Introducción
Los sarcomas son neoplasias primarias de difícil diagnóstico, cuya ubicación en grandes vasos es muy rara, y en la vena pulmonar extremadamente infrecuente y de pronóstico muy pobre. Se han reportado alrededor de 30 casos en la literatura, con un pronóstico de sobrevida de 23 meses y un 60% de metástasis al momento del diagnóstico. La histología más común es el leiomiosarcoma, seguido del fibrosarcoma. La presentación clínica es inespecífica, pues es común confundirse con fenómenos embólicos pulmonares. Se cuenta con ayudas diagnósticas desde el ecocardiograma hasta la tomografía por emisión de positrones (PET-CT). El tratamiento de elección es la resección quirúrgica radical; en casos seleccionados otras opciones incluyen trasplante de corazón. La terapia adyuvante no mejora la mortalidad ni disminuye la recurrencia. La supervivencia media después de la cirugía y las terapias adyuvantes es de 6,8 meses. Se presenta el caso de una paciente con sarcoma de la vena pulmonar derecha en quien inicialmente se sospechó tromboembolia pulmonar. Dado que este tipo de tumores en dicha localización son excepcionales, a través de este reporte de caso se aporta a la literatura mundial.
Caso clínico
Mujer de 44 años, con antecedente de tromboembolia pulmonar tres meses previos, a su ingreso en manejo con warfarina 5 mg/día vía oral (último INR 2.5 previo ingreso) y resección intestinal por obstrucción intestinal, posiblemente secundaria a bridas con reporte de patología normal realizado 4 años antes. Ingresó por cuadro de inicio súbito de disnea durante enterotomografía (indicado por gastroenterología para estudio de constipación crónica debida refractariedad a manejo médico). Adicionalmente, refirió pérdida involuntaria de 13 kg de peso en el último mes, tos seca de predominio nocturno y estreñimiento crónico.
Al ingreso al servicio de urgencias se encontró alerta, afebril, hipotensa (90/50 mm Hg con presión arterial media 62 mm Hg), frecuencia cardíaca de 120 lpm, frecuencia respiratoria 24 rpm y saturación de oxígeno del 90% al aire ambiente. Durante el examen físico se halló polipnea y estertores en bases pulmonares; el resto examen sin alteraciones.
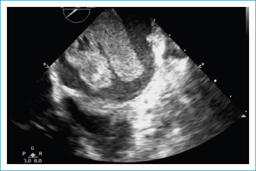
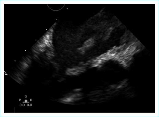
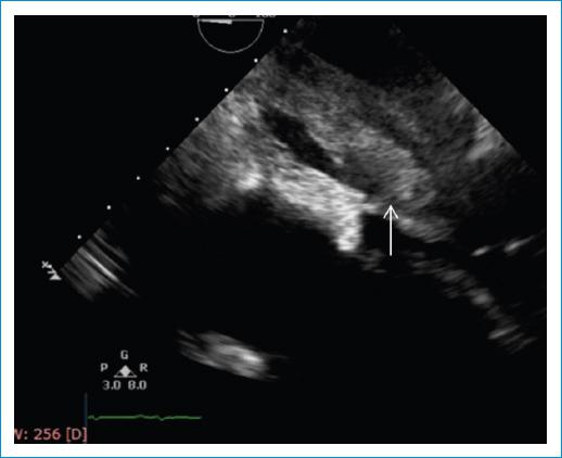
El electrocardiograma documentó único hallazgo de taquicardia sinusal. Entre los paraclínicos de ingreso se encontró INR en rangos terapéuticos (2.7) hipoalbuminemia, gases arteriales con evidencia de acidosis metabólica con anión Gap normal con hipoxemia moderada (Tabla 1) y radiografía de tórax simple con evidencia de edema pulmonar en fase intersticial (Fig. 1).Se complementó con ecocardiograma transtorácico, el cual reportó una masa en la aurícula izquierda, que parecía estar adherida a su pared posterior y obstruía el tracto de entrada del ventrículo izquierdo (Fig. 2). Fue valorada por el equipo de cirugía cardiovascular quienes indicaron la toma de ecocardiograma transesofágico, el cual permitió una mejor caracterización de la lesión; en este se halló una masa lobulada, de bordes irregulares, ecogenicidad intermedia y quistes en su interior, la cual se encontraba adherida a la parte posterior de la aurícula izquierda y a la vena pulmonar inferior derecha a través de un pedículo, comprometiendo el flujo de dicho vaso e infiltrando también su pared (Fig. 3). Esta masa protruía, también, a través del tracto de entrada del ventrículo izquierdo (Fig. 4), comprometiendo el flujo de manera significativa (velocidad pico: 2,5 m/s y gradiente medio de 14 mm Hg). Adicionalmente, el septum interauricular se encontraba tapizado por una masa de similares características (Fig. 5). A razón de dichos hallazgos, fue sometida a intervención quirúrgica, en la que se halló una masa multilobulada de características sarcomatosas de 8 cm x 4 cm con infiltración completa de la vena pulmonar derecha y oclusión del 100% de su luz; la infiltración de las paredes y la extensión hacia el hilio pulmonar hicieron imposible una resección radical, con reporte histopatológico de sarcoma indiferenciado (Fig. 3).
Tabla 1 Paraclínicos de ingreso al servicio de urgencias
| Hemograma | |
| Leucocitos | 8.100 |
| Neutrófilos | 89.4% |
| Linfocitos | 10.6% |
| Monocitos | 8.64% |
| Eosinofilos | 1.47% |
| Hemoglobina | 8.02 |
| Hematocrito | 23% |
| VCM | 80 |
| Plaquetas | 254.000 |
| Tiempos de coagulación | |
| PT/control | 10.8/10.9 |
| PTT/control | 33/29.9 |
| INR | 0.99 |
| Perfil hepático | |
| Albúmina | 2.1 |
| AST | 11 |
| ALT | 12 |
| Fosfatasa alcalina | 214 |
| Función renal | |
| Creatinina sérica | 0.5 |
| Nitrógeno ureico | 5 |
| Gases arteriales | |
| FiO2 | 28% |
| pH | 7.41 |
| PaO2 | 77 |
| PaCO2 | 21 |
| HCO3 | 12.9 |
| SO2 | 95.9 |
| P (A-a) O2 | 41.8 |
| PAFI | 373 |
| Sodio | 133 |
| Potasio | 4 |
| Cloro | 115 |
| Calcio | 7.5 |

Figura 1 Radiografía de tórax versión anteroposterior. Engrosamiento de intersticio peribroncovascular, borramiento de ángulo costo-frénico de predominio derecho e índice cardiotorácico normal sugestivo de edema pulmonar en fase intersticial.

Figura 2 Ecocardiograma transtorácico en el que se observa masa de ecogenicidad intermedia que ocupa la aurícula izquierda y produce obstrucción del tracto de entrada del ventrículo izquierdo.

Figura 3 Ecocardiograma transesofágico en el que se aprecia masa lobulada de ecogenicidad intermedia y quistes en su interior, adherida al aspecto posterior de la aurícula izquierda.

Figura 4 Ecocardiograma transesofágico en el que se evidencia masa lobulada de bordes irregulares que protruía a través del tracto de entrada del ventrículo izquierdo.

Figura 5 Ecocardiograma transesofágico que muestra el septum interauricular tapizado por una masa de ecogenicidad intermedia (flecha).
Se revisó la historia clínica, una imagen previa a la hospitalización en la que se documentó la tromboembolia pulmonar y una imagen tomográfica de tórax en fase arterial en la que se visualizó la obstrucción completa de la vena pulmonar superior e inferior derecha, con extensión de una lesión a la aurícula izquierda, en relación con masa correspondiente a sarcoma de la vena pulmonar (Fig. 4). Seis meses posteriores a la resección parcial de dicha masa presentó cuadro de obstrucción intestinal, que ameritó intervención quirúrgica en la que se observó extensión de la neoplasia al peritoneo. Durante la hospitalización falleció por la extensión y progresión de la enfermedad neoplásica.
Discusión
En el abordaje de una masa cardiaca, su etiología comprende desde tumores, trombos, vegetaciones y lesiones calcificantes, hasta reparos anatómicos normales1. En cuanto a su ubicación en la aurícula izquierda, sus principales etiologías son trombos y tumores benignos (75% mixomas)2, y en cuanto a neoplasias malignas son de 30 a 1000 veces más comunes las metástasis que los tumores cardiacos primarios, los cuales muestran una incidencia aproximada de 0.001 a 0.03% en autopsias3,4. El compromiso de la vasculatura pulmonar puede estar dado por etiologías benignas, hasta neoplasias primarias o secundarias, con principal afectación en las arterias pulmonares; en la mayoría de casos es una entidad de difícil diferenciación frente a un evento embólico pulmonar. Por otro lado, el compromiso de las venas pulmonares es extremadamente raro y en algunos casos se ha descrito la extensión a la aurícula izquierda5,6. Dentro de la etiología de una masa cardiaca se encuentran los sarcomas, un tipo de neoplasia primaria cuya ubicación en grandes vasos es considerablemente rara y de difícil diagnóstico debido a su presentación clínica inespecífica. Éstos se ubican principalmente en la vena cava inferior y la arteria pulmonar; el sarcoma intimal es el más común y tiene compromiso arterial e intraluminal, en tanto que el leiomiosarcoma presenta compromiso venoso con componente extraluminal5,7-9.
Por otro lado, las neoplasias de las venas pulmonares son una entidad rara, con una prevalencia poco conocida, cuya etiología principalmente está dada por una extensión de una neoplasia secundaria. En lo que concierne a tumores primarios malignos, se describen principalmente los sarcomas, y, en lesiones benignas, el leiomioma y el fibroelastoma papilar2,5. Se han descrito alrededor de 30 casos de sarcoma de la vena pulmonar10. La histología más común es el leiomiosarcoma, seguido del fibrosarcoma; el primero es el más estudiado y muestra positividad para vimentina, actina, desmina y reactividad de queratina aberrante, con lo cual se confirma la diferenciación de músculo liso11. La principal ubicación del leiomiosarcoma son las venas pulmonares derechas, con mayor predominio en la vena pulmonar superior derecha y extensión a la aurícula izquierda12. En su distribución afecta, en general, a ambos géneros, pero su principal variante, que es el leiomiosarcoma, es más común en mujeres, alrededor de los 50 años con fenómenos embólicos pulmonares recurrentes5,7. El pronóstico es ominoso, con una media de supervivencia de 23 meses y un 5% de probabilidad de sobrevida a 3 años, debido a hallazgos del 60% de metástasis al momento del diagnóstico principalmente en pulmón, riñón, cerebro, nódulos linfáticos y piel7,12.
La presentación clínica es inespecífica. Los síntomas más comunes son tos, hemoptisis, disnea, dolor torácico, síntomas congestivos cardiacos, hasta alteraciones eléctricas del corazón; incluso mimetizan fenómenos clínicos como el mixoma o la tromboembolia pulmonar y algunas veces se manifiestan con síntomas neurológicos. En algunos casos, debido a la difícil diferenciación con eventos embólicos pulmonares, se ha realizado trombólisis de estas entidades12. Usualmente, se confunden con lesiones en la arteria pulmonar. No obstante, a través de la literatura se ha tratado de ofrecer herramientas para ayudar al clínico a diferenciar; es el caso de la tomografía con contraste en la que los hallazgos de defectos de llenado con lesiones de baja atenuación ocupando todo el diámetro del vaso, lesiones lobuladas o en su componente proximal, pueden ser claves a favor del sarcoma de la arteria pulmonar13. La resonancia es otra ayuda diagnóstica con buen rendimiento, pero tiene la limitación de retención de respiración debido al componente de disnea de estos pacientes al poseer una lesión de la vasculatura pulmonar. Por último, se cuenta con la PET/CT, útil por sus niveles de velocidad de captación de 3.3, sensibilidad del 98.4%, especificidad del 96.8% y exactitud del 97.8% para la detección de neoplasias tipo sarcoma, y su diferenciación con la embolia pulmonar14.
El tratamiento consiste en la resección completa del tumor, quimioterapia y radiación11. La resección quirúrgica radical sigue siendo el tratamiento de elección, y parece correlacionarse con una mejor supervivencia; implica la reconstrucción o reemplazo valvular de ser necesario para mantener márgenes libres15,16, incluso se ha descrito un manejo integral con casos seleccionados para trasplante de corazón pero se ha observado la futilidad de este17. La intención del tratamiento en su mayoría es paliativa, ya que este tipo de tumor sigue un curso progresivo a pesar de una resección adecuada18. La radioterapia y la quimioterapia adyuvantes han demostrado prolongar la supervivencia y mejorar el control de la enfermedad en algunos casos19,20. La doxorrubicina, la ifosfamida, la vincristina, el etopósido, el uracilo, el cisplatino, la ciclofosfamida y la mitomicina se encuentran entre los agentes quimioterapéuticos que se han probado, con resultados muy variados10,21,22. Los factores que determinan la supervivencia incluyen el índice mitótico del tumor, la presencia de metástasis, la necrosis en la sección del tumor y la localización del tumor en el lado izquierdo del corazón20. La supervivencia media después de la cirugía y las terapias adyuvantes es de 6,8 meses23.
Se presenta el caso de una paciente con sarcoma de la vena pulmonar en quien inicialmente se hizo el diagnóstico erróneo de tromboembolia pulmonar, con posterior desenlace fatal después de compromiso metastásico de lesión en el tracto gastrointestinal. Este tipo de tumores en dicha localización es muy excepcional, por lo cual se aporta con su reporte a la literatura mundial.













