoco se recomienda el uso rutinario de la ecocardiografía transesofágica dado que su alcance es limitado3.
En cuanto al manejo médico para el síndrome de aorta shaggy, la terapia con estatinas tiene impacto modesto en la recurrencia de la embolia, mientras que la antiagregación y anticoagulación no la reducen.
Las estatinas se han usado ampliamente para el control de la dislipidemia, así como por sus efectos pleiotrópicos que estabilizan y reducen las placas ateroscleróticas. En estudios observacionales, las estatinas demostraron una reducción absoluta del riesgo del 17% y una reducción relativa del riesgo del 59% de complicaciones ateroembólicas recurrentes3. Nemoto et al. publicaron un estudio retrospectivo en el que se evalúa la regresión de ateromas aórticos torácicos extensos por angiotomografía (definidos como aquellos de grosor mayor a 5 mm, circunferencia comprometida de la aorta torácica mayor al 50%, extensión mayor a 3 mm) valorando el tamaño de la placa antes y después de la intervención con estatinas en 20 pacientes (fluvastatina, simvastatina, pravastatina, pitavastatina, atorvastatina y rosuvastatina) comparado con 7 controles con compromiso aórtico semejante. Se valoró el porcentaje de reducción del radio del ateroma y se halló una reducción de 7,1% ± 6,4%, diferencia estadísticamente significativa respecto al grupo de control (p< 0,01) Siontis et al., «Transcatheter aortic valve implantation vs. surgical aortic valve replacement for treatment of severe aortic stenosis: A meta-analysis of randomized trials»; Reardon et al., «Surgical or Transcatheter Aortic-Valve Replacement in Intermediate-Risk Patients»; Thyregod et al., «Transcatheter versus surgical aortic valve replacement in patients with severe aortic valve stenosis: 1-year results from the all-comers NOTION randomized clinical trial»6.
De otro lado, no hay evidencia sobre la eficacia de la terapia antiplaquetaria y se considera que la anticoagulación podría incluso estar contraindicada pues podría favorecer la inestabilidad de los trombos murales, limitar la cicatrización de las úlceras y así exacerbar el riesgo embólico de los cristales de colesterol al interior de las mismas1-5.
De la revisión de la literatura disponible no puede concluirse que exista superioridad del intervencionismo endovascular o abordaje quirúrgico sobre el manejo conservador. Se han descrito incluso técnicas mixtas donde la exclusión del segmento enfermo con prótesis endovascular no siempre es posible teniendo en cuenta que el compromiso aórtico puede extenderse a su porción torácica o suprarrenal lo que dificulta el intervencionismo percutáneo1. La exclusión endovascular del segmento enfermo es riesgosa pues puede inducir ateroembolia iatrogénica a cualquier nivel. El riesgo de embolia durante reparo quirúrgico de la aorta es muy elevado. Kwon et al. describieron en su estudio observacional retrospectivo que el 11% de los pacientes llevados a reparo quirúrgico de aneurisma de aorta abdominal (AAA) tenían aorta shaggy, y que presentarla aumentaba 4,1 veces la morbimortalidad a 30 días en comparación con los pacientes con AAA aislada (IC 95% 1,7-9,7; p 0,002)7. La manipulación quirúrgica puede desprender material de la placa con embolia sistémica “en ducha”, potencialmente amenazante para la vida (compromiso visceral, mesentérico, renal, glútea, así como síndrome del dedo azul que puede amenazar la viabilidad de la extremidad)4.
Existen reportes en la literatura sobre diferentes técnicas empleadas en el abordaje quirúrgico de la aorta shaggy que pretenden la menor incidencia de embolia sistémica posible; en la literatura se han descrito procedimientos combinados que incluyen el uso concomitante de filtros arteriales, que al parecer ha tenido éxito en la reducción de las complicaciones ateroembólicas8-13. Los puentes axilofemorales o aortobifemorales con exclusión de las arterias ilíacas se han contemplado históricamente como una alternativa cuando el compromiso toracoabdominal es extenso1.
La arteria de Adamkiewicz es un vaso de pequeño calibre que nace de las arterias intercostales o lumbares que se derivan de la aorta. Se caracteriza por tener lateralización en posiciones anatómicas variables desde T5 y hasta L2. Su detección imagenológica representa un reto y es invariablemente difícil, identificándose en solo 20% de las tomografías en fase arterial en el mejor de los casos14. Adicionalmente, la oclusión de esta arteria no es de fácil visualización por angiotomografía ni por angiorresonancia, posiblemente por evanescencia del émbolo o por compromiso distal microvascular laboriosamente aparente aun con arteriografía selectiva. Hay estudios que han comparado la tomografía de alta resolución (con cortes de 0,5 mm) con la tomografía de ultra alta resolución (con cortes de 0,25 mm) demostrando que mientras más finos sean los cortes mejor será el rendimiento de la técnica en la visualización de la arteria radicular magna15.
Retomando el caso que atañe a este reporte, es importante recordar que la mielitis isquémica embólica se asocia principalmente a embolia fibrocartilaginosa desde núcleos pulposos. No hay reportes que asocien ateroembolia aórtica por aorta shaggy con obstrucción de la arteria de Adamkiewicz.
Conclusión
La aorta shaggy es una manifestación infrecuente pero grave de la ateromatosis aórtica, asociada a riesgo ateroembólico masivo y recurrente con desenlaces clínicos usualmente catastróficos. Grandes interrogantes respecto del manejo médico e intervencionista/quirúrgico persisten sin resolver. En nuestro conocimiento este es el primer reporte de mieliopatía isquémica ateroembólica asociada a aorta shaggy con posible oclusión de la arteria de Adamkiewicz.














