INTRODUCCIÓN
La esquizencefalia es una malformación poco común del sistema nervioso central (SNC), caracterizada por un defecto encefálico que se extiende desde la superficie pial hasta los ventrículos laterales, en medio de la segmentación y migración neuronal del telencéfalo. Se han postulado diferentes teorías sobre su etiopatogenia pero aún se desconoce su causa exacta. La teoría más aceptada en el momento consiste en que esta malformación se asocia a trastornos de la migración neuronal, que forman hendiduras en la corteza cerebral en desarrollo 1-3. Se han definido dos tipos de esta malformación de acuerdo a las características encontradas en la resonancia magnética (RM): a) esquizencefalia de labio cerrado o tipo 1, en la que se presentan pequeñas hendiduras simétricas, los bordes se fusionan en la sutura pio ependimaria, continuándose con el epéndimo del ventrículo lateral; b) esquizencefalia de labio abierto o tipo 2, que se caracteriza por presentar hendiduras amplias que se extienden desde el ventrículo a la superficie del espacio subaracnoideo, con bordes no fusionados y ampliamente separados por líquido cefalorraquídeo. Ambos tipos se clasifican en unilateral o bilateral 3-6.
No existen suficientes datos epidemiológicos de esta enfermedad en Colombia ni en el contexto latinoamericano, sin embargo, se reporta en Estados Unidos una prevalencia de 1,54/100.000 recién nacidos vivos, y en Hungría una prevalencia de 0,54 /10.000 nacidos vivos 7. Sobre la etiopatogenia, en la literatura se encuentran tres hipótesis: genética, infección congénita por citomegalovirus (CMV) y alteración vascular en el crecimiento embrionario 1.
El pronóstico de estos pacientes es variable y depende en gran medida de la ubicación del déficit, la lateralidad y la gravedad anatómica evidenciada en las imágenes diagnósticas; sin embargo, son frecuentes el déficit cognitivo, el déficit motor y la presencia de convulsiones. Es objetivo del presente artículo es reportar el caso de un paciente con esquizencefalia de labio abierto (tipo 2) unilateral derecho con ausencia de compromiso motor y sensitivo marcado, con integridad cognitiva y libre de convulsiones, quien ha recibido un amplio proceso de rehabilitación que ha mejorado su funcionalidad.
Presentación del caso clínico
Paciente de sexo masculino de 6 años de edad, hijo de madre primigestante de 24 años de edad, sin antecedentes familiares de enfermedades neurológicas. Padres no consanguíneos, controles prenatales normales hasta el séptimo mes de gestación, momento en el cual se sospechó compromiso infeccioso por microorganismos del complejo TORCH (Toxoplasma gondii, virus de la Rubeola, CMV, Herpes virus y VIH) debido al hallazgo de hidrocefalia en ecografía de tercer nivel. Fueron realizados estudios a la madre donde se descartó infección por los microorganismos mencionados y además, Treponema pallidum y virus de la hepatitis B. Fue un embarazo a término, parto vaginal, peso 2950 gr, talla 50 cm y perímetro cefálico de 34 cm. Nace con reactividad pobre al estímulo, hipoactivo, pobre succión, tono disminuido en miembro superior izquierdo, prensión palmoplantar adecuada, reflejo de alpinista y marcha positivo, test de tracción negativo, reflejo de Moro incompleto, Babinski presente bilateral. Hospitalización neonatal por 11 días, donde se realizó: PCR en LCR para CMV negativa, cultivos de LCR negativos, potenciales evocados auditivos de tallo cerebral normales.
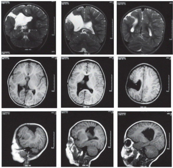
Al alta hospitalaria se determinó el diagnóstico de esquizencefalia de labio abierto fronto parietal derecho de origen desconocido (posible etiología genética asociada al gen EMX2 según concepto de genética) y hemiparesia izquierda. Continuó en seguimiento ambulatorio por Neurología pediátrica, quien solicitó al año y medio de vida RM (figura 1). Fue remitido desde esta edad a Neuro-rehabilitación para ajustar proceso de habilitación motora.

Figura 1 RM cerebral simple Esquizencefalia de labio abierto, parietal derecha. Hendidura recubierta por sustancia gris displásica, que comunica el espacio subaracnoideo de la convexidad frontoparietal derecha con el ventrículo lateral correspondiente. Ausencia de septo pelúcido.
Paciente y familia con seguimiento activo por diferentes especialidades y ejecución de técnicas de rehabilitación desde los 15 días de vida. A la edad de 4 y 5 años recibió terapia de movimiento inducida por restricción para mejorar la hemiparesia izquierda. Reportes de seguimiento y respuesta al tratamiento: paciente sin episodios convulsivos, neurodesarrollo normal, adecuada respuesta a técnicas de rehabilitación ejecutadas y sin necesidad de medicación. Control y seguimiento actual por Neurología pediátrica y Neuro-rehabilitación: libre de convulsiones, hemiparesia izquierda leve. El resto de examen neurológico actual normal. Prueba neuropsicológica realizada a la edad de 6 años reportó capacidad intelectual promedio (coeficiente intelectual de 95 puntos), desempeño de acuerdo a lo esperado para su edad cronológica, sin dificultades en el desarrollo cognitivo de las funciones superiores.
DISCUSIÓN
La presentación clínica de la esquizencefalia tiene un amplio espectro, desde un desarrollo cognitivo normal con aparición de crisis convulsivas en la adultez hasta hemiparesias con compromiso grave del desarrollo cognitivo y cuadriparesias, que varían en severidad acorde al tipo de esquizencefalia 4. Esta entidad presenta distintas asociaciones patológicas: parálisis cerebral infantil (PCI), convulsiones y compromiso cognitivo. Lo anterior aumenta la morbimortalidad y gravedad del déficit motor, sensorial, perceptivo y/o cognitivo.
Los niños con esquizencefalia unilateral desarrollan PCI espástica, hemiplejía y retraso del desarrollo mental.
El paciente reportado, desarrolló únicamente hemiparesia izquierda leve, para la cual ha recibido diferentes procesos de rehabilitación que han modificado la calidad de vida del paciente y su pronóstico motor. La esquizencefalia unilateral se relaciona más con retardo mental y convulsiones, y cuando es de labio abierto produce un pobre desarrollo del lenguaje. La prueba neuropsicológica del paciente y la evolución clínica, descartan compromiso cognitivo y del lenguaje, mostrando un desempeño equiparable a un niño sano de la misma edad. Esto contrasta con la literatura donde generalmente los pacientes poseen alteración cognitiva, física y electroencefalográfica.
La ausencia de septum pellucidum en el presente caso orienta a un posible origen genético asociado a la mutación heterocigótica del gen EMX2, aunque también se han visto relacionados otros genes como el SIX 3 y el SHH, genes asociados con la migración neuroblástica y en la especificación topográfica del encéfalo rostral; sin embargo, estas mutaciones solo se han encontrado en ciertos grupos de pacientes, restringiéndose así su asociación con unos cuantos casos 8,9. Además de lo genético, se ha encontrado asociación de la esquizencefalia con diversos factores de riesgo: edad materna temprana, consumo de alcohol durante el embarazo y falta de controles prenatales 8. En la Universidad de Utah se llevó a cabo un estudio en 5 madres gestantes con diagnóstico prenatal de esquizencefalia, estas madres se encontraban en el rango de edad de 17 a 34 años. La madre del paciente aquí reportado teñía 24 años de edad al momento de la gestación, sin antecedentes de consumo de licor, y con controles prenatales completos y periódicos 3. Si bien en este caso la etiología se aproxima más a la hipótesis genética, se sospechó de manera prenatal infección por CMV. En el año 2000 fue reportado un caso de esquizencefalia por encefalia en una niña con infección congénita por CMV 10.
En la esquizencefalia de labio abierto unilateral se ha descrito un 63 % de posibilidad de convulsiones antes de los 3 años (de estos, cerca del 32 % son resistentes al tratamiento) 4,11; en el presente caso, el paciente tiene 6 años y no ha presentado ninguna crisis convulsiva. Un estudio Polaco en 25 niños, cuyo objetivo era analizar la correlación entre los hallazgos clínicos y radiológicos de los pacientes con esquizencefalia, se encontró hipotonía generalizada en el 24 %, diparesia espástica en el 48 % y hemiparesia en el 28 % 4. En un estudio realizado en Polonia en el 2010, por Kulak, et al., cuyo objetivo era establecer las características clínicas de los pacientes con esquizencefalia y PCI, realizado en 180 niños con parálisis cerebral, de los cuales 12 tenían esquizencefalia, se encontró una prevalencia de hemiplejía espástica del 58 %, tetraplejia espástica 25 % y diplejía espástica del 16,6 % 11. Los datos anteriores contrastan con los hallazgos clínicos del paciente reportado, donde el déficit motor solo ha consistido en hemiparesia izquierda, recibiendo diferentes procesos de rehabilitación que han modificado la calidad de vida del paciente y su pronóstico motor.
La PCI es el desorden motor más común en pediatría, con una prevalencia de 2-2,5/1000 nacidos vivos, asociándose además a compromiso sensorial, perceptivo y cognitivo dependiendo del área de compromiso. Su etiología es variable, desde una leucomalacia hasta una hemorragia intraventricular o infarto arterial neonatal 12. Los niños con esquizencefalia unilateral desarrollan PCI espástica, hemiplejía y retraso en el desarrollo mental. Si la malformación es bilateral serán niños con tetraparesia y déficit cognitivo severo.
Una revisión sistemática realizada en el año 2013 por Novak, et al., buscó hacer una descripción de las intervenciones con mejor evidencia en los niños con PCI, clasificando las intervenciones con mejor evidencia con luz verde, amarillas las que debían acompañarse con medidas sensibles para monitorizar el progreso del paciente y rojas las cuales deberían descontinuarse 13. Para mejorar las actividades motoras, la funcionalidad y el autocuidado (procedimientos clasificados con luz verde y amarilla), deberían realizarse: programas en el hogar, entrenamiento bimanual, entrenamiento dirigido a una meta, terapia enfocada a un contexto y terapia de movimiento inducida por restricción, los cuales mejoran de manera significativa el pronóstico y minimizan las deficiencias y limitaciones que a futuro podrían desarrollarse 13. El paciente contó con un proceso estructurado de varias terapias (clasificadas como luz verde), incluyendo la terapia de movimiento inducida por restricción, para rehabilitación motora de forma precoz, intensiva y oportuna, logrando que en la actualidad sea un niño con funcionamiento físico, cognitivo y mental óptimo 13.
Se reporta que la esquizencefalia unilateral se relaciona más con retardo mental y convulsiones, y cuando es de labio abierto produce un pobre desarrollo del lenguaje. La prueba neuropsicológica y la evolución clínica del paciente aquí reportado descarta compromiso cognitivo y del lenguaje, mostrando un desempeño equiparable a un niño sano de la misma edad. Esto contrasta con lo indicado en otros reportes donde generalmente los pacientes poseen alteración cognitiva, y no se reportan otros casos de niños de 6 años de edad con esquizencefalia de labio abierto unilateral derecho sin compromiso en lenguaje, cognición y libre de epilepsia 14.
El diagnóstico prenatal de esta malformación con ecografía no es sencillo, pero brinda hallazgos que conllevan a la sospecha de esta patología, para posteriormente requerir confirmación con RM tal como se realizó en el paciente. La RM es la prueba de referencia para el diagnóstico y clasificación de esta malformación, ya que permite identificar aspectos tan pequeños que no pueden ser determinados con otras técnicas, como la ausencia del septumpellucidum o del cuerpo calloso, la atrofia del nervio óptico, la displasia focal de la corteza en otra localización, los quistes aracnoideos, la hemiatrofia cerebral y la sustancia gris heterotópica 6,15.
El tratamiento de estos pacientes es sintomático, y debe estar enfocado al control de los signos y síntomas que alteran su calidad de vida e impiden un adecuado desarrollo y desenvolvimiento social 3.
CONCLUSIÓN
En pacientes con esquizencefalia es de suma importancia el abordaje interdisciplinario tanto a nivel diagnóstico como terapéutico. Teniendo presente que en la actualidad no existe un tratamiento que logre erradicar la enfermedad y corregir la malformación, la rehabilitación neurológica que incluya aspectos motores, sensitivos y cognitivos es fundamental como pilar en el abordaje de estos pacientes. Este proceso de rehabilitación debe realizarse desde temprana edad, preferiblemente antes del año de vida con el fin de mejorar el impacto cognitivo y motor de los pacientes. En este caso se evidencia cómo un proceso de neuro-rehabilitación planeada e integral desde temprana edad, permite un desarrollo motor e intelectual completo y normal, independiente de la malformación cortical. Los planes de neuro-rehabilitación con enfoque clínico deben ser ofrecidos y utilizados en el ámbito neuropediátrico.













