Introducción
La dextrocardia es una anomalía congénita rara que puede o no asociarse a otras malformaciones congénitas; los adultos con esta condición pueden presentar enfermedad sinusal o trastornos de la conducción auriculoventricular. El implante del marcapaso definitivo ofrece desafíos importantes. A continuación, se expone el caso de una mujer con disfunción sinusal en quien se logró implantar el dispositivo. En la discusión se consideran cuáles son las diferentes herramientas o soluciones para realizar con éxito este procedimiento.
Caso clínico
Mujer de 65 años, con un cuadro clínico de 4 años de evolución referido como episodios transitorios de pérdida del estado de consciencia de corta duración (máximo 30 segundos), con inicio y terminación súbita, que en algunas ocasiones se asociaron a movimientos anormales sutiles; nunca tuvo compromiso del control de los esfínteres.
En la revisión por sistemas refirió mareo frecuente, sin relación con los cambios de movimiento; su clase funcional fue I/IV. Entre los antecedentes personales destacan sobrepeso, diabetes mellitus tipo 2 y diagnóstico reciente de «epilepsia». Se encontraba en manejo médico con metformina, esomeprazol, levetiracetam y fenitoína.
Durante la exploración física se observaron signos vitales normales; llamó la atención la presencia de ruidos cardiacos de mayor intensidad en el hemitórax derecho. Se realizó un electrocardiograma (ECG) en el que se registró onda una P-QRS-T de carácter negativo en las derivadas DI-aVL y un complejo QRS predominantemente negativo en precordiales, posterior a lo cual se verificó la posición adecuada de los electrodos sin cambios en el ECG, lo que clínicamente sugirió dextrocardia. Se hizo un ecocardiograma transtorácico que confirmó la dextrocardia, la concordancia auriculoventricular y de grandes vasos, y una función ventricular izquierda normal. No se documentaron otras alteraciones congénitas cardiacas. El holter ECG mostró pausas sinusales sintomáticas significativas (la mayor de 20 segundos).
Teniendo en cuenta lo anterior, se consideró que la paciente cursaba con disfunción sinusal sintomática, por lo que se indicó el implante de marcapaso bicameral definitivo (previamente se descartaron causas reversibles de esta condición, como alteraciones electrolíticas o tiroideas). En el momento del implante se realizó venografía sin identificar alteraciones en el drenaje venoso; las punciones de la vena axilar fueron guiadas por marcas anatómicas, radiológicas y por venografía, sin complicaciones. Se avanzó el electrodo ventricular derecho (CapSureFix Novus MRI SureScan Leads 58 cm), se hicieron proyecciones RAO (oblicua anterior derecha) y LAO (oblicua anterior izquierda) teniendo en cuenta que las imágenes obtenidas son en espejo; por esta razón, se confirmó en RAO que el electrodo se dirigía al septum del ventrículo derecho, proyección contraria a la que se utiliza de forma usual (Fig. 1). Los parámetros de implante fueron onda R de 15 mV, impedancia de 518 ohm y umbral de 0,5 mV/04 ms. El electrodo auricular (CapSureFix Novus MRI SureScan Leads 52 cm) requirió reposicionamiento en tres ocasiones, pues en la posición usual la onda P registrada era menor de 1 mV, hacia septal presentaba una gran señal de campo lejano del ventrículo y la posición final óptima fue más lateral. Los parámetros de implante fueron onda P de 2,6 mV, impedancia de 536 ohm y umbral de 0,7 mV/04 ms; se conectaron electrodos al generador marca Medtronic (Advisa DR MRI), dejándose programado en modo MVP (Managed Ventricular Pacing).

Figura 1 Disposición de los electrodos durante el implante; imágenes de fluoroscopia. A: posición final de los electrodos. B: proyección RAO en donde se visualiza la dirección interventicular. Esta proyección normalmente se logra con LAO. C: proyección de LAO en donde se identifica la posición del electrodo en relación con el eje basal-ápex del VD. Esta proyección normalmente se logra con RAO en personas sin dextrocardia.LAO: oblicua interior izquierda; RAO: oblicua anterior derecha; VD: ventrículo derecho.
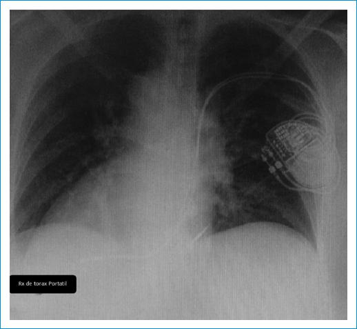
La radiografía de tórax (Fig. 2) del día siguiente no evidenció neumotórax y se identificó la posición adecuada de los electrodos. En el seguimiento clínico, la paciente refirió mejoría de la sintomatología y negó recurrencia de la alteración del estado de consciencia y eventos «convulsivos». La telemetría mostró adecuada funcionalidad del dispositivo, sin cambios significativos en los parámetros de sensado y estimulación.
Discusión
La dextrocardia es una anomalía posicional cardiaca en la que el corazón está ubicado en el hemitórax derecho, con su eje base-ápex dirigido hacia la derecha y de manera caudal1. Es rara; tiene una incidencia de 0.83 por cada 10.000 embarazos2. Esta condición descrita puede asociarse a una organización visceroatrial normal (situs solitus), a una imagen en espejo de la configuración visceroatrial normal denominada situs inversus o concurrir con un isometrismo visceroatrial conocido como situs ambiguo2. En la población pediátrica puede asociarse a otras malformaciones congénitas; sin embargo, cuando el diagnóstico se realiza en la edad adulta, en muchas ocasiones se trata de una condición aislada como diagnóstico incidental. En nuestro caso, la paciente consultó por 4 años de pérdida transitoria del estado de consciencia asociada a movimientos sutiles involuntarios que llevaron, inicialmente, a considerar epilepsia como primera posibilidad diagnóstica. Posterior a esto, se documentaron pausas sinusales significativas sintomáticas que explican la sintomatología referida por la paciente.
Los pacientes adultos con dextrocardia pueden presentar bloqueos auriculoventriculares (BAV) y disfunción sinusal como indicación de implante de marcapaso definitivo al igual que la población general sin esta condición; se destaca que en una serie de seis pacientes la indicación más frecuente fue BAV2.
La primera descripción de implante de un marcapaso por disfunción sinusal fue reportada por Goyal et al.3 en 1976; fue unicameral ventricular derecho y el paciente tenía doble vena cava superior, además de agenesia de la vena cava inferior. Generalmente, la aproximación del acceso venoso axilar no difiere de un paciente convencional (por marcas anatómicas, radiológicas o guiado por ultrasonido)4, por lo cual se sugiere venografía previa para descartar la presencia de anomalías venosas no conocidas. En nuestro caso, el drenaje venoso fue normal y la punción se realizó por marcas radiológicas y anatómicas sin complicaciones. El bolsillo se puede hacer en la región subclavia derecha5 o izquierda; en la mayoría de los casos, como en este, se realizó en la región subclavia izquierda, posiblemente por mayor comodidad para el operador.
Tal vez uno de los desafíos más importantes al momento de implantar un marcapasos en estos pacientes es la orientación anatómica fluoroscópica. En la mayoría de los reportes de casos, el implante se realiza en la vista AP; sin embargo, se debe tener presente la organización visceroatrial asociada a la dextrocardia, pues en pacientes con situs inversus (que presentan una imagen en espejo exacta) se pueden utilizar las proyecciones RAO y LAO de forma inversa2, y de esta manera utilizar la proyección RAO para evaluar la dirección hacia el septum del electrodo y la proyección LAO para evaluar la posición basal-apical del electrodo. En el caso expuesto, el implante se realizó utilizando las vistas AP, RAO y LAO para lograr una posición adecuada del electrodo6. En el resto de las situaciones, la dextrocardia suele asociarse con anomalías vasculares o anatómicas, o con ambas, lo que condiciona una mayor complejidad. Las aurículas, así como los drenajes venosos, acostumbran a tener su posición normal y los ventrículos son los que se giran para dar la configuración anatómica final; en estos casos, la guía fluoroscópica usual puede ser insuficiente para orientar de forma óptima la posición final de los electrodos, por lo cual se sugiere realizar un angiograma venoso (vena cava, aurícula y ventrículo derecho) con el objetivo de facilitar una ruta para el implante.
En los pacientes con anatomías complejas, en las que el implante del electrodo ventricular condicione riesgos adicionales, se puede considerar solo el implante del electrodo auricular (en caso de disfunción sinusal como en esta paciente) siempre que la conducción auriculoventricular sea normal (ausencia de disociación auriculoventricular con estimulación auricular mayor de 150 lpm)7, teniendo en cuenta que en caso de enfermedad futura en el sistema de conducción podría ser necesaria una nueva intervención para implante del electrodo ventricular. Se han publicado, además, implantes exitosos de marcapasos tricamerales8 (terapia de resincronización cardiaca), desfibriladores8, así como estimulación del haz de His9,10. Por último, la frecuencia y la forma del seguimiento (reprogramaciones del dispositivo) suelen ser las mismas que en la población general. En la tabla 1 se resumen las recomendaciones para la realización exitosa de implantes.
Tabla 1 Recomendaciones para el implante de marcapaso en pacientes con dextrocardia
| 1. Realización de venografía antes de iniciar el procedimiento. |
| 2. El bolsillo del marcapaso se puede realizar en la región subclavia derecha o izquierda; se sugiere la izquierda para mayor comodidad del operador. Sin embargo, el implante de los electrodos técnicamente es más sencillo desde el lado derecho. |
| 3. En los pacientes con dextrocardia y situs inversus (imagen en espejo perfecta) se pueden utilizar las proyecciones RAO y LAO de forma inversa (por ejemplo, RAO para orientar la dirección septal del electrodo). La inversión completa de la imagen desde el angiógrafo es una alternativa. |
| 4. Los pacientes con dextrocardia y situs solitus (así como situs ambiguos) suelen requerir la realización de un angiograma venoso para facilitar el implante de los electrodos. |
| 5. En los pacientes con anatomías cardiacas complejas y conducción auriculoventricular normal, el implante de electrodo auricular (en caso de disfunción sinusal) puede ser suficiente. |
| 6. El seguimiento clínico posterior no difiere del de la población general. |
Conclusiones
La dextrocardia es una condición congénita rara; los adultos que la padecen usualmente pueden presentar alteraciones en la función sinusal y la conducción auriculoventricular. El conocimiento de la anatomía del paciente y las condiciones asociadas son vitales para planear de forma adecuada el implante de un dispositivo de estimulación definitivo. La ecografía, las referencias anatómicas, las proyecciones fluoroscópicas modificadas y la angiografía venosa, entre otras, son las herramientas disponibles para realizar un implante exitoso de los electrodos.














