Introducción
Según la Organización Mundial de la Salud, en el último año, 10 millones de personas enfermaron de tuberculosis (TBC) y 1,5 millones murieron por su causa (1. El 95 % de los casos y muertes ocurrieron en países en vías de desarrollo y se estima que cerca de un cuarto de la población mundial tiene una infección latente 1. Es un importante problema de salud púbica en muchos países, con aumento de las cepas resistentes a los medicamentos de primera línea y la necesidad de un diagnóstico certero y lo más precoz posible 2.
Aunque la mayoría de los casos corresponde a la localización pulmonar, es posible que afecte a otros tejidos u órganos, lo que se conoce con el nombre de TBC extrapulmonar. De esta, sólo un 11 % corresponde a la localización osteoarticular 3. En particular, la localización a nivel de la muñeca es muy poco frecuente, representando aproximadamente sólo un 2 % de los casos 4.
En Chile, la tasa de morbilidad por TBC en todas sus formas (que incluye la suma de casos nuevos y recaídas) para el año 2019 fue de 15,2 casos por 100 000 habitantes, siendo el 81,4 % de los casos formas pulmonares y 18,6 % extrapulmonares 5. En la región de Valparaíso la tasa de morbilidad de TBC en todas sus localizaciones actualmente corresponde a 11,8 casos por 100 000 habitantes, siendo levemente inferior al promedio nacional 5.
El diagnóstico de la enfermedad suele realizarse con microscopía directa con tinción de Ziehl-Neelsen, la cual es rápida, barata y fácil de implementar, aunque poco sensible 6. El cultivo es considerado el gold standard en el diagnóstico y además permite determinar la sensibilidad a las drogas antituberculosas (6, 7). Para ello se encuentran disponibles medios de cultivo sólidos (con desarrollo entre cuatro y ocho semanas) y líquidos (con desarrollo entre 10 y 14 días) 7. La histopatología debe realizarse siempre para el diagnóstico diferencial de otras lesiones óseas, donde la presencia de necrosis central rodeada de células epitelioides, células gigantes y células mononucleares es característica de esta infección 6).
Los métodos moleculares como la amplificación de ácidos nucleicos (ej.: GeneXpert/RIF) mejoran la sensibilidad y especificidad del diagnóstico y también pueden detectar genes que determinan la resistencia a drogas antituberculosas 8, pero presentan una baja sensibilidad para TBC osteoarticular 6.
Presentamos el caso de una paciente adulta mayor de la región de Valparaíso, Chile, con diagnóstico demostrado de TBC monoarticular de muñeca izquierda con el objetivo de discutir brevemente sobre el diagnóstico clínico, imagenológico y su tratamiento.
Caso clínico
Mujer de 76 años, con antecedentes de hipertensión arterial, trastorno depresivo y asma bronquial, en tratamiento con losartán, sertralina y broncodilatadores. Dueña de casa con residencia en la ciudad de Valparaíso. Presentó un cuadro clínico de un año y medio de evolución que se inició con parestesias en quinto dedo y borde cubital de la mano izquierda, asociándose posteriormente dolor. A los siete meses de comenzado el cuadro se agregó aumento de volumen progresivo en su muñeca izquierda, por lo que consultó con médico particular donde se le diagnosticó gota y se manejó con antiinflamatorios. Evolucionó sin mejoría de sus síntomas, con dolor que se extendía desde el brazo hasta la mano izquierda y dificultad para realizar sus actividades diarias.
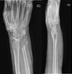
Posteriormente, consultó en el servicio de urgencias del hospital Carlos Van Buren de Valparaíso por exacerbación del dolor, constatándose aumento de volumen de muñeca y antebrazo izquierdo (Figura 1), razón por la que se le realizó una radiografía que evidenció lesiones líticas a nivel de epífisis distal del cúbito y parte del radio (Figura 2). Se sospechó un tumor óseo, por lo que se decidió hospitalizarla para complementar el estudio con una tomografía computada (TAC) de la muñeca, que confirmó los hallazgos radiológicos (Figura 3). Además, se le realizó un TAC de tórax, abdomen y pelvis, que evidenció adenopatías axilares izquierdas de aspecto secundario, sin otras lesiones sugerentes de metástasis o lesión sospechosa neoplásica primaria. Se solicitó un cintigrama óseo que evidenció aumento de la actividad osteoclástica intensa en el extremo distal del cúbito y radio izquierdo.
En los exámenes de laboratorio de ingreso se encontró un hematocrito de 40,5 %, hemoglobina de 13,4 g/dL, recuento de leucocitos de 7 800/uL, sin alteraciones en el recuento diferencial, recuento de plaquetas de 257 000/uL, VHS de 20 mm/h, proteína C reactiva de 5,2 mg/L, creatinina de 0,71 mg/dL, nitrógeno ureico de 14,8 mg/dL, sodio 131 mmol/L, potasio 4,5 mmol/L, cloro 99 mmol/L, tiempo de protrombina 11,8 seg. y TTPK 28,3 seg.
El estudio histológico describió tejidos blandos y óseo con proceso inflamatorio sugerente de tuberculosis (necrosis central rodeada de células epitelioides, células gigantes y células mononucleares). La tinción de Ziehl-Neelsen fue negativa para microorganismos ácido alcohol resistentes. La reacción de polimerasa en cadena (PCR) para el complejo Mycobacterium tuberculosis del tejido óseo resulto positiva.
Se inició tratamiento con isoniacida, rifampicina, pirazinamida y etambutol en formulación de dosis fija combinada, completando seis meses de tratamiento sin mayores incidentes y con buena respuesta clínica. El caso fue notificado a la autoridad sanitaria según normativa nacional y se realizó estudio a los familiares directos con radiografía de tórax y baciloscopia, todos con resultados dentro de lo normal.

Figura 2 Radiografía de muñeca izquierda, proyecciones anteroposterior y lateral. Se evidencia lesiones osteolíticas del extremo distal del cúbito y parte distal del radio.
Discusión
Pese a los avances de la Medicina moderna y a ser una enfermedad que nos ha acompañado por miles de años, la tuberculosis aún es un importante problema de salud pública en Chile y en el mundo, y sus localizaciones poco frecuentes constituyen un verdadero desafío diagnóstico y de tratamiento 9. En Chile, al igual que en muchos otros lugares, la principal localización sigue siendo la pulmonar; sin embargo, se siguen reportando otras formas extrapulmonares como el presentado por Palma et al. en el año 2017, que afectó a los huesos del carpo y tejidos blandos circundantes 10.
La paciente aquí descrita presentó una localización ósea que comprometió principalmente el cúbito distal y el radio izquierdo, situación que es muy poco frecuente, siendo entre un 2 o un 4 % de las tuberculosis óseas (la tuberculosis de columna dorso-lumbar representa al 50 %) y pudiendo presentarse aislada o asociada a compromiso visceral, tal como discuten en un caso de tuberculosis de ulna por Shantanu et al. en el año 2012 (11.
El diagnóstico diferencial se debe realizar con infecciones subagudas o crónicas debidas a patógenos o enfermedades como osteomielitis por Staphylococcus aureus, brucelosis, melioidosis, actinomicosis e histoplasmosis 12. Además, deben descartarse neoplasias óseas, como lo son las metástasis, tumor de células gigantes, osteoblastoma y osteosarcoma. Ni la clínica (signos locales o generales de inflamación) ni los hallazgos imagenológicos (osteoporosis yuxtaarticular, erosiones periféricas, pinzamiento de la línea articular u osteolisis) son suficientes para poder diferenciar estas entidades de la osteomielitis tuberculosa, por lo que se requiere un alto índice de sospecha para llegar al diagnóstico correcto, que debe confirmarse con estudios histopatológicos y microbiológicos, especialmente el cultivo, ya que puede proporcionar la sensibilidad a los distintos fármacos usados habitualmente 12. En esta paciente, inicialmente se pensó en un tumor óseo, razón por la cual no se solicitó cultivo para tuberculosis, realizándose el diagnóstico por los hallazgos histopatológicos característicos y luego con PCR del tejido óseo 13,14.
El ensayo Xpert MTB / RIF es una prueba automatizada de amplificación de ácidos nucleicos que puede identificar simultáneamente M. tuberculosis y la resistencia a rifampicina. Aún son limitados los datos sobre su uso en tuberculosis ósea y la plataforma de prueba no está aprobada por la FDA de los Estados Unidos para su uso con muestras distintas de esputo. Sin embargo, los datos disponibles sugieren que Xpert y Xpert Ultra pueden ser complementos útiles para el diagnóstico de la tuberculosis esquelética, con una sensibilidad del 79 y el 91 %, respectivamente 15. No obstante, se ha descrito que en casos de TBC extrapulmonar, y especialmente en formas osteoarticulares no siempre es posible obtener la confirmación microbiológica 6,13,16. De todas formas, la presencia de hallazgos histopatológicos compatibles tiene elevada especificidad y puede justificar la decisión de iniciar el tratamiento 6,14,17.
Generalmente, el tratamiento de la tuberculosis extrapulmonar es el mismo que la TBC pulmonar. El régimen farmacológico puede requerir modificaciones en función de la medicación simultánea (p.e. coinfección por VIH) o la resistencia a los medicamentos. Suele ser con cuatro drogas y la duración no está bien definida; sin embargo, se recomienda entre nueve a 12 meses de tratamiento 18. La paciente fue tratada con esquema primario con 50 dosis diarias (isoniazida-rifampicina-pirazinamida-etambutol) y 48 dosis trisemanal (isoniacida-rifampicina), con una duración total de seis meses según la normativa nacional de tratamiento de la tuberculosis, con buena respuesta clínica 19.
La tuberculosis ósea es una realidad que afecta particularmente a los países en vías de desarrollo causando una alta carga de morbimortalidad en los distintos sistemas sanitarios, por esta razón se debe sospechar precozmente y utilizar las distintas herramientas diagnósticas disponibles en la actualidad para confirmar un caso y realizar un tratamiento oportuno.















