Introducción
El pioderma gangrenoso hace parte de las dermatosis neutrofílicas, junto con el síndrome de Sweet, el síndrome artirits-dermatosis asociado a enfermedad intestinal, la hidradenitis ecrina neutrofílica, la dermatosis pustular subcórnea, la dermatitis neutrofílica reumatoide y otros desórdenes considerados principalmente vasculíticos, como la enfermedad de Behcet y el eritema elevatum diutinum 1-4).
El pioderma gangrenoso ampolloso es uno de los subtipos de pioderma gangrenoso. La mayoría de los casos descritos están asociados a enfermedad hematológica y presagian un mal pronóstico 1-3,5
Presentación del caso
Se trataba de una mujer de 57 años y diagnosticada con leucemia mieloide aguda. Después del diagnóstico, la paciente recibió un primer ciclo de quimioterapia con idarrubicina, fludarabina, citarabina y factor estimulante de colonias de granulocitos y de macrófagos (GM-CSF).
Tres meses después la paciente presentó recaída y fue hospitalizada para un segundo ciclo de quimioterapia. El día de su ingreso la paciente fue evaluada por el servicio de dermatología por un brote en la región posterior del tórax. La paciente refería que las lesiones habían iniciado hacía cuatro días como vesículas que evolucionaron rápidamente a úlceras confluentes con costra en su superficie.
En la primera evaluación por dermatología se evidenciaron múltiples vesículas y ampollas con una base eritematosa en la periferia de una úlcera superficial con costra central, en espalda. Algunas de las ampollas tenían contenido seropurulento. Con una impresión diagnóstica de herpes simple sobreinfectado, se iniciaron antibióticos de amplio espectro y acyclovir. Sin embargo, la paciente no mejoró a pesar del tratamiento y la úlcera presentó empeoramiento progresivo.
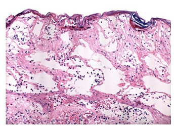
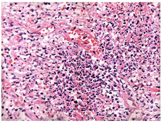
Una semana después se sospechó herpes simple resistente a acyclovir en paciente inmunosuprimida y se solicitaron exámenes paraclínicos para inicio de foscarnet y se tomó biopsia de piel, la cual mostró múltiples neutrófilos invadiendo la dermis y la epidermis sin vasculitis (figuras 1 y 2).
Con estos hallazgos se hizo el diagnóstico de pioderma gangrenoso y se inició prednisona a una dosis de 1 mg/kg/dia. Pocos días después la úlcera ya había disminuido de tamaño con menos secreción y la mejoría era evidente (figuras 3 y 4).

Figura 3 Úlcera superficial con necrosis central y ampollas concéntricas en la periferia, localizada en el tronco posterior izquierdo de la paciente. Nótese la coloración azul grisácea en el borde inferior y el exudado seropurulento en el borde superior

Figura 4 Cuatro días después de iniciada la prednisona se observa disminución del tamaño de la úlcera, qie está más seca y hay notoria mejoría.
La paciente y su familia decidieron no continuar con el tratamiento oncológico y ha presentado nuevamente las lesiones en piel acompañadas de síntomas generales y fiebre, varios meses después y en los momentos en los que presenta recaídas de su leucemia. La paciente ha sido nuevamente manejada con prednisona en conjunto con el servicio de oncología, con muy buena respuesta de las lesiones cutáneas y los síntomas generales.
Discusión
El pioderma gangrenoso fue descrito por primera vez en 1916 por Brocq. Luego, en 1930 Brunsting, Goeckerman y O’Leary describen esta condición en una pequeña serie de casos y propusieron el término pioderma gangrenoso porque consideraban que correspondía a diseminación de un foco distante de infección 1. En 1957 Perry describe la primera serie con 19 pacientes y se establece como una emergencia dermatológica que, al ser diagnosticada correctamente, podía evitarse el desbridamiento y la amputación 6. En 1972 Perry también fue el primero en describir el pioderma gangrenoso ampolloso en tres pacientes con enfermedad mieloproliferativa 7.
La incidencia se estima en 3 a 10 pacientes por millón al año y se presenta comúnmente entre los 20 a 50 años, con una leve predominancia en mujeres. La mayoría de los casos están asociados a alguna enfermedad sistémica 1,8.
La etiopatogénesis se desconoce, pero el hecho de que se asocie a enfermedad sistémica autoinmune y el fenómeno de patergia, sugieren una anormalidad inmunológica con una respuesta inflamatoria exagerada y no controlada a estímulos inespecíficos 1,9.
También se ha sugerido que es secundaria a disfunción de los neutrófilos, ya que hay evidencia de tráfico anormal y alteraciones metabólicas. Además, las gamopatías por Ig A pueden alterar la quimiotaxis in vitro, las cuales no son infrecuentes en el pioderma gangrenoso 1.
Sin embargo, no es claro si estas anormalidades son la causa de la enfermedad o son un epifenómeno. También se ha demostrado sobreexpresión de IL-8 y en xenoinjertos humanos transfectados con IL-8 humana recombinante se ha inducido ulceración similar a la observada en el pioderma gangrenoso 1. Se cree que los desencadenantes o perpetuantes de la enfermedad son: predisposición genética, agentes infecciosos aun no definidos y fenómenos parainmunes o paraneoplásicos 1,10.
Se han descrito raras formas familiares como el síndrome PAPA (por las iniciales en inglés de artritis piógena esteril, con pioderma gangrenoso y acné), un desorden autosómico dominante por alteración en el cromosoma 15q. la IL-16 que está en 15q25 y es un gen candidato, quimiotáctica para los neutrófilos (1). Además de otros síndromes auto-inflamatorios como el PASH (pioderma gangrenoso, acné e hidradenitis supurativa), PAPASH (artritis piógena estéril, pioderma gangrenoso, acné e hidradenitis supurativa) y recientemente se han adicionado PsAPASH (artritis psoriásica, pioderma gangrenoso, acné e hidradenitis supurativa) y PAC (pioderma gangrenoso, acné y colitis ulcerativa). Estos presentan un sistema inmune innato sobreactivado que conduce a mayor producción de IL-1 y por ende quimiotaxis de los neutrófilos 11,12.
Von den Driesch et al. han propuesto clasificar las dermatosis neutrofílicas según cuatro principios patogénicos diferentes: vasculitis, autoanticuerpos y complemento, mediadores de mastocitos y activación neutrofílica mediada por células T 13.
Las manifestaciones clínicas se han descrito ampliamente: la forma ulcerativa clásica se caracteriza por ser un nódulo o pústula estéril que progresa rápidamente a una úlcera dolorosa, necrótica o mucopurulenta con borde edematoso, violáceo y socavado. Muchas veces hay antecedente de trauma en el lugar de aparición de las lesiones 8,10. Los diagnósticos diferenciales a tener en cuenta para este tipo de presentación son: causas infecciosas como la esporotricosis, herpes simple tipo 2, amebiasis cutis, tuberculosis cutánea, zygomycosis; entidades inflamatorias, como crioglobulinemia, vasculitis de Wegener, panarteritis nodosa, síndrome antifosfolípido; las úlceras isquémicas o facticias y las neoplasias 6).
La forma vegetativa se caracteriza por presentar lesiones ulcerativas y verrucosas y en las que hay que tener en cuenta como diagnósticos diferenciales las causas infecciosas como la infección por micobacterias o esporotricosis o neoplasias 1,6.
La presentación pustular se caracteriza por pústulas que no progresan a úlceras, siendo los principales diagnósticos diferenciales algunas causas infecciosas como herpes, foliculitis o septicemia o inflamatorias como una toxicodermia o vasculitis pustular 1,6.
El pioderma gangrenoso ampolloso, en cambio, se caracteriza por vesículas y ampollas dolorosas coalescentes que forman una erosión y necrosis central. Esta erosión es superficial, en contraste a la forma clásica del pioderma gangrenoso. Además, en la periferia de la erosiones se observan ampollas concéntricas y debido a la naturaleza superficial de la necrosis, la coloración de las lesiones es de un tinte azul-grisáceo en vez de violáceo y afecta más frecuentemente el tronco y las extremidades superiores (diferente al tipo clásico que afecta más frecuentemente extremidades inferiores) 5,6,14, características todas que presentaba la paciente descrita.
En los exámenes de laboratorio se puede observar aumento en la velocidad de sedimentación, leucocitosis y neutrofilia. Además, se deben ordenar otras pruebas, de acuerdo a las enfermedades asociadas potenciales que se estén sospechando 15).
La histología es inespecífica y su principal papel es descartar otros diagnósticos diferenciales como infección, vasculitis, malignidad, etc. En la biopsia de piel se observa infiltrado neutrofílico. La forma vegetativa puede mostrar granulomas con formación de tractos fistulosos y la ampollosa se caracteriza por presentar ampollas subepidérmicas. Siempre se deben enviar muestras para cultivos 1,6,15).
Históricamente, el diagnóstico de pioderma gangrenoso ha sido difícil, existen pocos criterios validados y aceptados. Inicialmente, Su et al. reportaron que de 157 pacientes con diagnóstico de pioderma gangrenoso se encontró un error diagnóstico en 10% de los casos y por esto propusieron unos criterios diagnósticos y para ello se deben cumplir los dos criterios mayores y dos de los menores (cuadro 1). Hay que tener en cuenta que el primer criterio mayor, que se refiere a las lesiones clínicas, va a variar de acuerdo al subtipo de enfermedad y requiere la exclusión de todos los demás diagnósticos, lo que puede ser poco práctico en el contexto clínico 6).
Cuadro 1 Criterios propuestos iniciales para el diagnóstico de pioderma gangrenoso*

*Modificado de la referencia 6
Recientemente, se cuenta con herramientas diagnósticas novedosas. En 2018 se crearon unos criterios a través de un consenso de Delphi entre expertos internacionales, se requiere al menos un criterio mayor y cuatro menores para el diagnóstico y en el 2019 los criterios PARACELSUS, donde se necesita tener un puntaje mayor o igual a diez para tener una alta probabilidad de la enfermedad (cuadro 2) 16-18).
Cuadro 2 Nuevas herramientas para el diagnóstico de pioderma gangrenoso*

*Modificado de referencias 16 y 17
El pioderma gangrenoso tiene múltiples asociaciones: en el 70 % de los casos con enfermedades sistémicas, tales como enfermedad inflamatoria intestinal, artritis seropositiva o seronegativa, síndrome mielodisplásico, mieloma múltiple, paraproteinemia (especialmente IgA), diverticulitis, enfermedad pulmonar y malignidades (particularmente leucemia) 1,6,14,15,19).
Ciertas enfermedades están asociadas más frecuentemente a ciertos tipos de pioderma gangrenoso; por ejemplo, el tipo clásico ulcerativo se asocia frecuentemente a artritis, enfermedad inflamatoria intestinal, gamopatías monoclonales. El vegetativo no se asocia generalmente a enfermedad sistémica. El pustular se asocia más frecuentemente a enfermedad inflamatoria intestinal y el curso de la enfermedad en la piel puede reflejar el curso de la enfermedad intestinal. Por último, el piodermagangrenoso ampolloso se asocia hasta en 70 % de los casos a malignidad hematológica, siendo la más frecuente la leucemia mieloide aguda. Es común que se presenten al mismo tiempo, en el 44% de los casos, es por esto que se debe considerar como un indicador de malignidad hematológica subyacente 5,9,10,19,20).
El tratamiento incluye esteroides tópicos (especialmente para el subtipo vegetativo), esteroides sistémicos, sulfas, ciclosporina. Otros agentes inmunosupresores como azatioprina, metotrexate, mofetil micofenolato, biológicos anti-TNF (etanercept, infliximab, adalimumab y certolizumab pegol) y biológicos anti-IL12/IL23 (ustekinumab), se han reportado como beneficiosos y los inhibidores de la JAK/STAT se han demostrado eficaces en el pioderma gangrenoso refractario al manejo con biológicos. Sin embargo, se requieren más estudios para mayor caracterización de los biológicos 1,9,14,15,18).
La enfermedad tiene un curso impredecible y puede resolverse espontáneamente o tener un curso crónico refractario al tratamiento 1. Son indicadores de mal pronóstico: sexo masculino, edad avanzada y el subtipo ampolloso, por su asociación a desórdenes hematológicos malignos 1.















