SciELO - Scientific Electronic Library Online

 
vol.28 issue6Myocardial lesion in a patient with systemic lupus erythematosus: A diagnostic challengeMinimal invasive surgical resection of myxomas: a three case series study author indexsubject indexarticles search
Home Pagealphabetic serial listing  

Services on Demand

Journal

Article

Indicators

Related links

  • On index processCited by Google
  • Have no similar articlesSimilars in SciELO
  • On index processSimilars in Google

Share


Revista Colombiana de Cardiología

Print version ISSN 0120-5633

Rev. Colomb. Cardiol. vol.28 no.6 Bogota Nov./Dec. 2021  Epub Jan 07, 2022

https://doi.org/10.24875/rccar.m21000106 

CASO CLÍNICO-CARDIOLOGÍA DEL ADULTO

Tromboembolia pulmonar e infarto de miocardio embólico en paciente con trombo en tránsito a través de foramen oval permeable

Pulmonary embolism and embolic myocardial infarction in a patient with thrombi in transit through a patent foramen ovale

Javier Pérez-Cervera1  * 

Ángel Morales-Martínez de Tejada1 

Carlos A. Aranda-López1 

José C. Fernández-Camacho1 

M. Victoria Millán-Núñez1 

1Servicio de Cardiología, Complejo Hospitalario Universitario de Badajoz, Badajoz, España


Resumen

Se presenta el caso de una paciente ingresada por cuadro clínico de infarto agudo de miocardio con elevación del segmento ST. Tras la realización de una coronariografía emergente en la que se evidencia un trombo en la arteria coronaria derecha, sin objetivar lesiones ateroscleróticas, es diagnosticada de infarto de probable origen embólico. Tras realizar un ecocardiograma transtorácico, se detecta la presencia de trombos en las cavidades derechas e izquierdas del corazón. Por ello se realiza angiografía por tomografía computarizada con protocolo de embolia pulmonar, que confirma la presencia de embolia pulmonar bilateral masiva. Tras esto, se repitió el ecocardiograma transtorácico, hallándose un aneurisma del septo interauricular, con aparente protrusión de una masa trombótica a través de él. Se inició terapia anticoagulante con buena evolución por parte de la paciente, habiendo desaparecido los trombos en el ecocardiograma con test de burbujas que se realizó días después, en el que se demostró la presencia de un foramen oval permeable. Con la presentación de este caso se pretende, en primer lugar, ilustrar una afección que en contadas ocasiones se puede objetivar mediante prueba de imagen, y en segundo lugar, hacer una breve revisión del diagnóstico y el manejo del foramen oval permeable como parte del estudio de fuente embólica.

Palabras clave: Foramen oval permeable; Embolia pulmonar; Infarto de miocardio; Embolia paradójica

Abstract

The authors describe a case of a patient admitted with ST elevation myocardial infarction. An emergent coronariography was done, showing a thrombus in the right coronary artery, without evidence of atherosclerotic lesions in the coronary bed. Due to this, she is diagnosed with probable embolic myocardial infarction. When she was performed a transthoracic echocardiography, the presence of free thrombi was detected in right and left chambers of the heart. Due to this, a CT angiography with pulmonary embolism protocol was done, confirming the presence of a massive bilateral pulmonary embolism. After that, a new trans-thoracic echocardiography was done, finding an aneurism at interatrial septum, with an apparent protrusion of thrombotic mass through it. The decision taken was initiating therapeutic anticoagulation, having the patient a positive evolution with disappearance of thrombi in the bubble test performed days later, and showing the presence of a patent foramen ovale. The purpose of the presentation of this case report is, firstly, illustrating an entity which in very few occasions can be demonstrated by imaging tests, and secondly, making a brief review of the diagnosis and management of the patent foramen ovale as a part of the study of embolic sources.

Key words: Patent foramen ovale; Pulmonary embolism; Myocardial infarction; Paradoxical embolism

La presencia de trombos libres flotantes en el interior de las cavidades derechas es una afección rara, pero prácticamente definitoria de tromboembolia pulmonar (TEP) en el contexto clínico apropiado. Se puede objetivar en aproximadamente el 4% de las TEP y su presencia se asocia a mal pronóstico1.

Por otro lado, la embolia coronaria es frecuente dentro de las causas no ateroscleróticas de infarto agudo de miocardio (IAM), pero con una prevalencia escasa dentro del abanico de causas para sufrir un IAM, encontrándose esta en torno a un 3% en los estudios con series de casos más amplias. El principal origen de embolia coronario es la presencia de fibrilación auricular2.

Presentamos el caso de una paciente de 87 años, hipertensa y dislipidémica, que había sido valorada hacía una semana por neurocirugía por episodios de alucinosis tras un traumatismo craneoencefálico secundario a una caída, objetivándose en la tomografía computarizada (TC) craneal lesiones compatibles con un mínimo hematoma subdural agudo en la convexidad frontal derecha y otro hematoma subdural crónico frontal izquierdo, ambos sin efecto masa y con manejo conservador.

En el día del ingreso, la paciente acudió por un episodio de dolor centro-torácico opresivo sin irradiación, con elevación del segmento ST en cara inferior y cambios especulares en el electrocardiograma y movilización de marcadores de daño miocárdico. Así mismo, la paciente se encontraba disfásica y con cierta desorientación espacial. Se realizó una coronariografía de manera emergente, objetivándose un trombo en la arteria coronaria derecha sin lesiones ateroscleróticas en el territorio coronario, por lo que se la catalogó de IAM de origen embólico. Durante el procedimiento, la paciente presentó varias rachas de fibrilación auricular con respuesta ventricular rápida.

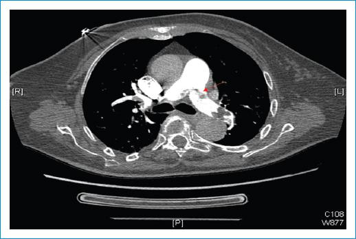
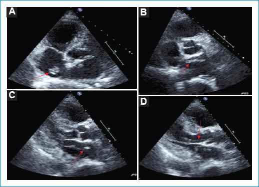
Una vez se trasladó la paciente a la unidad de cuidados agudos cardiológicos se le realizó ecocardiografía transtorácica (ETT), en la que se objetivaron trombos libres en las cavidades derechas, principalmente en la aurícula, y que protruían desde la vena cava inferior (Fig. 1). Se solicitó por este motivo una angiografía por TC con protocolo de TEP, en la que se objetivó TEP masiva bilateral (Fig. 2). Posteriormente, en una nueva ETT de control, se objetivó la presencia de un aneurisma del septo interauricular con aparente protrusión de la masa trombótica a través de este y que se extendía hacia la válvula mitral, y otra masa de aspecto trombótico en el tracto de salida del ventrículo izquierdo y la válvula aórtica (Fig. 3).

Figura 1 Eje corto de ecocardiografía transtorácica que muestra la presencia de trombos libres en las cámaras derechas (flecha). 

Figura 2 Angiografía por tomografía computarizada con protocolo de tromboembolia pulmonar que muestra embolia pulmonar «en silla de montar» (flecha). 

Figura 3 A: eje corto de ecocardiografía transtorácica (ETT) que muestra un trombo en la aurícula derecha (flecha). B: eje corto de ETT que muestra un trombo en la aurícula izquierda (flecha). C: eje largo de ETT que muestra un trombo atravesando desde la aurícula izquierda al ventrículo izquierdo (flecha). D: eje largo de ETT que muestra un trombo filiforme a nivel del tracto de salida del ventrículo izquierdo (flecha). 

Dada la nueva clínica neurológica presentada por la paciente, se solicitó una nueva TC de cráneo urgente, en la que se objetivó un posible nuevo hematoma subdural agudo-subagudo en la hoz cerebral, sin otros cambios respecto a la TC previa, no teniendo contraindicación por parte de neurocirugía para el inicio de la anticoagulación.

Se inició tratamiento anticoagulante con evolución favorable y estabilidad desde el punto de vista hemodinámico. Se realizó ETT con test de burbujas, que mostró la desaparición de las masas que eran compatibles con trombos y la presencia de un foramen oval permeable (FOP) con shunt moderado derecha-izquierda.

La presencia de embolia paradójica en pacientes con patología trombótica venosa o pulmonar tiene en el FOP una de sus principales causas. De hecho, aunque se trata de una tríada infrecuente e infradiagnosticada, se han descrito casos que han presentado embolia a tres niveles: pulmonar, coronario y territorio arterial cerebral3. El FOP es una afección muy prevalente, encontrándose hasta en el 25% de los adultos sanos, y su presencia tiende a disminuir con la edad, siendo raro en personas octogenarias. Existen algunas variantes anatómicas relacionadas con la presencia de FOP y el aumento del riesgo de embolia paradójica, como la valva de Eustaquio, la red de Chiari o, como en el caso de nuestra paciente, el aneurisma del septo interauricular4,5. Siguiendo las recomendaciones actuales para el manejo del FOP, dado que la paciente no presentaba datos de un cortocircuito izquierda-derecha hemodinámicamente significativo, y dada su avanzada edad, se optó por manejo médico con anticoagulación6.

Teniendo en cuenta la carga trombótica presentada por la paciente, sospechamos un posible estado protrombótico, quizá en relación con una neoplasia no diagnosticada. Por ello, y considerando que tenía realizada una TC craneal y pulmonar sin hallazgos tumorales, se valoró con la familia la posibilidad de realizar una TC de abdomen con el objetivo de filiar la posible etiología tumoral, siendo rechazado por su parte, expresando su deseo de no realizar ningún estudio adicional.

Bibliografía

1. Torbicki A, GaliéN, Covezzoli A, Rossi E, De Rosa M, Goldhaber SZ;ICOPER Study Group. Right heart thrombi in pulmonary embolism. J Am Coll Cardiol. 2003;41:2245-51. [ Links ]

2. Shibata T, Kawakami S, Noguchi T, Tanaka T, Asaumi Y, Kanaya T, et al. Prevalence, clinical features, and prognosis of acute myocardial infarction attributable to coronary artery embolism. Circulation. 2015;132:241-50. [ Links ]

3. Stortecky S, Cook S, Meier B, Togni M. Patent foramen ovale a culpable pathway for myocardial infarction. J Am Coll Cardiol. 2011;58:1923. [ Links ]

4. Windecker S, Stortecky S, Meier B. Paradoxical embolism. J Am Coll Cardiol. 2014;64:403-15. [ Links ]

5. Hernández-Enríquez M, Freixa X. Current indications for percutaneous closure of patent foramen ovale. Rev Esp Cardiol. 2014;67:603-7. [ Links ]

6. Pineda AM, Nascimento FO, Yang SC, Kirtane AJ, Sommer RJ, Beohar N. A meta-analysis of transcatheter closure of patent foramen ovale versus medical therapy for prevention of recurrent thromboembolic events in patients with cryptogenic cerebrovascular events. Catheter Cardiovasc Interv. 2013;82:968-75. [ Links ]

FinanciamientoLos autores declaran no poseer fuente alguna de financiamiento.

Responsabilidades éticas

Protección de personas y animales. Los autores declaran que para esta investigación no se han realizado experimentos en seres humanos ni en animales.

Confidencialidad de los datos. Los autores declaran que han seguido los protocolos de su centro de trabajo sobre la publicación de datos de pacientes.

Derecho a la privacidad y consentimiento informado. Los autores han obtenido el consentimiento informado de los pacientes y/o sujetos referidos en el artículo. Este documento obra en poder del autor de correspondencia.

Recibido: 20 de Octubre de 2019; Aprobado: 24 de Marzo de 2021

*Correspondencia: Javier Pérez-Cervera E-mail: jperezcervera@gmail.com

Conflicto de intereses

Los autores declaran que no existe conflicto de intereses.

Creative Commons License Instituto Nacional de Cardiología Ignacio Chávez. Published by Permanyer. This is an open ccess article under the CC BY-NC-ND license