Introducción
La pericarditis constrictiva es una enfermedad inflamatoria del pericardio de etiología variada que, en su forma más extrema, puede manifestarse por la presencia de calcificaciones pericárdicas y miocárdicas extensas.
Se presenta el caso de una paciente referida a nuestra unidad por presentar una extensa calcificación pericárdica y diagnóstico de dos años de evolución de aparente hepatopatía autoinmune.
Caso
Paciente femenina de 39 años, con historia de consumo de alcohol (aproximadamente 20 g al día por veinte años) y presumible enfermedad hepática crónica autoinmune diagnosticada dos años atrás.
Seis meses antes de la admisión presentó disnea progresiva y eventos recurrentes de palpitaciones. El examen físico reveló turgencia yugular, ascitis de gran importancia, tercer ruido cardíaco compatible con “golpe pericárdico” y soplo sistólico en el foco tricúspide de intensidad 2/6.
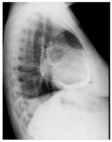
En la radiografía de tórax se evidenció imagen radiopaca alrededor de la silueta cardiaca en patrón de “cáscara de huevo” compatible con calcificación pericárdica difusa y derrame pleural bilateral (fig. 1). El electrocardiograma de 12 derivaciones demostró alteración difusa inespecífica de la repolarización ventricular.
Las pruebas de laboratorio mostraron aumento moderado de los niveles de péptido natriurético cerebral (257 pg/ml) y los títulos de anticuerpos antinucleares tuvieron títulos de 1/1280 con un patrón nuclear moteado fino. La prueba cutánea de tuberculina (PPD) tuvo un diámetro de induración menor a 5 mm.
El ecocardiograma transtorácico reportó aumento del tamaño biauricular, ausencia de disfunción, alteraciones segmentarias o engrosamiento de las paredes del ventrículo izquierdo e hipocinesia difusa del ventrículo derecho. No fue posible realizar el análisis de la función diastólica ventricular.
El estudio doppler de la válvula mitral demostró insuficiencia mitral de grado discreto (jet de regurgitación excéntrico).
Otros hallazgos fueron la presencia de engrosamiento del pericardio en la pared posterior y dilatación de la vena cava inferior sin colapsabilidad durante las maniobras respiratorias.
En ecografía abdominal se observó hígado con características normales y ascitis abdominal abundante.
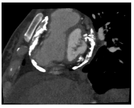
La angiotomografía cardiaca reportó calcificación pericárdica circunferencial difusa con calcificaciones en la pared miocárdica del ventrículo izquierdo, incluyendo el músculo anteromedial papilar de la válvula mitral. El estudio de las arterias coronarias fue normal y el score de calcio fue de cero (figs. 2 y 3).

Figura 2 Tomografía computarizada de tórax con calcificación pericárdica difusa y compromiso de la válvula mitral.

Figura 3 Reconstrucción tridimensional cardiaca en la que se evidencia la calcificación pericárdica con compromiso miocárdico del ventrículo izquierdo.
La paciente fue sometida a una pericardiectomía subtotal con preservación del pericardio de la cara diafragmática.
El examen histopatológico del pericardio mostró fibrosis y calcificaciones intensas con señales de metaplasia osea a nivel del tejido conjuntivo submesotelial. No se evidenciaron formaciones granulomatosas. La investigación histoquímica para hongos, bacterias y bacilos alcohol-ácido resistentes fueron negativas (métodos de Grocott, Brown-Hopps y de Ziehl-Nielsen).
Discusión
La pericarditis constrictiva es una enfermedad inflamatoria caracterizada por fibrosis o calcificación difusa del pericardio. Su etiología es variada y puede estar relacionada con procesos infecciosos (fúngicos, virales o bacterianos), por enfermedades del tejido conectivo, historia de trauma torácico, exposición a radiación, uremia, cirugía cardiaca previa o, como en el caso expuesto, sin causa específica y por tanto catalogada como idiopática1-3.
El tiempo de desarrollo de esta enfermedad es variable y puede evolucionar en algunas semanas o llevar varios años, de acuerdo con el agente causal1,2,4.
La evolución clínica se caracteriza por disnea progresiva, elevación del pulso yugular, congestión hepática o ascitis1,2,4. Desde el punto de vista fisiopatológico, estos signos y síntomas se atribuyen a disfunción ventricular derecha por disminución de la precarga y alteración progresiva del llenado ventricular2,4.
La principal manifestación radiológica son las calcificaciones pericárdicas que se dan entre el 5 y el 27% de los casos. En cuanto a morfología, se caracterizan por ser círculos de calcio amorfos e irregulares, depositados preferentemente a nivel del surco atrioventricular o en la cara diafragmática del corazón1,5.
Respecto a las calcificaciones pericárdicas, es importante considerar que el 30% de los pacientes con calcificaciones pericárdicas pueden presentar signos de pericarditis constrictiva y sólo el 50% de los pacientes diagnosticados con pericarditis constrictiva se manifiestan con calcificaciones pericárdicas obvias, de modo que, la ausencia o la presencia de este hallazgo no sirve para confirmar o descartar el diagnóstico de constricción pericárdica2,6.
En el caso de las calcificaciones miocárdicas, estas pueden ser secundarias a enfermedades infecciosas (tuberculosis, infecciones virales o micóticas), eventos isquémicos previos, insuficiencia renal crónica, trauma o radiación5,7. Sin embargo, como en el caso de las calcificaciones pericárdicas, la mayoría de ellas no tienen una causa específica y se consideran idiopáticas5,7.
El ecocardiograma mostró espesamiento de la pared posterior del pericardio, que generalmente es una constatación común en estos casos, aunque el 20% de los pacientes con diagnóstico de pericarditis constrictiva por ecocardiografía, pueden presentar un pericardio morfológicamente normal después de la cirugía8.
Se usó angiotomografía cardiaca para definir la extensión de la calcificación pericárdica antes de la cirugía, pero a diferencia de los casos descritos en la literatura, también se empleó para descartar enfermedad coronaria9.
Con relación al péptido natriurético cerebral, se pudo evidenciar un aumento discreto de los valores de este marcador, lo cual tuvo relación con el diagnóstico de pericarditis constrictiva ya que, a diferencia de la miocardiopatía restrictiva, los niveles de péptido natriurético cerebral en esta patología suelen estar más elevados10,11. En lo concerniente a fisiopatología, la liberación de péptido natriurético cerebral depende del grado de estiramiento de las fibras musculares, por lo que en el caso de la pericarditis constrictiva, este fenómeno se ve limitado por el engrosamiento pericárdico y de esta manera se negativiza el estímulo de liberación de este biomarcador12.
Finalmente, un aspecto que llama la atención en este caso es que la paciente fue diagnosticada de enfermedad hepática autoinmune por la presencia de anticuerpos antinucleares positivos. Se debe considerar que hasta el 3% de la población puede tener títulos falsos positivos y los patrones microscópicos, nucleolar o centromérico, son menos específicos para este tipo de enfermedad. Por tanto, la pericarditis constrictiva debe formar parte del diagnóstico diferencial de pacientes con sospecha de enfermedad hepática crónica manifestada con síndrome ascítico incluso con marcadores inmunológicos positivos ya que como queda demostrado en este caso, la positividad de anticuerpos antinucleares fue un resultado falso positivo13,14.
Conclusiones
La pericarditis constrictiva es una enfermedad relativamente común en nuestro medio y debe ser tomada en consideración como parte del diagnóstico diferencial de pacientes con síndrome ascítico de causas no bien definidas.
A pesar de los avances tecnológicos en los métodos diagnósticos, todavía muchos casos se clasifican como idiopáticos. Sin embargo, en nuestro medio, las causas infecciosas, en especial la tuberculosis, deben ser la primera opción diagnóstica en pacientes con calcificaciones pericárdicas difusas.
Clásicamente, la tomografía cardiaca se ha utilizado para determinar la extensión de la calcificación pericárdica. Sin embargo, en este caso particular, también se utilizó para descartar enfermedad coronaria. Por tanto, la angiotomografía cardíaca podría ser utilizada como método diagnóstico para descartar enfermedad arterial coronaria en pacientes con calcificaciones cardíacas difusas y baja probabilidad clínica pretest.














