Introducción
La enfermedad aneurismática coronaria se define como la dilatación de un segmento arterial coronario más 1,5 veces el diámetro de las arterias adyacentes de tamaño normal. Puede ser difusa, y afectar todo el trayecto de la arteria o localizada y afectar sólo un segmento arterial específico1.
En Colombia no hay hasta el momento un estudio de prevalencia de la enfermedad aneurismática coronaria; sin embargo, existen algunos reportes de casos aislados. La etiología de la enfermedad aneurismática coronaria se atribuye principalmente a la aterosclerosis (50%) y en mayoría de pacientes coexiste con la enfermedad coronaria. Entre un 20 a un 30% de los casos son congénitos y solo un 10 a un 20% son secundarios a enfermedades del tejido conectivo, principalmente esclerosis sistémica, síndrome de Ehlers-Danlos, enfermedad de Kawasaki y vasculitis anticuerpos ANCA positivo, entre otros. Los factores de riesgo comúnmente asociados a la enfermedad aneurismática coronaria son similares a los de la enfermedad coronaria, entre estos hipertensión arterial crónica, tabaquismo y sexo masculino (relación hombre: mujer de 3:1)4.
Caso 1
Paciente se sexo masculino, de 62 años de edad, con antecedente de hipertensión arterial, quien ingresó por un infarto agudo al miocardio sin elevación del segmento ST, de 36 horas de evolución, Killip I, sin angina postinfarto. El electrocardiograma mostró una alteración en la repolarización del segmento ST en la pared ínfero lateral. En angiografía coronaria se observó: tronco: ectasia con diámetro de 22 mm (fig. 1A); arteria descendente anterior: tipo III, ectasia en su tercio proximal y medio (diámetro de 20 mm), vaso distal con mínimas irregularidades y flujo lento, TFC TIMI conteo de 61; arteria circunfleja: ectasia severa en su tercio medio y primera marginal (diámetro 30 mm) y evidencia de un gran trombo intraluminal. Vaso distal sin lesiones (fig. 1B); coronaria derecha: vaso dominante, ectasia en todo su trayecto (diámetro de 18 mm) y presencia de flujo lento con TIMI conteo TFC de 59.

Figura 1 A Gran trombo en la arteria circunfleja (flecha verde) y adicionalmente gran ectasia del tronco coronario. B. Ectasia de la arteria coronaria izquierda y gran trombo en la arteria circunfleja (flecha naranja).
Se dejó en manejo con terapia antiplaquetaria dual con ácido acetil salicílico más clopidogrel y anticoagulación con warfarina para una meta de INR entre 2,0 a 2,5, estatinas régimen de alta intensidad, inhibidores de la enzima convertidora de angiotensina (IECA) y control angiográfico en seis a ocho semanas.
Caso 2
Paciente de sexo masculino, de 72 años de edad, quien fue remitido de manera ambulatoria por cuadro de un año de evolución de deterioro de la clase funcional por disnea, sin angina, hasta una clase funcional II de la New York Heart Association. Tenía antecedentes de enfermedad coronaria con dos infartos agudos de miocardio previos; además de dislipidemia y extabaquismo.
El ecocardiograma transtorácicomostró ventrículo izquierdo dilatado, disquinesia del casquete apical, acinesia de toda la pared inferior e hipoquinesia severa de la pared posterior, con imagen de trombo apical organizado, antiguo. La fracción de eyección del ventrículo izquierdo fue del 30%. El ecocardiograma de estrés fue positivo para la inducción de isquemia en la pared lateral.
Se realizó angiografía coronaria en la que se hicieron los siguientes hallazgos: Tronco: angiográficamente normal; arteria descendente anterior: tipo III, aneurisma en su tercio proximal, buen vaso distal. Presencia de flujo lento TIMI conteo TFC de 43; arteria circunfleja: dilataciones aneurismáticas en todo su trayecto, con placas distales no significativas y presencia de flujo lento TIMI conteo TFC de 50; arteria coronaria derecha: vaso dominante, con gran aneurisma en tercio proximal y medio. Ectasia distal sin lesiones obstructivas y presencia de flujo lento TIMI conteo TFC de 47 (fig. 2).

Figura 2 A. Múltiples dilataciones aneurismáticas en la arteria circunfleja. (flechas). B. Arteria coronaria derecha con ectasia en su tercio proximal y medio (flecha). C. Aneurisma en la arteria descendente anterior en su tercio proximal (flecha).
Se dejó en tratamiento farmacológico con doble terapia antiagregante de forma indefinida y ácido acetil salicílico más clopidogrel.
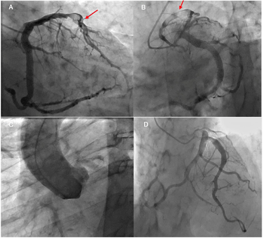
Caso 3
Paciente de 78 años, de sexo masculino, quien cursó con infarto agudo al miocardio con elevación del ST no trombolizado de 24 horas de evolución, clínicamente definido como Killip I y sin angina postinfarto. Como antecedentes patológicos refirió artritis reumatoide y cáncer de próstata en manejo con hormonoterapia. El ecocardiograma transtorácico mostró ventrículo izquierdo de tamaño normal, con disquinesia apical FEVI de 45%. El electrocardiograma evidenció bloqueo AV de primer grado, onda Q patológica en pared inferior y trastorno de la repolarización generalizado; eje desviado a la izquierda. Se llevó a angiografía coronaria en la que se halló tronco angiográficamente normal; arteria descendente anterior: tipo III, gran trombo intraluminal en el tercio medio del vaso y flujo TIMI I (fig. 3); arteria circunfleja: vaso dominante, de gran calibre, con ectasia; coronaria derecha con origen anómalo, la cual se encuentra sin lesiones obstructivas.

Figura 3 A. Arteria descendente anterior con trombo en tercio medio (flecha). Se observa ectasia de la arteria circunfleja. B y C. Arteria descendente anterior con trombo en el tercio medio (flecha). Ectasia de arteria circunfleja originando arteria coronaria derecha. En aortograma no se observa ostium de la coronaria derecha ya que nace de la arteria circunfleja. D. Control a las ocho semanas. Se observa ectasia de la arteria descendente anterior en tercio proximal y medio (resolución total de trombo). Origen anómalo de arteria coronaria derecha.
Se dejó en tratamiento con tirofibán 24 horas, ticagrelor 90 mg cada 12 horas por un año, ácido acetil salicílico (ASA) 100 mg/día indefinidamente, enoxaparina 1 mg/ kg cada 12 horas por 5 días e inhibidor de la enzima convertidora de angiotensina (IECA).
A los 4 días se realizó revisión angiográfica en la cual se documentó disminución del trombo y se manejó finalmente con rivaroxabán 2,5 mg cada 12 horas, ácido acetil salicílico (ASA) 100 mg día y clopidogrel 75 mg día.
A las ocho semanas se hizo un nuevo control angiográfico en el que se halló tronco: angiográficamente normal; arteria descendente anterior: tipo III, ectasia en su tercio proximal y medio, con resolución total de la carga de trombo y flujo distal del vaso TIMI III Y TIMI conteo 41; arteria circunfleja: vaso de gran calibre, sin evidencia de lesiones obstructivas y originándose de este vaso la coronaria derecha, la cual se observa libre de lesiones obstructivas.
Discusión
Definición, epidemiología y etiología
La enfermedad aneurismática coronaria se define como la dilatación de un segmento arterial hasta 1,5 veces el diámetro de las arterias adyacentes de tamaño normal. Puede ser difusa y afectar todo el trayecto de la arteria o localizada y afedctar sólo un segmento arterial específico1. Esta enfermedad puede encontrarse entre un 3 a un 8% de los estudios angiográficos y entre 0,22% a 1,4% de las necropsias clínicas2. En una serie de 3.870 casos realizada en Italia en 2007se demostró una prevalencia de 3,6% en pacientes llevados a arteriografía coronaria3. Los segmentos proximal y medio de la arteria coronaria derecha (ACD) son los más afectados −68%−, seguidos por el segmento proximal de la arteria descendente anterior (ADA) con un 60%; la arteria circunfleja (50%) y el compromiso del tronco coronario izquierdo son una forma de presentación rara, con una prevalencia de apenas el 0,1%3. La etiología de la enfermedad aneurismática coronaria se atribuye principalmente a la aterosclerosis (50%) y en la mayoría de pacientes coexiste con la enfermedad coronaria. Entre un 20 a un 30% de los casos son congénitos y solo un 10 a un 20% son secundarios a enfermedades del tejido conectivo, principalmente esclerosis sistémica, síndrome de Ehlers-Danlos, enfermedad de Kawasaki y vasculitis anticuerpos ANCA positivos, entre otros. Los factores de riesgo más asociados son similares a los de la enfermedad coronaria, como hipertensión arterial crónica, tabaquismo y sexo masculino (relación hombre: mujer de 3:1)4. El pronóstico de la enfermedad aneurismática coronaria no está totalmente establecido y existen registros que no muestran diferencias en mortalidad entre pacientes con o sin enfermedad aneurismática coronaria; sin embargo hay estudios que han evaluado la mortalidad en pacientes con enfermedad aneurismática coronaria con manejo médico e isquemia silente y han encontrado una tasa de mortalidad hasta del 13%5.
Fisiopatología:
La enfermedad aneurismática coronaria representa una forma exagerada de remodelamiento vascular expansivo en respuesta al crecimiento de una placa aterosclerótica. Varios factores enzimáticos ayudan a la degradación de la matriz extracelular de la media; entre estos se encuentran los niveles elevados de homocisteína, la hiperinsulinemia, el aumento de metabolitos de óxido nítrico (NO), la acumulación de lipoproteínas en la íntima, la activación del sistema renina-angiotensina-aldosterona (RAAS) y los procesos inflamatorios endoteliales. Todo lo anterior lleva a una disrupción de la íntima elástica interna que promueve la salida de células inflamatorias hasta la media, que favorece el remodelamiento expansivo y finalmente la ectasia6.
Presentación clínica y diagnóstico
La enfermedad aneurismática coronaria pueden ser totalmente asintomática o hasta el síndrome coronario agudo. Cuando hay síntomas el más común es la angina estable, pero también puede presentarse un dolor torácico atípico7. La angiografía coronaria ha sido la herramienta de elección para el diagnóstico de la enfermedad aneurismática coronaria, pues no solo evalúa el diámetro de las arterias coronarias sino también el flujo de las mismas encontrando muchas veces patrones ectásicos, con flujos turbulentos, llenado lento del medio de contraste y deposición local de contraste en segmentos arteriales dilatados8. El uso de IVUS (ultrasonido intravascular) se ha convertido en una herramienta útil ya que brinda información respecto del tamaño luminal de la arteria así como de los cambios en la pared de la misma9. Entre los estudios no invasivos la resonancia magnética nuclear y la tomografía axial computarizada de las arterias coronarias han tenido buenos resultados en cuanto al diagnóstico de la enfermedad aneurismática coronaria; la resonancia magnética nuclear incluso ha llegado a igualar el poder diagnóstico de la arteriografía coronaria10.
Tratamiento
Teniendo en cuenta que la arterioesclerosis está implicada en la mayoría de los casos de la enfermedad aneurismática coronaria, en todos los pacientes debe llevarse a cabo el control y la modificación de los factores de riesgo cardiovascular. En cuanto a la antiagregación y la anticoagulación de los pacientes con enfermedad aneurismática coronaria existen aún muchas controversias. Múltiples estudios han mostrado que no hay ningún beneficio en anticoagular pacientes con enfermedad aneurismática coronaria; sin embargo, un estudio reciente sugiere un posible beneficio de anticoagular a los pacientes que además de esta enfermedad cursan con síndrome coronario agudo. En el estudio, los pacientes que tuvieron una anticoagulación adecuada con warfarina (tiempo en rango terapéutico > 60%) tuvieron 0% de ocurrencia de eventos cardiovasculares mayores (MACE) comparado con 33% de los pacientes que no tuvieron anticoagulación (p 0,03)3. Adicionalmente, hay evidencia que en los pacientes con enfermedad de Kawasaki, la anticoagulación ayuda a reducir la tasa de eventos trombóticos, por lo que en dicha población se recomienda su uso. Algunos estudios han demostrado que los inhibidores de la enzima convertidora de angiotensina (IECA) podrían disminuir la tasa de progresión de la dilatación aneurismática pero se requiere evidencia suficiente para avalar su uso rutinario. Vasodilatadores como los nitratos se han asociado a una exacerbación de la isquemia miocárdica en pacientes con enfermedad aneurismática coronaria, de ahí que su uso esté del todo controvertido y deba individualizarse en cada caso11.
En cuanto a la intervención coronaria percutánea (PCI) es preciso tener varias consideraciones en cuenta. En primer lugar, la mayoría de los estudios de PCI incluye pacientes sintomáticos con síndrome coronario agudo; los estudios en pacientes asintomáticos con enfermedad aneurismática coronaria están limitados a pequeñas series de casos. Por otro lado, la PCI en el contexto de un vaso culpable aneurismático o ectásico en un infarto agudo de miocardio está asociada con menor tasa de éxito del procedimiento y alta incidencia de no reflujo y embolización distal. Los pacientes que sobreviven una un infarto agudo de miocardio con elevación del ST después de una PCI de un vaso aneurismático o ectásico tienen tasas de mayor mortalidad, tasas más altas de trombosis definitiva del stent e infarto agudo de miocardio durante el seguimiento12. De acuerdo con lo anterior hay cuatro variables a tener en cuenta al momento de realizar la intervención coronaria percutánea PCI en un paciente con enfermedad aneurismática coronaria. La primera son los dispositivos con un propósito específico, especialmente para excluir el segmento aneurismático y que se usan fuera de indicaciones (off label), como el stent graftmaster (Abbott) y el PK Papyrus (Biotronik). La segunda variable es la carga trombótica, la cual es valorada por métodos subjetivos y se puede reducir ya sea mediante agentes, como el tirofibán, o tecnologías de trombectomía, como el Angiojet (Boston Scientific). Otra variable es asegurar un buen cálculo del tamaño de la lesión aterosclerótica que va ser excluida para así reducir el riesgo de trombosis de los dispositivos que se lleguen a implantar, específicamente del stent. Por último, debido al grado de tortuosidad, calcificación y complejidad de las lesiones en la enfermedad aneurismática coronaria se puede utilizar una técnica adaptada de los tratamiento de aneurismas cerebrales, que es la embolización de un coil asistida por stent. Respecto a la cirugía en estos pacientes hay muy poca evidencia; existe la ligadura con bypass distal que es la técnica más utilizada, pero además está la marsupialización con interposición de un puente o la resección del aneurisma. Infortunadamente no se sabe cuál es mejor ya que son procedimientos de muy poca frecuencia12.
Conclusión
La enfermedad aneurismática coronaria es una entidad compleja, con una variada presentación clínica, paraclínica y angiográfica, en la cual la intervención percutánea requiere de varias consideraciones para la toma del tratamiento definitivo. Por consiguiente, individualizar cada caso, la experticia del operador y el clínico tratante, la carga trombótica, el riesgo isquémico y de sangrado del paciente son los principales puntos a tener en cuenta para la toma de decisiones, la cual, en la mayoría de los casos, será el tratamiento con doble antiagregación, anticoagulación o una combinación de estos fármacos.














