SciELO - Scientific Electronic Library Online

 
vol.26 issue6Interference in the determination of Troponin due to heterophile antibodies2017 American College of Cardiology/American Heart Association Clinical Guideline-based Prevalence of Hypertension in a semi-urban community in Nigeria: Public Health Perspective author indexsubject indexarticles search
Home Pagealphabetic serial listing  

Services on Demand

Journal

Article

Indicators

Related links

  • On index processCited by Google
  • Have no similar articlesSimilars in SciELO
  • On index processSimilars in Google

Share


Revista Colombiana de Cardiología

Print version ISSN 0120-5633

Rev. Colomb. Cardiol. vol.26 no.6 Bogota Nov./Dec. 2019

https://doi.org/10.1016/j.rccar.2019.07.007 

Cardiología del adulto - Presentación de casos

Taponamiento pericárdico asociado a minoxidil: un diagnóstico olvidado

Pericardial tamponade associated with minoxidil: a forgotten diagnosis

Laura Duque Gonzáleza 

María del Mar Serna Posadaa 

Sebastián Isaza Zapataa 

Jorge Andrés Díaz Ruiza 

Mauricio Duque Ramíreza  * 

a Cardiología y Electrofisiología. Universidad CES, Medellín,Colombia


Resumen

El derrame pericárdico es una acumulación excesiva de líquido en el espacio pericárdico, el cual se ha asociado al empleo crónico de minoxidil desde principios de su uso clínico; este es formulado comúnmente a pacientes con hipertensión arterial de difícil control y con enfermedad renal crónica asociada, por su efecto vasodilatador arterial y poco efecto sobre la circulación venosa.

Se expone el caso de un paciente quien presentó clínica sugestiva de derrame pericárdico, el cual fue confirmado por imágenes (rayos X, tomografía y ecocardiografía) y quien además se encontraba en tratamiento de hemodiálisis crónica por enfermedad renal crónica secundaria a síndrome nefrótico.

En la literatura existen algunos reportes de casos similares, pero no hay estudios con datos concluyentes que permitan establecer un porcentaje claro de asociación ni la causa de esta enfermedad. Con este reporte de caso se busca aumentar la sospecha diagnóstica de esta asociación para que otros clínicos tengan este posible diagnóstico en mente, una vez se hayan descartado otras etiologías adicionales y puedan suspender a tiempo la medicación a fin de evitar desenlaces catastróficos como el taponamiento pericárdico.

Palabras clave: Derrame pericárdico; Taponamiento; Minoxidil

Abstract

Pericardial effusion is an excessive accumulation of fluid in the pericardial space and has been associated with the long-term use of minoxidil from the beginning of its clinical use. It is commonly prescribed to patients with difficult to control arterial hypertension and associated chronic kidney disease due to it arterial vasodilator effects and little effect of the venous circulation.

A case is presented on a patient who had a clinical picture suggestive of a pericardial effusion, which was confirmed by imaging tests (X-ray, tomography, and cardiac ultrasound). She was also on long-term haemodialysis treatment due to chronic kidney disease secondary to a nephrotic syndrome.

There are reports of similar cases in the literature, but there are no studies with conclusive data that may help to establish a clear percentage association or the cause of the disease.

This case report seeks to increase the diagnostic suspicion of this association so that other clinicians may have this possible diagnosis in mind, once they have ruled out any other. They can then stop the medication on time in order to prevent catastrophic outcomes like pericardiac tamponade.

Keywords: Pericardial effusion; Tamponade; Minoxidil

Introducción

El derrame pericárdico es una entidad potencialmente mortal, que tiene, además, un gran espectro de causas, las cuales pueden ser intrínsecas o secundarias a enfermedades sistémicas. Su sintomatología es, en muchas ocasiones, inespecífica, lo que lleva a destacar la importancia de una alta sospecha clínica, una anamnesis adecuada y un examen físico completo para poder así descartar diagnósticos diferenciales. A continuación se presenta el caso de un paciente joven en quien, dada su corta edad, llama la atención el diagnóstico de enfermedad renal crónica en hemodiálisis secundaria a síndrome nefrótico e hipertensión arterial de difícil control quien se hallaba en tratamiento con minoxidil.

Caso

Paciente de sexo masculino, de 25 años de edad, con antecedente de hipertensión arterial de difícil control y enfermedad renal crónica secundaria a síndrome nefrótico no clasificado, en tratamiento con hemodiálisis tres veces a la semana, además de clonidina 150 microgramos cada día, metoprolol 50 miligramos cada ocho horas, minoxidil 5 miligramos cada doce horas y prazosina 2 miligramos cada ocho horas. Ingresó al servicio de urgencias con dolor abdominal en fosa ilíaca derecha, por lo cual fue trasladado a cirugía, durante la cual se diagnosticó apendicitis gangrenosa.

En el postoperatorio inmediato presentó agitación, taquicardia sinusal y cifras de presión arterial elevadas (220/130 mm Hg); mediante tomografía simple de cráneo se descartó alteración del sistema nervioso central. Se procedió a iniciar sedación y se aumentaron las dosis de antihipertensivos. Fue trasladado a la unidad de cuidados especiales para vigilancia estrecha. Allí presentó hipotensión, ingurgitación yugular y ruidos cardiacos alejados, por lo que se solicitó electrocardiograma (fig. 1) y se tomaron radiografías de tórax (fig. 2), en las que se evidenció aumento significativo en el diámetro de la silueta cardíaca, que fue interpretado y confirmado con ecocardiografía (fig. 3) como derrame pericárdico. Se llevó a sesión de hemodiálisis urgente por sospecha de derrame pericárdico secundario a urgencia dialítica (última diálisis 3 días previos) y se drenaron 530 mililitros de líquido serohemático por catéter pericárdico. Dos días posteriores al retiro del catéter, recurrieron los síntomas, documentándose nuevo derrame pericárdico, por lo que se llevó a ventana pericárdica. Todos los estudios del líquido pericárdico fueron negativos para infección; además, el paciente se dializaba de forma adecuada y regular, de modo que se descartó que el derrame pericárdico fuera secundario a uremia.

Figura 1 Ecocardiografía (A) y tomografía contrastada de tórax con reconstrucción en eje corto (B), en la que se puede evidenciar, de forma comparativa, el derrame pericárdico mediante ambas modalidades diagnósticas y cortes equivalentes. 

Figura 2 Electrocardiograma en ritmo sinusal, en el que llama la atención el bajo voltaje. 

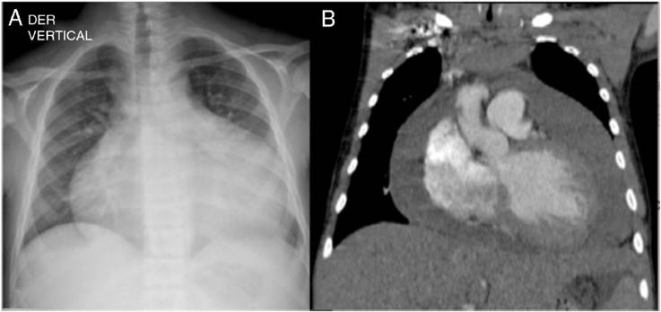
Figura 3 Radiografía postero-anterior (A) y tomografía contrastada de tórax con reconstrucción coronal (B), en la que se observa que el aumento de la silueta cardíaca que se evidenció en la radiografía corresponde en realidad a acumulación de líquido en el pericardio y no a crecimiento de las cavidades cardíacas.  

Discusión

El pericardio es un saco avascular que recubre el corazón; está constituido por una porción parietal y otra visceral y separa el epicardio de las demás estructuras mediastinales, cumpliendo además una función protectora como barrera física. El espacio pericárdico cuenta con un volumen aproximado de 25 a 50 ml de líquido, constituido como ultrafiltrado plasmático, el cual funciona como lubricante evitando la fricción con cada latido cardíaco1.

El derrame pericárdico se define como la presencia de cantidad anormal de líquido o fluido en el espacio pericárdico, el cual puede ser causado por una variedad de etiologías locales o sistémicas, entre las que se encuentran las de origen infeccioso, neoplásico, inmunológico, metabólico, iatrogénico, traumático y congénitas1,2.

El minoxidil es un vasodilatador arterial ya que produce relajación directa del músculo liso arterial con poco efecto sobre el sistema venoso3. Se usa para el tratamiento de la hipertensión severa que responde mal a otros medicamentos antihipertensivos, especialmente en pacientes con insuficiencia renal. Causa, así mismo, aumento del volumen ventricular y taquicardia con mejoría significativa en el gasto cardíaco y volumen sistólico, pudiendo contribuir al desarrollo de hipertrofia ventricular2.

Se han descrito reportes de caso y estudios observacionales que demuestran que el uso crónico de minoxidil se asocia con el desarrollo, tanto de derrame pericárdico asintomático, como de pericarditis sintomática y taponamiento pericárdico que amenaza la vida4.

El primer reporte de caso de derrame pericárdico hemorrágico asociado al uso de minoxidil en la literatura, se describió en 1985, y el paciente tenía similares características al que aquí se reporta (enfermedad renal crónica e hipertensión de difícil manejo); lastimosamente en ese caso el paciente murió a causa de un taponamiento pericárdico, ya que la enfermedad solo se identificó postmortem. En la autopsia se encontraron 100 ml de sangre, la cual salió bajo presión cuando se realizó la incisión en el pericardio. Desde el punto de vista microscópico se identificó infiltración linfocítica pericárdica moderada, con una superposición fibrinosa hemorrágica, hallazgos compatibles con el derrame pericárdico asociado al uso de minoxidil reportado previamente en la literatura4.

Es importante tener siempre en cuenta el cuadro clínico de estos pacientes ante la presencia de esta enfermedad, para así aumentar la sospecha diagnóstica. Entre los síntomas más descritos está el dolor agudo retroesternal, el cual puede ser severo y debilitante, punzante, que empeora con la inspiración y suele ser posicional, que aumenta con el decúbito supino y mejora al sentarse o inclinarse hacia delante y que puede irradiarse al cuello, al hombro izquierdo o a la mandíbula; si hay inflamación del nervio frénico puede provocar dolor en la espalda y los hombros1.

Cuando el paciente desarrolla taponamiento cardíaco, existen algunos hallazgos descritos en el examen físico que agilizan el diagnóstico con el fin de instaurar un tratamiento adecuado; entre ellos pulso paradójico, ruidos cardíacos alejados, pérdida del descenso ``y'' normal de una onda de presión venosa yugular por un aumento de la misma, secundaria a aumento de presiones de llenado de las cámaras del lado derecho e inestabilidad hemodinámica o hipotensión secundaria a la caída del gasto cardíaco5.

La toma de un electrocardiograma apoyaría esta sospecha diagnóstica si se evidencia en este: elevación de los segmentos ST de forma difusa, depresión del segmento PR en la mayoría de derivadas excepto en aVR (elevación del PR) y depresión recíproca del segmento ST en aVR; además, se podrían observar bajos voltajes (< 0,5 mV en las derivaciones de las extremidades) a medida que aumenta el tamaño de la efusión, inversiones de onda T o presencia de alternancia eléctrica en grandes derrames1,5.

Estos hallazgos pueden confirmarse rápidamente mediante un ecocardiograma, con el cual se puede determinar el tamaño y la ubicación de la colección pericárdica, que se aprecia como un espacio libre de eco alrededor del corazón; además, otros hallazgos, como el colapso diastólico temprano del ventrículo derecho, el colapso diastólico tardío de la aurícula derecha, la variación respiratoria en el flujo de la válvula tricúspide y mitral y la disminución de la onda E de la válvula mitral, apoyan el diagnóstico hemodinámico de taponamiento4,5.

Conviene recordar que en algunos casos el derrame pericárdico puede ser asintomático, siendo más común cuando se asocia a enfermedades autoinmunes como la artritis reumatoide4.

Al parecer los pacientes con insuficiencia renal de base, sin importar si se encuentran en hemodiálisis, están en mayor riesgo de desarrollar pericarditis asociada a minoxidil. Si bien hay estudios del siglo pasado que demuestran esta asociación, no ha sido posible reproducir estos resultados a la luz de la evidencia actual2,3,6.

El paciente del caso estaba en tratamiento con hemodiálisis crónica y al momento del diagnóstico del derrame pericárdico se inició la búsqueda de la causa más probable, descartando inicialmente las infecciosas y reumatológicas. Se propuso, de otro lado, que la causa del derrame estuviera asociada con sobrecarga de volumen secundaria a uremia debido a su enfermedad renal crónica, lo cual no era compatible con el caso ya que la diálisis se realizaba de forma adecuada y los demás parámetros asociados a subdializado eran normales. Finalmente, al tener un análisis del líquido pericárdico no diagnóstico, este se le atribuyó a la terapia con minoxidil, ya que es un efecto adverso documentado en la literatura, hasta en el 3% de los pacientes que reciben esta terapia7.

Conclusión

El derrame pericárdico asociado al uso de minoxidil es una entidad olvidada; en consecuencia, la frecuencia de reportes de caso o estudios sobre este tema ha venido en descenso. Los estudios que se han efectuado no han podido establecer como tal un mecanismo fisiopatológico causal y no tienen datos que arrojen resultados concluyentes; por esto, las nuevas generaciones de clínicos no tienen presente esta importante asociación y pasan por alto un diagnóstico potencialmente fatal si no se suspende a tiempo el medicamento.

Bibliografía

1. Farzad A, Schussler JM. Acute Myopericardial Syndromes. Cardiol Clin. 2018;36:103-14. [ Links ]

2. Pasala KK, Gujja K, Prabhu H, Vasavada B, Konka S. Shortterm minoxidil use associated with pericardial effusion and cardiac tamponade: an uncommon presentation. Am J Ther. 2012;19:e186-8. [ Links ]

3. Krehlik JM, Hindson DA, Crowley JJJ, Knight LL. Minoxidilassociated pericarditis and fatal cardiac tamponade. West J Med. 1985;143:527-9. [ Links ]

4. Little WC, Freeman GL. Pericardial disease. Circulation. 2006;113:1622-32. [ Links ]

5. Kearns MJ, Walley KR. Tamponade: Hemodynamic and echocardiographic diagnosis. Chest. 2018;153:1266-75. [ Links ]

6. Reichgott MJ. Minoxidil and pericardial effusion: an idiosyncratic reaction. Clin Pharmacol Ther. 1981;30:64-70. [ Links ]

7. Berlowitz M, Deutsch SB. Minoxidil associated pericardial effusion: a case report. J Med Cases. 2015;6:65-7. [ Links ]

Financiación Ninguna.

Recibido: 21 de Mayo de 2018; Aprobado: 22 de Julio de 2019

* Autor para correspondencia. Correo electrónico: mauricioduquemd@gmail.com (M. Duque-Ramírez).

Conflicto de intereses

Ninguno

Creative Commons License Este es un artículo publicado en acceso abierto bajo una licencia Creative Commons