Introducción
Los tumores cardíacos primarios son poco frecuentes y a menudo asintomáticos, y poseen una incidencia que varía entre 0,0017% a 0,28%1. El diagnóstico diferencial de masas cardíacas incluye vegetaciones, trombos y tumores, y puede involucrar endocardio, miocardio o epicardio. La afectación secundaria del corazón por tumores extracardíacos es rara. Los tumores benignos constituyen el 80% de las neoplasias cardíacas primarias y los mixomas son el tipo predominante2. El tumor cardíaco maligno más frecuente es el angiosarcoma, que se caracteriza por crecimiento rápido, invasión local y metástasis a distancia3. Se presenta el caso de una paciente adulta joven, con síntomas cardiovasculares inespecíficos asociados a pérdida de peso, cuyo diagnóstico ecocardiográfico e histopatológico fue compatible con mixoma cardíaco.
Caso
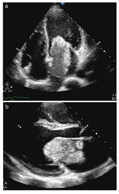
Paciente de sexo femenino, de 27 años, quien consultó a diferentes centros de salud por síntomas principales de palpitaciones y disnea de moderados esfuerzos, asociados a pérdida de peso en los últimos dos meses; ingresó remitida a la institución, donde se logró mejoría de síntomas principales con dosis de betabloqueador endovenoso. Se solicitó ecocardiograma transtorácico en cuyo reporte se describió mixoma de gran tamaño en la aurícula izquierda, mamelonado, de aproximadamente 21 cm2, con fragmentos móviles que sugerían fácil embolización, oclusión del canal de la válvula mitral en aproximadamente un 90%, adherido al septum posterosuperior con una base de implantación cercana a 1 cm de diámetro, y fracción de eyección del ventrículo izquierdo del 65% (figs. 1 a y b).

Figura 1 a y b. Ecocardiografía transtorácica, que muestra masa bien definida en la aurícula izquierda, compatible con mixoma, que ocluye el tracto de entrada del ventrículo izquierdo en un 90% (a: vista paraesternal eje largo; b: vista de cuatro cámaras).
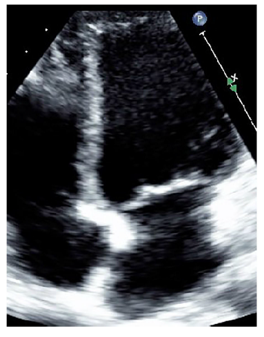
En vista de lo anterior se indicó cirugía cardiovascular de urgencia, en la que se hizo resección de la masa sin complicaciones. El resultado de Patología correspondió a mixoma; en controles posteriores se observó evolución adecuada (fig. 2).
Discusión
El diagnóstico diferencial de lesiones intracavitarias incluye tumores benignos, malignos primarios, secundarios metastásicos y trombos. La lesión puede detectarse mediante ecocardiografía, en tanto que el diagnóstico diferencial debe incluir trombo, vegetación y cuerpo extraño.
Los tumores cardíacos representan el 0,2% de todos los tumores encontrados en humanos. Estos se dividen en primarios o secundarios/metastásicos. Los secundarios o metastásicos son 20 a 40 veces más frecuentes que los primarios; estos últimos son raros.
Aproximadamente, el 75% son benignos y cerca del 50% son mixomas, que tienen una incidencia de 0,0017% en la población general. Los mixomas auriculares son los más comunes entre los tumores intracardiacos primarios del adulto (aproximadamente 20 a 30%)3. Dos tercios de los mixomas surgen en la aurícula izquierda, mientras que otros nacen en la aurícula derecha, los ventrículos, la vena cava superior o las venas pulmonares4. Solo el 15 al 20% de los mixomas cardíacos se originan de la aurícula derecha.
La morfología típica del mixoma generalmente es polipoide, a menudo pedunculada, rara vez sésil, redonda u oval, con una superficie lisa o suavemente lobulada.
La tríada clásica encontrada en pacientes con mixoma cardíaco se caracteriza por la obstrucción del flujo sanguíneo, síntomas constitucionales y eventos tromboembólicos. La obstrucción del flujo sanguíneo conduce a insuficiencia cardíaca intermitente, además de malestar sistémico no específico de tipo gripal, generalmente hay fiebre baja, de larga duración, artralgia, anorexia y eventos tromboembólicos. Si la lesión se encuentra en el lado derecho el mixoma puede obstruir la válvula tricúspide, y causa signos y síntomas de insuficiencia cardíaca del lado derecho, edema periférico, ascitis, congestión hepática y síncope.
Los signos y síntomas provocados por los mixomas son atípicos y altamente variables, lo que puede dificultar el diagnóstico de esta neoplasia. De acuerdo con el tamaño, la movilidad y la ubicación del tumor, pueden tener un curso asintomático o presentar tantos síntomas como eventos tromboembólicos, que incluso pueden conducir a la muerte súbita; es por esto que se considera una urgencia cardiovascular, dado su potencial riesgo embólico, entre otras complicaciones3,4.
Conclusión
El diagnóstico del mixoma cardíaco puede pasar inadvertido e incluso terminar en un diagnóstico erróneo, debido a su amplia variabilidad de síntomas; pese a ser considerado un tumor benigno y tener una incidencia baja en la población general, su localización intracardiaca implica un riesgo inminente para la vida al generar una serie de complicaciones que en algunos casos pueden incluso terminar en muerte súbita; debido a lo anterior es importante tomarlo siempre en cuenta dentro de los posibles diagnósticos en pacientes con alguna sintomatología correspondiente, garantizando de esta manera un diagnóstico ecocardiográfico temprano y un tratamiento efectivo y definitivo.














