Introducción
Los TF de la mama son poco comunes, representando menos del 1 % de todos los tumores mamarios 2. El término “filoides” proviene del griego y significa “similar a una hoja”, haciendo referencia al patrón de multiplicación celular. Los TF son localmente agresivos y tienden a crecer rápidamente, pero raras veces se diseminan fuera de la mama 3. Se consideran lesiones fibroepiteliales caracterizadas por la presencia de estroma denso cubierto por epitelio benigno 1,3.
Los TF se clasifican en benignos, borderline y malignos basados en parámetros histológicos, como la atipia, celularidad, mitosis, sobrecrecimiento estromal y márgenes del tumor 1. Los TF malignos tienen entre sus componentes celulares una gran variedad de células grasas, musculares y endoteliales, lo que explica la heterogeneidad de los subtipos histológicos: liposarcomas, angiosarcomas (AS), osteosarcomas, condrosarcomas y leiomiosarcomas. La importancia de los TF malignos radica en la gran frecuencia de recaídas locales y la posibilidad de diseminación.
A continuación, presentamos el caso de una paciente con TF maligno con diferenciación angiosarcomatosa, manejada en el Hospital Pablo Tobón Uribe (HPTU).
Reporte de caso
Mujer de 25 años, sin antecedentes, sin historia de RT previa, quien inició con una masa en el Cuadrante Supero Interno (CSI) de la mama izquierda. Manejada en otra institución con diagnóstico de fibroadenoma intracanalicular versus TF. Por cambios en la evolución le realizaron resección de la lesión, con resultado de patología de fibroadenoma intracanalicular. Al siguiente año presentó nuevo crecimiento de la masa. Se le realizó ecografía y biopsia Trucut que reportó carcinoma metaplásico, lesión sarcomatosa, TF de alto grado o remotamente tumor con diferenciación endocrina. Al examen físico se evidenció mama izquierda reemplazada por un masa sólida, dura, dolorosa, irregular, de 25 cm, asociada a tensión de piel, neovascularización y adenopatía axilar móvil de 3 cm (Imagen 1).
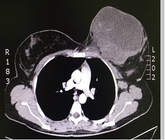
Ingresó al HPTU por dolor intenso en la mama asociado a fiebre. En la tomografía de tórax se observó una masa en la mama izquierda, de características neoplásicas, adherida a planos profundos, asociada a adenopatías pectorales y axilares (Imagen 2).
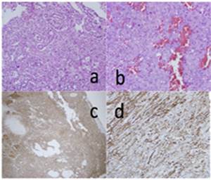
Se le realizó mastectomía radical izquierda, patología reportó TF maligno de alto grado, con componente heterólogo angiosarcomatoso, tamaño de 25 cm, sin invasión perineural, bordes de resección libres, necrosis del 30%, ganglios 2/32 positivos. Inmunohistoquímica: CK, CD45, sinaptofisina, desmina, S100, CD30, PAX-5, Melan A, cromogranina, HMB45, CD99 y actina de músculo liso negativas en células tumorales. Positividad para CD31 y focalmente para CD34. Mínima reactividad en un pequeño foco para CD56. Los ganglios axilares comprometidos con elementos francamente angiomatosos y positividad para CD31 y CD34 (Imagen 3).
En este caso se realizó una incisión en forma de pera, respetando todos los criterios de la cirugía oncológica (oncológico, funcional y estético). El resultado se observa en la Imagen 4.
En un seguimiento de 6 meses la paciente presenta adecuada evolución, recibiendo radioterapia como tratamiento adyuvante.
Discusión
Son mínimos los datos en la literatura sobre TF con diferenciación angiosarcomatosa. Teniendo en cuenta que los TF malignos se comportan y manejan como los sarcomas, haremos una revisión sobre TF y AS.
Entre los tumores fibroepiteliales de la mama se incluyen principalmente los hamartomas, fibroadenomas y los TF. Los TF corresponden aproximadamente al 2.5% de estos tumores, siendo responsables de menos del 1% de todos los tumores mamarios malignos 4,5. Los TF pueden ser clasificados según sus características histológicas en benignos, malignos y borderline 6. Los malignos constituyen del 25% al 30% de todos los TF. La tasa de recurrencia local es del 25% al 35% tras la escisión local ampliada, y entre el 10% y 45% luego de la mastectomía 7. En cuanto a los AS se consideran una rara entidad, con una incidencia anual de 0.002% a 0.005% 2. El principal factor de riesgo es la RT 8.
Clínicamente los TF se presentan como masas dolorosas de crecimiento rápido. El 2% de las pacientes pueden presentar aumento difuso de la mama, alcanzando tamaños hasta de 40 cm; nuestra paciente presentó una masa de 25 centímetros. El rango de edad de presentación es bastante amplio con una mediana a los 45 años 5.
Los AS se clasifican en primarios y secundarios. Los primarios aparecen en ausencia de factores de riesgo conocidos, típicamente en mujeres entre los 30 y los 50 años, sin historia previa de cáncer. Los secundarios se desarrollan en pacientes con antecedente de cáncer de mama tratado con cirugía conservadora y RT adyuvante, son más comunes en mujeres mayores y sus primeros signos clínicos son manifestaciones cutáneas 1.
Imagenológicamente la mamografía y la ecografía mamaria no presentan características patognomónicas para TF ni para AS 2,9. En cuanto a este último, algunos estudios han mostrado la utilidad de la resonancia magnética (RM), basado en una baja señal de intensidad en T1 y una hiperintensidad en T2 debido al componente vascular endotelial del tumor 9,10. La importancia de la tomografía de tórax radica en la posibilidad de sospechar afectación de la fascia o del pectoral cuando aparece el borde posterior retro mamario mal defino o dentado 11. Los TF benignos, intermedios y malignos tienen características similares, sin embargo, algunos hallazgos de la RM pueden usarse para determinar el riesgo de malignidad; hallazgos como márgenes no delimitados, componentes quísticos, paredes irregulares, edema peritumoral, baja intensidad de señal en imágenes ponderadas en T2 y bajo coeficiente de difusión aparente, se correlacionan con mayor grado histológico, hipercelularidad estromal y necrosis 12. En el caso de nuestra paciente no había compromiso del pectoral mayor, por lo cual sólo requirió manejo con mastectomía radical modificada.
Los TF muestran comportamiento variable, desde benigno hasta maligno. El componente estromal sarcomatoso puede contener subtipos como el liposarcoma (el más común) y muy raramente leiomiosarcomas, condrosarcomas, osteosarcomas y angiosarcoma (caso de la paciente). La ausencia de componente epitelial en la neoplasia la clasifica como sarcoma estromal primario 13.
Histológicamente el TF se diferencia de los fibroadenomas por un patrón característico en forma de hoja producido por exagerada proliferación estromal intracanalicular, dilatación de ductos, actividad mitótica prominente y aumento de la celularidad del estroma 4,5. La presencia de hemorragia y necrosis se relacionan con malignidad 2.
En el análisis de inmunohistoquímica pueden ser de utilidad el Ki67, CD117 y P53 con una sensibilidad variable, el CD 10 ha mostrado resultados contradictorios; las citoqueratinas, IGF, EGFR, Bcatenina y E-cadherina no han mostrado hasta el momento utilidad en la práctica. Parece prometedor el IMP3 para diferenciar TF maligno de los benignos y borderline, aunque los datos son extrapolados de otros tipos de carcinomas 6.
En el análisis histopatológico los AS muestran formaciones vasculares irregulares con núcleos hipercromáticos1. El diagnóstico debe ser aclarado mediante inmunohistoquímica, la positividad en la tinción de CD 31 es el indicador de proliferación angiogénica más sensible y específico; sin embargo, puede haber positividad para marcadores vasculares como factor VIII y Fli1. Usualmente las lesiones son positivas para CD34 10. La malignidad y agresividad del tumor se ha relacionado directamente con la expresión estromal alta de Ki67 y Ckit. Puede realizarse endotelina 1 estromal y VEGF como factores indicadores de angiogénesis y medición de metaloproteinasas con relación a la invasión tumoral 14. La inmunohistoquímica de la paciente presento positividad para CD31 y focalmente para CD34 y mínima reactividad en un pequeño foco para CD56, lo que se correlaciona con un TF con diferenciación angiosarcomatosa.
Los TF malignos pueden diseminarse hasta en un 25%. Las metástasis de éstos y de los AS son principalmente vía hematógena a pulmón y esqueleto 1,2. El tamaño tumoral grande y los elementos heterólogos malignos están relacionados a un mayor riesgo de recaída a distancia. Generalmente en estas patologías no es necesaria la estadificación axilar por la baja frecuencia de metástasis ganglionares; no obstante, algunos autores recomiendan en los AS realizar biopsia de ganglio centinela para definir necesidad de vaciamiento axilar 15. La paciente presentaba compromiso ganglionar por las imágenes, razón por la cual se realizó vaciamiento axilar. Las metástasis pulmonares son las más frecuentes en ambas patologías. En los AS hay reportes de metástasis a ciego, amígdalas, glúteos, orofaringe y corazón 10.
En cuanto al manejo, debido a la baja incidencia de estas enfermedades, se desconoce con certeza la extensión de la resección, pues no existen estudios clínicos aleatorizados en los cuales se compare la resección local con la mastectomía. Los pocos estudios existentes al respecto son retrospectivos y descriptivos, lo que no permiten generalizar conductas ni generar guías de manejo 16.
En general la cirugía conservadora solo ha sido recomendada en pequeñas lesiones en las cuales sea posible obtener márgenes negativos mayores de 1 cm. La mastectomía con o sin vaciamiento axilar es el tratamiento quirúrgico de elección, teniendo en cuenta que las metástasis ganglionares son poco frecuentes 2,17. En el caso de nuestra paciente, conociendo la naturaleza primaria del tumor -no relacionada con exposición a radioterapia-, fue posible conservación de piel en miras a una futura reconstrucción con mejores resultados desde el punto de vista estético, manteniendo el principio oncológico de la cirugía.
Luego de la cirugía el factor pronóstico de mayor importancia es el compromiso de bordes. El margen que se compromete con mayor frecuencia es el profundo, requiriendo en algunos casos resección muscular 18. La cirugía de la paciente resulto con márgenes negativos.
La terapia adyuvante para los AS se ha extrapolado de estudios previos de sarcomas de tejidos blandos. El valor de la RT, la quimioterapia y la hormonoterapia tanto en AS como en TF malignos no está bien definido, los reportes provienen de pequeñas cohortes y hasta el momento su utilidad es controversial. Podrían estar indicados en tumores pobremente diferenciados. Un metaanálisis de estudios retrospectivos no aleatorizados con un total de 2058 pacientes demostró que la RT después de la cirugía conservadora de mama, redujo el riesgo de recurrencia local en un 69%, pero no después de la mastectomía 19. Otro estudio demostró que la RT no afectó supervivencia general ni la supervivencia libre de enfermedad 17.
Conclusión
Presentamos el caso de una paciente con una patología de muy baja frecuencia, de la cual se ha escrito poco en la literatura. El pilar de manejo es quirúrgico, con datos conflictivos sobre la adyuvancia. Extrapolando conclusiones de los datos presentados, se considera que esta enfermedad es de un curso agresivo, sin embargo, este pronóstico se establecerá con el seguimiento.


















