Introducción
El síndrome de Austrian es una tríada que engloba neumonía, meningitis y endocarditis causadas por Staphylococcus pneumoniae, interesante dada su dificultad diagnóstica y alta mortalidad. Se trata de un síndrome descrito por primera vez en 1957 por Robert Austrian, como la asociación de meningitis y endocarditis, que, en su mayoría, afecta a la válvula aórtica1,2. Son más vulnerables aquellos pacientes con enfermedades crónicas, entre la quinta y sexta década de la vida y con factores de riesgo como el alcoholismo, la inmunosupresión y la asplenia3. Antes de la introducción de la antibioterapia el Staphylococcus pneumoniae era responsable del 15% de las endocarditis; posteriormente, la incidencia disminuyó a menos del 3%4, pero con la creciente resistencia a los betalactámicos y dado su alto índice de mortalidad es una enfermedad a tener en cuenta en el diagnóstico diferencial de las endocarditis en pacientes graves, con afectación del estado general o bajo nivel de consciencia. El tratamiento quirúrgico suele ser necesario en la mayoría de los enfermos y la penicilina ha sido considerada el tratamiento de elección. No obstante, su mortalidad sigue siendo elevada (aproximadamente 65%) sin que se haya conseguido un descenso significativo de esta cifra en los últimos años5.
Caso
Varón de 52 años, fumador activo. Como única enfermedad previa había presentado linfoma no Hodgkin veinte años antes para lo cual recibió quimioterapia; en la actualidad, libre de enfermedad. Se le había realizado también una esplenectomía en el pasado. Fue traído a urgencias por su familia al encontrarle estuporoso y con alteraciones del comportamiento. El cuadro comenzó con cefalea intensa y posterior desorientación y tendencia a la agresividad.
Había padecido una infección respiratoria los tres días previos, que consistió en fiebre y tos no productiva, la cual fue tratada como cuadro catarral no complicado.
Durante la exploración física en el departamento de urgencias presentó tensión arterial 143/94 mm Hg, taquicardia a 112 lpm, taquipnea a 25 rpm y saturación basal de oxígeno 90%. Impresionaba el regular estado general, estuporoso, con sequedad cutánea. La auscultación evidenciaba ruidos de secreciones bilaterales pulmonares y tonos cardíacos rítmicos, sin soplos audibles. Miembros inferiores sin hallazgos. Exploración neurológica: Glasgow 10 (O 3, V 3, M 4), emisión de monosílabos incoherentes, obedeciendo orden de apertura ocular exclusivamente con pupilas isocóricas y normorreactivas. Movilización espontánea y simétrica de las cuatro extremidades, con signos meníngeos positivos.
Con estos datos a su llegada se sospechó inicialmente meningitis, por lo que se administró dexametasona junto con ceftriaxona, vancomicina y ampicilina. Progresivamente el paciente se mostró tendiente a la hipotensión, con mayor trabajo respiratorio y desaturación hasta del 50%, por lo que requirió intubación orotraqueal y traslado a la Unidad de Cuidados Intensivos.
Pruebas complementarias
ECG: ritmo sinusal, QRS estrecho, sin alteraciones de la repolarización.
Radiografía de tórax portátil (fig. 1): decúbito con mala penetración, no infiltrados ni derrame pleural. Senos costofrénicos libres.
Analítica: función renal e iones en rango de la normalidad. Proteína C reactiva 277 mg/L. Procalcitonina 12 ng/ml. Leucocitos 18.900/(l, neutrófilos 16.900/(l, plaquetas 58.000/ (l, hemoglobina 13,4 g/dl. INR 1,06.
Punción lumbar: salida de líquido turbio y bioquímica patológica (glucosa 1 mg/dl, proteínas 432 mg/dl; células 999/(l, con 2.100 eritrocitos/(l, 21% de mononucleares y 80% de polimorfonucleares, ácido láctico 13 mmol/l).
Antígenos bacterianos en líquido cefalorraquídeo: positivo para Staphylococcus pneumoniae.
Antígenos bacterianos en orina: positivo para Staphylococcus pneumoniae. Hemocultivos: negativos.
TAC craneal: sin signos de patología intracraneal aguda.
Evolución durante el ingreso
Desde el punto de vista infeccioso: presentó leucocitosis y reactantes de fase aguda, los cuales descendieron gracias a tratamiento con ceftriaxona y vancomicina. Los cultivos que se recogieron fueron negativos al haber sido obtenidos bajo tratamiento antibiótico desde el inicio.
Respiratorio: sospecha de neumonía por Neumococo; se logró extubar sin incidencias, aunque progresivamente presentó empeoramiento radiológico, sin alteraciones del intercambio gaseoso.
Neurológico: meningoencefalitis neumocócica; despertó sin focalidad neurológica, únicamente algo desorientado en tiempo y lugar, manteniendo buen nivel de alerta.
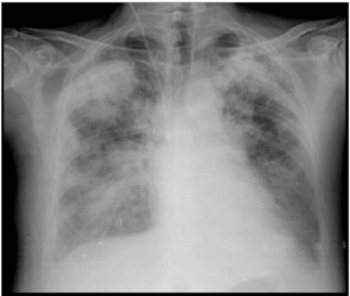
A las 72 horas, por tanto, salió a planta de Neurología para continuar cuidados y a las tres horas de estar en planta se encontró taquipneico, con tiraje y trabajo respiratorio y desaturación brusca, tos y expectoración verdosa. Se observó llamativo empeoramiento radiológico (fig. 2) y se trasladó de nuevo a la Unidad de Cuidados Intensivos por necesidad de intubación orotraqueal.
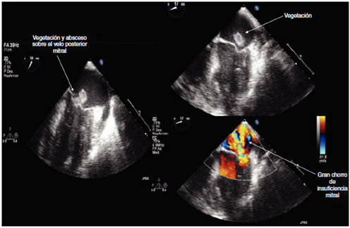
En este episodio de edema agudo de pulmón se contactó con Cardiología realizándose ecocardiograma transtorácico que mostró ventrículo izquierdo con función sistólica global y segmentaria normal, y ventrículo derecho también sin alteraciones. Sin embargo, llamó la atención un chorro de insuficiencia mitral leve, excéntrico, dirigido hacia el septo interauricular, sin poder determinar más sobre la morfología de la válvula mitral por muy mala ventana acústica. Se decidió realizar ecocardiograma transesofágico que mostró absceso de 14 x 8 mm con perforación del velo posterior mitral, que condicionó insuficiencia mitral severa (fig. 3). Se realizó, por tanto, el diagnóstico de síndrome de Austrian (endocarditis + meningitis + neumonía) y se trasladó a cirugía cardiaca en la que requirió recambio valvular mitral con implante de prótesis mecánica sin complicaciones intraoperatorias.

Figura 3 Imágenes de ecocardiografía transesofágica que muestran absceso de 14 x 8 mm con perforación del velo posterior mitral que condiciona insuficiencia mitral severa.
Como incidencias durante el postoperatorio presentó insuficiencia cardiaca descompensada con necesidad de diurético intravenoso a altas dosis, con mejoría posterior. Desde el punto de vista infeccioso presentó muy buena evolución tras instauración de tratamiento antibiótico con ceftriaxona, pero una vez terminado el ciclo reapareció la fiebre, empeoró su estado general y tuvo fracaso renal agudo que requirió inicio de meropenem + linezolid. Tras ello, evolucionó de manera favorable y pudo ser dado de alta a su domicilio.
Discusión
Se trata de un caso de interés por la gravedad que reviste esta entidad y la dificultad que puede llegar a entrañar su diagnóstico completo.
En este paciente existieron unos cinco días de demora total desde su llegada hasta la realización del ecocardiograma y, por tanto, a la cirugía. Además, ningún hemocultivo fue positivo (tampoco los cultivos de válvula nativa posteriores), probablemente por la rapidez con la que se administraron antibióticos a su llegada al hospital, dato que, a posteriori, dificultó también el diagnóstico y el tratamiento dirigido. Quizá un diagnóstico más precoz no hubiera llevado al paciente a la situación final de edema agudo de pulmón.
La disponibilidad del ecocardiograma varía según los distintos centros hospitalarios, pero nunca debe pasarse por alto la exploración física, que, realizada con atención, mostraba un soplo sistólico mitral y pudiera haber sido motivo para haber realizado antes la ecografía. No obstante, este es un caso complejo y de difícil diagnóstico. Aquí, la esplenectomía parece el motivo más probable de infección por neumococo, lo que indica la importancia de la correcta vacunación en este tipo de enfermos, que debe hacer siempre pensar un poco más allá en cuanto a los microorganismos potencialmente responsables (en este caso concreto el paciente había abandonado las vacunas por decisión propia).
En conclusión, casos como este nos recuerdan la importancia del estudio de ciertas enfermedades que, aunque quizá más prevalentes hace años, hoy en día siguen revistiendo gravedad y no deben olvidarse.















