Services on Demand
Journal
Article
Indicators
-
Cited by SciELO -
Access statistics
Related links
-
Cited by Google -
Similars in
SciELO -
Similars in Google
Share
Acta Neurológica Colombiana
Print version ISSN 0120-8748
Acta Neurol Colomb. vol.29 no.2 Bogotá Apr./June 2013
Caso clínico
Tratamiento con everolimus de astrocitoma subependimario de células gigantes
Everolimus treatment of subependymal giant cell astrocytoma
José Orlando Carreño, Ángela M. Trujillo, Hernán D. Vásquez
José Orlando Carreño, Neurólogo Pediatría. Profesor de Pediatria Universidad de Ciencias de la Salud CES.
Ángela M. Trujillo, Residente Pediatría 2° año, Universidad CES.
Hernán D. Vásquez, Oncólogo pediatra. Hospital General de Medellín. Docente Universidad CES. Medellín.
Correspondencia: carrenoneuro@gmail.com
Recibido: 02/10/12. Revisado: 11/01/13. Aceptado: 03/05/13.
RESUMEN
El Complejo de Esclerosis Tuberosa (CET) es un desorden genético autosómico dominante, con manifestaciones multisistémicas. Una de ellas es la aparición de astrocitoma subependimario de células gigantes, lesión mínimamente infiltrativa, comúnmente localizada en el ventrículo lateral y frecuentemente evidenciada clínicamente por síntomas relacionados con aumento de la presión intracraneana. La resección quirúrgica es el estándar de tratamiento, sin embargo, una nueva molécula llamada Everolimus, que bloquea mTOR, proteína intracelular responsable del crecimiento y proliferación celular, es una nueva opción terapéutica para estos pacientes, ya que conlleva menos morbilidad y mortalidad. Presentamos el caso de un paciente de 4 años, 10 meses quien presento un cuadro inicial de limitación en movimientos del hemicuerpo izquierdo y en quien posteriormente se llegó al diagnóstico de astrocitoma subependimario de células gigantes. Se administró tratamiento con Everolimus mostrando disminución significativa del tamaño del tumor y resolución de los síntomas.
PALABRAS CLAVE: Complejo de Esclerosis Tuberosa, Astrocitoma subependimario de células gigantes, Everolimus (DeCS).
SUMMARY
The Tuberous Sclerosis Complex is an autosomal dominant genetic disorder with multisystemic manifestations. One of those is the subependymal giant cell astrocytoma, a minimally infiltrative lesion, commonly located in the lateral ventricle and frequently manifestated by symptoms related to increased intracranial pressure. Surgical resection is the gold standard of treatment, however, a new molecule, called Everolimus, which blocks mTOR, a protein responsible for intracellular growth and cell proliferation, is a new option for these patients because it carries less morbidity and mortality. We present a case report of a patient of 4 years, 10 months who presented with limitation of movements of the left side of the body and who later was diagnosed with subependymal giant cell astrocytoma. He was treated with Everolimus showing significant decrease in tumor size and resolution of symptoms.
KEY WORDS: Tuberous sclerosis complex, Subependymal giant cell astrocytoma, Everolimus (MeSH).
Presentación del caso
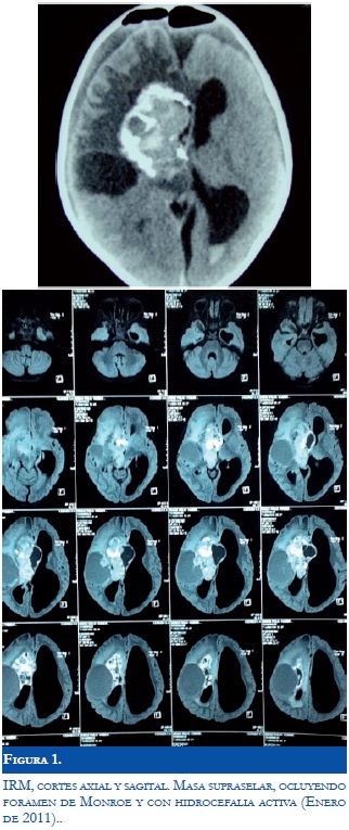
Paciente de 4 años, 10 meses quien es llevado a consulta externa por su madre por presentar limitación en la movilización del hemicuerpo izquierdo de comienzo súbito. No antecedentes de importancia. Al examen físico la única alteración evidente fue hemiparesia izquierda. Se plantea como hipótesis diagnostica inicial lesión supratentorial derecha por lo que deciden hospitalizar el paciente para realizar estudios complementarios. Realizan TAC cráneo, el cual reporta lesión intraxial compleja, de gran tamaño con componente quístico y sólido con calcificaciones, originado desde la cisterna supraselar con dilatación del sistema ventricular izquierdo. Ante estos hallazgos, deciden realizan resonancia magnética nuclear, en la cual describen lesión supraselar de 5 cms que afecta tálamo, quiasma óptico, cisterna supraselar, cisterna de la lámina terminalis y comprime foramen de Monroe, con gran porción solida calcificada y porción quística frontoparietal derecha (Figura 1). Con estos resultados, es evaluado por neurocirugía quien decide realizar resección quirúrgica total, la cual debe ser suspendida por sangrado abundante durante el procedimiento y por el gran tamaño de la lesión, colocan sistema de derivación ventrículo peritoneal y remiten al paciente a nuestra institucion para continuar manejo en unidad de cuidados intensivos Pediatricos, Neuropediatria y Oncología Pediatrica. El resultado de la patología de la lesión extraída reporta neoplasia compuesta por células grandes, estrechamente agrupadas con citoplasma poligonal similares a células ganglionares con núcleo grande, redondo vesicular, con nucléolo prominente y citoplasma eosinófilo. Hay otras células elongadas dispuestas en medio de una matriz fibrilar; el estroma en áreas es de aspecto fibroso y se observan vasos elongados con luces colapsadas. Hacia la periferia hay células multinucleadas y calcificaciones dispersas. Proteína fibrilar acida positiva en astrocitos dispersos. Sinaptofisina positiva en algunas células gigantes similares a células ganglionares. Cd34 positiva en la pared de los vasos. Ki-67 positivo en 1.2%. Se confirma la impresión diagnóstica previa de Astrocitoma Subependimario de Células Gigantes ( SEGA). Durante la evolución el paciente presenta convulsiones y en monitoreo video-EEG se confirma foco epileptiforme frontal derecho iniciándose manejo antiepiléptico con carbamazepina y posteriormente se adiciona topiramato. Se realizan exámenes complementarios (ecografía abdomen total, ecocardiograma y evaluación por oftalmología) en busca de otros criterios diagnósticos de Complejo de Esclerosis Tuberosa, pero no se encuentran otras alteraciones asociadas.
Ante la limitación para el manejo quirúrgico del Astrocitoma, se inicia manejo con Everolimus 2 mg/día. Durante la primera semana el paciente presenta mucositis oral, la cual mejora con manejo tópico. Dos semanas después el paciente permanece asintomático, por lo que se aumenta dosis de Everolimus a 2.5 mg/día. A los 4 meses de tratamiento, el paciente continua libre de crisis convulsivas, sin otros síntomas y sin efectos secundarios. El control de nivel sérico de Everolimus se encontró en 5 ng/ml. A los 8 meses presento convulsiones relacionadas con la suspensión del tratamiento antiepiléptico, que se controlaron fácilmente sin observarse deterioro clínico. En el control 1 año después del inicio del tratamiento (Figura 2), el niño continua sin presentar convulsiones y con mejoría de la movilidad del hemicuerpo izquierdo. En ese momento el paciente se encuentra escolarizado con adecuado aprendizaje y calidad de vida. En el último control, por aumento de peso y superficie corporal, se ajusta dosis de medicación a 5 mg/día y posteriormente, los niveles séricos se encuentran en 6.5 ng/ml.
DISCUSIÓN
El Complejo de Esclerosis Tuberosa (CET) es un desorden genético autosómico dominante, con una incidencia de 1:6000 a 1:10.000 nacidos vivos (1). Se estima que 1 millón de individuos están afectados en el mundo y compromete todos los grupos étnicos y raciales (2). Se caracteriza por hamartomas múltiples en múltiples órganos. Una de las lesiones características del CET es el Astrocitoma Subependimario de Células Gigantes (SEGA por sus siglas en ingles). Es una lesión mínimamente infiltrativa, comúnmente localizada en el ventrículo lateral y frecuentemente se evidencia clínicamente por síntomas relacionados con aumento de la presión intracraneana secundario a obstrucción del foramen de Monroe (3). Raramente invade el parénquima cerebral en la región del tálamo y ganglios basales (2). La terapia estándar para el SEGA es la resección quirúrgica, en la cual es importante alcanzar la mayor resección posible, ya que si hay tejido residual, es probable que haya crecimiento nuevamente (2) y sea necesaria una reintervención para resecar completamente el tumor (4,5). En los casos en que no se creía conveniente o no fuera posible la resección quirúrgica, era necesario realizar estudios secuenciales cerebrales como tomografía computarizada (TC) o resonancia magnética (RM) para observar su evolución (6).
Sin embargo, con la aparición de una nueva molécula, Everolimus, un inhibidor de mTOR, se abre una nueva opción terapéutica para los pacientes que padecen esta enfermedad (7,8). mTOR es una proteína intracelular responsable de procesos celulares tales como crecimiento y proliferación celular, angiogénesis y traducción de proteínas (7). TSC1 (tuberina) y TSC2 (hamartina) forman un complejo regulador de la activación de mTOR (2). Cuando hay una mutación en estos genes, hay una expresión no regulada de mTOR, llevando a proliferación celular descontrolada y aparición de múltiples tumores (7,9).
Como se demostró en el caso de este paciente, el Everolimus es una terapia prometedora para los pacientes con diagnóstico de SEGA en el contexto de CET, y aunque no está exento de efectos secundarios, es una alternativa a la resección quirúrgica y se asocia a menos morbilidad y mortalidad.
REFERENCIAS
1. ESS KC. Tuberous sclerosis complex: a brave new world?. Current Opinion in Neurology. 2010;23:189-193. [ Links ]
2. KRUEGER DA, FRANZ DN. Current management of tuberous sclerosis complex. Pediatric drugs. 2008;10(5):299-313. [ Links ]
3. Explanation and diagnosis: subependymal giant cell astrocytoma. Pathology. 1999;31:51. [ Links ]
4. DE RIBAUPIERRE S, DORFMÜLLER G, BULTEAU C. Subependymal giant-cell astrocytomas in pediatric tuberous sclerosis disease: when should we operate?. Neurosurgery. 2007;60:83-90. [ Links ]
5. ARNAOUT O, FISHMAN A, BATJER HH, BENDOK BR. Neurocutaneous disorders. Contemporary neurosurgery. 2010;32(7). [ Links ]
6. PASCUAL-CASTROVIEJO I, PASCUAL-PASCUAL SI, VELÁZQUEZ-FRAGUA S. Astrocitoma subependimario de células gigantes en el complejo de Esclerosis tuberosa. Presentación de ocho pacientes infantiles. Neurologia. 2010;25(5):314-21. [ Links ]
7. HAUPTMAN JS. From the bench to the bedside: everolimus for subependymal giant cell astrocytomas in tuberous sclerosis complex, optic nerve regeneration, targeted cytotoxins for gliomas. Surg neurol int. 2011;2:2. [ Links ]
8. TSAI P, SAHIN M. Mechanisms of neurocognitive dysfunction and therapeutic considerations in tuberous sclerosis complex. Current Opinion in Neurology. 2011;24:000-000. [ Links ]
9. AU KS, WARD CH, NORTHRUP H. Tuberous sclerosis complex: disease modifiers and treatments. Current Opinion in Pediatrics. 2008;20:628-633. [ Links ]













