INTRODUCCION
El síndrome cerebral de vasoconstricción reversible es una entidad clínico-radiológica que se caracteriza por la presencia de cefalea severa hiperaguda asociada a vasoconstricción segmentaria de arterias cerebrales que resuelve espontáneamenteen un periodo de 3 meses 1. Se sabe que el síndrome es una causa común de cefalea tipo trueno en pacientes sin hemorragia subaracnoidea aneurismática, lo que la convierte en un reto diagnóstico, por la superposición de síntomas con otras enfermedades. Adicionalmente, las características angiográficas pueden no estar presentes en el inicio de la enfermedad, por ende, la alta sospecha clínica es muy importante para evitar estudios innecesarios y complicaciones graves. A continuación se informa el caso de una paciente con este síndrome asociado a una etiología muy poco frecuente y se hace una revisión narrativa de la literatura.
Presentación del caso
Mujer de 58 años de edad, ama de casa, ingresó por 15 días de evolución de cefalea de inicio hiperagudo pulsátil, en región occipital propagada a región frontal derecha, periorbitaria y nasal, intensidad 9/10, asociado a múltiples emesis, fosfenos y parestesias en manos. Había intensificación con la maniobra de Valsalva, no fue precedida de aura y no tuvo alteración de la conciencia u otro síntoma adicional. Los síntomas se presentaron durante una sesión de masaje en un spa, la paciente relató que en un momento le indicaron que realizara maniobras de Valsalva repetidamente y durante este periodo de tiempo se instaura la cefalea. Como antecedentes, tiene hipertensión arterial y dislipidemia en tratamiento con losartan 50 mg cada día y atorvastatina 40 mg cada noche, negaba abuso de alcohol o de tabaco, y una hija falleció por hemorragia subaracnoidea aneurismática 10 meses atrás. Se encontró deshidratada, con presión arterial 170/80 mmHg, frecuencia cardiaca 82/min; frecuencia respiratoria 20/ min; saturación de oxígeno 92% al ambiente. Talla 1,65 m, peso 78 kg, IMC 28 kg/m2, sin anormalidad en su exámen físico general. En el fondo de ojo se observaron arterias en hilo de cobre bilateral sin papiledema, no tuvo signos de irritación meníngea, no hubo alteración de otros pares craneanos ni de la fuerza o sensibilidad o coordinación. La resonancia cerebral simple mostró sangre en el espacio subaracnoideo de la cisura interhemisférica (Figura 1); dado esto y por el antecedente de la hija, se propuso practicar una panagiografía cerebral. Se trasladó a la unidad de cuidados intermedios y se inició terapia con nimodipino 60 mg cada 4 horas; no presentó deterioro neurológico y el seguimiento con doppler transcraneal no mostró signos de vasoespasmo. En la panangiografía cerebral no se identificaron aneurismas ni malformaciones arteriovenosas o fístulas, sin embargo, en arterias de mediano y pequeño calibre tanto en territorio anterior como posterior se evidenciaron múltiples estenosis y dilataciones segmentarias generando la imagen de "salchichas atadas" (Figuras 2 a 4). Se hizo la solicitud de perfil autoinmune para evaluar dentro del diagnóstico diferencial vasculitis sistémica, los resultados de los anticuerpos fueron: factor reumatoide negativo, C3 146 (normal), C4 28,7 (normal), anticuerpos antimieloperoxidasa negativos, anticuerpos antiproteinasa 3 negativos, anticuerpos antinucleares negativos.

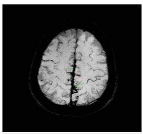
Figura 1: Secuencia de susceptibilidad magnética por resonancia. Muestra contenido hemático en el espacio subaracnoideo.

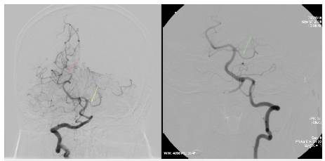
Figura 2: Arteriografía de la carótida interna izquierda. Se observa estenosis y dilataciones segmentarias de ramas de las arterias cerebrales anterior y media (ver flechas).

Figura 3: Arteriografía de la carótida interna derecha. A la izquierda el estudio inicial muestra constricción arterial segmentaria (signo de "salchichas atadas") en ramas de las arterias cerebrales anterior y media. A la derecha el estudio control a los 3 meses muestra normalización de los hallazgos (ver flechas).

Figura 4: Arteriografía de las vertebrales. A la izquierda el estudio del ingreso evidencia constricción segmentaria de la arteria cerebelosa superior izquierda y ramas de la cerebral posterior derecha. A la derecha el estudio control a los 3 meses demuestra su normalización.
Teniendo en cuenta la presentación clínica, los hallazgos angiográficos dados por la ausencia de signos de arrosariamiento vascular, la presencia de estrechez y dilatación vascular segmentaria, la carencia de manifestaciones sistémicas de enfermedad reumatológica, y la no exposición a medicamentos vasoactivos, inmunosupresores u otra etiología; se consideró con más certeza el síndrome de vasoconstricción cerebral reversible desencadenado por maniobras de Valsalva. Para el diagnóstico diferencial de la angiitis primaria del sistema nervioso central se realizó punción lumbar para descartar inflamación en el líquido cefalorraquídeo; la presión de apertura fue de 25 cmH2O, glucorraquia 57 mg/dl (glucemia 74,9 mg/dl), proteinorraquia 32 mg/dl, leucocitos 6 células/µl, VDRL no reactivo. Se observó a la paciente durante 14 días en la institución, en este periodo la cefalea resolvió y no hubo recurrencia, tampoco hubo síntomas o signos nuevos; los estudios de doppler transcraneal de seguimiento no mostraron vasoespasmo. A la salida estaba asintomática y sin secuelas neurológicas, completando 3 semanas de tratamiento con nimodipino. A los 3 meses el control angiográfico mostró normalización de la estrechez segmentaria vascular (Figuras 3 a 4).
DISCUSIÓN
Hacia 1960 se pensaba que los casos de vasoconstricción cerebral reversible relacionados con puerperio, migraña y uso de vasoactivos eran entidades diferentes y se trataban de forma independiente; fue hasta 1988 que Gregory Call y Marie Fleming describieron una nueva entidad nosológica a partir de la caracterización de una serie de pacientes con hallazgos clínicos similares de cefalea hiperaguda, déficit neurológico transitorio o permanente, líquido cefalorraquídeo (LCR) normal o con alteración inespecífica, y vasoconstricción arterial segmentaria 1-3. En 2007, Calabrese et al proponen el término "síndrome de vasoconstricción cerebral reversible" (SVCR) abarcando lo que previamente se conocía como síndrome de Call-Fleming, angiopatía posparto, angiopatía inducida por medicamentos y vasoespasmo migrañoso 1,4 El SVCR tiene una edad media de presentación de 45 años, pero en las mujeres es más usual hacia los 50 años 5. La fisiopatología es desconocida, pero se cree que hay un trastorno reversible de la regulación del tono arterial intracraneal relacionado con hiperactividad simpática, disfunción endotelial y estrés oxidativo 1,5. En la histopatología de pacientes con SVCR no se han encontrado cambios en los vasos cerebrales que sugieran procesos inflamatorios activos o vasculíticos 1. Existen factores hormonales, bioquímicos y genéticos relacionados con la entidad como: estrógeno, endotelina-1, serotonina, óxido nítrico, prostaglandinas, factor de crecimiento placentario, receptor soluble del factor de crecimiento placentario, endoglobina soluble y el polimorfismo Val66Met del gen del BDNF (Brain-Derived Neurotrophic Factor) 1,6 . Aproximadamente en 50% de los casos se identifican desencadenantes (Tabla 1) y el tiempo entre la exposición y el desarrollo del SVCR puede ser desde unos días a meses 5,7 . La asociación del SVCR y la maniobra de Valsalva se ha postulado dada la potencial inducción de activación simpática, sin embargo, es usual que existan otros factores con un mayor potencial etiológico los cuales deben ser buscados y evaluados, antes de determinar que dicha maniobra ha sido la causa 8.
La característica clínica principal es el inicio en segundos de una cefalea intensa, que puede ser bilateral y difusa, o de localización occipital (94-100%), imitando al dolor producido por la ruptura de un aneurisma sacular; puede estar asociado a emesis, diplopia, hipertensión arterial y fotosensibilidad. Aunque la cefalea tipo trueno no es específica del SVCR (45% de los casos) 8,9, la ausencia de dolor es inusual. Otras presentaciones incluyen crisis epilépticas (17%), encefalopatía, déficit neurológico focal (8%), ataque cerebrovascular, edema cerebral, disección arterial cervical 1,10. El examen físico usualmente es normal o se pueden documentar signos de focalización 11. El citoquímico del LCR generalmente es normal, pero puede tener cambios inespecíficos como pleocitosis menor a 15 células/µl y proteínas menor a 100 mg/dl 11,12 (Tabla 2) 4. Es mandatoria la realización de imágenes diagnósticas para demostrar la vasoconstricción segmentaria y evaluar los diagnósticos diferenciales, así como buscar complicaciones 12. En la resonancia magnética cerebral las lesiones se observan en 12-81% incluyendo hemorragia subaracnoidea de la convexidad, hemorragia intraparenquimatosa e infarto cerebral 11. La panangiografía es la mejor herramienta de diagnóstico para confirmar la estenosis segmentaria vascular 7; la sensibilidad de los métodos indirectos de angiografía es del 70% con respecto a la técnica convencional 11. Hasta un tercio de los pacientes pueden no evidenciar la vasoconstricción en la primera semana 12, los cambios pueden verse en los controles imagenológicos posteriores entre uno y tres meses después 13. La ultrasonografía es una herramienta útil en el seguimiento del vasoespasmo 12, es poco frecuente encontrar anormalidades (13% de los pacientes) pero su hallazgo predice riesgo de complicaciones 13,14.
Los diagnósticos diferenciales a tener en cuenta son: hemorragia subaracnoidea aneurismática, angiitis primaria del sistema nervioso central, vasculitis sistémica, trombosis de senos venosos durales, disección arterial cervical, síndrome de encefalopatía posterior reversible, migraña, arteritis de células gigantes y apoplejía hipofisiaria 4,11,12. Con respecto a la angiitis primaria del sistema nervioso central, se presentan más síntomas y signos de focalización y el LCR junto con la resonancia cerebral suelen tener anormalidades 13,15; y dado que es una entidad que afecta arterias mucho más pequeñas, en la panangiografía es esperado que entre el 50-60% tengan anormalidad vascular y afecte ramas de segundo orden e incluso distales con un patrón de "cuentas de rosario" 15. Respecto a las vasculitis sistémicas con afectación del sistema nervioso central, el curso clínico es rápidamente progresivo con un mal pronóstico a corto plazo, especialmente si no se establece un tratamiento inmunosupresor adecuado 16.
Las recomendaciones para el tratamiento se basan en estudios observacionales y opinión de expertos; se deben reconocer los factores desencadenantes y evitar la exposición 8,14, dar manejo analgésico, anticonvulsivantes si hubo crisis epilépticas, antihipertensivos y vigilar estados de depresión y suicido tras la suspensión abrupta de antidepresivos. El nimodipino ha sido usado para el manejo sintomático dado que se asocia con mejoría de la cefalea y para prevenir y/o tratar el vasoespasmo al igual que en la hemorragia subaracnoidea aneurismática; sin embargo, la evidencia actual no ha demostrado que tenga un impacto fuerte en el curso de la enfermedad 8. El uso de glucocorticoides se ha documentado como un factor independiente de mal pronóstico clínico y radiológico 17, por una posible relación con el aumento de la actividad simpática 1,14,18. En casos graves, con evidente progresión clínica, la administración intraarterial de milrinona, nimodipino, verapamilo y prostaciclina han sido utilizados con resultados variables 19,20. Usualmente el pronóstico es bueno con baja recurrencia, a pesar de que 40% de los pacientes pueden tener infarto cerebral o sangrado 21, menos de 10% pueden terminar en desenlaces fatales o discapacidad 8,15,17,22.
Se trata del primer caso reportado en la literatura de síndrome de vasoconstricción cerebral reversible claramente provocado por la realización a repetición de la maniobra de Valsalva, se descartó que la paciente estuviera expuesta a otro factor etiológico; por ende se propone contemplar que dentro del mecanismo fisiopatológico, la realización repetida de la maniobra es la que favorece la descarga simpática anormal que afecte el tono de la vasculatura cerebral. Las características clínicas de la cefalea y los hallazgos imagenológicos son muy similares a los originalmente descritos por Call y Fleming 2 y cumple con los criterios diagnósticos propuestos por Calabrese et al 4. Es importante resaltar cómo la panangiografía permitió visualizar la estrechez segmentaria vascular alternada con segmentos contiguos de calibre normal o aumentado, configurando la imagen de "salchichas atadas" descrita en 1988. El tratamiento sigue siendo debatido, especialmente el uso de nimodipino oral; en la paciente no se observaron complicaciones ni efectos adversos por el medicamento y si favoreció la resolución del dolor como se ha descrito, por ende su administración se continuó hasta completar un esquema de 3 semanas. Por otro lado tampoco es claro cuánto tiempo se deben vigilar los pacientes en una institución, pero dado el riesgo de complicaciones se plantea que es prudente contemplar una hospitalización entre 7 y 14 días.
Previamente se reportó en la literatura nacional un caso de SVCR de otra etiología 9, tratándose de una mujer de 51 años con similares antecedentes, pero con una presentación clínica más severa, que desarrolló encefalopatía y vasoespasmo, lo anterior demuestra que las características clínicas del cuadro y su severidad no están en relación con el sexo, la edad ni factores de riesgo cardiovasculares. A pesar de su presentación clínica diferente, el pronóstico de ambas pacientes fue bueno.
CONCLUSIONES
El síndrome de vasoconstricción cerebral reversible tiene un curso clínico generalmente benigno a pesar de tener una presentación variable que puede ir desde solo cefalea hasta focalización, crisis epilépticas y encefalopatía.
Se ha relacionado con múltiples factores potencialmente etiológicos dentro de los cuales está la maniobra de Valsalva; presentamos el primer caso con una asociación más clara de la enfermedad con dicha maniobra, lo anterior es imperativo a tener en cuenta para evitar su recurrencia. Es importante reconocer esta entidad, porque un error diagnóstico conllevaría a exponer innecesariamente a un paciente a terapias inmunosupresoras o incluso a la biopsia.















