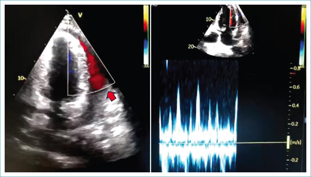
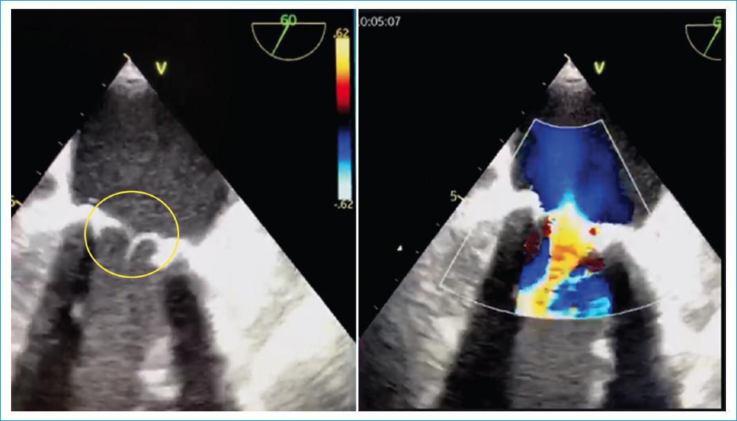
Paciente de sexo masculino, de 49 años, sin antecedentes patológicos, quien consultó por cuadro clínico de quince días de evolución, caracterizado por picos febriles recurrentes, con deterioro de su clase funcional, asociado a dolor torácico, pérdida de la fuerza en miembros inferiores y posterior alteración del estado de consciencia. Al examen físico cardiovascular, se evidenció soplo holosistólico mitral, por lo cual se ordenó un ecocardiograma transtorácico en el que se halló vegetación en la válvula mitral, con perforación del segmento A3 con jet de insuficiencia mitral grave y perforación del anillo mitral anterior con relación al segmento A3, ocasionando una fístula ventrículo-pericárdica con evidencia de derrame pericárdico circunferencial grave y presencia de flujo por Doppler color (Fig. 1; flecha amarilla), en la cavidad pericárdica con signos de taponamiento cardíaco (Fig. 2; flecha roja); ventrículo izquierdo hiperdinámico con fracción de eyección del 68%. Se realizó procedimiento quirúrgico para la resección de la vegetación y la confirmación del trayecto fistuloso con cierre de este usando parche de pericardio autólogo más reemplazo de válvula mitral con prótesis biológica # 27. El paciente tuvo una evolución satisfactoria. El ecocardiograma de control previo al egreso mostró prótesis biológica en posición mitral, normofuncionante (Fig. 3; círculo amarillo), sin fuga periprotésica ni evidencia de fistula residual (Fig. 3), con ventrículo izquierdo de grosor y cavidad normal, hipocinésica global y disfunción sistólica leve (FEVI 40%).
Services on Demand
Journal
Article
Indicators
-
Cited by SciELO -
Access statistics
Related links
-
Cited by Google -
Similars in
SciELO -
Similars in Google
Share
Revista Colombiana de Cardiología
Print version ISSN 0120-5633
Rev. Colomb. Cardiol. vol.31 no.2 Bogota Mar./Apr. 2024 Epub May 13, 2024
https://doi.org/10.24875/rccar.23000080
IMÁGENES EN CARDIOLOGÍA
Fístula ventrículo-pericárdica secundaria a endocarditis; complicación inusual
Ventriculo-pericardial fistula secondary to endocarditis; unusual complication
2Departamento de Cirugía Cardiovascular. Clínica Avidanti, Ibagué, Tolima, Colombia
FinanciamientoNo se contó con ningún tipo de patrocinio o financiamiento para la realización de esta investigación.
Responsabilidades éticas
Protección de personas y animales. Los autores declaran que para esta investigación no se han realizado experimentos en seres humanos ni en animales.
Confidencialidad de los datos. Los autores declaran que han seguido los protocolos de su centro de trabajo sobre la publicación de datos de pacientes.
Derecho a la privacidad y consentimiento informado. Los autores han obtenido el consentimiento informado de los pacientes y/o sujetos referidos en el artículo. Este documento obra en poder del autor de correspondencia.
Uso de inteligencia artificial para generar textos. Los autores declaran que no han utilizado ningún tipo de inteligencia artificial generativa en la redacción de este manuscrito ni para la creación de figuras, gráficos, tablas o sus correspondientes pies o leyendas.
Recibido: 15 de Septiembre de 2023; Aprobado: 10 de Enero de 2024
















