El aneurisma coronario gigante es una complicación grave y potencialmente mortal de la enfermedad coronaria. Se caracteriza por la dilatación anormal de las arterias coronarias, generalmente como resultado de la aterosclerosis y la formación de trombos1,2. Esta condición puede comprometer el suministro sanguíneo al músculo cardíaco, lo cual puede acarrear complicaciones, como el infarto agudo de miocardio y el choque cardiogénico1,2. Debido a su tamaño, los aneurismas gigantes tienen mayor riesgo de ruptura, y, por tanto, de causar hemorragias internas potencialmente mortales1,2. Es así como el tratamiento de los aneurismas gigantes es esencial para prevenir complicaciones graves.
El enfoque de tratamiento puede variar de acuerdo con la ubicación y la gravedad del aneurisma. Algunas opciones de tratamiento incluyen la cirugía abierta y la embolización endovascular1,2. En la cirugía abierta, se realiza una incisión en el área afectada y se coloca un clip o se sutura el aneurisma para prevenir la ruptura. En la embolización endovascular, se inserta un catéter a través de los vasos sanguíneos hasta el sitio del aneurisma, y se coloca un material de embolización para bloquear el flujo sanguíneo y prevenir la ruptura1,2.
Es importante tener en cuenta que los casos individuales de aneurismas gigantes bilaterales pueden variar significativamente en términos de ubicación, tratamiento y resultados1,2.
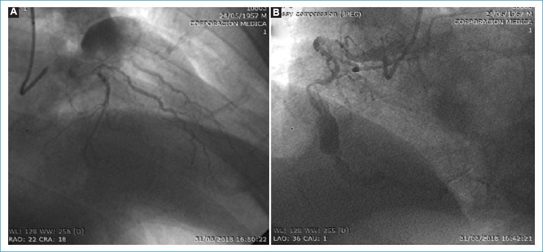
Se describe el caso de un hombre de 61 años, con antecedentes de hipertensión arterial, sobrepeso e historia familiar de muerte súbita, quien acudió al servicio de Urgencias debido a un dolor intenso en la región precordial que se irradiaba hacia el miembro superior derecho. Los hallazgos en el electrocardiograma de ingreso revelaronn un supradesnivel del segmento ST en las derivaciones V1 a V3, así como ondas T simétricas y picudas en las derivaciones V2-V6. Además, el ecocardiograma mostró hipocinesia aguda ínfero-posterior de base a punta, hipocinesia septal medial anterior y fracción de eyección del 35%. Los niveles de troponina I ultrasensible también estaban considerablemente elevados. Fue tratado con aspirina, ticagrelor e infusión de heparina, y posteriormente desarrolló un cuadro de hipotensión asociado a choque cardiogénico, que se controló con inotrópicos y vasoactivos. La coronariografía reveló oclusión trombosada en la arteria descendente anterior a nivel proximal, con lesión aneurismática de 30 x 25 mm, así como lesión crítica proximal y dilatación aneurismática de 21 x 19 mm en la arteria coronaria derecha (Fig. 1). Ante estos hallazgos, se decidió llevar a cirugía de revascularización miocárdica utilizando la técnica «on-pump beating-heart», en la cual se realiza un puente mamario izquierdo a la arteria descendente anterior, un injerto venoso a la arteria circunfleja y otro injerto venoso a la arteria descendente posterior. Previo a la cirugía, se implantó un balón de contrapulsación intraaórtico, el cual se retiró al día siguiente de la intervención.

Figura 1 A: se observa en la región de la coronaria descendente anterior a nivel proximal una lesión aneurismática trombosada de 30 x 25 mm. B: Además, se evidencia lesión proximal con dilatación aneurismática de 21 x 19 mm en la arteria coronaria derecha.
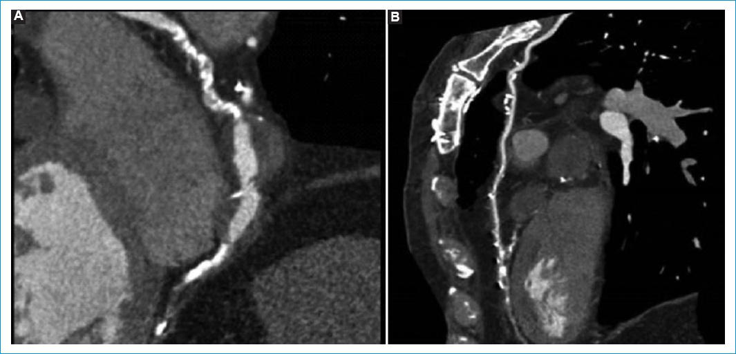
Gracias a la evolución favorable del paciente en los días posteriores a la cirugía, se decidió darle el alta. Posteriormente, se procedió a realizar un seguimiento a los tres meses mediante angiotomografía coronaria, en la que se observaron dilataciones aneurismáticas graves en el tercio medio de la arteria descendente anterior. Además, se visualizó un puente arterial mamario a la descendente anterior que se encontraba permeable. En lo que respecta a la coronaria derecha, se observó gran dilatación en su tercio medio (Fig. 2). La razón de llevar a cabo el seguimiento mediante angiotomografía se debió a la necesidad de verificar el estado de permeabilidad de los puentes coronarios. Para tal fin, se optó por realizar una tomografía, dado que se trata de un procedimiento no invasivo y es menos costoso en comparación con la angiografía.

Figura 2 Angiotomografía coronaria de seguimiento realizada luego de tres meses. A: se aprecia dilatación aguda de la coronaria derecha en su tercio medio. B: se observan dilataciones aneurismáticas graves en el tercio medio de la arteria descendente anterior y puente arterial mamario a la descendente anterior permeable.
Este caso ilustra la importancia del diagnóstico y el tratamiento oportunos del aneurisma coronario gigante, así como la necesidad de una intervención quirúrgica en determinados casos para restablecer el flujo sanguíneo adecuado al músculo cardíaco y prevenir complicaciones graves.













